XB-ART-45532
Dev Biol
2012 May 15;3652:363-75. doi: 10.1016/j.ydbio.2012.03.004.
Show Gene links
Show Anatomy links
Specific domains of FoxD4/5 activate and repress neural transcription factor genes to control the progression of immature neural ectoderm to differentiating neural plate.
???displayArticle.abstract???
FoxD4/5, a forkhead transcription factor, plays a critical role in establishing and maintaining the embryonic neural ectoderm. It both up-regulates genes that maintain a proliferative, immature neural ectoderm and down-regulates genes that promote the transition to a differentiating neural plate. We constructed deletion and mutant versions of FoxD4/5 to determine which domains are functionally responsible for these opposite activities, which regulate the critical developmental transition of neural precursors to neural progenitors to differentiating neural plate cells. Our results show that up-regulation of genes that maintain immature neural precursors (gem, zic2) requires the Acidic blob (AB) region in the N-terminal portion of the protein, indicating that the AB is the transactivating domain. Additionally, down-regulation of those genes that promote the transition to neural progenitors (sox) and those that lead to neural differentiation (zic, irx) involves: 1) an interaction with the Groucho co-repressor at the Eh-1 motif in the C-terminus; and 2) sequence downstream of this motif. Finally, the ability of FoxD4/5 to induce the ectopic expression of neural precursor genes in the ventral ectoderm also involves both the AB region and the Eh-1 motif; FoxD4/5 accomplishes ectopic neural induction by both activating neural precursor genes and repressing BMP signaling and epidermal genes. This study identifies the specific, conserved domains of the FoxD4/5 protein that allow this single transcription factor to regulate a network of genes that controls the transition of a proliferative neural ectodermal population to a committed neural plate population poised to begin differentiation.
???displayArticle.pubmedLink??? 22425621
???displayArticle.pmcLink??? PMC3679181
???displayArticle.link??? Dev Biol
???displayArticle.grants??? [+]
P30 HD040677 NICHD NIH HHS , S10 RR025565 NCRR NIH HHS , P30 HD040677-10 NICHD NIH HHS , S10 RR025565-01 NCRR NIH HHS , Intramural NIH HHS
Species referenced: Xenopus
Genes referenced: foxd4l1 gal.2 gem irx1 irx2 irx3 isyna1 myc sox11 sox15 sox2 sox3 tbx2 tfap2a tle4 zic1 zic2 zic3
???displayArticle.morpholinos??? tle4 MO1
???attribute.lit??? ???displayArticles.show???
|
|
Fig. 1. Conserved domains in the FoxD4/5 proteins. (A) Wild-type (WT) and mutant constructs of Xenopus FoxD4/5. In âN, all of the amino acids upstream of a nuclear localization signal (NLS, black) and winged helix (WH, red) DNA-binding domain were removed. In âC, all of the amino acids downstream of a second NLS and WH were removed. In âAB, only the 14 amino acids constituting the Acidic blob were deleted. In âRII-Cterm, the entire R-II domain (dark green) as well as all of the amino acids downstream of it (light green) were deleted. In A6, the amino acids constituting the Eh-1 motif (FSIENEM) within the R-II domain were mutated to AAAAAAM. In F > E, FSIENEM was mutated to ESIENIM. (B) CLUSTALW alignment, viewed in ESPript (Gouet et al., 1999), of the N-terminal region of several vertebrate proteins in the FoxD4/5 family shows that within the AB domain (underlined in yellow) there are several highly conserved residues. The black boxes highlight identical amino acids, the light boxes highlight conserved amino acids and the bold letters indicate identical amino acids within a region of conserved amino acids. (UniProtKB/Swiss Prot Accession numbers are: human FoxD4, Q12950; human FoxD4L1, Q9NU39; mouse FoxD4, Q60688; Danio FoxD4L1, O73784; Xenopus FoxD4L1.1, Q9PRJ8). (C) CLUSTALW alignment of the C-terminal regions of several vertebrate FoxD4/5 proteins shows that the Eh-1 motif (light green line) is highly conserved. The positions of the A6 and F > E mutations are indicated. The dark green line indicates the sequence that was deleted in the âRII-Cterm construct. The C-terminal amino acids of the Danio (C) and Xenopus (Y) proteins are shown, whereas the mammalian proteins contain 3 (mouse), 9 (human FoxD4L1) or 19 (human FoxD4) more amino acids that are not shown (indicated by: â¦). Note several highly conserved residues (boxes and bold as in Fig. 1B) downstream of the Eh-1 motif, and the location of a predicted α-helical region near the C-terminus in the Xenopus protein (blue line). |
|
|
Fig. 2. N-terminal sequences are required for up-regulation, and C-terminal sequences are required for down-regulation of FoxD4/5 targets. (A) The graph presents the percentage of embryos in which WT-, âN- or âC-FoxD4/5 caused up-regulation of gem, zic2 or sox11 (the latter at neural plate stages). Numbers above each bar indicates sample size; * indicates significant difference from WT at the p < 0.001 level. The images for gem expression are representative for zic2; examples of sox11 are presented in Fig. 4. Examples of endogenous expression patterns can be found in Supplemental Fig. 2. The FoxD4/5-expressing clones, marked by nuclear β-Gal (red or purple dots), are located in the neural ectoderm and indicated by hatched lines. Boxed insets are higher magnifications of the clone, the position of which is indicated on the whole embryo by a bracket. In the insets for wt-FoxD4/5 and âC-FoxD4/5, the β-Gal labeled cells are more intensely stained than neighboring cells (e) that show the endogenous level of gem expression. The intense blue ISH label often obscures the red-labeled nuclei in these cases. In the inset for âN-FoxD4/5, the β-Gal labeled cells stain for gem expression only slightly higher than the endogenous level in neighboring cells (e). This example would be scored as a positive up-regulation in the graph, even though the level of up-regulation is much lower compared to wt-FoxD4/5 and âC-FoxD4/5. (B) The graph presents the percentage of embryos in which WT-, âN- or âC-FoxD4/5 caused down-regulation of sox2, sox3 or sox11 at gastrulation stages. The images for sox2 expression are representative for sox3; examples of sox11 are presented in Fig. 4. In the insets for wt-FoxD4/5 and âN-FoxD4/5, the β-Gal labeled cells are less intensely stained than neighboring cells (e) that show the endogenous level of sox2 expression. Often with wt-FoxD4/5 the effect is not uniform throughout the clone. The extent of down-regulation of sox2 is greater for âN-FoxD4/5. In the inset for âC-FoxD4/5, the β-Gal labeled cells stain for sox2 expression about the same as the endogenous level in neighboring cells (e), which is the most frequent phenotype. (C) The graph presents the percentage of embryos in which WT-, âN- or âC-FoxD4/5 caused down-regulation of zic1, zic3 or soxD. The images for zic1 expression are representative for the other two genes. In the insets for wt-FoxD4/5 and âN-FoxD4/5, nearly all of the β-Gal labeled cells are less intensely stained than neighboring cells (e) that show the endogenous level of zic1 expression. In the inset for âC-FoxD4/5, the β-Gal labeled cells stain with the same intensity as neighboring cells (e), indicating a lack of down-regulation. m, non-involuted mesoderm that does not normally express zic1. (D) The graph presents the percentage of embryos in which WT-, âN- or âC-FoxD4/5 caused down-regulation of irx1, irx2 or irx3. The images for irx1 expression are representative for the other two genes. In the insets for wt-FoxD4/5 and âN-FoxD4/5, nearly all of the β-Gal labeled cells are less intensely stained than neighboring cells (e) that show the endogenous expression levels of irx1. In the inset for âC-FoxD4/5, the β-Gal labeled cells stain with the same intensity as neighboring cells (e), indicating a lack of down-regulation. All images are dorsal views with vegetal pole to the bottom. |
|
|
Fig. 3. The Acidic blob domain is required for up-regulation, and the Eh-1 domain and the C-terminal region downstream of it are required for down-regulation of FoxD4/5 targets. (A) The graph presents the percentage of embryos in which WT- and mutant FoxD4/5 caused up-regulation of gem, zic2 or sox11 (the latter at neural plate stages). Numbers above each bar indicates sample size; * indicates significant difference from WT at the p < 0.001 level. The images for zic2 expression are representative for gem; examples of sox11 are presented in Fig. 4. The FoxD4/5-expressing clones, marked by nuclear β-Gal (red or purple dots), are located in the neural ectoderm and indicated by hatched lines. Boxed insets are higher magnifications of the clone, the position of which is indicated on the whole embryo by a bracket. For WT-FoxD4/5, âRII-Cterm, A6 and F > E, the β-Gal labeled cells are more intensely stained than neighboring cells (e), that show the endogenous level of gem expression. The intense blue ISH label often obscures the red-labeled nuclei in these cases. For âAB-FoxD4/5, the β-Gal labeled cells stain at the same level as endogenous (e), and thus do not show up-regulation. (B) The graph presents the percentage of embryos in which WT- and mutant FoxD4/5 caused an initial down-regulation of sox2, sox3 or sox11 at gastrulation stages. The images for sox3 expression are representative for sox2; examples of sox11 are presented in Fig. 4. For WT- and âAB-FoxD4/5, the β-Gal labeled cells are more weakly stained than neighboring cells (e) that show the endogenous level of sox3 expression. For the other mutants, the β-Gal labeled cells stain at levels similar to the endogenous expression in neighboring cells (e). (C) The graph presents the percentage of embryos in which WT- and mutant FoxD4/5 caused down-regulation of zic1, zic3 or soxD. The images for zic3 expression are representative for the other two genes. For WT-, âAB and F > E-FoxD4/5, the β-Gal labeled cells are less intensely stained than neighboring cells (e) that show the endogenous level of zic3 expression. For âRII-Cterm and A6-FoxD4/5 the β-Gal labeled cells stain at levels similar to the endogenous expression in neighboring cells (e). *, indicates that the âRII-Cterm construct represses significantly less frequently than the A6 construct (p < 0.001). (D) The graph presents the percentage of embryos in which WT- and mutant FoxD4/5 caused down-regulation of irx1, irx2 or irx3. The images for irx2 expression are representative for the other two genes. For WT-, âAB and F > E-FoxD4/5, the β-Gal labeled cells are less intensely stained than neighboring cells (e) that show the endogenous level of irx2 expression. For âRII-Cterm and A6-FoxD4/5, the β-Gal labeled cells stain at levels similar to the endogenous expression in neighboring cells (e). *, indicates that the âRII-Cterm construct represses significantly less frequently than the A6 construct (p < 0.001). All images are dorsal views with vegetal pole to the bottom. |
|
|
Fig. 4. Effects of FoxD4/5 constructs on the expression of sox11 at gastrula and neural plate stages. Top panel: At gastrulation stages, wt-FoxD4/5 causes β-Gal labeled cells (clone is outlined) to express sox11 at lower levels than neighboring cells (e) that show the endogenous level of sox11 expression. In contrast, each mutant construct caused β-Gal labeled cells to express sox11 at higher levels, indicated by darker staining compared to neighboring cells (e). All images are dorsal views with vegetal pole to the bottom. Bottom panel: At neural plate stages, wt-FoxD4/5 causes β-Gal labeled cells (outlined within the normal expression domain in the neural plate) to express sox11 at higher levels than neighboring cells (e). The same effect is observed with the âC-FoxD4/5 mutant, but in significantly fewer embryos compared to wtr-FoxD4/5 (see Fig. 2A). However, for all other mutant clones (outlined only within the neural plate) the sox11 expression levels are similar to those of the neighboring cells (e) that show endogenous levels. Note that the neural plate is broader on the injected side (red arrow) in embryos expressing N-terminal mutants (âN, âAB) but not in embryos expressing C-terminal mutants (âC, âRII, A6, F > E), consistent with a previous report that the C-terminal domain is required for neural plate expansion (Sullivan et al., 2001). The âC image is a dorsal view with anterior to the bottom; all other images are anterior views with dorsal to the top. |
|
|
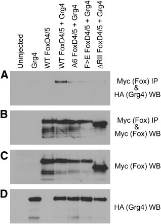
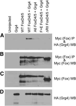
Fig. 5. Gro/Grg4 binds to the Eh-1 motif of FoxD4/5. (A-D) Myc-tagged versions of wild-type (WT), as well as mutants harboring amino acid substitutions in the Eh-1 domain (A6, F > E) or deleted for the Eh-1 domain (âRII) in FoxD4/5 were expressed in Xenopus oocytes along with HA-tagged wild-type Gro/Grg4 (Grg4). Co-immunoprecipitation (IP) and Western blot (WB) analyses of Xenopus oocyte lysates expressing HA- and Myc-tagged constructs are indicated. (A) Although all constructs are equivalently expressed, only full-length FoxD4/5 effectively binds with Gro/Grg4. The control panels (BâD) show that the IPs each contain similar levels of FoxD4/5 wild-type and mutant proteins (B), as do the direct lysates (C). Gro/Grg4 expressing lysates also show similar levels of this protein (D). |
|
|
Fig. 6. Gro/Grg4 and FoxD4/5 co-operate to cause transcriptional repression. The percentages of embryos showing decreased expression of zic1, zic3, or irx1 after injection of: 100 pg wt-FoxD4/5 mRNA (Fox-100), 10 pg wt-FoxD4/5 mRNA (Fox-10), 10 pg Gro/Grg4 mRNA (Grg4-10), 10 pg FoxD4/5 mRNA plus 10 pg Gro/Grg4 mRNA (Fox-10 + Grg4-10), 100 pg wt-FoxD4/5 mRNA plus 20 ng GroMO (Fox-100 + GroMO), 50 pg wt-FoxD4/5 mRNA (Fox-50), or 50 pg wt-FoxD4/5 mRNA plus 40 ng GroMO (Fox-50 + 2X GroMO). A low dose (10 pg) of either FoxD4/5 or Gro/Grg4 down-regulates the expression of these three genes in many fewer embryos than a higher dose of FoxD4/5 alone (100 pg). However, low doses of FoxD4/5 plus Gro/Grgr4 act synergistically to restore down-regulation at a level significantly higher than either mRNA alone (*, p < 0.001), and at a level approaching 100 pg FoxD4/5 alone. However, MO knock-down of endogenous Gro/Grg4 expression does not reduce the ability of FoxD4/5 to cause down-regulation. At either a high (100 pg, black bar) or lower (50 pg, dark purple bar) dose of FoxD4/5, addition of GroMO did not significantly change the frequency of down-regulation of these genes (cf. to black bar to grey bar and dark purple bar to light purple bar). Numbers above bars indicate sample sizes. |
|
|
Fig. 7. Both the Acidic blob and the Eh-1 motif are required for ectopic expression of gem, zic2 and sox11 in the ventral epidermis. (A) The percentages of embryos showing ectopic ventral expression of gem, zic2, and sox11 after injection of wt- and mutant FoxD4/5 mRNAs. Although the AB and C-terminal mutants signiï¬cantly reduced the frequency of ectopic ventral expression compared to wt-FoxD4/5 (*, pb0.001), none eliminated it, indicating that both activating and repressing activities are required. Providing both activating and repressing activities, by co-expressing both δAB and A6 mutants (δAB +A6), restored the frequency of ectopic ventral expression to wt levels. Conversely, eliminating both activating and repressing activities, by co-expressing both δAB and GroMOs (δAB +GroMO), signiï¬cantly (pb0.001) reduced the frequency of ectopic ventral expression of all three genes, compared to wt (*), δAB (#) or δAB +A6 ($). Numbers above bars indicate sample sizes. (B) Examples of the ventral ectopic expression of gem, zic2 and sox11 after injection of each mutant mRNA (plus βgal, indicated by red or purple dots) into an epidermal precursor blastomere. In wt and δAB +A6 clones, most cells exhibit a high level of expression (blue stain). In δRII, A6 and δAB +GroMO clones, fewer cells express the gene and expression is only faintly detectable. Co-expressing a morpholino-insensitive Grg4 mRNA with δAB +GroMO rescued the high level of gem and zic2 ectopic ventral expression; surprisingly, this was not observed for sox11 (n =21). |
|
|
Fig. 8. C-terminal domains are required to prevent BMP signaling and repress epidermal gene expression in ventral ectodermal lineages. Wt-FoxD4/5 prevents nuclear accumulation of phospho-Smad1/5/8 (see inset) and expression of epidermal genes (Yan et al., 2009), but C-terminal mutants do not. Left column: ventral ectodermal cells expressing either the delta-RII-Cterm or A6-FoxD4/5 mutant protein (blue cytoplasm) are positive for nuclear-localized phospho-Smad1/5/8 (brown nuclei), indicating a response to BMP signaling (delta-RII-Cterm: 100%, n =19; A6: 85.7%, n=21). For comparison, inset shows a wt-FoxD4/5 clone within the hatched lines (blue cytoplasm) in which phospho-Smad 1/5/8 staining is not detected in most nuclei, whereas all nuclei outside the clone are stained. Middle and right columns: ventral ectodermal cells expressing either the δRII-Cterm or A6-FoxD4/5 mutant protein (red or purple nuclei within the hatched lines) express normal levels of epidermal genes (δRII-Cterm: AP2, 100%, n=45; Epi-ker, 100%, n=60; A6: AP2, 100%, n=34; Epi-ker, 100%, n=62). |
|
|
Fig. 9. Fox D4/5 plays a critical role in regulating a gene network that controls the transition of an immature neural ectoderm to neural progenitors, and then to a differentiating neural plate. Wild-type FoxD4/5 affects the expression of three classes of neural transcription factors affiliated with each of these phases of neural development, and does so via different functional regions of the protein. First, the ability of FoxD4/5 to up-regulate two genes that maintain a proliferative, immature neural ectodermal state (gem, zic2) requires the AB activation domain. Second, the ability of FoxD4/5 to down-regulate during gastrulation three sox genes that promote the transition to neural progenitors involves both repression via the RII-Cterm region and activation via the AB domain. It is possible that the AB domain directly activates sox genes, or activates an unknown factor (X), which in turn represses another gene (Y) that represses sox expression. Third, the ability of FoxD4/5 to down-regulate genes that promote neural differentiation (zic, irx) requires the RII-Cterm region. FoxD4/5 additionally inhibits BMP signaling, dependent upon the Eh-1 domain within the RII-Cterm region that leads to repression of epidermal fate. Approximate timeline in Nieuwkoop and Faber (1967) stages is given below. |
|
|
Supplemental Fig. 1. Western blot showing that Gro/Grg4 translation is inhibited by a translation-blocking morpholino oligonucleotide (MO). Grg4: expression of HA-tagged Grg4. Grg4 + MO: expression of HA-tagged Grg4 in the presence of GroMO. Grg4 res: expression of HA-tagged rescue Grg4 that contains 5 point mutations within the GroMO binding sequence. Grg4 res. + MO: expression of HA-tagged rescue Grg4 in the presence of GroMO. Uninjected: no Grg4 protein is detected in oocytes that are not injected with grg4 mRNA. |
|
|
Supplemental Fig. 2. Embryos in which a neural plate progenitor blastomere was injected with beta-gal mRNA. They were fixed at gastrulation stages and processed for in situ hybridization with the gene probes indicated to the left of each image. beta-Gal-labeled clones are either outlined (gem, sox and zic genes) or can be identified on the right side by their red nuclei (irx genes). All views are of the dorsal neural ectoderm with animal cap to the top and blastopore to the bottom (dorsal blastopore lip indicated by small arrows), except for irx1 and irx2; these are anterior views with dorsal to the top. gem, sox and zic genes are broadly expressed in the dorsal neural ectoderm at gastrula stages, whereas irx gene expression is enhanced in lateral wings of the neural ectoderm. The expression of a control mRNA (beta-gal) does not alter the endogenous expression of these neural ectodermal genes. In some embryos (sox11, zic1, zic3), the mesoderm (m) has not yet fully involuted and does not express neural genes. |
|
|
Supplemental Fig. 3. Myc-tagged mutant FoxD4/5 proteins, identified with an anti-Myc-tag antibody (right panel; Alexa Fluor 488 staining) are found within nuclei (left panel; DAPI staining). Arrows denote double-labeled nuclei. |
References [+] :
Bellefroid,
Xiro3 encodes a Xenopus homolog of the Drosophila Iroquois genes and functions in neural specification.
1998, Pubmed,
Xenbase
Bellefroid, Xiro3 encodes a Xenopus homolog of the Drosophila Iroquois genes and functions in neural specification. 1998, Pubmed , Xenbase
Bergsland, The establishment of neuronal properties is controlled by Sox4 and Sox11. 2006, Pubmed
Brewster, Gli/Zic factors pattern the neural plate by defining domains of cell differentiation. 1998, Pubmed , Xenbase
Bylund, Vertebrate neurogenesis is counteracted by Sox1-3 activity. 2003, Pubmed
Carlsson, Forkhead transcription factors: key players in development and metabolism. 2002, Pubmed
Cirillo, Opening of compacted chromatin by early developmental transcription factors HNF3 (FoxA) and GATA-4. 2002, Pubmed
Dee, Sox3 regulates both neural fate and differentiation in the zebrafish ectoderm. 2008, Pubmed
De Robertis, Dorsal-ventral patterning and neural induction in Xenopus embryos. 2004, Pubmed , Xenbase
Dyson, Intrinsically unstructured proteins and their functions. 2005, Pubmed
Essien, CTCF binding site classes exhibit distinct evolutionary, genomic, epigenomic and transcriptomic features. 2009, Pubmed
Fetka, Neuroectodermal specification and regionalization of the Spemann organizer in Xenopus. 2000, Pubmed , Xenbase
Freyaldenhoven, FOXD4a and FOXD4b, two new winged helix transcription factors, are expressed in human leukemia cell lines. 2002, Pubmed
Gómez-Skarmeta, Xiro, a Xenopus homolog of the Drosophila Iroquois complex genes, controls development at the neural plate. 1998, Pubmed , Xenbase
Gouet, ESPript: analysis of multiple sequence alignments in PostScript. 1999, Pubmed
Graham, SOX2 functions to maintain neural progenitor identity. 2003, Pubmed
Hyodo-Miura, Involvement of NLK and Sox11 in neural induction in Xenopus development. 2002, Pubmed , Xenbase
Jones, Protein secondary structure prediction based on position-specific scoring matrices. 1999, Pubmed
Kaestner, The mouse fkh-2 gene. Implications for notochord, foregut, and midbrain regionalization. 1995, Pubmed
Katoh, Human FOX gene family (Review). 2004, Pubmed
Kishi, Requirement of Sox2-mediated signaling for differentiation of early Xenopus neuroectoderm. 2000, Pubmed , Xenbase
Kroll, Geminin in embryonic development: coordinating transcription and the cell cycle during differentiation. 2007, Pubmed , Xenbase
Kroll, Geminin, a neuralizing molecule that demarcates the future neural plate at the onset of gastrulation. 1998, Pubmed , Xenbase
Levine, Gene regulatory networks for development. 2005, Pubmed
Li, Transcriptional and DNA binding activity of the Foxp1/2/4 family is modulated by heterotypic and homotypic protein interactions. 2004, Pubmed
Linding, GlobPlot: Exploring protein sequences for globularity and disorder. 2003, Pubmed
McGuffin, The PSIPRED protein structure prediction server. 2000, Pubmed
Mizuseki, SoxD: an essential mediator of induction of anterior neural tissues in Xenopus embryos. 1998, Pubmed , Xenbase
Molenaar, Differential expression of the Groucho-related genes 4 and 5 during early development of Xenopus laevis. 2000, Pubmed , Xenbase
Moody, Fates of the blastomeres of the 16-cell stage Xenopus embryo. 1987, Pubmed , Xenbase
Nakata, Xenopus Zic3, a primary regulator both in neural and neural crest development. 1997, Pubmed , Xenbase
Neilson, Developmental expression patterns of candidate cofactors for vertebrate six family transcription factors. 2010, Pubmed , Xenbase
Odenthal, fork head domain genes in zebrafish. 1998, Pubmed
Pohl, Of Fox and Frogs: Fox (fork head/winged helix) transcription factors in Xenopus development. 2005, Pubmed , Xenbase
Pollastri, Porter: a new, accurate server for protein secondary structure prediction. 2005, Pubmed
Ptashne, How eukaryotic transcriptional activators work. 1988, Pubmed
Rogers, Neural induction and factors that stabilize a neural fate. 2009, Pubmed , Xenbase
Rogers, Xenopus Sox3 activates sox2 and geminin and indirectly represses Xvent2 expression to induce neural progenitor formation at the expense of non-neural ectodermal derivatives. 2009, Pubmed , Xenbase
Schlosser, Eya1 and Six1 promote neurogenesis in the cranial placodes in a SoxB1-dependent fashion. 2008, Pubmed , Xenbase
Schüddekopf, The whn transcription factor encoded by the nude locus contains an evolutionarily conserved and functionally indispensable activation domain. 1996, Pubmed
Sekiya, Repression by Groucho/TLE/Grg proteins: genomic site recruitment generates compacted chromatin in vitro and impairs activator binding in vivo. 2007, Pubmed
Seo, Geminin regulates neuronal differentiation by antagonizing Brg1 activity. 2005, Pubmed , Xenbase
Seo, Geminin's double life: chromatin connections that regulate transcription at the transition from proliferation to differentiation. 2006, Pubmed
Sölter, Characterization of a subfamily of related winged helix genes, XFD-12/12'/12" (XFLIP), during Xenopus embryogenesis. 1999, Pubmed , Xenbase
Stern, Neural induction: old problem, new findings, yet more questions. 2005, Pubmed , Xenbase
Suda, Functional equivalency between Otx2 and Otx1 in development of the rostral head. 1999, Pubmed
Sullivan, foxD5a, a Xenopus winged helix gene, maintains an immature neural ectoderm via transcriptional repression that is dependent on the C-terminal domain. 2001, Pubmed , Xenbase
Thompson, CLUSTAL W: improving the sensitivity of progressive multiple sequence alignment through sequence weighting, position-specific gap penalties and weight matrix choice. 1994, Pubmed
Tuteja, SnapShot: forkhead transcription factors I. 2007, Pubmed
Uchikawa, Two distinct subgroups of Group B Sox genes for transcriptional activators and repressors: their expression during embryonic organogenesis of the chicken. 1999, Pubmed
Uwanogho, Embryonic expression of the chicken Sox2, Sox3 and Sox11 genes suggests an interactive role in neuronal development. 1995, Pubmed
Wijchers, In control of biology: of mice, men and Foxes. 2006, Pubmed
Yaklichkin, Prevalence of the EH1 Groucho interaction motif in the metazoan Fox family of transcriptional regulators. 2007, Pubmed
Yaklichkin, FoxD3 and Grg4 physically interact to repress transcription and induce mesoderm in Xenopus. 2007, Pubmed , Xenbase
Yan, foxD5 plays a critical upstream role in regulating neural ectodermal fate and the onset of neural differentiation. 2009, Pubmed , Xenbase
Yan, Microarray identification of novel downstream targets of FoxD4L1/D5, a critical component of the neural ectodermal transcriptional network. 2010, Pubmed , Xenbase
Zaret, Regulatory phases of early liver development: paradigms of organogenesis. 2002, Pubmed
Zaret, Pioneer factors, genetic competence, and inductive signaling: programming liver and pancreas progenitors from the endoderm. 2008, Pubmed
