Click here to close
Hello! We notice that you are using Internet Explorer, which is not supported by Xenbase and may cause the site to display incorrectly.
We suggest using a current version of Chrome,
FireFox, or Safari.
Dev Growth Differ
2003 Jan 01;455-6:499-506. doi: 10.1111/j.1440-169x.2003.00717.x.
Show Gene links
Show Anatomy links
Long-term culture of Xenopus presumptive ectoderm in a nutrient-supplemented culture medium.
Fukui Y, Furue M, Myoishi Y, Sato JD, Okamoto T, Asashima M.
???displayArticle.abstract???
Animal cap assay is a useful experimental model for investigating the activity of inducers in amphibian development. This assay has revealed that activin A is a potent mesoderm-inducing factor. However, it has been very difficult to induce highly differentiated tissues such as cartilage in a 3-4 day culture period. It was recently reported that jaw cartilage was induced in vitro in an animal cap that had been cultured for 14 days in Steinberg's solution using the sandwich culture method and activin A. Under these conditions, necrosis was occasionally observed in the explants. In this study, we have achieved long-term animal cap cultures in a nutrient-supplemented culture medium designated RDX. This medium was made by modifying the saline concentration of the RD medium previously developed as a basal medium for the serum-free culture of various kinds of mammalian cells. The explants cultured in RDX grew more vigorously compared with those in Steinberg's solution. RDX medium promoted a wider variety of tissue induction and gene expression in the animal caps than Steinberg's solution, and also increased the frequency of cartilage induction. Therefore, the supplemental nutrients may support and promote the differentiation of cartilage. This long-term culture method using RDX medium is useful for studying the differentiation of tissues or organs such as cartilage in vitro.
Fig. 1. Phase-contrast photomicrograph of primary culture of an animal cap on collagen gel on culture day 14. Primary culture in (A) medium designated RDX, (B) 55% RD, (C) 55% Dulbecco’s modified Eagle medium (DMEM), and (D) 55% RPMI 1640, in a humidified atmosphere of 5% CO2 at 20C. (E) Primary culture in Steinberg’s solution, and (F) 60% Leibovitz's L15 medium in a humidified atmosphere of normal air at 20C. The area inside the white line indicates the colony margin of the primary culture. Bars, 1 mm (G) Enlarged photograph of the mi- grated cells in RDX, (H) 55% RD, (I) Steinberg’s solution, and (J) 60% L15. Bars: 100 μm.
Fig.2. External morphology of the sandwich explants. The ani- mal cap treated with 100 ng/mL activin A was sandwiched with two untreated animal caps, and then cultured in RDX for 60 days.
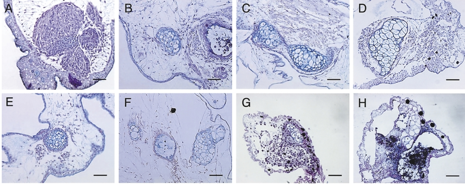
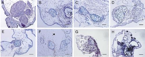
Fig 3. Alcian blue and periodic acid-Schiff (PAS) staining of the explants. Paraffin sections of the formalin-fixed explants cultured for 2 months were stained with Alcian blue and PAS solution. (A) Explant cultured for 4 days in RDX; (B) explant cultured for 7 days in RDX; (C) explant cultured in RDX for 14 days; (D) explant cultured in RDX for 2 months; (E) explant cultured in Steinberg's solution (SS) for 7 days; (F) explant cultured in SS for 14 days (tissues intact); (G) explant cultured in SS for 14 days (tissue necrosis observed); and (H) explant cultured in SS for 2 months.
Fig. 6. Expression of X- dll4 and gsc in tadpoles and the explants cultured in RDX. Expression of X- dll4, and gsc in the explants cultured in RDX on days 4, 7, 14, and 30, and in tadpoles at stages 41, 46, 55, 57, using the reverse transcription polymerase chain reaction (RT–PCR) method. (A) RNA was extracted from tadpoles at stages (st.) 10, 28, 41, 46, 55, and 57. (B) RNA was extracted on days (d) 4, 7, 10, 14, 21, and 30 from the explants cultured in RDX.