Click here to close
Hello! We notice that you are using Internet Explorer, which is not supported by Xenbase and may cause the site to display incorrectly.
We suggest using a current version of Chrome,
FireFox, or Safari.
???displayArticle.abstract??? CPEB-mediated polyadenylation-induced translation of several developmentally important mRNAs drives Xenopus laevis oocyte meiotic progression and production of fertilizable eggs. To date, the signal transduction events that induce CPEB activation remain somewhat unclear, however, XGef has been shown to be involved in this process. P42MAPK (ERK2) activity and XRINGO accumulation are also required for the activating phosphorylation of CPEB. We show here that XGef activity influences the early meiotic function of XRINGO/CDK1, a novel component of the progesterone signaling pathway. An XGef-specific antibody depresses XRINGO-induced GVBD, whereas XGef overexpression accelerates this process. XGef and CPEB interact with XRINGO in immature and maturing oocyte extracts and XGef, XRINGO and ERK2 interact directly in vitro. These data suggest that an XGef/XRINGO/ERK2/CPEB complex forms in ovo during early meiotic resumption. Notably, specific inhibition of XRINGO/CDK1 activity in CPEB phosphorylation-competent extracts completely blocks phosphorylation of CPEB, which suggests that XRINGO/CDK1 directly phosphorylates CPEB. Finally, overexpression of XGef (65-360), which cannot bind CPEB or ERK2, but is capable of XRINGO association, blocks XRINGO-induced meiotic progression potentially through titration of endogenous XRINGO. Combined, our results suggest that XGef is involved in XRINGO/CDK1 mediated activation of CPEB and that an XGef/XRINGO/ERK2/CPEB complex forms in ovo to facilitate this process.
Fig. 1. XGef function influences XRINGO signaling in oocytes. (A) Injection of XGef-specific antibodies depresses XRINGO-induced meiotic progression. Oocytes were injected with affinity purified XGef antibody (XGef-IgG) or normal rabbit IgG (NS-IgG). After a 16-h incubation, meiotic resumption was induced with MBP-XRINGO microinjection. The percentage of oocytes with GVBD observed over time is graphed. Inset: Injected XGef and control IgGs were resolved by SDS-PAGE and coomassie stained to determine concentration. (B) P-ERK2 immunoblot analysis of XRINGO injected oocytes, pre-injected with XGef-IgG is shown. The extracts in Part A were probed for phospho-active ERK2 (IB: P-ERK2) or PCNA antibody (IB: PCNA) as a loading control. Immunoblots are representative of three independent experiments. (C) HA-XGef overexpression accelerates XRINGO-induced GVBD. Oocytes were injected with HA-XGef or HA-Globin mRNAs (20 ng) and incubated overnight. To trigger meiotic progression, oocytes were re-injected with MBP-XRINGO protein (46 ng). The percentage of oocytes that achieved GVBD during hourly observation is graphed. Inset: HA-XGef and HA-Globin expression was detected by HA-antibody immunoblotting (IB: HA). The graphs shown in 1A and 1C are each representative of at least three independent experiments.
Fig. 2. HA-XGef and HA-CPEB interact with MBP-XRINGO in oocyte extracts. (A) Oocyte expressed HA-XGef interacts with bacterially expressed MBP-XRINGO during early meiosis. Oocytes overexpressing HA-XGef were lysed at the indicated times after progesterone stimulation and incubated with amylose bead-bound MBP-XRINGO or MBP. Input extracts (lanes 1â4) and MBP (lanes 6â9) and MBP-XRINGO-bound proteins (lanes 11â14) were analyzed by SDS-PAGE and HA-antibody Western blot analysis (IB: HA). (B) HA-CPEB overexpressed in oocytes interacts with MBP-XRINGO. Extracts prepared from immature (Hrs Prog 0) and maturing (Hrs Prog 3) oocytes overexpressing HA-CPEB were incubated with amylose bead-bound MBP (lanes 3 and 4) and MBP-XRINGO (lanes 5 and 6). Amylose bead-bound proteins and input extracts were analyzed as in panel A.
Fig. 3. GST-XGef, MBP-XRINGO and His-ERK2 interact directly in vitro. (A) Soluble MBP-XRINGO (top blot) and MBP (bottom blot) were incubated with bacterially expressed, glutathione bead-bound, GST or GST-XGef. Proteins associated with the GST-tagged proteins on glutathione beads were analyzed by immunoblotting with MBP antibody (IB: MBP). Input MBP and MBP-XRINGO are shown (lane 1). Pulled down (PD) proteins and supernatants collected after binding (Post) were subject to MBP-immunoblot analysis as well. (B) Soluble His-ERK2 was combined with glutathione-bound GST or GST-XGef. Bead-bound reactions (lanes 3 and 4) and input His-ERK2 (lanes 1â2) were probed with His-antibody (IB: His). Input GST-tagged proteins are shown in the bottom panel (CS). (C) Soluble His-ERK2 was incubated with amylose immobilized MBP-XRINGO or MBP alone. Pulled down and input proteins were analyzed by SDS-PAGE and immunoblotting with His-antibody (IB: His). Input amylose-tethered MBP-tagged proteins were resolved and visualized by SDS-PAGE and coomassie staining (CS).
Fig. 4. XRINGO depletion with antisense oligonucleotides disrupts CPEB phosphorylation and ERK2 activation. (A) Oocytes were injected with 100 ng of XRINGO sense or antisense oligonucleotides prior to progesterone stimulation. At the indicated times after progesterone induction (Hrs prog) oocytes were lysed and extracts combined with nickel bead-bound His-CPEB and 32P [ATP] for an in vitro His-CPEB phosphorylation assay. Radiolabeled His-CPEB was visualized by SDS-PAGE and autoradiography (32P). Equivalent levels of His-CPEB were added to each reaction (CS). (B) Oocytes collected in parallel were analyzed by P-ERK2 immunoblot (IB: P-ERK2). A PCNA antibody was used as a loading control (IB: PCNA).
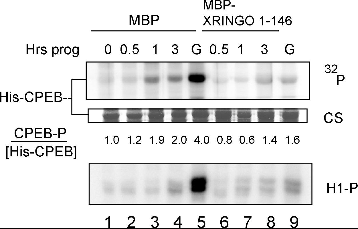
Fig. 5. Inhibition of XRINGO activity with XRINGO (1-146) blocks CPEB phosphorylation in progesterone stimulated oocytes. Oocyte extracts were prepared at the indicated times after progesterone stimulation. After pre-treatment with soluble MBP (10 μg) or MBP-XRINGO 1-146 (10 μg) for 30 min, His-CPEB and 32P were added and the reaction was incubated for an additional 30 min. His-CPEB phosphorylation was assessed by SDS-PAGE and autoradiography (32P). His-CPEB levels in each reaction are indicated (CS). Oocytes collected in parallel were used in an H1 kinase assay (H1-P).
Fig. 6. GST-XGef 65-360 overexpression blocks XRINGO signaling through sequestration of XRINGO from a CPEB activating complex. (A) GST-XGef 65-360 does not bind His-ERK2 in vitro. Glutathione bead-bound GST, GST-XGef or XGef 65-360 were incubated with soluble His-ERK2 in a pulldown reaction. Inputs (lanes 1â3), supernatants after pulldown (lanes 4â6) and bead-bound His-ERK2 (lanes 7â9) were immunoblotted with anti-His antibody to detect bound ERK2 (IB: His). (B) XGef 65-360 interacts with XRINGO in oocytes. Extracts prepared from oocytes co-injected with HA-XGef WT and HA-XGef 65-360 mRNAs were incubated with amylose bead-bound MBP or MBP-XRINGO. Input extracts and pulldown proteins were probed with HA-antibody (IB: HA). Input MBP-tagged proteins were detected by SDS-PAGE and coomassie staining (CS). (C) GST-XGef 65-360 and MBP-XRINGO interact directly. Glutathione bead-bound GST, GST-XGef or GST-XGef 65-360 and soluble MBP-XRINGO were combined in an in vitro protein interaction assay. Precipitated MBP-XRINGO was detected by anti-MBP antibody immunoblot (Pulldown). Input MBP-XRINGO (Input) and GST-tagged proteins (CS) are indicated. (D) HA-XGef 65-360 overexpression in oocytes blocks XRINGO-induced GVBD. Oocytes were injected with HA-Globin, HA-XGef WT or HA-XGef 65-360 (HA-65-360) mRNAs and incubated overnight to allow protein synthesis and accumulation, prior to stimulation of meiotic progression by injection of XRINGO protein. The percentage of GVBD stage oocytes were scored hourly and plotted in a graph. Inset: HA immunoblot analysis of overexpressed, HA-tagged proteins.