|
Fig. 1. Expression of brunol1 in developing endoderm. (A) Expression of brunol1 in tadpoles at NF32, NF35 and NF39. A few scattered cells expressing brunol1 are detected at stage 32 in the extreme dorsal endoderm. By stage 35 expression can now be detected in more lateral endoderm. (D) NF41 isolated pancreas/liver tissue. At this early stage, brunol1 is expressed in a punctate pattern only in the dorsal pancreas. (E) NF44 isolated pancreas/liver. Expression of brunol1 is now detected throughout the entire pancreas. (F) Double in situ hybridization of brunol1 (purple, arrow) and insulin (red, arrowhead) in NF44 isolated pancreas/liver. No overlap in expression is seen. Insulin expression is confined to the dorsal pancreas, whereas brunol1 expression is also present in the ventral part of the pancreas. (G,H) NF41 and NF44 isolated whole gut. Expression is punctate throughout the entire gastrointestinal tract. (I) Double in situ hybridization of isolated whole gut for chromogranin A (red, arrowhead) and brunol1 (purple, arrow). No overlap in expression is seen. Chromogranin A is expressed in all differentiated endocrine cells. (J) pH3 staining at NF32. Expression in the endoderm is only detected in scattered cells (arrowhead). Mesodermal expression is also detected. (K) pH3 staining at NF39. Proliferating cells are found throughout the entire endoderm, similar to brunol1. (L) pH3 staining at NF40 in isolated liver/pancreas tissue. Proliferating cells are only found in the dorsal pancreas (line demarcates dorsal versus ventral portions of the pancreas). Proliferating cells are also found in the liver.
|
|
Fig. 2. Endodermal patterning occurs normally in BrunoL1 knockdown tadpoles. (A) In vitro transcription translation reactions. Translation of BrunoL1 is blocked in the presence of the antisense morpholino, but not the mismatch morpholino. (B,C) Ptf1a expression in control and BrunoL1 depleted tadpole showing normal induction of dorsal and ventral pancreatic buds (n=10). (Arrows point to the dorsal and ventral pancreatic buds that express Ptf1a.) (D,E) Hnf6 expression is also normal in BrunoL1 knockdown tadpoles (n=10). (F,G) Insm1 expression in the dorsal pancreas at stage 32 is normal in brunol1 morphants (n=10). (H,I) Expression of the endocrine progenitor marker insm1 (n=17) is reduced in both the pancreas and gastrointestinal tract. (JâM) Both neuroD (n=23) and pax6 (n=23) are also reduced, but some expression can be detected in the pancreas, most likely marking those beta cells that are present. Whole guts are from stages 41/42. In all panels the pancreas is outlined. (N,O) Trace drawings of panels J and K to illustrate the different
organs. |
|
Fig. 3. BrunoL1 is essential for endodermal cell differentiation. (A,B) Expression of insulin was normal in the pancreas of brunol1 morphants (n=15). (C,D) Expression of glucagon in the stomach/duodenum is reduced (n=23). Similar results were found for somatostatin (n=20). (E,F) elastase expression was reduced (n=16). (G,H) Similarly, there was reduced expression of the general stomach marker, frp5 (n=14). (I,J) Liver development was normal as assessed by expression of hex (n=12). (K,L) Trace drawings of panels G and H. The pancreas is outlined in panels AâD, F, and IâJ. (M) Control NF41 whole gut stained for phosphohistone H3 to mark proliferating cells. (N) Whole gut from brunol1 morphant stained for phosphohistone H3. Note the large decrease in proliferating cells, especially apparent in the stomach and duodenum. (O) Average number of proliferating cells within the stomach of 10 different whole guts from control and morpholinoinjected. (Error bars represent standard deviation.) We only counted the number of cells in the stomach/duodenal area, even though the morpholino was targeted to a larger region, including more posterior endoderm. To ensure that equivalent areas were compared we counted cells in control and morpholino samples within the same defined total area. A reduction in pH3 staining was also seen in the other targeted regions, but for quantification we only focused on the stomach/duodenal region. Areas not targeted by the morpholino (i.e. no fluorescence) showed normal pH3 staining. |
|
Fig. 4. Flag-BrunoL1 mRNA rescues the morpholino knockdown phenotype. (A) Control NF42 whole gut stained for elastase mRNA showing expression in the pancreas. (B) Whole gut from embryo injected with 15 ng of brunol1 morpholino. Elastase expression is almost completely lost in injected embryos (n=43). (C) Isolated whole gut stained for elastase expression from embryo injected with 15 ng of brunol1 morpholino and 200 pg of flag-brunol1 mRNA. Elastase expression was restored in 27/38 embryos. |
|
Fig. 5. Overexpression of brunol1 results in an overproliferation phenotype. Enlarged pancreas phenotype seen in embryos injected with brunol1 mRNA injected into 2 dorsal-vegetal blastomeres at the eight-cell stage. (A,B) ptf1a expression (n=12). Arrow points to the ectopic pancreas. (C,D) No expression of insulin is detected in the ectopic pancreas (n=24). Pancreas is outlined. (E,F) elastase is expressed in the ectopic pancreatic tissue (arrow, n=23). (G,H) frp5 expression is normal (n=10). Arrow points to overgrowth. (I,J) Expression of the liver marker hex is normal, though the liver does appear a little larger (n=14). (K,L) Trace drawing of panels A and B illustrating the overgrowth of pancreatic tissue in the tadpoles injected with brunol1 mRNA. |
|
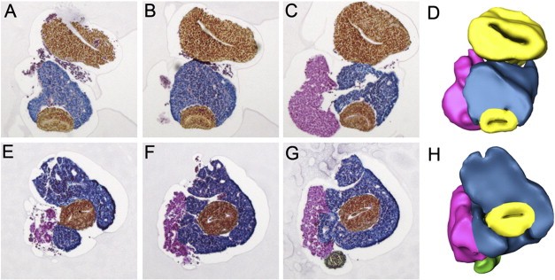
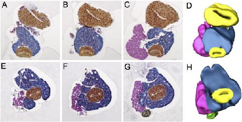
Fig. 6. 3-D reconstruction of brunol1 overexpression phenotype. Serial histological sections were taken from control and brunol1 injected NF44 whole guts. Color overlays added to help visualize differences (Blueâpancreas, yellowâgut endoderm, pinkâliver). (AâC) Representative sections of control whole guts. (D) 3-D reconstruction of control whole guts using Amira software. Notice that the pancreas does not encircle the duodenum. (EâG) Representative sections of whole guts isolated from tadpoles injected with brunol1 mRNA. (H) 3-D reconstruction reveals increased amounts of pancreatic tissue such that it now encircles the duodenum. Blueâpancreas, yellowâgut endoderm, pinkâliver. |
|
Fig. 7. BrunoL1 function is dependent on BREs in the 3â²UTR. (A) Schematic diagram illustrating the sequence of the 3 BREs in the 3â²UTR of cyclin A2 and the respective point mutations made. (B) Injection of gfp-bre resulted in a low level of GFP fluorescence. (C) Co-injection of brunol1 increased GFP fluorescence in 78% of embryos (n=67). (D) Injection of the gfp-bremut mRNA produced a similar low-level fluorescence as seen with the gfp-bre mRNA. (E) No increase in GFP fluorescence was seen when brunol1 was co-injected with gfp-bremut mRNA (n=17). (F) Quantification of GFP fluorescence. Injection of brunol1 mRNA along with gfp-bre resulted in a 5-fold increase in GFP fluorescence. For details on how we calculated fold stimulation see materials and methods. Experiment repeated at least 3 times. (G) RT-PCR detection of gfp, edd and cyclin A2 from total RNA of injected embryos (1st four lanes) or from total RNA after immunoprecipitation using flag antibody (2nd four lanes). gfp mRNA was immunoprecipated in the presence of Flag-BrunoL1 protein, but not when the BRE sites were mutated (BREmut+BrunoL1). Edd was used as a control, and was detected in total RNA, but not in the immunoprecipitated RNA. Endogenous cyclin A2 mRNA was detected in both lanes where BrunoL1 was immunoprecipitated. (H) Levels of endogenous Cyclin A2 protein in control and brunol1 injected embryos, demonstrating that there was increased Cyclin A2 protein levels in brunol1 injected embryos. |
|
celf3(blue, CUGBP, Elav-like family member 3) and chga (red, chromogranin A (parathyroid secretory protein 1) ) gene expression in dissected gut from Xenopus laevis embryos, NF stage 44, as assayed by in situ hybridization. |