|
Fig. 1. Interfering with Hedgehog and
Wnt pathways leads to opposite effects
on precursor cell destiny during
retinogenesis. (A,B)Stage 41 Xenopus
retinal sections following in vivo lipofection.
(A)The respective morphologies of GFPpositive
Mler versus neuroepithelial cells.
Arrowheads indicate the cell represented in
the adjacent drawing. (B)Anti-CRALBP
immunostaining (Mler cell marker;
arrowheads) following Ihh-CD2
overexpression. (C-I)Percentage of Mler or
neuroepithelial cells observed in stage 41
retinas following in vivo lipofection with the
indicated constructs. Cyclopamine treatment
was performed from stage 18 onwards on
embryos lipofected with GFP. The total
number of counted cells per condition is
indicated in each bar. *P<0.05, **P<0.01,
***P<0.001 (Student t-test). Mean s.e.m.
ONL, outer nuclear layer; INL, inner nuclear
layer; GCL, ganglion cell layer. Scale bars:
10m. |
|
Fig. 2. Hedgehog and Wnt pathways have opposite impacts on
cell cycle exit. Birthdating experiments (from stage 32 to stage 41)
following in vivo lipofection with the indicated constructs. Cyclopamine
treatment was performed from stage 18 onwards on embryos
lipofected with GFP. Transfected cells that have exited the cell cycle
before EdU exposure (stage 32) are EdUat stage 41, whereas cells that
have exited the cell cycle at any time during the EdU incorporation
period are EdU+. (A)Typical stage 41 retinal sections stained for GFP
and EdU. The arrow and arrowhead point to a GFP+ EdU+ and to a
GFP+ EdUcell, respectively. (B)Percentage of EdU+ nuclei among
transfected cells. The total number of analysed retinas per condition is
indicated in each bar. *P<0.05, **P<0.01 (Student t-test). Mean
s.e.m. L, lens. Scale bar: 40m. |
|
Fig. 3. BIO, IWR-1, purmorphamine and cyclopamine act as
efficient Wnt and Hedgehog pathway activators or inhibitors in
the Xenopus tadpole retina. (A)In situ hybridisation or
immunofluorescence analyses of eGFP expression on stage 40 retinal
sections from Wnt-responsive transgenic animals. Enlargements of the
ciliary marginal zone (CMZ) region (delineated with dotted line) show
that GFP expression is strongest in the peripheral half of the CMZ,
including the stem cell zone. Note that Wnt activity is also detected in
the peripheral retinal pigment epithelium (RPE). (B,C)In situ
hybridisation against eGFP on stage 40 transgenic tadpoles 24 hours
following BIO or IWR-1 treatment. (B)Representative images of staining
in whole mount (lateral view of the head) and on retinal sections
(dorsal side up). (C)Quantification of eGFP staining area per CMZ.
(D-G)In situ hybridisation analyses of Ptc1 (D) and Gli1 (E) expression
on stage 40 retinal sections 24 hours following purmorphamine or
cyclopamine treatment. Note that Ptc1 and Gli1 are detected in the
CMZ (arrows) and in the periocular mesenchyme (arrowheads).
(F,G)Quantification of Ptc1 and Gli1 staining area per CMZ. The total
number of analysed sections per condition is indicated in each bar.
***P<0.001 (Student t-test). Mean s.e.m. L, lens. Scale bar: 40m,
except 400m in whole mounts. |
|
Fig. 4. Interfering with Hedgehog and Wnt pathways leads to
opposite proliferative outcomes in the post-embryonic retina.
BrdU incorporation assays (3-hour pulse) at stage 41, 24 hours
following treatment with the indicated drugs. (A)Control retinal section
illustrating how the CMZ, in which BrdU+ cells are counted, is
delineated (dotted lines) using Hoechst staining. Images on the right
show higher magnifications of the CMZ. (B)Quantification of BrdU+
cells in the CMZ. The total number of analysed retinas per condition is
indicated in each bar. *P<0.05, **P<0.01, ***P<0.001 (Student ttest).
Mean s.e.m. L, lens. Scale bar: 40m. |
|
Fig. 5. Wnt and Hedgehog morphogens are expressed in mutually exclusive territories within the post-embryonic retina. (A,B)Retinal
sections of stage 39/40 Xenopus tadpoles following in situ hybridisation with the indicated probes. (A)Shh, Ihh and Dhh are detected in the central
RPE (arrows). Additionally, Shh labels the ganglion cell layer (arrowhead). (B)In contrast to Hedgehog genes, those encoding Wnt ligands are all
expressed in the peripheral retina. Shown beneath each retinal section is a higher magnification of the CMZ region (boxed). Wnt2b, Wnt8b, Wnt9a,
Wnt9b and Wnt16 are detected in the peripheral RPE surrounding the CMZ (Wnt8b and Wnt9a exhibit a more intense staining dorsally than
ventrally). Wnt8b is additionally expressed in the most peripheral stem cell-containing region of the CMZ, together with Wnt2b, which also labels
the peripheral part of the lens. Wnt3a transcripts are present in the presumptive cornea and Wnt7b is expressed in the lens (not shown).
(C)Summary of Hedgehog (Hh) and Wnt ligand expression in the retina, and of domains exhibiting Wnt (in the CMZ) and Hedgehog (in the CMZ
and periocular mesenchyme) activity. L, lens. Scale bar: 40m. |
|
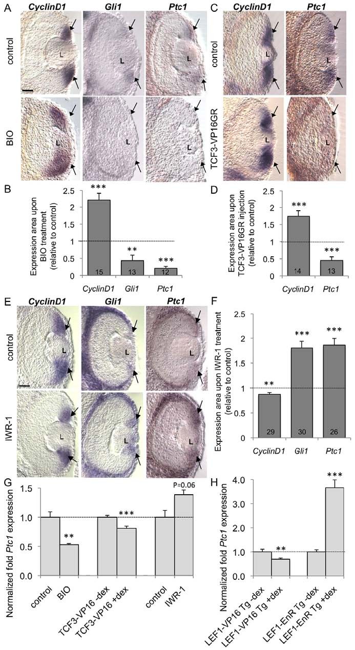
Fig. 6. Impact of Wnt pathway perturbations on Hedgehog
signalling activity. (A-F)In situ hybridisation analyses of CyclinD1, Gli1
or Ptc1 expression on stage 38 retinal sections 24 hours following
treatment with BIO (A,B), induction of TCF3-VP16GR activity in injected
embryos (C,D), or treatment with IWR-1 (E,F). Arrows indicate CMZ
labelling. (B,D,F) Quantifications of staining area for each transcript. The
total number of analysed sections per condition is indicated in each bar.
(G,H)qPCR analysis of retinal Ptc1 expression following Wnt signalling
activation or inhibition as indicated. **P<0.01, ***P<0.001 (Student
t-test). Mean s.e.m. L, lens. Scale bars: 40m. |
|
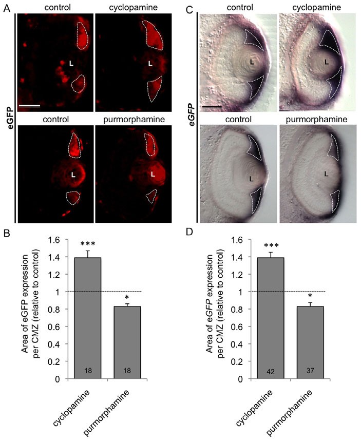
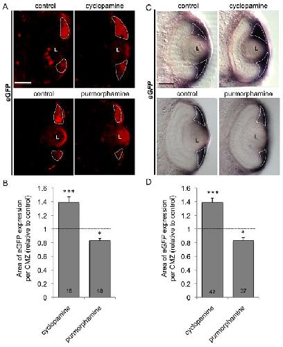
Fig. 7. Hedgehog signalling inhibits Wnt activity.
(A-D)Immunofluorescence (A,B) or in situ hybridisation (C,D) analyses
of eGFP expression in stage 40 retinas from Wnt-responsive transgenic
animals following a 24-hour treatment with either cyclopamine or
purmorphamine. (B,D)Quantification of eGFP staining area within the
CMZ (delineated by dotted lines). Hoechst staining (for
immunolabelling) and Nomarski (for in situ hybridisation) were used to
delineate the CMZ in order to exclude RPE eGFP labelling from the
quantification. The total number of analysed sections per condition is
indicated in each bar. *P<0.05, ***P<0.001 (Student t-test). Mean
s.e.m. L, lens. Scale bars: 40m. |
|
Fig. 8. The Hedgehog pathway
negatively regulates Wnt activity
through the transcriptional
activation of Sfrp-1. (A)In situ
hybridisation analysis of Sfrp-1
expression on stage 41 retinal sections
following a 24-hour treatment with
purmorphamine (purm.) or cyclopamine
(cyclo.). (B)qPCR analysis of Ptc1 (as a
control for purmorphamine activity) and
Sfrp-1 expression in the head of stage 38
sibling tadpoles following 8 hours of
purmorphamine exposure. (C-J)In situ
hybridisation analysis of eGFP expression
in stage 40 retinas from Wnt-responsive
transgenic animals exposed to SRFP-1
protein for 24 hours (C,D,G) or injected
with Sfrp-1 Mo (E,F,H). (G-J)Tadpoles
were additionally treated for 24 hours
with cyclopamine (G,I) or
purmorphamine (H,J). (D,F,I,J)
Quantification of eGFP staining area per
CMZ in each condition. The total
number of analysed sections per
condition is indicated in each bar.
*P<0.05, ***P<0.001 (Student t-test).
Mean s.e.m. L, lens. Scale bar: 40m. |
|
Fig. 9. The Wnt pathway negatively
regulates Hedgehog activity through the
transcriptional activation of Gli3. (A,B)In
situ hybridisation analysis of Gli3 expression (A)
on stage 38 retinal sections 24 hours following
BIO or IWR-1 treatment. (B)Quantification of
Gli3 staining area per CMZ. The total number
of analysed sections per condition is indicated
in each bar. (C)qPCR analysis of retinal Gli3
expression following 24-hour BIO or IWR-1
treatment. (D)qPCR analysis of retinal Ptc1
expression following 24-hour BIO treatment on
Gli3 Mo-injected tadpoles. *P<0.05,
***P<0.001 (Student t-test). Mean s.e.m. L,
lens. Scale bar: 40m. |
|
Fig. 10. Model of Wnt and Hedgehog interplay in the postembryonic
retina. (A)Schematic highlighting the mutually exclusive
expression domains of Wnt and Hedgehog ligands along the central to
peripheral axis of the post-embryonic retina. (B-D)Illustration of the
activities of Wnt and Hedgehog pathways in the retinal neurogenic
niche and of the proposed crosstalk underlying their mutual negative
regulation. Shown are the hypothetical physiological situation (B), and
the synopsis of our Hedgehog (C) or Wnt (D) activation experiments.
Their opposed impacts on stem/progenitor cell proliferation are
represented by changes in the CMZ proliferative cell population (grey)
in the drawings beneath. |