Click here to close Hello! We notice that you are using Internet Explorer, which is not supported by Xenbase and may cause the site to display incorrectly. We suggest using a current version of Chrome, FireFox, or Safari.
XB-ART-42497
Dev Biol 2011 Feb 10;1373:67-78. doi: 10.1016/j.brainres.2010.12.026.
Show Gene links Show Anatomy links

Germinal sites and migrating routes of cells in the mesencephalic and diencephalic auditory areas in the African clawed frog (Xenopus laevis).

Huang YF, Zhang JY, Xi C, Zeng SJ, Zhang XW, Zuo MX.


???displayArticle.abstract???
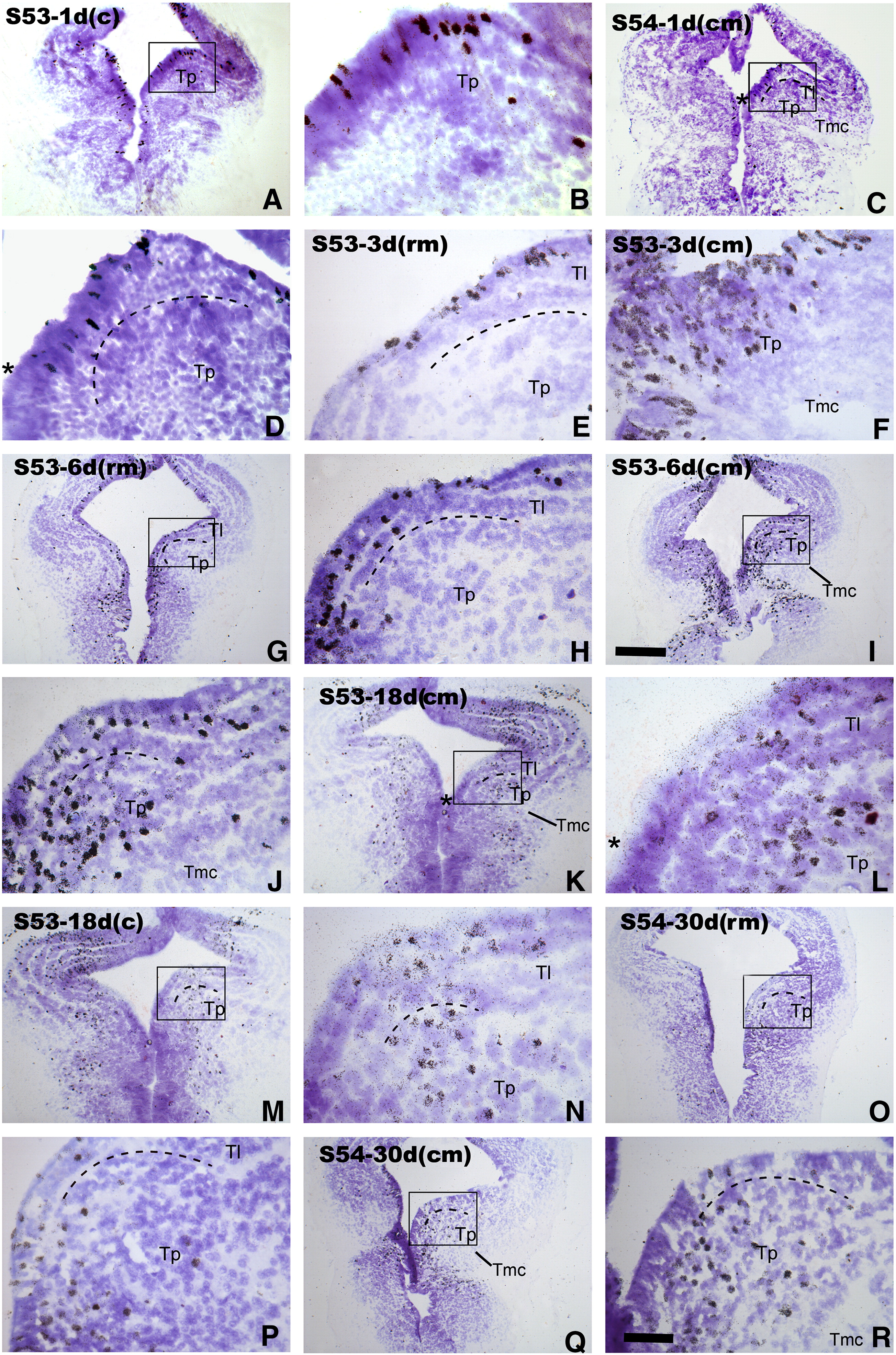
There is a clear core-shell organization in the auditory nuclei of amniotes. However, such organization only exists in the mesencephalic, but not in the diencephalic auditory regions of amphibians. To gain insights into how this core-shell organization developed and evolved, we injected a small dose of [(3)H]-thymidine into tadpoles of Xenopus laevis at peak stages of neurogenesis in the mesencephalic and diencephalic auditory areas. Following different survival times, the germinal sites and migrating routes of cells were examined in the shell (laminar nucleus, Tl; magnocellular nucleus, Tmc) and core (principal nucleus, Tp) regions of the mesencephalic auditory nucleus, torus semicircularis (Ts), as well as in the diencephalic auditory areas (posterior thalamic nucleus, P; central thalamic nucleus, C). Double labeling for [(3)H]-thymidine autoradiography and immunohistochemistry for vimentin was also performed to help determine the routes of cell migration. We found three major results. First, the germinal sites of Tp were intercalated between Tl and Tmc, arising from those of the shell regions. Second, although the germinal sites of Tl, Tmc, and Tp were located in the same brain levels (at rostromedial or caudomedial levels of Ts), neurogenesis in Tl or Tmc started earlier than that in Tp. Finally, the P and C were also generated in different ventricle sites. However, unlike Ts their neurogenesis showed no obvious temporal differences. These data demonstrate that a highly differentiated auditory region, such as Tp in Ts, is lacking in the diencephalon of amphibian. Our data are discussed from the view of the constitution and evolutionary origins of auditory nuclei in vertebrates.

???displayArticle.pubmedLink??? 21167138
???displayArticle.link??? Dev Biol


Species referenced: Xenopus laevis
Genes referenced: igf2bp3 vim vim.2
???displayArticle.antibodies??? Vim Ab2


???attribute.lit??? ???displayArticles.show???