|
Figure 1. Influence of primary fixation on tissue preservation. (a and b) Primary fixation with glutaraldehyde/paraformaldehyde followed by postfixation with OsO4. Xenopus tailbud embryo, cross-section through the head (a and aâ²) and the tail (b and bâ²). Note the dense staining and the visibility of many subcellular details. No extraction can be seen. (c and d) Fixation in 80% methanol/20% DMSO (Dent's fixative), postfixation with OsO4. Xenopus tailbud, cross-section through head (c and câ²) and tail (d and dâ²). Staining is much weaker due to massive cytoplasmic extraction, intracellular details are largely obscured. Squares in a indicate the regions displayed in aâ²â², respectively. Resin embedded samples, sections stained with TB/Borax. |
|
Figure 2. Effect of postfixation with OsO4 on tissue preservation. Trunk muscle of axolotl larvae. (a) Fixation in a glutaraldehyde/paraformaldehyde mixture (GA/PFA, modified Karnovsky). (b) Primary fixation in modified Karnovsky followed by postfixation with OsO4. Technovit sections stained with TB/Borax. Note the better tissue preservation in (b), in particular the preservation of lipid droplets (*). |
|
|
|
Figure 4. Sections of anamniote vertebrate models. (a) Xenopus tailbud embryo, cross-section through the head. (b) Ambystoma mexicanum (axolotl), frontal section through head and anterior trunk of a 1 cm larva. (c) Danio rerio (zebrafish), frontal section through 3-day-old larvae. Samples were processed in the Leica EM-AMW tissue processor and embedded in the methacrylate Technovit 7100, sectioned 2 to 5 μm thick, and stained with TB/Borax. |
|
Xenopus tailbud embryo,NF stage 28, in cross-section through the head,showing the retina and lens of the eye, brain, pharynx and epidermis. |
|
Figure 5. Histology of Xenopus (a) and axolotl (f and g) embryos and larvae after microwave-assisted processing and embedding in Technovit 7100. (a and b) Xenopus tailbud (st. 40), cross-section through the trunk, sectioning plane indicated in the insert. (a) Overview. (b) Details at higher magnification; cap, capillary; dm, dermo-myotome; epi, epidermis; ld, lipid droplet; mel, melanocyte; mu, muscle filaments; myo, myotome; not, notochord; nt, neural tube; nuc, nucleus; vac, vacuole; yp, yolk platelet. (c) Xenopus tadpole (stage 45), cross-section through the head, sectioning plane indicated in the insert. (c) Different well preserved tissue types are visible such as cartilage (cart), mesenchyme (mes), muscle (mu) or peripheral nerves (ne); cap, capillary; epi, epidermis. (d) Two-layered epidermis with apical mucus containing granules (ag) and a well preserved basement membrane (bm); fib, fibroblast. (e) muscle fiber, peripheral nuclei (nuc), a satellite cell (sc) and details of the contractile apparatus are clearly visible. (f and g) Axolotl larva, frontal section through the head. (f) Pharynx area with epidermis (epi), mesenchyme (mes), and the developing cartilage (cart) of gill arches. (g) Ciliated cell in the epidermis. Cilia (ci) and basal bodies (bb) are visible; ag, apical granules; bm, basement membrane; ld, lipid droplet; nuc, nucleus; pg, pigment granules. |
|
Figure 6. Histology and EM of larval Xenopus retina after microwave-assisted processing and embedding in Epon 812. (a) Semithin epon section (1 μm) stained with TB/Borax; inl, inner nuclear layer; le, lens; on, optic nerve; onl, outer nuclear layer; os, outer segment of photoreceptor cell; rpe, retinal pigment epithelium. (b) EM-micrograpgh of photoreceptor cells (onl, os) and retinal pigment layer (rpe); yp, yolk platelet. (c) Outer segment (os) at higher magnification, regularly packed membrane discs. |
|
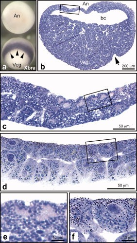
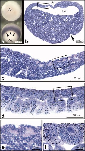
Figure 7. Histology of an early gastrula after in situ hybridization. Embryos were dehydrated, infiltrated in Technovit 7100, embedded, sectioned (2 μm) and stained with TB/Borax. (a) Xbra-exression in the marginal zone, top: animal view (An), bottom vegetal view (Veg). (b) Post-ISH histology of the gastrula displayed in (a) (bottom), the arrow indicates the blastopore. (c) Part of the animal cap indicated by the rectangle in (b) at higher magnification. (d) Animal cap of an early gastrula after MW-assisted tissue processing (see Table 1). Note the much better preservation. (e) Detail of the post-ISH sample; only nuclei and yolk platelets can be seen, cell shapes are obscured. (f) Detail of the MW-processed, well-fixed sample, intracellular details can be discriminated, cell shapes are clearly detectable. |
|
An early gastrula at NF stage 10.5, sectioned (2 μm) and stained with TB/Borax, showing the animal cap (An) vegetal pole (vegt), blastocoel cavity (bc) , and with arrow pointing to blastopre lip. |
|
Figure 8. Whole-mount Immunofluorescence followed by embedding in Technovit 7100 and analysis of 2 to 5 μm thick sections. (a) Dorsoanterior mesoderm (mes) migrating along the blastocoel roof (bcr); ect, ectoderm; end, endoderm. Antibodies: anti-fibronectin (FN, red), XB/U-cadherin (green). Nuclei counterstained with DAPI. (b) Xenopus animal cap (explanted at stage 9, fixed at stage 22), overview. (c) same cap at higher magnification. Antibodies: anti-β-catenin (P14L, red), anti-phospho-histone H3 (red, due to the overlap with DAPI it appears magenta), anti-tubulin (green). Nuclei counterstained with DAPI. (d) Fluorescence of membrane-anchored GFP (memGFP) in a tailbud embryo after fixation, embedding, and sectioning. memGFP-mRNA was injected into one blastomere at the two-cell stage; epi, epidermis; myo, myotome; not, notochord; nt, neural tube. (e) Section through the dorsal side of stage 11 gastrula. At the 16-cell stage, memGFP-mRNA and rhodamin-dextran were injected into dorsoanterior animal and vegetal cells, respectively, and the embryos cultured until stage 11. After fixation, they were embedded in Technovit 7100, sectioned and scored for GFP (green) and rhodamine (red). (f) Section through the smooth muscle layers of the Xenopus adult intestine. Smooth muscle cells are surrounded by thin layer of ECM and strongly express β1-integrin (green); bv, blood vessel; mu, smooth muscle; sub, submucosa. (g) Axolotl embryos (stage 24) stained with anti-actin (green) and anti-β-Catenin (red). (g) Somite (som), epi, epdermis. (h) Notochord (not), neural tube (nt) and archenteron (arch). (i) Large endodermal cells. |
|
|
|
Histology of NF stage 28 Xenopus embryo in longitudinal section, anterior left, dorsal up. |
|
Tailbud in NF stage 28 Xenopus embryo. Histology (left) illustrating the epidermis outer layer and epidermal inner (sensorial) layer, posterior end of neural tube overlying notochord, and remnants of the archenteron. Immunohistochemistry ( right) of same tissues with maker for cell membranes (beta catenin (ctnnb1)) in red, and cell junctions (zo-1 [tjp1] in green. |
|
Xenopus tailbud embryo, NF stage 28, in cross-section through the head (a and aâ²). Note the dense staining and the visibility of many subcellular details in the head including the cement gland, ciliated epidermal cells, head mesenchyme, brain, eye and epidermis. In the tail section (b) note the epidermis in dorsal and ventral fin, mesoderm of the tail somites and the posterior neural tube. |
|
Xenopus tadpole at NF stage 40, in cross-section through the trunk, dorslal up, showing the epidermis (epi) and underlaying layer of dermomyotome (dm) above the myotome (myo) of the trunk somites. The neural tube (nt) and notochord (not) also indicated. |
|
Histology of Xenopus laevis tadpole (NF stage 40), after microwave-assisted processing and embedding in Technovit 7100, cross-section through the trunk, sectioning plane indicated in the insert. (a) Overview. (b) Details at higher magnification; cap, capillary; dm, dermomyotome; epi, epidermis; ld, lipid droplet; mel, melanocyte; mu, [skeletal] muscle filaments; myo, myotome; not, notochord; nt, neural tube; nuc, nucleus; vac, vacuole; yp, yolk platelet. |