Click here to close Hello! We notice that you are using Internet Explorer, which is not supported by Xenbase and may cause the site to display incorrectly. We suggest using a current version of Chrome, FireFox, or Safari.
XB-ART-44933
BMC Dev Biol 2012 Feb 27;12:9. doi: 10.1186/1471-213X-12-9.
Show Gene links Show Anatomy links

Skeletal muscle regeneration in Xenopus tadpoles and zebrafish larvae.

Rodrigues AM, Christen B, Martí M, Izpisúa Belmonte JC.


???displayArticle.abstract???
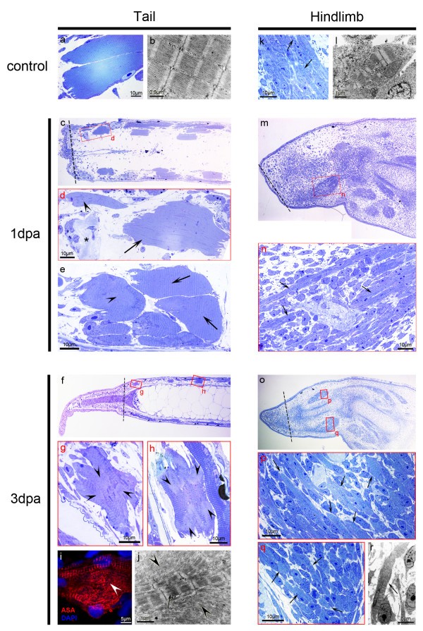
BACKGROUND: Mammals are not able to restore lost appendages, while many amphibians are. One important question about epimorphic regeneration is related to the origin of the new tissues and whether they come from mature cells via dedifferentiation and/or from stem cells. Several studies in urodele amphibians (salamanders) indicate that, after limb or tail amputation, the multinucleated muscle fibres do dedifferentiate by fragmentation and proliferation, thereby contributing to the regenerate. In Xenopus laevis tadpoles, however, it was shown that muscle fibres do not contribute directly to the tail regenerate. We set out to study whether dedifferentiation was present during muscle regeneration of the tadpole limb and zebrafish larval tail, mainly by cell tracing and histological observations. RESULTS: Cell tracing and histological observations indicate that zebrafish tail muscle do not dedifferentiate during regeneration. Technical limitations did not allow us to trace tadpole limb cells, nevertheless we observed no signs of dedifferentiation histologically. However, ultrastructural and gene expression analysis of regenerating muscle in tadpole tail revealed an unexpected dedifferentiation phenotype. Further histological studies showed that dedifferentiating tail fibres did not enter the cell cycle and in vivo cell tracing revealed no evidences of muscle fibre fragmentation. In addition, our results indicate that this incomplete dedifferentiation was initiated by the retraction of muscle fibres. CONCLUSIONS: Our results show that complete skeletal muscle dedifferentiation is less common than expected in lower vertebrates. In addition, the discovery of incomplete dedifferentiation in muscle fibres of the tadpole tail stresses the importance of coupling histological studies with in vivo cell tracing experiments to better understand the regenerative mechanisms.

???displayArticle.pubmedLink??? 22369050
???displayArticle.pmcLink??? PMC3313851
???displayArticle.link??? BMC Dev Biol


Species referenced: Xenopus laevis
Genes referenced: actl6a dmd.2 hsp70 hspa1l mef2a myod1 myog odc1
???displayArticle.antibodies??? Dmd.2 Ab3 Pcna Ab5


???attribute.lit??? ???displayArticles.show???
References [+] :
Beck, Molecular pathways needed for regeneration of spinal cord and muscle in a vertebrate. 2003, Pubmed, Xenbase