Click here to close
Hello! We notice that you are using Internet Explorer, which is not supported by Xenbase and may cause the site to display incorrectly.
We suggest using a current version of Chrome,
FireFox, or Safari.
???displayArticle.abstract???
BACKGROUND: Mitochondrial genomes comprise a small but critical component of the total DNA in eukaryotic organisms. They encode several key proteins for the cell's major energy producing apparatus, the mitochondrial respiratory chain. Additionally, their nucleotide and amino acid sequences are of great utility as markers for systematics, molecular ecology and forensics. Their characterization through nucleotide sequencing is a fundamental starting point in mitogenomics. Methods to amplify complete mitochondrial genomes rapidly and efficiently from microgram quantities of tissue of single individuals are, however, not always available. Here we validate two approaches, which combine long-PCR with Roche 454 pyrosequencing technology, to obtain two complete mitochondrial genomes from individual amphibian species.
RESULTS: We obtained two new xenopus frogs (Xenopus borealis and X. victorianus) complete mitochondrial genome sequences by means of long-PCR followed by 454 of individual genomes (approach 1) or of multiple pooled genomes (approach 2), the mean depth of coverage per nucleotide was 9823 and 186, respectively. We also characterised and compared the new mitogenomes against their sister taxa; X. laevis and Silurana tropicalis, two of the most intensely studied amphibians. Our results demonstrate how our approaches can be used to obtain complete amphibian mitogenomes with depths of coverage that far surpass traditional primer-walking strategies, at either the same cost or less. Our results also demonstrate: that the size, gene content and order are the same among xenopus mitogenomes and that S. tropicalis form a separate clade to the other xenopus, among which X. laevis and X. victorianus were most closely related. Nucleotide and amino acid diversity was found to vary across the xenopus mitogenomes, with the greatest diversity observed in the Complex 1 gene nad4l and the least diversity observed in Complex 4 genes (cox1-3). All protein-coding genes were shown to be under strong negative (purifying selection), with genes under the strongest pressure (Complex 4) also being the most highly expressed, highlighting their potentially crucial functions in the mitochondrial respiratory chain.
CONCLUSIONS: Next generation sequencing of long-PCR amplicons using single taxon or multi-taxon approaches enabled two new species of Xenopus mtDNA to be fully characterized. We anticipate our complete mitochondrial genome amplification methods to be applicable to other amphibians, helpful for identifying the most appropriate markers for differentiating species, populations and resolving phylogenies, a pressing need since amphibians are undergoing drastic global decline. Our mtDNAs also provide templates for conserved primer design and the assembly of RNA and DNA reads following high throughput "omic" techniques such as RNA- and ChIP-seq. These could help us better understand how processes such mitochondrial replication and gene expression influence xenopus growth and development, as well as how they evolved and are regulated.
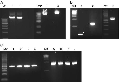
Figure 1. Long PCR, COX1, 16S, primer region 1 and primer region 2 amplicons. Agarose gel electrophoresis of (A) Xenopus borealis (XB; lanes 1 and 2) and X. victorianus (XV; lanes 3 and 4) PCR fragments using Long F1/R2 (lanes 1 and 3) and Long F2/R1 primers (lanes 2 and 4). (B) XB (lanes 1 and 2) and XV (lane 3) PCR fragments using COX1 (lane 1) and 16SA-Lmod/H (lanes 2 and 3) primers. (C) XB (lanes 1-2 and 5-6) and XV (lanes 3-4 and 7-8) PCR fragments using AMP1F/R (lanes 1-4) and AMP2F/R (lanes 5-8) primers. M1 and M2â=â1kb and 100bp DNA ladders, respectively.
Figure 2. Xenopus borealis mitochondrial genome. The complete mitochondrial genome of Xenopus borealis (17,474 bp, drawn to scale) All 13 protein coding genes are shown as open arrows, 2 ribosomal RNAs as shaded arrows and 22 tRNAs as arrowed lines. Each tRNA is shown by its single letter amino acid code. The two leucine and two serine tRNAs are differentiated by their respective anti-codons. The direction of transcription is indicated by the arrows. Also shown is the non-coding D-loop (control region, black) and the position of the primers (LongF1/R2 and LongF2/R1) used to generate the two long-PCR amplicons, which were pooled and sequenced using 454 technology.
Figure 3. Phylogenetic estimates of the interrelationship of four xenopus species and two relatives based on Bayesian analysis of amino acids from concatenated protein coding sequences. Nodal support is given by posterior probabilities; branch-length scale indicates number of substitutions per site.
Figure 4. Sliding window analysis of complete mitochondrial genome sequences of xenopus frogs. The coloured lines show the value of nucleotide divergence K(JC) (average number of nucleotide substitutions per site between species with Jukes and Canor correction) in a sliding window analysis of window size 300 bp with step size 10 for: all four xenopus (black), ST v XL (green), ST v XB (light blue), ST v XV (dark blue), XL v XB (orange), XB v XV (turquoise) and XL and XV (red). Gene boundaries and primers and regions commonly used in DNA barcoding amphibians are indicated.
Figure 5. Ratios of nonsynonymous/synonymous (dN/dS) nucleotide substitutions between the protein-coding genes of xenopus mitochondrial genomes. Although the ratios differ considerably between genes, complexes and pairs of species, in all cases genes are evolving under negative (purifying) selective pressure (dN/dS < 1).
Figure 6. Summary of expressed sequence tag database analyses of S. tropicalis protein coding sequences. Mean (±s.e.m.) number of ESTs in Xenbase with ≥ 90% similarity to each of the 13 mitochondrial protein-coding sequences from ST. Individual gene sequences have been combined and are presented for each complex of the respiratory chain. ∗ = P <0.05 and ∗∗∗ = P <0.003 between complexes (as indicated).
Alacs,
DNA detective: a review of molecular approaches to wildlife forensics.
2010, Pubmed
Alacs,
DNA detective: a review of molecular approaches to wildlife forensics.
2010,
Pubmed Alam,
Complete mitochondrial genomes and novel gene rearrangements in two dicroglossid frogs, Hoplobatrachus tigerinus and Euphlyctis hexadactylus, from Bangladesh.
2010,
Pubmed Bi,
Time and time again: unisexual salamanders (genus Ambystoma) are the oldest unisexual vertebrates.
2010,
Pubmed Boore,
The use of genome-level characters for phylogenetic reconstruction.
2006,
Pubmed Bowes,
Xenbase: gene expression and improved integration.
2010,
Pubmed
,
Xenbase Castellana,
Evolutionary patterns of the mitochondrial genome in Metazoa: exploring the role of mutation and selection in mitochondrial protein coding genes.
2011,
Pubmed D'Errico,
Pseudogenes in metazoa: origin and features.
2004,
Pubmed Efremov,
Respiratory complex I: 'steam engine' of the cell?
2011,
Pubmed Evans,
Evolution of RAG-1 in polyploid clawed frogs.
2005,
Pubmed
,
Xenbase Evans,
A mitochondrial DNA phylogeny of African clawed frogs: phylogeography and implications for polyploid evolution.
2004,
Pubmed
,
Xenbase Folmer,
DNA primers for amplification of mitochondrial cytochrome c oxidase subunit I from diverse metazoan invertebrates.
1994,
Pubmed Gibb,
Mitochondrial genomes and avian phylogeny: complex characters and resolvability without explosive radiations.
2007,
Pubmed Harland,
Xenopus research: metamorphosed by genetics and genomics.
2011,
Pubmed
,
Xenbase Huelsenbeck,
MRBAYES: Bayesian inference of phylogenetic trees.
2001,
Pubmed Irisarri,
Reversal to air-driven sound production revealed by a molecular phylogeny of tongueless frogs, family Pipidae.
2011,
Pubmed Jarman,
Mitochondrial DNA validation in a state laboratory.
2009,
Pubmed Jex,
An integrated pipeline for next-generation sequencing and annotation of mitochondrial genomes.
2010,
Pubmed Kilpatrick,
The ecology and impact of chytridiomycosis: an emerging disease of amphibians.
2010,
Pubmed Laslett,
ARWEN: a program to detect tRNA genes in metazoan mitochondrial nucleotide sequences.
2008,
Pubmed Lowe,
tRNAscan-SE: a program for improved detection of transfer RNA genes in genomic sequence.
1997,
Pubmed Maya-Soriano,
Biobanked Amphibian Samples Confirmed To Species Level Using 16S rRNA DNA Barcodes.
2012,
Pubmed Meier,
The use of mean instead of smallest interspecific distances exaggerates the size of the "barcoding gap" and leads to misidentification.
2008,
Pubmed Miya,
Major patterns of higher teleostean phylogenies: a new perspective based on 100 complete mitochondrial DNA sequences.
2003,
Pubmed Ojala,
The tRNA genes punctuate the reading of genetic information in human mitochondrial DNA.
1980,
Pubmed Perna,
Patterns of nucleotide composition at fourfold degenerate sites of animal mitochondrial genomes.
1995,
Pubmed Phillips,
The root of the mammalian tree inferred from whole mitochondrial genomes.
2003,
Pubmed Pyron,
A large-scale phylogeny of Amphibia including over 2800 species, and a revised classification of extant frogs, salamanders, and caecilians.
2011,
Pubmed Rawlings,
Changing identities: tRNA duplication and remolding within animal mitochondrial genomes.
2003,
Pubmed Reyes,
Asymmetrical directional mutation pressure in the mitochondrial genome of mammals.
1998,
Pubmed Roe,
The complete nucleotide sequence of the Xenopus laevis mitochondrial genome.
1985,
Pubmed
,
Xenbase Rozas,
DnaSP, DNA polymorphism analyses by the coalescent and other methods.
2003,
Pubmed San Mauro,
A hotspot of gene order rearrangement by tandem duplication and random loss in the vertebrate mitochondrial genome.
2006,
Pubmed Sano,
Complete nucleotide sequence and gene rearrangement of the mitochondrial genome of the bell-ring frog, Buergeria buergeri (family Rhacophoridae).
2004,
Pubmed
,
Xenbase Soto,
Biogenesis and assembly of eukaryotic cytochrome c oxidase catalytic core.
2012,
Pubmed Sumida,
Complete nucleotide sequence and gene rearrangement of the mitochondrial genome of the Japanese pond frog Rana nigromaculata.
2001,
Pubmed
,
Xenbase Timmermans,
Why barcode? High-throughput multiplex sequencing of mitochondrial genomes for molecular systematics.
2010,
Pubmed Tsukihara,
The whole structure of the 13-subunit oxidized cytochrome c oxidase at 2.8 A.
1996,
Pubmed Vences,
Deciphering amphibian diversity through DNA barcoding: chances and challenges.
2005,
Pubmed Wallace,
Mitochondrial diseases in man and mouse.
1999,
Pubmed Wolff,
Selective enrichment and sequencing of whole mitochondrial genomes in the presence of nuclear encoded mitochondrial pseudogenes (numts).
2012,
Pubmed Xia,
COI is better than 16S rRNA for DNA barcoding Asiatic salamanders (Amphibia: Caudata: Hynobiidae).
2012,
Pubmed Zarowiecki,
Making the most of mitochondrial genomes--markers for phylogeny, molecular ecology and barcodes in Schistosoma (Platyhelminthes: Digenea).
2007,
Pubmed Zhang,
Computing Ka and Ks with a consideration of unequal transitional substitutions.
2006,
Pubmed Zhang,
Phylogeny, evolution, and biogeography of Asiatic Salamanders (Hynobiidae).
2006,
Pubmed