XB-ART-42858
Cell Tissue Res
2011 Apr 01;3441:97-110. doi: 10.1007/s00441-011-1129-2.
Show Gene links
Show Anatomy links
Embryonic and adult isoforms of XLAP2 form microdomains associated with chromatin and the nuclear envelope.
Chmielewska M, Dubińska-Magiera M, Sopel M, Rzepecka D, Hutchison CJ, Goldberg MW, Rzepecki R.
???displayArticle.abstract???
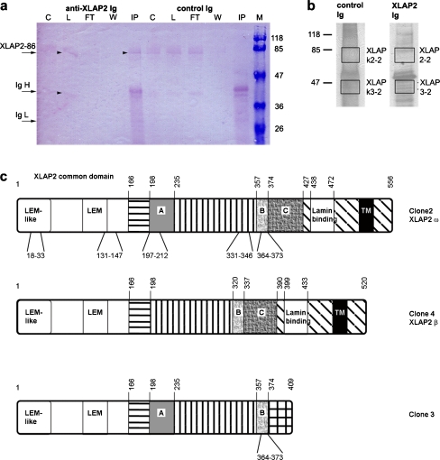
Laminin-associated polypeptide 2 (LAP2) proteins are alternatively spliced products of a single gene; they belong to the LEM domain family and, in mammals, locate to the nuclear envelope (NE) and nuclear lamina. Isoforms lacking the transmembrane domain also locate to the nucleoplasm. We used new specific antibodies against the N-terminal domain of Xenopus LAP2 to perform immunoprecipitation, identification and localization studies during Xenopus development. By immunoprecipitation and mass spectrometry (LC/MS/MS), we identified the embryonic isoform XLAP2γ, which was downregulated during development similarly to XLAP2ω. Embryonic isoforms XLAP2ω and XLAP2γ were located in close association with chromatin up to the blastula stage. Later in development, both embryonic isoforms and the adult isoform XLAP2β were localized in a similar way at the NE. All isoforms colocalized with lamin B2/B3 during development, whereas XLAP2β was colocalized with lamin B2 and apparently with the F/G repeat nucleoporins throughout the cell cycle in adult tissues and culture cells. XLAP2β was localized in clusters on chromatin, both at the NE and inside the nucleus. Embryonic isoforms were also localized in clusters at the NE of oocytes. Our results suggest that XLAP2 isoforms participate in the maintenance and anchoring of chromatin domains to the NE and in the formation of lamin B microdomains.
???displayArticle.pubmedLink??? 21347574
???displayArticle.pmcLink??? PMC3112025
???displayArticle.link??? Cell Tissue Res
Species referenced: Xenopus laevis
Genes referenced: actl6a hsp90aa1 igf2bp3 lmnb2 nucb1 nup62 sqstm1 tbx2 tmpo tsc1
???attribute.lit??? ???displayArticles.show???
References [+] :
Allen,
A protocol for isolating Xenopus oocyte nuclear envelope for visualization and characterization by scanning electron microscopy (SEM) or transmission electron microscopy (TEM).
2007, Pubmed,
Xenbase
Allen, A protocol for isolating Xenopus oocyte nuclear envelope for visualization and characterization by scanning electron microscopy (SEM) or transmission electron microscopy (TEM). 2007, Pubmed , Xenbase
Alsheimer, Nuclear envelope remodelling during rat spermiogenesis: distribution and expression pattern of LAP2/thymopoietins. 1998, Pubmed
Berger, Structure and mechanism of DNA topoisomerase II. 1996, Pubmed
Cai, Solution structure of the constant region of nuclear envelope protein LAP2 reveals two LEM-domain structures: one binds BAF and the other binds DNA. 2001, Pubmed
Dorner, Nucleoplasmic lamins and their interaction partners, LAP2alpha, Rb, and BAF, in transcriptional regulation. 2007, Pubmed
Ellenberg, Nuclear membrane dynamics and reassembly in living cells: targeting of an inner nuclear membrane protein in interphase and mitosis. 1997, Pubmed
Fricker, Interphase nuclei of many mammalian cell types contain deep, dynamic, tubular membrane-bound invaginations of the nuclear envelope. 1997, Pubmed
Furukawa, LAP2 binding protein 1 (L2BP1/BAF) is a candidate mediator of LAP2-chromatin interaction. 1999, Pubmed
Furukawa, A-type and B-type lamins initiate layer assembly at distinct areas of the nuclear envelope in living cells. 2009, Pubmed
Gant, Roles of LAP2 proteins in nuclear assembly and DNA replication: truncated LAP2beta proteins alter lamina assembly, envelope formation, nuclear size, and DNA replication efficiency in Xenopus laevis extracts. 1999, Pubmed , Xenbase
Gehrig, Expansion of the nucleoplasmic reticulum requires the coordinated activity of lamins and CTP:phosphocholine cytidylyltransferase alpha. 2008, Pubmed
Haraguchi, Live cell imaging and electron microscopy reveal dynamic processes of BAF-directed nuclear envelope assembly. 2008, Pubmed
Harris, Three distinct human thymopoietins are derived from alternatively spliced mRNAs. 1994, Pubmed
Lang, Lamina-associated polypeptide 2beta (LAP2beta) is contained in a protein complex together with A- and B-type lamins. 2003, Pubmed , Xenbase
Lang, Molecular characterization and developmentally regulated expression of Xenopus lamina-associated polypeptide 2 (XLAP2). 1999, Pubmed , Xenbase
Makatsori, The inner nuclear membrane protein lamin B receptor forms distinct microdomains and links epigenetically marked chromatin to the nuclear envelope. 2004, Pubmed
Maraldi, Intranuclear localization of phospholipids by ultrastructural cytochemistry. 1992, Pubmed
Markiewicz, Lamin A/C binding protein LAP2alpha is required for nuclear anchorage of retinoblastoma protein. 2002, Pubmed
Martins, HA95 and LAP2 beta mediate a novel chromatin-nuclear envelope interaction implicated in initiation of DNA replication. 2003, Pubmed
Meier, The role of lamin LIII in nuclear assembly and DNA replication, in cell-free extracts of Xenopus eggs. 1991, Pubmed , Xenbase
Nili, Nuclear membrane protein LAP2beta mediates transcriptional repression alone and together with its binding partner GCL (germ-cell-less). 2001, Pubmed
O'Brien, TPX2 is required for postmitotic nuclear assembly in cell-free Xenopus laevis egg extracts. 2006, Pubmed , Xenbase
Pekovic, Nucleoplasmic LAP2alpha-lamin A complexes are required to maintain a proliferative state in human fibroblasts. 2007, Pubmed
Ralle, Intranuclear membrane structure formations by CaaX-containing nuclear proteins. 2004, Pubmed , Xenbase
Rzepecki, During both interphase and mitosis, DNA topoisomerase II interacts with DNA as well as RNA through the protein's C-terminal domain. 2000, Pubmed
Rzepecki, In vivo association of lamins with nucleic acids in Drosophila melanogaster. 1998, Pubmed
Salpingidou, NEP-A and NEP-B both contribute to nuclear pore formation in Xenopus eggs and oocytes. 2008, Pubmed , Xenbase
Schoft, The lamina-associated polypeptide 2 (LAP2) isoforms beta, gamma and omega of zebrafish: developmental expression and behavior during the cell cycle. 2003, Pubmed , Xenbase
Shaklai, LAP2zeta binds BAF and suppresses LAP2beta-mediated transcriptional repression. 2008, Pubmed
Shumaker, LAP2 binds to BAF.DNA complexes: requirement for the LEM domain and modulation by variable regions. 2001, Pubmed , Xenbase
Somech, The nuclear-envelope protein and transcriptional repressor LAP2beta interacts with HDAC3 at the nuclear periphery, and induces histone H4 deacetylation. 2005, Pubmed
Wagner, LEM-Domain proteins: new insights into lamin-interacting proteins. 2007, Pubmed
Yang, Lamin-binding fragment of LAP2 inhibits increase in nuclear volume during the cell cycle and progression into S phase. 1997, Pubmed
Zaremba-Czogalla, Laminopathies: the molecular background of the disease and the prospects for its treatment. 2011, Pubmed
