XB-ART-45299
PLoS One
2012 Jan 01;75:e36136. doi: 10.1371/journal.pone.0036136.
Show Gene links
Show Anatomy links
Maternal Wnt/β-catenin signaling coactivates transcription through NF-κB binding sites during Xenopus axis formation.
???displayArticle.abstract???
Maternal Wnt/β-Catenin signaling establishes a program of dorsal-specific gene expression required for axial patterning in Xenopus. We previously reported that a subset of dorsally expressed genes depends not only on Wnt/β-Catenin stimulation, but also on a MyD88-dependent Toll-like receptor/IL1-receptor (TLR/IL1-R) signaling pathway. Here we show that these two signal transduction cascades converge in the nucleus to coactivate gene transcription in blastulae through a direct interaction between β-Catenin and NF-κB proteins. A transdominant inhibitor of NF-κB, ΔNIκBα, phenocopies loss of MyD88 protein function, implicating Rel/NF-κB proteins as selective activators of dorsal-specific gene expression. Sensitive axis formation assays in the embryo demonstrate that dorsalization by Wnt/β-Catenin requires NF-κB protein activity, and vice versa. Xenopus nodal-related 3 (Xnr3) is one of the genes with dual β-Catenin/NF-κB input, and a proximal NF-κB consensus site contributes to the regional activity of its promoter. We demonstrate in vitro binding of Xenopus β-Catenin to several XRel proteins. This interaction is observed in vivo upon Wnt-stimulation. Finally, we show that a synthetic luciferase reporter gene responds to both endogenous and exogenous β-Catenin levels in an NF-κB motif dependent manner. These results suggest that β-Catenin acts as a transcriptional co-activator of NF-κB-dependent transcription in frog primary embryonic cells.
???displayArticle.pubmedLink??? 22590521
???displayArticle.pmcLink??? PMC3348924
???displayArticle.link??? PLoS One
Species referenced: Xenopus laevis
Genes referenced: arhgef7 ctnnb1 myc myd88 nodal nodal3 nodal3.2 rel rela relb rhd tp53 txn wnt3a
???attribute.lit??? ???displayArticles.show???
|
|
Figure 1. NF-κB activity is required for head formation.A) Wild type embryos at stage 40/41. B, C) Sibling embryos injected sub-equatorially on the dorsal side with 500 pg of ΔNIκBα RNA at the 4-cell stage show pleiomorphic phenotypes: B) Mild phenotypes (DAI 4) are characterized by reduction in forebrain and eyes. C) Stronger phenotypes (DAI 3) show reduced head and dorsal structures. (D) Graphical representation of dorsoanterior index (DAI) of control embryos (blue columns) versus embryos injected dorsally with 50 pg of ΔNIκBα (red columns). (E) Time course analysis of embryos injected dorsally with a total of 500 pg ΔNIκBα RNA at the two, four, eight, 16- and 32-cell stage; the accompanying decrease in cell size was compensated by injecting multiple dorsal cells from the 8-cell stage on (see materials and methods). Y-axis represents the percentage of embryos with anterior truncations. (F) Semi-quantitative RT-PCR analysis for marker genes in stage 10 marginal zone explants. Lane 1: uninjected embryos; lane 2: minus reverse transcriptase control; lane 3: 500 pg ΔNIκBα RNA injected dorsally; lane 4: 500 pg wildtype IκBα RNA injected dorsally. |
|
|
Figure 2. Synergism of XRel and β-Catenin proteins in ectopic axis formation.Suboptimal levels of β-Catenin synergize with XRel proteins or Drosophila Easter/Spätzle to induce axial structures on the ventral side. Embryos injected ventrally with low levels (4 pg) of β-Catenin (A) or 500 pg of XRelA (B), XRel2, XRel3, XrelB RNAs were indistinguishable from uninjected sibling embryos. Co-injection of 500 pg XRelA with 3 pg of β-Catenin could induce rudimentary axial structures (C), as could co-injection of 100 pg each of easter and spätzle with 3 pg of β-Catenin (D). Graphical representation (E) of all injected combinations, indicating a selective synergism between ectopic β-Catenin and exogenous XrelA/p50 heterodimers, as well as with endogenous NF-κB proteins released by ectopic Ea/Spz. |
|
|
Figure 3. Dorsalisation by ectopic β-Catenin depends on endogenous NF-κB activity.Embryos were injected ventrally with high doses (100 pg, panels A,B) or low doses (25 pg C,D) of β-Catenin RNA, alone (A,C), or with 500 pg ÎNIκBα RNA (B,D). All injections included GFP RNA for lineage tracing (Câ²,Dâ²). A) Embryos injected with high β-Catenin RNA were highly dorsalized (average DAI 6.8 for each axis), almost always lacking posterior structures (nâ=â160). B) Co-injection of 500 pg of ÎNIκBα reduced the secondary axis to an average DAIâ=â3.98, with a small number (8%) being single axis embryos (nâ=â210). C) The majority of embryos injected with low β-Catenin RNA produced pairs of complete axes, both of which scored as â5â on the DAI scale (nâ=â155). D) Coinjecting 500 pg of ÎNIκBα produced mostly single axis embryos (nâ=â162). (Câ²,Dâ²) Lineage tracing showed that the β-Catenin RNA-injected cell progeny accumulated in the anterior region of one of the two axis (white arrow) with some posterior trailing in axial tissue (white arrowheads) (Câ²), while it was localized in posterior ventral tissues when ÎNIκBα was co-injected (Dâ²). Panels E and F summarize the phenotypic penetrance for respectively high (100 pg) and low (25 pg) β-Catenin RNA (3 independent experiments in each case). Numbers on the X-axis indicate DAI-values of each embryonic Anlage (e.g. 5/5 defining a twinned embryo with two complete heads). |
|
|
Figure 4. ea/spz-dependent dorsalization requires β-Catenin activity.(A) Untreated controls at tadpole stage (NF 35/36). (B) UV-ventralized siblings (average DAIâ=â0.30). (C) UV-ventralized embryos injected sub-equatorially with 100 pg each of Drosophila easter and spätzle RNA produced embryos with 2 rudimentary trunk axes (37%). (D) Embryos injected with 50 pg EPcadÎE, in addition to easter and spätzle, did not show any axial rescue (0%). (E) Graphical representation of axial rescue, giving total numbers for each experimental cohort. |
|
|
Figure 5. The Xnr3 promoter is regulated through a consensus NF-κB DNA binding site.Panel (A) - Pictorial representation of the Xnr3 promoter and its κB and Tcf binding sites, as well as representations of mutated promoters, which were used in the luciferase reporter gene assays. Bases at mutated nucleotide positions are shown in lower-case letters. (B) Lateral schematic view of a 32-cell stage embryo locating the B1, B4 and D1 blastomeres in black, whose progeny will later contribute to the BCNE, the ventral gastrula center (VGC) and the Nieuwkoop center (NC), respectively. (C) Results of injection of a group of wildtype and mutant Xnr3 promoter driven luciferase constructs, each injected into the B1, B4 and D1 blastomeres of 32-cell stage embryos; y-axis describes x-fold production of luciferase, normalized to an internal renilla control, relative to the luciferase activity of uninjected embryos (lane 1). (D) and (E) Luciferase activities of wildtype and mutant Xnr3 reporter constructs, injected into B1 or B4 blastomeres as indicated, under conditions, in which endogenous NF-κB activity is either antagonized through coninjected XrelAenR (D) or reduced through dominant-negative XMyD88 (E). Luciferase activity was measured at midgastrula (NF11). |
|
|
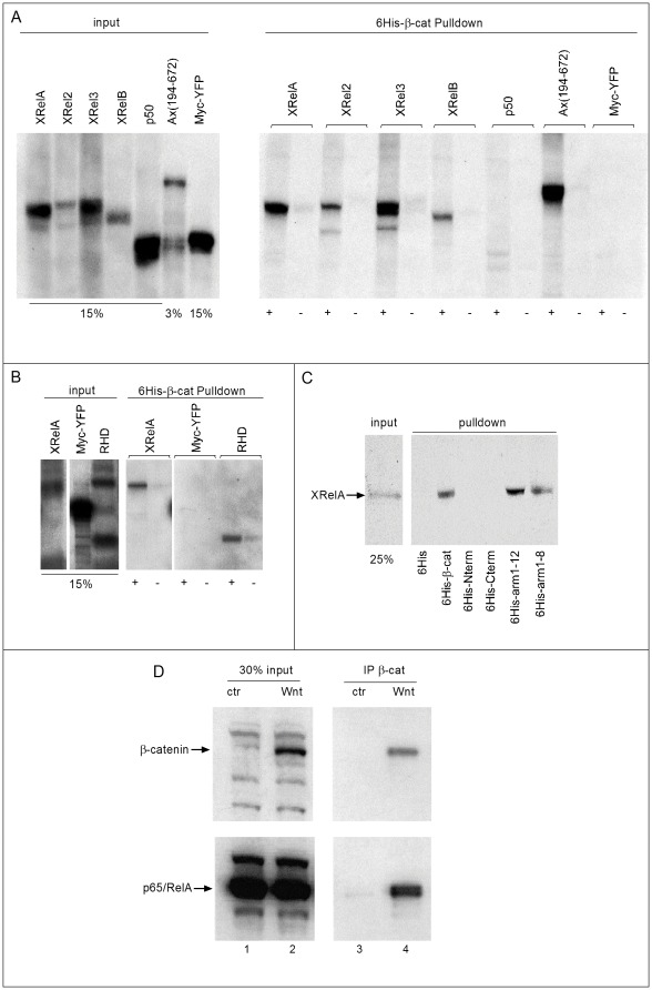
Figure 6. Interaction of β-Catenin and Rel/NF-κB proteins.AâC: in vitro pull down using his-tagged bacterial recombinant β-Catenin and 35S-labelled in vitro translated Rel proteins. (A) XrelA, 2, 3 and B, but not p50, co-precipitated with full length β-Catenin fused to 6His-Trx-S-tag, but not with a control 6His-Trx-S-tag fragment (Tag abbreviated as â6Hisâ in panels). Ax(194â762), an Axin fragment containing the β-Catenin binding domain and Myc-YFP were used as positive and negative controls for the in vitro translated proteins, respectively (nâ¥3 independent experiments). (B) XRelA interacts with β-Catenin via its RHD domain. (C) RelA interaction is mediated by the first eight arm-repeats of β-Catenin: XRelA was found to bind full length β-Catenin and the fragments arm1â12 and arm1â8, but neither the N-terminal nor the C-terminal fragments (B and C: nâ=â2 independent experiments each). (D) Co-Immunoprecipitation of endogenous p65/NF-κB with β-Catenin in Wnt-stimulated REH cells. Extracts from control cells and cells stimulated with Wnt3a-containing medium were immunoprecipitated using an anti-β-Catenin antibody. Immunoprecipitates were analyzed for β-Catenin and p65/NF-κB by Western blots (nâ=â3 independent experiments). |
|
|
Figure 7. A synthetic NF-κB reporter gene is coactivated by β-Catenin.Luciferase activity at midgastrula (NF11) produced by injection of the reporter constructs pNF-κB+ (containing 4 κB binding sites) and pNF-κBâ (containing none) into both blastomeres of either the dorsal or ventral side of 4-cell stage embryos. β-Catenin (25 pg; lanes 5â8) and E-cadÎE (50 pg; lanes 9â12) RNAs were co-injected with the reporter. Y-axis shows x-fold stimulation of luciferase activity over uninjected controls after normalization to the internal Renilla control. |
References [+] :
Armstrong,
The role of PI3K/AKT, MAPK/ERK and NFkappabeta signalling in the maintenance of human embryonic stem cell pluripotency and viability highlighted by transcriptional profiling and functional analysis.
2006, Pubmed
Armstrong, The role of PI3K/AKT, MAPK/ERK and NFkappabeta signalling in the maintenance of human embryonic stem cell pluripotency and viability highlighted by transcriptional profiling and functional analysis. 2006, Pubmed
Armstrong, Conserved Spätzle/Toll signaling in dorsoventral patterning of Xenopus embryos. 1998, Pubmed , Xenbase
Bearer, Distribution of Xrel in the early Xenopus embryo: a cytoplasmic and nuclear gradient. 1994, Pubmed , Xenbase
Bushdid, Inhibition of NF-kappaB activity results in disruption of the apical ectodermal ridge and aberrant limb morphogenesis. 1998, Pubmed
Campbell, Active repression of antiapoptotic gene expression by RelA(p65) NF-kappa B. 2004, Pubmed
Combriato, Regulation of human Ig lambda light chain gene expression by NF-kappa B. 2002, Pubmed
Correa, Characterization of NF-kappa B/I kappa B proteins in zebra fish and their involvement in notochord development. 2004, Pubmed
Delaney, TGF-beta activated kinase-1: new insights into the diverse roles of TAK1 in development and immunity. 2006, Pubmed
DeMarais, The armadillo homologs beta-catenin and plakoglobin are differentially expressed during early development of Xenopus laevis. 1992, Pubmed , Xenbase
Deng, beta-catenin interacts with and inhibits NF-kappa B in human colon and breast cancer. 2002, Pubmed
Deng, Crossregulation of NF-kappaB by the APC/GSK-3beta/beta-catenin pathway. 2004, Pubmed
De Robertis, Dorsal-ventral patterning and neural induction in Xenopus embryos. 2004, Pubmed , Xenbase
De Robertis, Spemann's organizer and self-regulation in amphibian embryos. 2006, Pubmed
Dissing, Autoproteolysis and feedback in a protease cascade directing Drosophila dorsal-ventral cell fate. 2001, Pubmed
Dominguez, Inhibition of protein kinase C zeta subspecies blocks the activation of an NF-kappa B-like activity in Xenopus laevis oocytes. 1993, Pubmed , Xenbase
Fagotto, Domains of axin involved in protein-protein interactions, Wnt pathway inhibition, and intracellular localization. 1999, Pubmed , Xenbase
Gilmore, Introduction to NF-kappaB: players, pathways, perspectives. 2006, Pubmed
Hansen, Direct neural induction and selective inhibition of mesoderm and epidermis inducers by Xnr3. 1997, Pubmed , Xenbase
Haramoto, Xenopus tropicalis nodal-related gene 3 regulates BMP signaling: an essential role for the pro-region. 2004, Pubmed , Xenbase
Hayden, Shared principles in NF-kappaB signaling. 2008, Pubmed
Hayden, SnapShot: NF-kappaB signaling pathways. 2006, Pubmed
Hayden, NF-kappaB and the immune response. 2006, Pubmed
Heasman, Patterning the early Xenopus embryo. 2006, Pubmed , Xenbase
Hoeflich, Requirement for glycogen synthase kinase-3beta in cell survival and NF-kappaB activation. 2000, Pubmed
Houston, Repression of organizer genes in dorsal and ventral Xenopus cells mediated by maternal XTcf3. 2002, Pubmed , Xenbase
Ishii, Phylogenetic and expression analysis of amphibian Xenopus Toll-like receptors. 2007, Pubmed , Xenbase
Jaynes, Active repression of transcription by the engrailed homeodomain protein. 1991, Pubmed
Kanegae, Role of Rel/NF-kappaB transcription factors during the outgrowth of the vertebrate limb. 1998, Pubmed
Kao, Expression of a mRNA related to c-rel and dorsal in early Xenopus laevis embryos. 1991, Pubmed , Xenbase
Kao, The entire mesodermal mantle behaves as Spemann's organizer in dorsoanterior enhanced Xenopus laevis embryos. 1988, Pubmed , Xenbase
Kawai, Signaling to NF-kappaB by Toll-like receptors. 2007, Pubmed
Klein, A molecular mechanism for the effect of lithium on development. 1996, Pubmed , Xenbase
Kurth, Immunocytochemical studies of the interactions of cadherins and catenins in the early Xenopus embryo. 1999, Pubmed , Xenbase
Laurent, The Xenopus homeobox gene twin mediates Wnt induction of goosecoid in establishment of Spemann's organizer. 1997, Pubmed , Xenbase
LeMosy, Activation of a protease cascade involved in patterning the Drosophila embryo. 2001, Pubmed
Li, Complete lack of NF-kappaB activity in IKK1 and IKK2 double-deficient mice: additional defect in neurulation. 2000, Pubmed
Ligoxygakis, Activation of Drosophila Toll during fungal infection by a blood serine protease. 2002, Pubmed
Martin, Toll-like receptor-mediated cytokine production is differentially regulated by glycogen synthase kinase 3. 2005, Pubmed
McKendry, LEF-1/TCF proteins mediate wnt-inducible transcription from the Xenopus nodal-related 3 promoter. 1997, Pubmed , Xenbase
Moussian, Dorsoventral axis formation in the Drosophila embryo--shaping and transducing a morphogen gradient. 2005, Pubmed
Niehrs, Mesodermal patterning by a gradient of the vertebrate homeobox gene goosecoid. 1994, Pubmed , Xenbase
Nolan, The inhibitory ankyrin and activator Rel proteins. 1992, Pubmed
Prothmann, The Toll/IL-1 receptor binding protein MyD88 is required for Xenopus axis formation. 2000, Pubmed , Xenbase
Richardson, XrelA, a Xenopus maternal and zygotic homologue of the p65 subunit of NF-kappa B. Characterisation of transcriptional properties in the developing embryo and identification of a negative interference mutant. 1994, Pubmed , Xenbase
Roose, TCF transcription factors: molecular switches in carcinogenesis. 1999, Pubmed
Sasai, Regulation of neural induction by the Chd and Bmp-4 antagonistic patterning signals in Xenopus. 1995, Pubmed , Xenbase
Schmidt-Ullrich, Requirement of NF-kappaB/Rel for the development of hair follicles and other epidermal appendices. 2001, Pubmed
Schneider, Beta-catenin translocation into nuclei demarcates the dorsalizing centers in frog and fish embryos. 1996, Pubmed , Xenbase
Schohl, Beta-catenin, MAPK and Smad signaling during early Xenopus development. 2002, Pubmed , Xenbase
Smith, A nodal-related gene defines a physical and functional domain within the Spemann organizer. 1995, Pubmed , Xenbase
Snape, Changes in states of commitment of single animal pole blastomeres of Xenopus laevis. 1987, Pubmed , Xenbase
Standley, Maternal XTcf1 and XTcf4 have distinct roles in regulating Wnt target genes. 2006, Pubmed , Xenbase
Steinbach, Quantitative analysis of mRNA levels in Xenopus embryos by reverse transcriptase-polymerase chain reaction (RT-PCR). 1999, Pubmed , Xenbase
Stoetzel, X-twi is expressed prior to gastrulation in presumptive neurectodermal and mesodermal cells in dorsalized and ventralized Xenopus laevis embryos. 1998, Pubmed , Xenbase
Sun, Crosstalk between NF-kappaB and beta-catenin pathways in bacterial-colonized intestinal epithelial cells. 2005, Pubmed
Suzuki, Identification and expression of the Xenopus homolog of mammalian p100-NFkappaB2. 1998, Pubmed , Xenbase
Suzuki, Molecular cloning of cDNA encoding the Xenopus homolog of mammalian RelB. 1995, Pubmed , Xenbase
Tannahill, Control of axis formation in Xenopus by the NF-kappa B-I kappa B system. 1995, Pubmed , Xenbase
Tao, Maternal wnt11 activates the canonical wnt signaling pathway required for axis formation in Xenopus embryos. 2005, Pubmed , Xenbase
Thanos, The high mobility group protein HMG I(Y) is required for NF-kappa B-dependent virus induction of the human IFN-beta gene. 1992, Pubmed
Torres, Nanog maintains pluripotency of mouse embryonic stem cells by inhibiting NFkappaB and cooperating with Stat3. 2008, Pubmed
Traenckner, Phosphorylation of human I kappa B-alpha on serines 32 and 36 controls I kappa B-alpha proteolysis and NF-kappa B activation in response to diverse stimuli. 1995, Pubmed
Vodicka, Blastomere derivation and domains of gene expression in the Spemann Organizer of Xenopus laevis. 1995, Pubmed , Xenbase
Wardle, Transcriptional regulation of mesendoderm formation in Xenopus. 2006, Pubmed , Xenbase
Winston, The SCFbeta-TRCP-ubiquitin ligase complex associates specifically with phosphorylated destruction motifs in IkappaBalpha and beta-catenin and stimulates IkappaBalpha ubiquitination in vitro. 1999, Pubmed
Xu, Mechanistic insights from structural studies of beta-catenin and its binding partners. 2007, Pubmed
Yang, Overexpression of a novel Xenopus rel mRNA gene induces tumors in early embryos. 1998, Pubmed , Xenbase
Yang, Beta-catenin/Tcf-regulated transcription prior to the midblastula transition. 2002, Pubmed , Xenbase
Zhang, Mammalian toll-like receptors: from endogenous ligands to tissue regeneration. 2006, Pubmed
