Click here to close
Hello! We notice that you are using Internet Explorer, which is not supported by Xenbase and may cause the site to display incorrectly.
We suggest using a current version of Chrome,
FireFox, or Safari.
PLoS One
2012 Jan 01;73:e33889. doi: 10.1371/journal.pone.0033889.
Show Gene links
Show Anatomy links
Identification of a novel signaling pathway and its relevance for GluA1 recycling.
Seebohm G, Neumann S, Theiss C, Novkovic T, Hill EV, Tavaré JM, Lang F, Hollmann M, Manahan-Vaughan D, Strutz-Seebohm N.
???displayArticle.abstract???
We previously showed that the serum- and glucocorticoid-inducible kinase 3 (SGK3) increases the AMPA-type glutamate receptor GluA1 protein in the plasma membrane. The activation of AMPA receptors by NMDA-type glutamate receptors eventually leads to postsynaptic neuronal plasticity. Here, we show that SGK3 mRNA is upregulated in the hippocampus of new-born wild type Wistar rats after NMDA receptor activation. We further demonstrate in the Xenopus oocyte expression system that delivery of GluA1 protein to the plasma membrane depends on the small GTPase RAB11. This RAB-dependent GluA1 trafficking requires phosphorylation and activation of phosphoinositol-3-phosphate-5-kinase (PIKfyve) and the generation of PI(3,5)P(2). In line with this mechanism we could show PIKfyve mRNA expression in the hippocampus of wild type C57/BL6 mice and phosphorylation of PIKfyve by SGK3. Incubation of hippocampal slices with the PIKfyve inhibitor YM201636 revealed reduced CA1 basal synaptic activity. Furthermore, treatment of primary hippocampal neurons with YM201636 altered the GluA1 expression pattern towards reduced synaptic expression of GluA1. Our findings demonstrate for the first time an involvement of PIKfyve and PI(3,5)P(2) in NMDA receptor-triggered synaptic GluA1 trafficking. This new regulatory pathway of GluA1 may contribute to synaptic plasticity and memory.
???displayArticle.pubmedLink???
22470488 ???displayArticle.pmcLink???PMC3309939 ???displayArticle.link???PLoS One ???displayArticle.grants???[+]
Figure 1. SGK3 mRNA expression in hippocampus after pharmacological NMDA receptor stimulation.mRNA levels of SGK3 before and after incubation of hippocampal slices with 10 µM NMDA for 30 minutes, determined by quantitative RT-PCR. The expression data from hippocampus were normalized to the expression of the housekeeping gene β-actin. The quantitative RT-PCR revealed a 2.5±0,52 fold increase in SGK3 mRNA in NMDA-treated compared to non-treated hippocampal slices. Number of experiments n = 4.
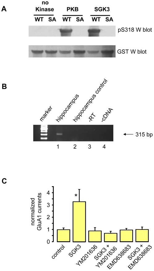
Figure 2. PIKfyve expression, phosphorylation, and function.(A) PIKfyve is phosphorylated at Ser318 by SGK3 and at Ser318 by PKB. Purified recombinant GST-tagged wild-type (WT) or S318A mutant (SA) of PIKfyve was subjected to Western blotting. Blots were incubated with rabbit anti-GST antibody (PIKfyve; lower panel), followed by stripping and reprobing with a rabbit anti-PIKfyve antibody specific for phosphoserine 318 (apS318; top panel). (B) RT-PCR demonstrating that PIKfyve is expressed in hippocampus. Lane 1: cDNA from hippocampus, the two primers bind in exons 19 and 20, respectively, and amplify a 315 bp fragment of PIKfyve; lane 2: control reaction to exclude genomic contamination; lane 3: control reaction without reverse transcriptase; lane 4: control reaction without cDNA. (C) The PIKfyve inhibitor YM201636 and SGK inhibitor EMD638683 suppress the upregulating effect of SGK3 on GluA1 currents. GluA1 current amplitudes in oocytes expressing GluA1. Acute injection of purified active SGK3 protein led to an increase in GluA1 currents. The effects of YM201636 and EMD638683 on GluA1 currents were measured in oocytes before and after acute injection of SGK3 protein. Significant change to GluA1 control (p = 0.013) is indicated by *. Numbers of oocytes were n = 7–36.
Figure 3. GluA1 function is increased by SGK3 and PIKfyve.(A) Representative current traces measured in Xenopus oocytes in response to superfusion with 300 µM glutamate plus 100 µM cyclo-thiacide. All currents were measured at −70 mV. Vertical scale-bar, 0,5 µA; horizontal bar, 4 s. (B) GluA1 current amplitudes in oocytes expressing GluA1, or combinations of GluA1 with SGK3, the inactive form of PIKfyve (PIKfyve(S318A)), or wild type PIKfyve. Numbers of oocytes are n = 20–30. Significant changes (p<0.001) are indicated by *** (p = 0.00049; 0.00036; 0.000073, respectively). (C) Representative samples including controls from uninjected oocytes were biotinylated to isolate plasma membrane GluA1, then separated on an SDS gel, Western-blotted and probed with a primary rabbit anti-GluA1 antibody. The GluA1 protein has an apparent molecular weight of ∼105 kDa. (D) Bar graph showing relative abundance of GluA1 plasma membrane protein. The band intensity was quantified by densitometric analysis using the software Scion image.
Figure 4. Regulation of GluA1 by SGK3 and PIKfyve is Rab11-dependent.(A) Representative current traces measured in Xenopus oocytes in response to superfusion with 300 µM glutamate plus 100 µM cyclo-thiacide. All currents were measured at −70 mV. Vertical scale-bar, 0,5 µA; horizontal bar, 4 s. (B) GluA1 current amplitudes in oocytes expressing GluA1, or combinations of GluA1 with Rab11, the dominant negative form of Rab11 (Rab11DN), PIKfyve, or SGK3. Numbers of oocytes are n = 15–30. Significant changes (p<0.001, p<0.05) are indicated by *** (p = 0.00015) and * (p = 0.036), respectively. (C) Representative samples including controls from uninjected oocytes were biotinylated to isolate plasma membrane GluA1, then separated on an SDS gel, Western-blotted and probed with a primary rabbit anti-GluA1 antibody. The GluA1 protein has an apparent molecular weight of ∼105 kDa. (D) Bar graph showing relative abundance of GluA1 plasma membrane protein. The band intensity was quantified by densitometric analysis using the software Scion image.
Figure 5. The SGK3-dependent trafficking of GluA1 proteins requires functional RAB11 and the generation of PI(3,5)P2, but is myosin-independent.(A) GluA1 current amplitudes in oocytes before and after acute injection of a water-soluble analog of PI(3,5)P2. Significant change (p<0.05) is indicated by * (p = 0.0015). (B) GluA1 current amplitudes in oocytes expressing GluA1 or combinations of GluA1 with Rab11 or the dominant negative form of Rab11 (Rab11DN), before and after acute injection of a water-soluble analog of PI (3,5)P2. Numbers of oocytes are n = 7–28. Significant change (p<0.05) is indicated by * (p = 0.025). (C) GluA1 current amplitudes in oocytes expressing GluA1 or combinations of GluA1 with SGK3, myosin Vb, or the mutated form of myosin Vb (myosin del). Number of oocytes are n = 14–28.
Figure 6. Reduced GluA1 expression after treatment with an SGK inhibitor or a PIKfyve inhibitor.(A, B) Statistical analysis of GluA1 surface expression and colocalization of GluA1 with neuroligin revealed increased surface and synaptic GluA1 expression after treatment with NMDA. This effect is abolished by SGK or PIKfyve inhibition. Control = untreated, NMDA = incubated with NMDA, PIK-In = treated with PIKfyve inhibitor, SGK-In = treated with SGK inhibitor. (C–H) Representative confocal images of dendrites stained with GluA1 (green) and neuroligin (red –Neuro) in controls versus NMDA-treated neurons under different conditions: (C) control versus (D) NMDA, (E) PIKfyve inhibitor (PIK inhibitor), (F) PIKfyve inhibitor and NMDA (PIK inhibitor+NMDA), (G) SGK inhibitor (SGK inhibitor), (H) SGK inhibitor and NMDA (SGK inhibitor+NMDA). The magnification is equal for all images - scale bar indicates 5 µm. Number of images analyzed n = 10–15, obtained from independent neuron culture preparations.
Figure 7. PIKfyve inhibition results in depression of hippocampal basal synaptic transmission.(A) Basal synaptic transmission was recorded in the CA1 region of hippocampal slices. Control (non-treated) hippocampi, or hippocampi treated with DMSO showed stable evoked responses throughout the 210 min recording period. Treatment with the PIKfyve inhibitor (YM201636) elicited a depression of evoked responses that became evident 40 min after drug application. Line-breaks indicate changes in time-scale. Black bar indicates DMSO or drug application. (B) Analog traces representing evoked potentials obtained in control slices or in slices in the presence of DMSO or YM201636, at the time-points indicated in the graph. Vertical scale-bar, 3 mV; horizontal bar, 3 ms.
Figure 8. Postulated model of SGK3-dependent regulation of GluA1.Upon stimulation of NMDA receptors SGK3 is transcriptionally upregulated. SGK3 in turn phosphorylates/activates PIKfyve, which leads to local production of PI(3,5)P2 in PIKfyve-containing recycling vesicles. PI(3,5)P2 in turn stimulates Rab11-dependent plasma membrane-directed trafficking of GluA1-containing vesicles.
Ahmadian,
Tyrosine phosphorylation of GluR2 is required for insulin-stimulated AMPA receptor endocytosis and LTD.
2004, Pubmed
Ahmadian,
Tyrosine phosphorylation of GluR2 is required for insulin-stimulated AMPA receptor endocytosis and LTD.
2004,
Pubmed Alesutan,
Regulation of the glutamate transporter EAAT4 by PIKfyve.
2010,
Pubmed
,
Xenbase Appleby,
LTP in hippocampal neurons is associated with a CaMKII-mediated increase in GluA1 surface expression.
2011,
Pubmed Arendt,
PIP3 controls synaptic function by maintaining AMPA receptor clustering at the postsynaptic membrane.
2010,
Pubmed Berwick,
Protein kinase B phosphorylation of PIKfyve regulates the trafficking of GLUT4 vesicles.
2004,
Pubmed Choquet,
Fast AMPAR trafficking for a high-frequency synaptic transmission.
2010,
Pubmed Derkach,
Regulatory mechanisms of AMPA receptors in synaptic plasticity.
2007,
Pubmed Ehlers,
Reinsertion or degradation of AMPA receptors determined by activity-dependent endocytic sorting.
2000,
Pubmed Gehring,
Regulation of the glutamate transporter EAAT2 by PIKfyve.
2009,
Pubmed
,
Xenbase Gehring,
PIKfyve upregulates CFTR activity.
2009,
Pubmed
,
Xenbase Gentzsch,
Endocytic trafficking routes of wild type and DeltaF508 cystic fibrosis transmembrane conductance regulator.
2004,
Pubmed Gerges,
Local control of AMPA receptor trafficking at the postsynaptic terminal by a small GTPase of the Rab family.
2004,
Pubmed Ho,
Phosphatidylinositol-3,5-bisphosphate: no longer the poor PIP2.
2012,
Pubmed Huang,
Insulin can regulate GLUT4 internalization by signaling to Rab5 and the motor protein dynein.
2001,
Pubmed Hutagalung,
Role of Rab GTPases in membrane traffic and cell physiology.
2011,
Pubmed Keifer,
AMPA receptor trafficking and learning.
2010,
Pubmed Kennedy,
Organelles and trafficking machinery for postsynaptic plasticity.
2006,
Pubmed Kessler,
Rab11 is associated with GLUT4-containing vesicles and redistributes in response to insulin.
2000,
Pubmed Klaus,
Regulation of the Na(+)-coupled glutamate transporter EAAT3 by PIKfyve.
2009,
Pubmed
,
Xenbase Klaus,
PIKfyve-dependent regulation of the Cl- channel ClC-2.
2009,
Pubmed
,
Xenbase Lessmann,
Cyclic AMP endogenously enhances synaptic strength of developing glutamatergic synapses in serum-free microcultures of rat hippocampal neurons.
1997,
Pubmed Lisman,
A unified model of the presynaptic and postsynaptic changes during LTP at CA1 synapses.
2006,
Pubmed Mukhopadhyay,
Sequential actions of Rab5 and Rab7 regulate endocytosis in the Xenopus oocyte.
1997,
Pubmed
,
Xenbase Newpher,
Glutamate receptor dynamics in dendritic microdomains.
2008,
Pubmed Novick,
Friends and family: the role of the Rab GTPases in vesicular traffic.
1993,
Pubmed Park,
Recycling endosomes supply AMPA receptors for LTP.
2004,
Pubmed Passafaro,
Subunit-specific temporal and spatial patterns of AMPA receptor exocytosis in hippocampal neurons.
2001,
Pubmed Sbrissa,
Role for a novel signaling intermediate, phosphatidylinositol 5-phosphate, in insulin-regulated F-actin stress fiber breakdown and GLUT4 translocation.
2004,
Pubmed Seebohm,
Molecular determinants of KCNQ1 channel block by a benzodiazepine.
2003,
Pubmed
,
Xenbase Seebohm,
Regulation of endocytic recycling of KCNQ1/KCNE1 potassium channels.
2007,
Pubmed
,
Xenbase Shepherd,
The cell biology of synaptic plasticity: AMPA receptor trafficking.
2007,
Pubmed Shisheva,
PIKfyve: Partners, significance, debates and paradoxes.
2008,
Pubmed Soderling,
Postsynaptic protein phosphorylation and LTP.
2000,
Pubmed Strutz-Seebohm,
Regulation of GluR1 abundance in murine hippocampal neurones by serum- and glucocorticoid-inducible kinase 3.
2005,
Pubmed
,
Xenbase Wang,
Myosin Vb mobilizes recycling endosomes and AMPA receptors for postsynaptic plasticity.
2008,
Pubmed Yang,
Delivery of AMPA receptors to perisynaptic sites precedes the full expression of long-term potentiation.
2008,
Pubmed