Click here to close
Hello! We notice that you are using Internet Explorer, which is not supported by Xenbase and may cause the site to display incorrectly.
We suggest using a current version of Chrome,
FireFox, or Safari.
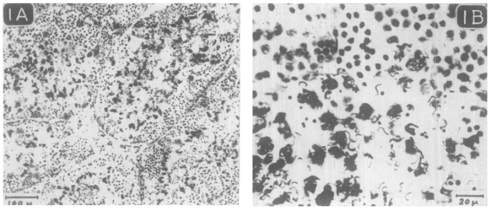
FIGS. 1A and 1B. Normal testis of a frog derived from the transplantation
of a late gastrula endoderm nucleus. The dense patches are clumps of mature
sperm.
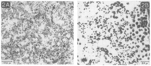
FIGS. 2A and 2B. Sterile testis of a transplant frog from a gut-cell nucleus
of a swimming tadpole (stage 40). Nests of primary spermatocytes are normal
(as in Fig. lB), but later stages in spermatogenesis are seen as pycnotic nuclei
(small spheres) or abnormal sperm.
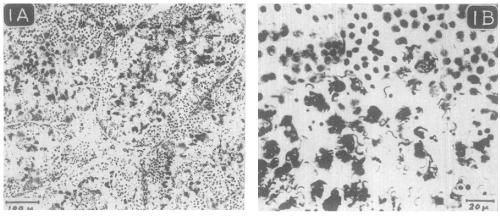
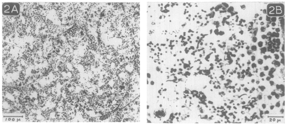
FIGS. 3A and 3B. Sterile testis of a transplant frog from a gut-cell nucleus
of a swimming tadpole (stage 41). Nests of primary spermatocytes are normal,
but nuclei become pycnotic and disappear during or after the second meiotic division.
FIGS. 4A and 4B. Sterile testis of a transplant frog from a gut-cell nucleus
of a hatched tadpole ( stage 39 ) Germ cells are entirely lacking from this gonad,
which mainly consists of interstitial cells (Fig. 4B), for the most part arranged
in tubules (Fig. 4A).
FIGS. 5A and 5B. Sterile ovary of a transplant frog from a gut-cell nucleus
of a swimming tadpole (stage 40). Normal nests of premeiotic nuclei can be
seen ( Fig, 5A), but at this stage nuclei become pycnotic ( Fig. 5B). A very few
oocytes (not shown) began, but did not complete, the growth phase.
FIGS. 6A and 6B. Sterile ovary of a transplant-frog from an endodermnucleus of a hatching tadpole (stage 33). Oocyte growth is apparently arrested
before yolk formation (as in Fig. 6A), but oocytes may die at any time up to
this stage (dark blobs in Fig. 6A). The ânucleoliâ of oocyte germinal vesicles
are abnormally large and are often retained on the chromosome threads (Fig.
6B), though normally free at this stage. The groups of abnormal, possibly
cancerous, cell nuclei (Fig. 6B) are probably derived from ovarian follicle cells.