XB-ART-42152
Dev Dyn
2010 Nov 01;23911:3024-37. doi: 10.1002/dvdy.22446.
Show Gene links
Show Anatomy links
The G-protein-coupled receptor, GPR84, is important for eye development in Xenopus laevis.
???displayArticle.abstract???
G-protein-coupled receptors (GPCRs) represent diverse, multifamily groups of cell signaling receptors involved in many cellular processes. We identified Xenopus laevis GPR84 as a member of the A18 subfamily of GPCRs. During development, GPR84 is detected in the embryonic lens placode, differentiating lens fiber cells, retina, and cornea. Anti-sense morpholino oligonucleotide-mediated knockdown and RNA rescue experiments demonstrate GPR84's importance in lens, cornea, and retinal development. Examination of cell proliferation using an antibody against histone H3 S10P reveals significant increases in the lens and retina following GPR84 knockdown. Additionally, there was also an increase in apoptosis in the retina and lens, as revealed by TUNEL assay. Reciprocal transplantation of the presumptive lens ectoderm between uninjected controls and morpholino-injected embryos demonstrates that GPR84 is necessary in the retina for proper development of the retina, as well as other eye tissues including the lens and cornea.
???displayArticle.pubmedLink??? 20925114
???displayArticle.pmcLink??? PMC2965296
???displayArticle.link??? Dev Dyn
???displayArticle.grants??? [+]
Species referenced: Xenopus laevis
Genes referenced: dnai1 gpr84 pc tubb2b
???displayArticle.antibodies??? Lens Ab1
???displayArticle.morpholinos??? gpr84 MO1
???attribute.lit??? ???displayArticles.show???
|
|
Figure 4. Developmental expression of X. laevis GPR84. The lane to the far left is the 1-kb plus DNA ladder, (+) represents the positive RT-PCR control lane using the full-length GPR84 containing plasmid and (â) represents the negative RT-PCR control lane lacking template DNA. A: RT-PCR analysis of GPR84 reveals detectible expression beginning at gastrula stage 10 and continuing through larval stage 45. Expected size of GPR84 fragment is 1.2 kb. B: RT-PCR analysis of GPR84 in isolated retinal and lens tissues. Developing retinas were excised from stage-29 embryos (R29) and stage-41 larvae (R41), and lenses were excised from stage-41 larvae (L41). C: PCR analysis showing presence of GPR84 transcripts in both control cornea and transdifferentiating cornea epithelium undergoing lens regeneration. (T) represents RT-PCR using transdifferentiating cornea RNA and (C) represents RT-PCR using control cornea RNA. D: Sagittal section showing examination of GPR84 within lens fiber cells at stage 36. EâG: In situ hybridization of GPR84 transcripts. Anterior is to the right in all cases. E: Representative stage-19 embryo with no visible expression. F: Stage-28 embryo with expression detectable only in the lens placode. G: Detectable lens expression at stage 33. H: Sense probe control at stage 27 with no detectable expression. cmz, ciliary marginal zone; le, lens epithelium; lf, lens fiber cells; ln, lens; lp, lens placode; nr, neural retina; vc, vitreous chamber. Scale bar in D = 50 and 400 μm in EâH. |
|
|
Figure 5. Effects of GPR84 morpholino-mediated knockdown and RNA rescue on eye development. Dorsal is toward the top in each figure. AâF: Typical eye defects following unilateral injection of lissamine-tagged H127MO into single blastomeres at the two-cell stage. All larvae shown are stages 37â39. A: Normal uninjected (CON) side. B: Corresponding H127MO injected side (5.24 ng) to that shown in A. Minor eye defect is observed on this side, as indicated by arrowhead. C: Normal uninjected side. D: Corresponding H127MO injected side (6.5 ng) to that shown in C. Severe eye defect is observed on this side, as indicated by arrowhead. E: Normal uninjected side. F: Corresponding H127MO-injected side (10.74 ng) to that shown in E. Severe eye defect is observed on this side, as indicated by arrowhead. G: Normal uninjected side. H: Corresponding injected side to that shown in G. Representative normal eye development follows co-injection of H127MO (6.5 ng/blastomere at the two-cell stage) and 800 pg synthetic altGPR84 mRNA. I: Normal uninjected side. J: Corresponding injected side to that shown in I. Typical normal morphological development following co-injection of H127MO (6.5 ng/blastomere at the two-cell stage) and 1,200 pg synthetic altGPR84 mRNA. K: Normal uninjected side. L: Normal eye development following injection of 1,200 pg synthetic altGPR84 RNA diluted with fluorescent dextran. The scale bar in L = 400 μm. |
|
|
Figure 7. Sagittal sections showing eye defects associated with H127MO (GPR84) knockdown. Hematoxylin/eosin stained specimens were fixed at stage 41. A: Representative mild defect resulting from unilateral injection of 6.5 ng H127MO at the two-cell stage. This eye has a small, disorganized lens with normal polarity and a recognizable lens epithelium and primary lens fiber cells. Note the neural retina is somewhat disorganized. The retinal pigmented epithelium is also intact, but is thinned near the ventral portion of the eye located towards the bottom of the figure. B: Corresponding uninjected eye of the embryo shown in A revealing normal development of the lens and the retinal layers. Note the presence of numerous primary and secondary lens fiber cells. C: Representative severe defect resulting from unilateral injection of 6.5 ng H127MO at the two-cell stage. Note the presence of a small lentoid body without obvious polarity and the absence of a clearly differentiated lens epithelium or lens fiber cells. Additionally, the neural retina has not differentiated the proper layers and the pigmented retinal epithelium is missing on the ventral portion of the eye. D: Corresponding uninjected eye of the embryo shown in C, showing normal development of both the lens and the retinal layers. bc, bipolar cell layer; dn, disorganized neural retina; gc, ganglion cell layer; ip, inner plexiform layer; lb, lentoid body; le, lens epithelium; lf, lens fiber cells; oc; outer cornea; op, outer plexiform layer; pc, photoreceptor cell layer. Scale bar in D = 100 μm. |
|
|
Figure 8. Immunohistochemical analysis of lens defects associated with H127MO (GPR84) knockdown. All specimens were fixed at stage 41 and stained with anti-lens crystallin polyclonal antibodies. A: DIC image showing severe eye defect and small lens after unilateral injection of 6.5 ng H127MO at the two-cell stage. This lens exhibits some polarization with a thickened epithelium and some primary fiber cells. Note also the disorganized neural retina, the lack of a defined pigmented retinal epithelium, and a thickened cornea epithelium. B: Corresponding anti-lens crystallin fluorescence image to that shown in A showing the presence of crystallin proteins (green) in primary fiber cells, but not the lens epithelium. C: Fluorescence image showing distribution of lissamine-tagged H127 morpholino throughout the tissues (red). D: DIC image showing representative rescue phenotype observed after co-injection of 6.5 ng H127MO and 1,200 pg altGPR84 mRNA into a single blastomere at the two-cell stage. The normal-appearing eyecup consists of distinct layers of differentiated retinal cells and the lens also has normal morphology. E: Corresponding anti-lens crystallin fluorescence image to that shown in D showing presence of crystallin proteins (green) in primary and secondary fiber cells. F: Fluorescence image showing distribution of lissamine-tagged H127 morpholino throughout the tissues (red). G: DIC image showing uninjected eye (opposite injected side of animal shown in AâC). A normal eye is seen with well-differentiated lens, and neural retina. Note also the normal thin appearance of the cornea epithelium. H: Corresponding anti-lens crystallin fluorescence image to that shown in G showing the presence of crystallin proteins (green) in primary and secondary fiber cells. I: Fluorescence image showing absence of lissamine-tagged red fluorescence in this uninjected side. dn, disorganized neural retina; le, lens epithelium; lf, lens fiber cells; oc, outer cornea; rp, retinal pigmented epithelium. Scale bar in I = 100 μm. |
|
|
Fig. 6. Summary of the effects of H127MO and altGPR84 mRNA injections on eye development. Shading represented in the key denotes categories of normal, minor and severe eye defect phenotypes (defined in the text). A: Uninjected embryos and control morpholino (CONMO) injected embryos typically exhibit normal development. B: Embryos injected with lissamine-tagged H127MO, show dose dependent phenotypes. Increasing severity of eye defects are seen with an increase in the amount of H127MO injected. C: Embryos co-injected with H127MO and altGPR84 mRNA exhibit a rescue phenotype with reduction in eye defects. D: Embryos injected with up to 1200pg altGPR84 mRNA alone typically exhibit normal development. Error bars indicate standard error. |
|
|
Figure 9. Effects of H127MO injections on cell proliferation in the retina and lens. A–D: Transverse sections of eyes from uninjected and H127MO-injected embryos showing corresponding pairs of DIC and fluorescence micrographs. A and B: Normal, control eye derived from the uninjected side of one example is displayed. C and D: Opposite, defective eye derived from the H127MO-injected side of the same embryo shown in A–B. E: Graphical depiction of the levels of cell proliferation in the retina and lens are shown. Bars represent the mean fraction of histone H3 S10P labeled cells, depicted as a percentage along the Y-axis. Different tissues and conditions are examined and depicted along the X-axis, as indicated. Error bars representing standard deviation are shown. Scale bar in D equals 50μm. |
|
|
Figure 10. Effects of H127MO injections on the levels of apoptosis (TUNEL assay). Dorsal is up for images A and B. A and B: Transverse sections of eyes from uninjected and H127MO-injected embryos. A: DIC image from a uninjected embryo with apoptotic cells indicated by the purple/blue colored NBT-BCIP precipitate. B: DIC image from an H127MO injected embryo. Note the increased level of apoptosis in the dorsal retina and lens. C: A graphical depiction of the levels of apoptosis in the retina and lens is displayed. Bars represent the mean fraction of apoptotic cells and are depicted as a percentage along the Y-axis. Different tissues and conditions are examined along the X-axis, as indicated. Error bars represent the standard deviation. Scale bar in B equals 50μm. |
|
|
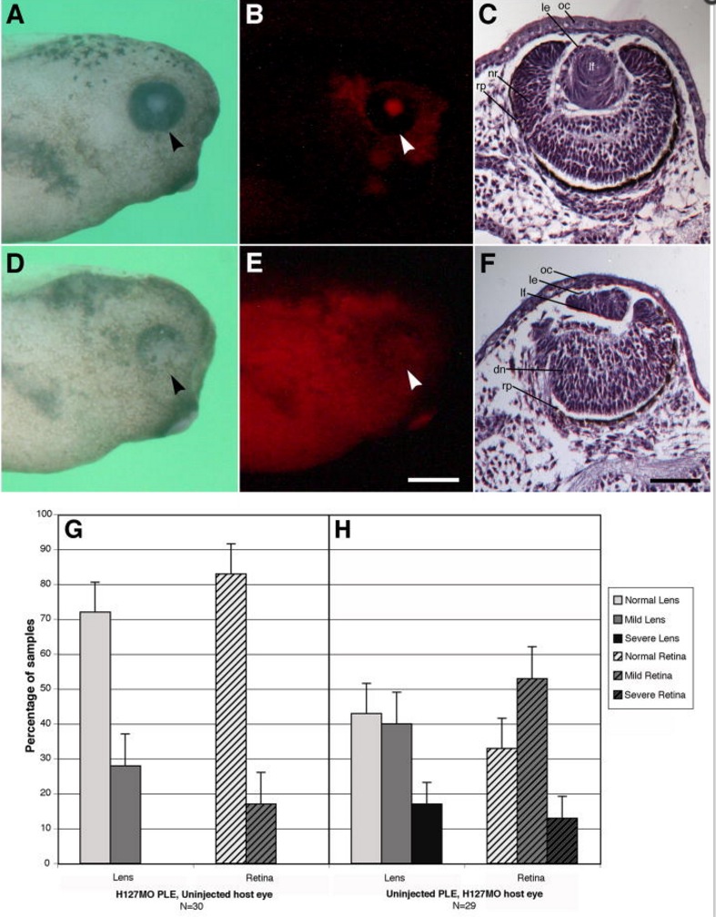
Figure 11. Reciprocal presumptive lens ectoderm (PLE) transplants. See the Experimental Procedures section for details. PLE transplants were performed at stage 14. The arrowhead points to the eye. Note contralateral uninjected sides were completely normal (data not shown here). A: Uninjected host specimen with transplanted H127MO knockdown PLE that has normal morphology. B: Fluorescence image illustrating the lissamine-labeled H127MO PLE transplant in the uninjected host specimen. C: Whole eye section from an uninjected host animal with H127MO knockdown PLE transplant. Note the normal appearance of the lens with well-differentiated neural retina layers. D: H127MO injected host specimen with transplanted PLE obtained from an uninjected control embryo that shows defects in the ventral retina. E: Fluorescence image illustrating the lissamine-labeled H127MO larvae with the uninjected PLE transplant (not labeled red). F: Whole eye section from the H127MO host animal with PLE transplant obtained from an uninjected embryo. Note the presence of a smaller lens displaying a defect in fiber cell differentiation. The neural retina is also displays poorly differentiated retinal layers and has a thinned dorsal pigmented retinal epithelium. G–H. Reciprocal transplant results. G: Lens and retina phenotypes observed with H127MO (GPR84) knockdown presumptive lens ectoderm (PLE) donor and uninjected host specimens at stage 41. H: Lens and retina phenotypes observed with uninjected PLE donor and H127MO knockdown host specimens. Error bars indicate standard error. dn, disorganized neural retina; le, lens epithelium; lf, lens fiber cells; nr, neural retina; oc, outer cornea; rp, retinal pigmented epithelium. Scale bar in E is equal to 400μm and in F represents 100μm. |
References [+] :
Ando,
Lhx2 mediates the activity of Six3 in zebrafish forebrain growth.
2005, Pubmed
Ando, Lhx2 mediates the activity of Six3 in zebrafish forebrain growth. 2005, Pubmed
Belecky-Adams, Bone morphogenetic protein signaling and the initiation of lens fiber cell differentiation. 2002, Pubmed
Belo, Cerberus-like is a secreted factor with neutralizing activity expressed in the anterior primitive endoderm of the mouse gastrula. 1997, Pubmed , Xenbase
Boswell, Essential role of BMPs in FGF-induced secondary lens fiber differentiation. 2008, Pubmed
Bouchard, G protein-coupled receptor 84, a microglia-associated protein expressed in neuroinflammatory conditions. 2007, Pubmed
Casarosa, Xrx1 controls proliferation and multipotency of retinal progenitors. 2003, Pubmed , Xenbase
Cherezov, High-resolution crystal structure of an engineered human beta2-adrenergic G protein-coupled receptor. 2007, Pubmed
Chow, FGF suppresses apoptosis and induces differentiation of fibre cells in the mouse lens. 1995, Pubmed
Chung, FGF signal regulates gastrulation cell movements and morphology through its target NRH. 2005, Pubmed , Xenbase
de Iongh, BMP and activin receptor expression in lens development. 2004, Pubmed
Edgar, MUSCLE: multiple sequence alignment with high accuracy and high throughput. 2004, Pubmed
Elkins, Isolation and characterization of a novel gene, xMADML, involved in Xenopus laevis eye development. 2006, Pubmed , Xenbase
Faber, Fgf receptor signaling plays a role in lens induction. 2001, Pubmed
Faber, Bmp signaling is required for development of primary lens fiber cells. 2002, Pubmed
Fredriksson, The G-protein-coupled receptors in the human genome form five main families. Phylogenetic analysis, paralogon groups, and fingerprints. 2003, Pubmed
Gloriam, Definition of the G protein-coupled receptor transmembrane bundle binding pocket and calculation of receptor similarities for drug design. 2009, Pubmed
Hanson, Discovery of new GPCR biology: one receptor structure at a time. 2009, Pubmed
Harland, In situ hybridization: an improved whole-mount method for Xenopus embryos. 1991, Pubmed , Xenbase
Harty, Regeneration or scarring: an immunologic perspective. 2003, Pubmed
Hashiguchi, Role of TSC-22 during early embryogenesis in Xenopus laevis. 2004, Pubmed , Xenbase
Heasman, Morpholino oligos: making sense of antisense? 2002, Pubmed , Xenbase
Henry, Inductive interactions in the spatial and temporal restriction of lens-forming potential in embryonic ectoderm of Xenopus laevis. 1987, Pubmed , Xenbase
Henry, Early tissue interactions leading to embryonic lens formation in Xenopus laevis. 1990, Pubmed , Xenbase
Henry, Characterizing gene expression during lens formation in Xenopus laevis: evaluating the model for embryonic lens induction. 2002, Pubmed , Xenbase
Henry, The cellular and molecular bases of vertebrate lens regeneration. 2003, Pubmed
Henry, The matured eye of Xenopus laevis tadpoles produces factors that elicit a lens-forming response in embryonic ectoderm. 1995, Pubmed , Xenbase
Hensey, Programmed cell death during Xenopus development: a spatio-temporal analysis. 1998, Pubmed , Xenbase
Huang, Evaluation of fibroblast growth factor signaling during lens fiber cell differentiation. 2003, Pubmed
Huelsenbeck, MRBAYES: Bayesian inference of phylogenetic trees. 2001, Pubmed
Hyer, FGF1 patterns the optic vesicle by directing the placement of the neural retina domain. 1998, Pubmed
Hyer, Optic cup morphogenesis requires pre-lens ectoderm but not lens differentiation. 2003, Pubmed
Jaakola, The 2.6 angstrom crystal structure of a human A2A adenosine receptor bound to an antagonist. 2008, Pubmed
Joost, Phylogenetic analysis of 277 human G-protein-coupled receptors as a tool for the prediction of orphan receptor ligands. 2002, Pubmed
Lattin, Expression analysis of G Protein-Coupled Receptors in mouse macrophages. 2008, Pubmed
Lovicu, Growth factor regulation of lens development. 2005, Pubmed
Malloch, Gene expression profiles of lens regeneration and development in Xenopus laevis. 2009, Pubmed , Xenbase
Matteson, The orphan G protein-coupled receptor, Gpr161, encodes the vacuolated lens locus and controls neurulation and lens development. 2008, Pubmed
Mescher, Regenerative capacity and the developing immune system. 2005, Pubmed
Millar, The year in G protein-coupled receptor research. 2010, Pubmed
Ohnuma, Co-ordinating retinal histogenesis: early cell cycle exit enhances early cell fate determination in the Xenopus retina. 2002, Pubmed , Xenbase
Palczewski, Crystal structure of rhodopsin: A G protein-coupled receptor. 2000, Pubmed
Park, Crystal structure of the ligand-free G-protein-coupled receptor opsin. 2008, Pubmed
Rasmussen, Crystal structure of the human beta2 adrenergic G-protein-coupled receptor. 2007, Pubmed
Schaefer, Conservation of gene expression during embryonic lens formation and cornea-lens transdifferentiation in Xenopus laevis. 1999, Pubmed , Xenbase
Scheerer, Crystal structure of opsin in its G-protein-interacting conformation. 2008, Pubmed
Tsonis, Stem cells and blastema cells. 2008, Pubmed
Venkataraman, The G-protein coupled receptor, GPR84 regulates IL-4 production by T lymphocytes in response to CD3 crosslinking. 2005, Pubmed
Walter, Psf2 plays important roles in normal eye development in Xenopus laevis. 2008, Pubmed , Xenbase
Walter, Molecular profiling: gene expression reveals discrete phases of lens induction and development in Xenopus laevis. 2004, Pubmed , Xenbase
Wang, Medium-chain fatty acids as ligands for orphan G protein-coupled receptor GPR84. 2006, Pubmed
Warne, Structure of a beta1-adrenergic G-protein-coupled receptor. 2008, Pubmed
Waterhouse, Jalview Version 2--a multiple sequence alignment editor and analysis workbench. 2009, Pubmed
Weis, Structural insights into G-protein-coupled receptor activation. 2008, Pubmed
Wittenberger, An expressed sequence tag (EST) data mining strategy succeeding in the discovery of new G-protein coupled receptors. 2001, Pubmed
Wolfe, Neuronal leucine-rich repeat 6 (XlNLRR-6) is required for late lens and retina development in Xenopus laevis. 2006, Pubmed , Xenbase
Yousefi, Cloning and expression analysis of a novel G-protein-coupled receptor selectively expressed on granulocytes. 2001, Pubmed
