Click here to close
Hello! We notice that you are using Internet Explorer, which is not supported by Xenbase and may cause the site to display incorrectly.
We suggest using a current version of Chrome,
FireFox, or Safari.
???displayArticle.abstract???
FoxF genes are essential for visceral mesoderm development from Drosophila to human. However, part of the difficulty of studying the visceral mesoderm is its relative inaccessibility during early development. Owing to its external development Xenopus laevis presents considerable advantages for the study of visceral mesoderm formation, yet FoxF2 has not been identified in this system. Here, we describe the cloning and expression pattern of XFoxF2 during embryonic development, metamorphosis and adulthood, and compare and contrast it to the expression of FoxF1 in Xenopus laevis and FoxF2 in mouse.
???displayArticle.pubmedLink???
20336609 ???displayArticle.link???Int J Dev Biol ???displayArticle.grants???[+]
Fig. 2. Embryonic expression of FoxF2. Anterior is to the left and dorsal is to the top. (A) Expression in a tailbudembryo (stage 30). Expression is visible in the otic vesicle (o) and in the periorbital mesenchyme (pm) surrounding the eye, the lens (l) and branchial arches (ba). There is faint expression in the presumptive visceral mesoderm (vm). (B) Section through an embryo a few hours older (stage 35). Expression is noted in the headmesenchyme (hm) surrounding the otic vesicle (o) and the somites (s). Expression is visible in the cranial visceral mesoderm (vm), surrounding the early pharyngeal endoderm (en), (h): heart, (n): noto- chord. (C) Cross-section through the same embryo, more anterior, highlighting expression in the periorbital mesenchyme (pm), (mes): mesencephalon. (D) In the stage 39 embryo, expression is visible in the branchial arches (ba) and the presumptive visceral mesoderm (vm). The presumptive liver (li) does not express FoxF2. The presumptive gallblad- der is highlighted by the circular expression at the anteriorventral expression boundary (arrow). (E) Expression of FoxF2 in the isolated gut of a stage 43 embryo. There is strong expression in the lung (lu) and proximalforegut (f). The gallbladder (arrow) expression is visible, in contrast to the liver (li) and pancreas (pa) which do not express XFoxF2 at this stage. Expression in the midgut (mg) and hindgut (h) is character- ized by a fine, reticular pattern.
Fig. 3. Expression of XFoxF2 in the froglet intestine. (A) 10x view of a transverse section through the distalintestine of a froglet, immediately post-metamorphosis. The nascent intestinal folds are visible (if). The mesenchymal component of the gut is still underdeveloped. Arrows indicate staining in mesenchymal cells adjacent to the basolateral aspect of the epithelium. Double arrow indicates serosal expression. (B) 40x magnification of a developing intestinal fold. The lumen is to the top. Early mucin expressing cells are visible (mc). Arrows indicate expression at the epithelial-mesenchymal interface. Double arrow indicates expression in early blood vessel (blood cells in lumen).
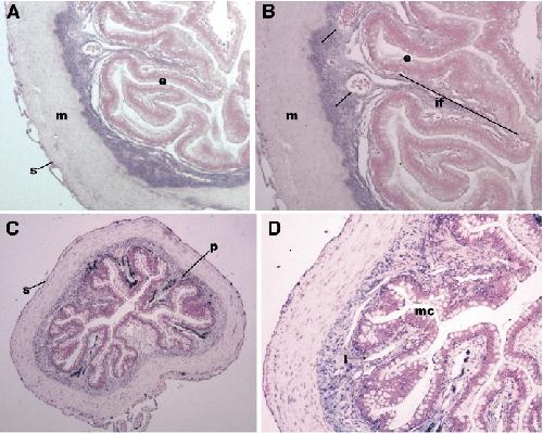
Fig. 4. Expression of XFoxF2 in the adult frog intestine. (A) Proximalintestine (4x magnification) showing FoxF2 expression in the subepithelial mesenchyme, between the epithelium (e) and the muscularis propria (m). There is light staining in the serosa (s). (B) 10x magnification of (A) highlighting expression in the mesenchyme of the intestinal fold (if) and surrounding mesenchymal vessels (arrow). The sections in (A,B) were counterstained using eosin. (C) 4x magnification of the distalintestine. The distalgutmesenchyme is less compact than proximally, but FoxF2 expression is also confined to the mesenchyme. The dark staining in the intestinal folds is pigment (p). Faint serosal expression is also noted (s). (D) 10X magnification of (C) highlighting expression in the mesenchymal stalk of the intesti- nal folds. The distalintestine is characterized by abundant mucin-producing cells (mc). The empty lumina are either vascular or lymphatic (l). Nuclear Fast Red was used for counterstaining of the distalintestine, highlighting the mesenchymal nuclei (C, D). Pigment is visible in the intestinal folds and trough; these cells are accepted to be melano- phores derived from the neural crest (Nieuwkoop, 1994).
FoxF1 ( forkhead box F2 ) gene expression in Xenopus laevis embryos, NF stage 30, as assayed by in situ hybridization. Lateral view: anteriorleft, dorsal up.
Copyright University of the Basque Country Press , 2010
FoxF1 ( forkhead box F2 ) gene expression in foregut dissected from Xenopus laevis tadpole, NF stage 43, as assayed by in situ hybridization. Lateral view: anteriorleft, dorsal up.
Copyright University of the Basque Country Press , 2010