Click here to close
Hello! We notice that you are using Internet Explorer, which is not supported by Xenbase and may cause the site to display incorrectly.
We suggest using a current version of Chrome,
FireFox, or Safari.
Dev Cell
2011 Sep 13;213:506-19. doi: 10.1016/j.devcel.2011.06.029.
Show Gene links
Show Anatomy links
Dynamic regulation of Emi2 by Emi2-bound Cdk1/Plk1/CK1 and PP2A-B56 in meiotic arrest of Xenopus eggs.
Isoda M, Sako K, Suzuki K, Nishino K, Nakajo N, Ohe M, Ezaki T, Kanemori Y, Inoue D, Ueno H, Sagata N.
???displayArticle.abstract???
In vertebrates, unfertilized eggs are arrested at metaphase of meiosis II by Mos and Emi2, an inhibitor of the APC/C ubiquitin ligase. In Xenopus, Cdk1 phosphorylates Emi2 and both destabilizes and inactivates it, whereas Mos recruits PP2A phosphatase to antagonize the Cdk1 phosphorylation. However, how Cdk1 phosphorylation inhibits Emi2 is largely unknown. Here we show that multiple N-terminal Cdk1 phosphorylation motifs bind cyclin B1-Cdk1 itself, Plk1, and CK1δ/ε to inhibit Emi2. Plk1, after rebinding to other sites by self-priming phosphorylation, partially destabilizes Emi2. Cdk1 and CK1δ/ε sequentially phosphorylate the C-terminal APC/C-docking site, thereby cooperatively inhibiting Emi2 from binding the APC/C. In the presence of Mos, however, PP2A-B56β/ε bind to Emi2 and keep dephosphorylating it, particularly at the APC/C-docking site. Thus, Emi2 stability and activity are dynamically regulated by Emi2-bound multiple kinases and PP2A phosphatase. Our data also suggest a general role for Cdk1 substrate phosphorylation motifs in M phase regulation.
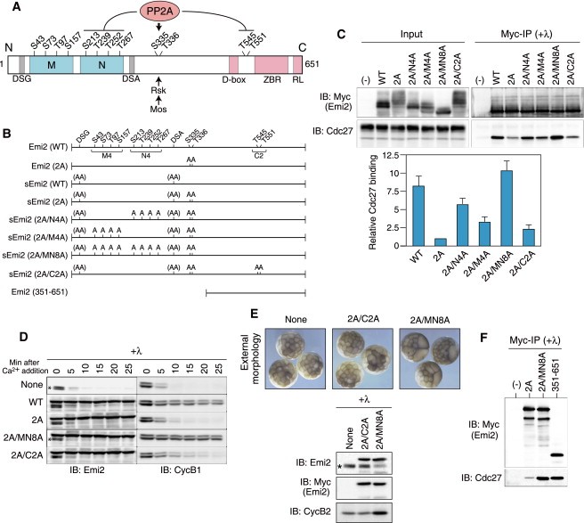
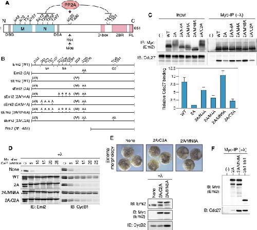
Figure 1. Requirement of N-Terminal Cdk1 Sites for Inactivation of Emi2. (A) A recently proposed model for regulation of Emi2 stability and activity (Hansen et al., 2007; J.Q. Wu et al., 2007; Q. Wu et al., 2007). For details, see text. The Ser/Thr residues in the M region are hitherto uncharacterized Cdk1 motifs.
(B) Schematic representation of Emi2 constructs used in (CâF). Ala mutations in the DSG and DSA motifs are S33/38A and S275/279A, respectively.
(C) (Myc3-tagged) sEmi2 constructs were expressed in CSF extracts (by adding their mRNAs), immunoprecipitated (IP), treated with l phosphatase (+ l), and immunoblotted (IB). In the bar diagram, the levels of coprecipitated Cdc27 were quantified and normalized to sEmi2 constructs; the relative values to Cdc27 coprecipitated with sEmi2(2A) are shown (mean ± SD, n = 4). (D) CSF extracts expressing sEmi2 constructs as in (C) were treated with cycloheximide for 5 min, treated with calcium, collected at the indicated times, treated with l phosphatase, and immunoblotted. The asterisk shows endogenous Emi2 (which is degraded upon calcium treatment). (E) Two-cell embryos were injected (at their one blastomere) with 460 pg of mRNA encoding the indicated (Myc3-tagged) sEmi2 constructs, cultured for 2.5 hr, and photographed. To detect Emi2 and cyclin B2, one-cell embryos were injected with 920 pg of the respective mRNAs, cultured for 3 hr, and subjected to immunoblotting (after l phosphatase treatment). Asterisk, endogenous Emi2.
(F) CSF extracts expressing the indicated (Myc3-tagged) (s)Emi2 constructs were analyzed as in (C)
Figure 2. Binding of Cyclin B1-Cdk1 and Plk1 to the N-Terminal Cdk1 Sites
(A and B) (Myc3-tagged) (s)Emi2 constructs expressed in CSF extracts were immunoprecipitated, treated (A) or not treated (B) with l phosphatase, and immunoblotted. In (B), CSF extracts were treated with control DMSO or 300 mM roscovitine (Rosco.) for 30 min before immunoprecipitation.
(CâE) The indicated peptides coupled to beads were incubated with CSF extracts expressing no Plk1 constructs (C and D) or expressing (Flag-tagged) WT Plk1 or PB-mutated (mu; H532A/K534M) Plk1 (E), pulled down, and immunoblotted.
Figure 3. Rebinding and Destabilization of Emi2 by Plk1 A) CSF extracts expressing (Myc3-tagged) sEmi2(2A) and either (Flag-tagged) WT Plk1 or PB-mutated (mu) Plk1 were subjected to Myc immunoprecipitation followed by l phosphatase treatment and immunoblotting.
(B) (Myc3-tagged) sEmi2 constructs expressed in CSF extracts were immunoprecipitated, treated with l phosphatase, and immunoblotted.
(C) The indicated GST-Emi2 (DSA) peptide fusion proteins (with or without Ser/Ala mutations) were subjected to in vitro kinase assays using [g-32P]ATP and Plk1, followed by SDS/PAGE, Coomassie brilliant blue staining (CBB), and autoradiography (32P). (D) In vitro translated and 35S-labeled (s)Emi2 constructs were incubated with CSF extracts in the presence of DMSO ( ) or 10 mM BI2536, treated with l phosphatase, and subjected to SDS/PAGE followed by autoradiography.
(E) (Myc3-tagged) sEmi2 constructs expressed in CSF extracts were immunoprecipitated and then immunoblotted with phospho-specific (anti-pT195) and other antibodies. (F) CSF extracts were treated with control DMSO, 10 mM BI2536, or 300 mM roscovitine for 15 min, incubated with in vitro synthesized/immunoprecipitated (Myc3- tagged) sEmi2(2A) protein, and subjected to pulldown followed by immunoblotting.
(G) In vitro kinase assays of the indicated GST-Emi2 peptide fusion proteins were performed as in (C). The DSG motif peptide and the N-terminal Cdk1 site (T267) peptide served as positive controls for Plk1 and Cdk1, respectively. (H) The indicated peptides coupled to beads were analyzed as in Figure 2C
Figure 4. Sequential Phosphorylation of the RL Tail by Cdk1 and CK1
(A) (Myc3-tagged) (s)Emi2 constructs expressed in CSF extracts were immunoprecipitated and then immunoblotted with anti-Myc and anti-phospho-T545 antibodies. In the bar diagram, the levels of each pT545-signal were quantified and normalized to each (s)Emi2 construct; the relative values to the pT545-signal of sEmi2(2A) are shown (mean ± SD, n = 4).
(B) Alignment of the RL tails of Emi2 proteins from various species. Dotted residues are those essential for APC/C binding (Ohe et al., 2010).
(C) Performed and analyzed as in (A) using the indicated phospho-specific antibodies (mean ± SD, n = 4).
(D) (Myc3-tagged) sEmi2 N-terminus(1-300;WT or MN8A)-GST-RL tail(629-651) fusion constructs, as well as a (Myc3-tagged) GST-RL tail construct, were expressed in CSF extracts and analyzed as in (C) (mean ± SD, n = 3); immunoblotting was also performed for Plk1, cyclin B1, and Cdk1.
(E) Pulldown and immunoblotting of (Myc3-tagged) sEmi2(2A), performed as in Figure 3F.
(F) In vitro kinase assays of GST-RL tail fusion proteins, performed as in Figure 3G.
(G) In vitro translated (Myc3-tagged) sEmi2(WT) protein was immunoprecipitated, phosphorylated by the indicated kinases, and immunoblotted.
Figure 5. Inactivation of Emi2 by S641/644 Phosphorylation
(A) The indicated RL tail peptides coupled to beads were untreated or treated with l phosphatase, incubated with CSF extracts, pulled down, and immunoblotted. RL/AA peptides are negative control for APC/C binding (Ohe et al., 2010).
(B) CSF extracts expressing (Myc3-tagged) sEmi2(2A/MN8A) were incubated with the indicated RL tail peptides (0.3 mM) for 20 min, and subjected to immu- noprecipitation/immunoblotting.
(C) The indicated RL tail peptides (fused to GST) were subjected to in vitro kinase assays using [g-32P]ATP and cyclin B1-Cdk1.
(D) The indicated (Myc3-tagged) sEmi2 constructs expressed in CSF extracts were immunoprecipitated, immunoblotted, and analyzed as in Figure 1C (mean ± SD, n = 4).
(E) Pulldown assays of RL tail peptides, performed as in (A).
(F and G) The indicated (Myc3-tagged) sEmi2 constructs were expressed in CSF extracts, and analyzed as in (D) (mean ± SD, n = 3).
(H) CSF extracts expressing (Myc3-tagged) sEmi2(2A) were treated with control DMSO, 300 mM D4476, 300 mM IC261, or 300 mM roscovitine for 30 min, and subjected to immunoprecipitation/immunoblotting.
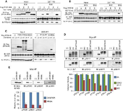
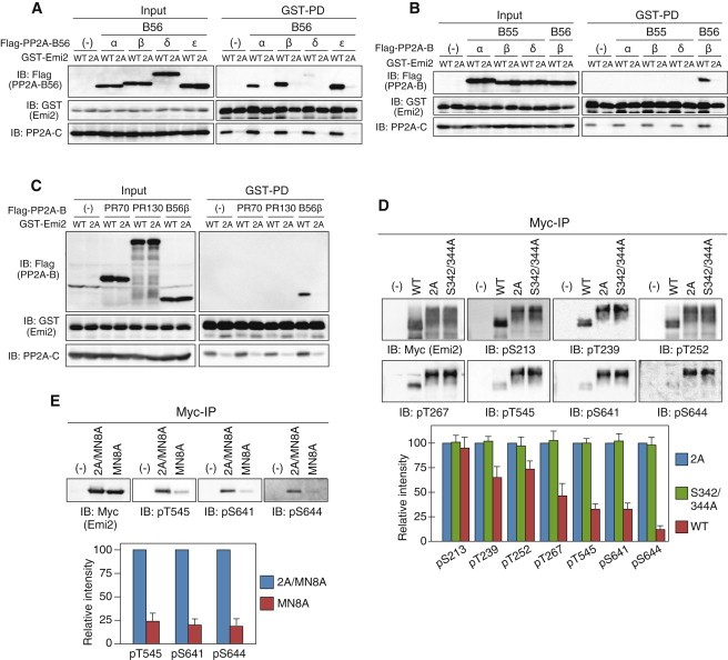
Figure 6. Dephosphorylation of the RL Tail by Recruited PP2A-B56 . (AâC) GST-Emi2(301-400;WT or 2A) protein was incubated with CSF extracts expressing (Flag-tagged) PP2A B56 isoforms (A), B55 isoforms (B), or PR70/PR130 isoforms (C), GST-pulled down, and immunoblotted. (D and E) (Myc3-tagged) sEmi2 constructs were expressed in CSF extracts, immunoprecipitated, and analyzed as in Figure 4A (mean ± SD, n = 5 for D and n = 3 for E).
Figure 7. Models for the Dynamic Regulation of Emi2 Stability and Activity during Meta-II Arrest and for the Maintenance of Meta-II Arrest
(A) Cdk1 first phosphorylates Emi2 on N-terminal Cdk1 sites (S43$T267), to the partially overlapping sites of which Cdk1, Plk1, and CK1d/ε bind. Plk1 then phosphorylates T170/195 of Emi2 to create its own (PB-dependent) stronger rebinding sites, thereby further phosphorylating the SCFb-TrCP-recognizing DSG/DSA motifs to destabilize Emi2. On the other hand, Cdk1 phosphorylates C-terminal T545/551 and S641 of the RL tail, the latter phosphorylation enabling phosphorylation of S644 by CK1d/ε; these phosphorylations prevent Emi2 from binding and inhibiting the APC/C. Upon S335/T336 phosphorylation by Rsk, however, Emi2 recruits PP2A-B56b/ε, which continuously antagonize the inhibitory phosphorylations by Cdk1/Plk1/CK1, particularly at the RL tail (and T545/551), thereby keeping upregulating Emi2 activity and stability. In the figure, the blue and red lines show the inactivation and activation pathways of Emi2, respectively.
(B) Meta-II arrest is robustly maintained by both PP2A-B56b/ε activity and inhibition of PP2A-B55d. For details, see text.