|
Fig. 1. Expression profiles of cldn5a and 5b and induction of the genes in non-heart-forming mesoderm explants by inhibition of
canonical Wnt signaling. (A) Comparison of expression patterns of cldn5a, cldn5b, Nkx2.5, and XHAPLN3. (BâE) Sections of stage-27
(B, C) or stage-28 (D, E) embryos hybridized for cldn5a or 5b. Arrows: cardiac cldn5 expression at stages 27 and 28. (F) Reverse
transcriptionâpolymerase chain reaction (RTâPCR) analysis of dorsal marginal zone (DMZ) and ventral marginal zone (VMZ) explants.
Bilateral injection was carried out at the 8-cell stage (Dkk mRNA, 1.2 ng; b-catenin-MO, 120 ng). Explants were excised at stage 10 and
grown to stage 25. GFP mRNA was used as an injection control. |
|
Fig. 2. Perturbation of heart formation by cldn5-MO or Cldn5aDC proteins. (AâC) Stage-39 embryos bilaterally injected with GFP mRNA
along with control morpholino antisense oligonucleotide (MO) (A), cldn5-MO (25 ng; B), or cldn5aDC mRNA (700 pg; C) at the 8-cell
stage. Beating heart and heart-lacking regions are indicated by pink and blue arrows, respectively. (DâG) Transverse sections of injected
embryos grown to stage 41. Red arrows: hearts. (H, I) Heart and gut defects caused by cldn5-MO (stage 46). Looped appearance of
the gut seen in the control embryos (pink arrowhead) was lost in cldn5-MO-injected embryos (blue arrowheads). (JâM) Electron
micrographs of the sections of myocardium. sa, sarcomeres (not observed in K, L and M). Scale bar (red): 0.5 lm. |
|
Fig. 3. cldn5-MO injection into C1 blastomeres, but not into D1 blastomeres, induced heart defects. (A and B) cldn5-MO (cldn5a-MO +
cldn5b-MO, 8 ng each) was coinjected with GFP mRNA into Cl blastomeres (red arrows) or D1 blastomeres (blue arrows) of 32-cellstage
embryos. The dashed line shows the dorsal midline. (B and C) Stage-43 embryos received the morpholino antisense
oligonucleotide (MO) in their C1 blastomeres (B) and D1 blastomeres (C). Pink arrows indicate beating hearts. Green fluorescent protein
(GFP)-positive cells around the affected cardiac region were significantly decreased in number after the tail had extended out, as shown
in B. (D and E) Sections of the C1-blastomere-injected (D) and D1-blastomere-injected (E) stage-40 embryos. |
|
Fig. 4. Inhibition of in vitro cardiogenesis by cldn5-MO. (A) Outline of the dissociation â reaggregation protocol for in vitro heart induction.
(B) The number of beating reaggregates of animal cap cells were counted in 5-day cultures. Left: control morpholino antisense
oligonucleotide (MO) (40 ng). Middle: cldn5-MO (40 ng). Right: cldn5a and 5b mRNAs (1 ng each) and cldn5-MO. bpm, beats per
minute (at 20 C). (C) Electron micrographs of the animal cap reaggregates. id, intercalated disk. |
|
Fig. 5. Abnormal expression of Nkx2.5 and GATA4 in cldn5-MO-injected embryos was only obvious after the bilateral cardiac regions
merged on the ventral midline. Control morpholino antisense oligonucleotide (MO) (16 ng), cldn5-MO (16 ng), or cldn5DC mRNA
(700 pg) was unilaterally injected into 8-cell-stage embryos (arrowheads: injected side). (AâF) Early expression of Nkx2.5 and GATA4
were not perturbed by cldn5-MO (ventral views at stage 23 in AâD; sections at stage 24 in E and F). (GâR) Perturbed expression of
Nkx2.5, cTnI, and GATA4 (ventral views) during and after the stage of linear heart tube formation (stage 26 in GâJ; stage 31 in KâN;
stage 32 in OâR). nls-lacZ mRNA was coinjected with the MOs or cldn5DC mRNA, and b-galactosidase activity was stained in GâN
(red). |
|
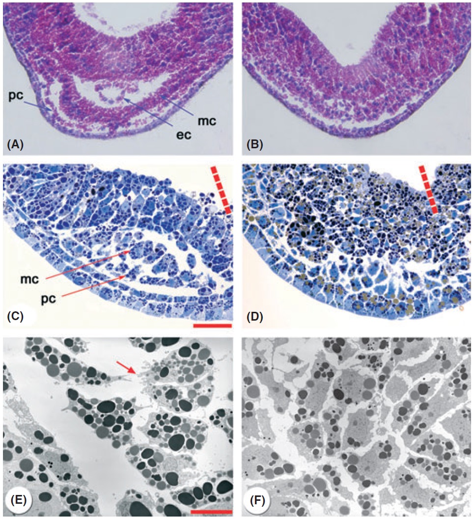
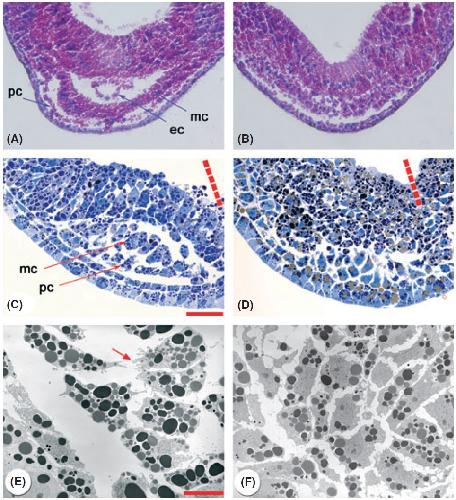
Fig. 6. Cardiac layer formation was inhibited by cldn5-MO. (A and B) Control morpholino antisense oligonucleotide (MO) (25 ng; A) or
cldn5-MO (25 ng; B) was bilaterally injected at the 8-cell stage and examined at stage 27. Transverse sections were stained with
hematoxylin-eosin. ec, endocardium; mc, myocardium; pc, pericardium. (C and D) High-magnification view of precardiac mesoderm of
control MO- (C) and cldn5-MO-injected (D) embryos at stage 26. Transverse sections were stained with toluidine blue. Precardiac
mesoderm was separated into myocardial and pericardial layers in the control embryo. Broken lines: ventral midline. Scale bar (red):
50 lm. (E and F) Electron micrographs of sections of control MO- (E) and cldn5-MO- (F) injected embryos at stage 26. Myocardial and
pericardial layers were segregated in the precardiac mesoderm in the control embryo. Cells are polarized in shape. Arrow: apical
junction. Scale bar (red): 20 lm. |
|
Fig. S1. cldn5 gene products and gene expression profiles. (A) Comparison of vertebrate claudin5 proteins. Conserved amino acid positions are highlighted. Xenopus l.: Xenopus laevis. Xenopus trop.: Xenopus tropicalis. (B) Phylogenetic tree constructed by the neighbour-joining method with the programs CLUSTALW and TreeView. (C) Expressions of cldn5a and 5b detected by RT-PCR. The primer sequences were cldn5a: 5â²-CATCCTCGCCCTTCACCCG-3â² and 5â²-CCTGCGACCCCTCACCGAC-3â², cldn5b: 5â²-ATTGGGCTACTGGTCACCGTG-3â² and 5â²-CATGAGCAGGGAAGTGGCCG-3â². |
|
Fig. S2. Translational inhibition of cldn5a-GFP and cldn5b-GFP by the respective MOs. (A) 120 pg of cldn5-GFP mRNA was coinjected with 8.4 ng of MO. (A) Whole embryos at stage 10.5. (B) Western blotting of stage-10.5 embryos for GFP. β-tubulin was blotted as an internal reference. To construct the GFP fusions, the genomic DNA fragments covering the nucleotide positions −40 nt to +144 nt of cldn5a (+1 is the first nucleotide of the coding sequence) and the positions −31 nt to +143 nt of cldn5b were fused to GFP in pCS2+. |
|
cldn5 (claudin 5 (transmembrane protein deleted in velocardiofacial syndrome) ) gene expression in Xenopus laevis embryo, assayed via in situ hybridization, NF stage 23, lateral view, anterior left, dorsal up.
|
|
cldn5 (claudin 5, transmembrane protein deleted in velocardiofacial syndrome) gene expression in Xenopus laevis embryo, assayed via in situ hybridization, NF stage 28, lateral view, anterior left, dorsal up.
|
|
cldn5 (claudin 5, transmembrane protein deleted in velocardiofacial syndrome) gene expression in Xenopus laevis embryo, assayed via in situ hybridization, NF stage 28, ventral view, anterior left.
|
|
|