XB-ART-46898
Nat Struct Mol Biol
2013 May 01;205:574-81. doi: 10.1038/nsmb.2535.
Show Gene links
Show Anatomy links
Energetic role of the paddle motif in voltage gating of Shaker K(+) channels.
Xu Y, Ramu Y, Shin HG, Yamakaze J, Lu Z.
???displayArticle.abstract???
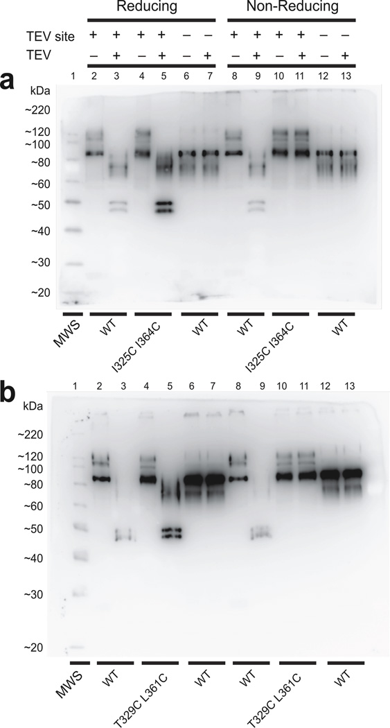
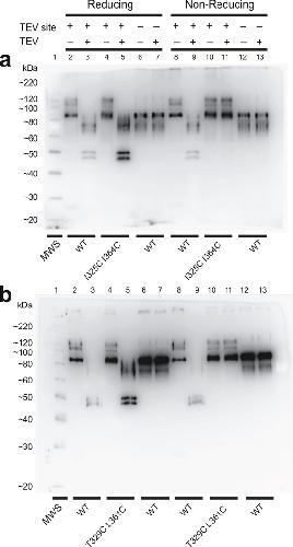
Voltage-gated ion channels underlie rapid electric signaling in excitable cells. Electrophysiological studies have established that the N-terminal half of the fourth transmembrane segment ((NT)S4) of these channels is the primary voltage sensor, whereas crystallographic studies have shown that (NT)S4 is not located within a proteinaceous pore. Rather, (NT)S4 and the C-terminal half of S3 ((CT)S3 or S3b) form a helix-turn-helix motif, termed the voltage-sensor paddle. This unexpected structural finding raises two fundamental questions: does the paddle motif also exist in voltage-gated channels in a biological membrane, and, if so, what is its function in voltage gating? Here, we provide evidence that the paddle motif exists in the open state of Drosophila Shaker voltage-gated K(+) channels expressed in Xenopus oocytes and that (CT)S3 acts as an extracellular hydrophobic 'stabilizer' for (NT)S4, thus biasing the gating chemical equilibrium toward the open state.
???displayArticle.pubmedLink??? 23542156
???displayArticle.pmcLink??? PMC3777420
???displayArticle.link??? Nat Struct Mol Biol
???displayArticle.grants??? [+]
Species referenced: Xenopus
???attribute.lit??? ???displayArticles.show???
References [+] :
Aggarwal,
Contribution of the S4 segment to gating charge in the Shaker K+ channel.
1996, Pubmed,
Xenbase
Aggarwal, Contribution of the S4 segment to gating charge in the Shaker K+ channel. 1996, Pubmed , Xenbase
Ahern, Focused electric field across the voltage sensor of potassium channels. 2005, Pubmed , Xenbase
Alabi, Portability of paddle motif function and pharmacology in voltage sensors. 2007, Pubmed , Xenbase
Armstrong, Currents related to movement of the gating particles of the sodium channels. 1973, Pubmed
Armstrong, Interaction of tetraethylammonium ion derivatives with the potassium channels of giant axons. 1971, Pubmed
Armstrong, Sodium channels and gating currents. 1981, Pubmed
Aziz, Depolarization induces intersubunit cross-linking in a S4 cysteine mutant of the Shaker potassium channel. 2002, Pubmed , Xenbase
Broomand, Large-scale movement within the voltage-sensor paddle of a potassium channel-support for a helical-screw motion. 2008, Pubmed , Xenbase
Campos, Two atomic constraints unambiguously position the S4 segment relative to S1 and S2 segments in the closed state of Shaker K channel. 2007, Pubmed , Xenbase
Catterall, Molecular properties of voltage-sensitive sodium channels. 1986, Pubmed
Chakrapani, The activated state of a sodium channel voltage sensor in a membrane environment. 2010, Pubmed
DeCaen, Gating charge interactions with the S1 segment during activation of a Na+ channel voltage sensor. 2011, Pubmed
Doyle, The structure of the potassium channel: molecular basis of K+ conduction and selectivity. 1998, Pubmed
Elliott, Molecular mechanism of voltage sensor movements in a potassium channel. 2004, Pubmed , Xenbase
Garcia, Purification and characterization of three inhibitors of voltage-dependent K+ channels from Leiurus quinquestriatus var. hebraeus venom. 1994, Pubmed , Xenbase
Grabe, Structure prediction for the down state of a potassium channel voltage sensor. 2007, Pubmed
Hackos, Scanning the intracellular S6 activation gate in the shaker K+ channel. 2002, Pubmed , Xenbase
Henrion, Tracking a complete voltage-sensor cycle with metal-ion bridges. 2012, Pubmed , Xenbase
Hessa, Molecular code for transmembrane-helix recognition by the Sec61 translocon. 2007, Pubmed
Hoshi, Biophysical and molecular mechanisms of Shaker potassium channel inactivation. 1990, Pubmed , Xenbase
Hoshi, Initial steps in the opening of a Shaker potassium channel. 2012, Pubmed
Islas, Voltage sensitivity and gating charge in Shaker and Shab family potassium channels. 1999, Pubmed , Xenbase
Jensen, Mechanism of voltage gating in potassium channels. 2012, Pubmed
Jiang, X-ray structure of a voltage-dependent K+ channel. 2003, Pubmed
Kalia, The design principle of paddle motifs in voltage sensors. 2013, Pubmed
Kamb, Multiple products of the Drosophila Shaker gene may contribute to potassium channel diversity. 1988, Pubmed
Lainé, Atomic proximity between S4 segment and pore domain in Shaker potassium channels. 2003, Pubmed , Xenbase
Larsson, Transmembrane movement of the shaker K+ channel S4. 1996, Pubmed , Xenbase
Liman, Voltage-sensing residues in the S4 region of a mammalian K+ channel. 1991, Pubmed , Xenbase
Liman, Subunit stoichiometry of a mammalian K+ channel determined by construction of multimeric cDNAs. 1992, Pubmed , Xenbase
Lin, R1 in the Shaker S4 occupies the gating charge transfer center in the resting state. 2011, Pubmed , Xenbase
Li-Smerin, A localized interaction surface for voltage-sensing domains on the pore domain of a K+ channel. 2000, Pubmed , Xenbase
Liu, Gated access to the pore of a voltage-dependent K+ channel. 1997, Pubmed
Long, Crystal structure of a mammalian voltage-dependent Shaker family K+ channel. 2005, Pubmed
Long, Atomic structure of a voltage-dependent K+ channel in a lipid membrane-like environment. 2007, Pubmed
Long, Voltage sensor of Kv1.2: structural basis of electromechanical coupling. 2005, Pubmed
Lopez, Hydrophobic substitution mutations in the S4 sequence alter voltage-dependent gating in Shaker K+ channels. 1991, Pubmed , Xenbase
Lu, Coupling between voltage sensors and activation gate in voltage-gated K+ channels. 2002, Pubmed , Xenbase
Lu, Ion conduction pore is conserved among potassium channels. 2001, Pubmed
Mannuzzu, Direct physical measure of conformational rearrangement underlying potassium channel gating. 1996, Pubmed , Xenbase
Noda, Primary structure of Electrophorus electricus sodium channel deduced from cDNA sequence. , Pubmed
Papazian, Alteration of voltage-dependence of Shaker potassium channel by mutations in the S4 sequence. 1991, Pubmed , Xenbase
Papazian, Electrostatic interactions of S4 voltage sensor in Shaker K+ channel. 1995, Pubmed , Xenbase
Payandeh, Crystal structure of a voltage-gated sodium channel in two potentially inactivated states. 2012, Pubmed
Payandeh, The crystal structure of a voltage-gated sodium channel. 2011, Pubmed
Phillips, Voltage-sensor activation with a tarantula toxin as cargo. 2005, Pubmed
Pless, Contributions of counter-charge in a potassium channel voltage-sensor domain. 2011, Pubmed , Xenbase
Pongs, Shaker encodes a family of putative potassium channel proteins in the nervous system of Drosophila. 1988, Pubmed
Posson, Extent of voltage sensor movement during gating of shaker K+ channels. 2008, Pubmed , Xenbase
Ruta, Calibrated measurement of gating-charge arginine displacement in the KvAP voltage-dependent K+ channel. 2005, Pubmed
Schmidt, Phospholipids and the origin of cationic gating charges in voltage sensors. 2006, Pubmed
Schoppa, The size of gating charge in wild-type and mutant Shaker potassium channels. 1992, Pubmed
Seoh, Voltage-sensing residues in the S2 and S4 segments of the Shaker K+ channel. 1996, Pubmed , Xenbase
Smith-Maxwell, Uncharged S4 residues and cooperativity in voltage-dependent potassium channel activation. 1998, Pubmed , Xenbase
Soler-Llavina, Functional interactions at the interface between voltage-sensing and pore domains in the Shaker K(v) channel. 2006, Pubmed , Xenbase
Spassova, Coupled ion movement underlies rectification in an inward-rectifier K+ channel. 1998, Pubmed , Xenbase
Starace, A proton pore in a potassium channel voltage sensor reveals a focused electric field. 2004, Pubmed
Stühmer, Structural parts involved in activation and inactivation of the sodium channel. 1989, Pubmed , Xenbase
Tao, A gating charge transfer center in voltage sensors. 2010, Pubmed , Xenbase
Tempel, Sequence of a probable potassium channel component encoded at Shaker locus of Drosophila. 1987, Pubmed
Timpe, Expression of functional potassium channels from Shaker cDNA in Xenopus oocytes. 1988, Pubmed , Xenbase
Tristani-Firouzi, Interactions between S4-S5 linker and S6 transmembrane domain modulate gating of HERG K+ channels. 2002, Pubmed , Xenbase
Woolfson, The design of coiled-coil structures and assemblies. 2005, Pubmed
Xu, Removal of phospho-head groups of membrane lipids immobilizes voltage sensors of K+ channels. 2008, Pubmed , Xenbase
Xu, A shaker K+ channel with a miniature engineered voltage sensor. 2010, Pubmed
Yang, Molecular basis of charge movement in voltage-gated sodium channels. 1996, Pubmed
Yarov-Yarovoy, Structural basis for gating charge movement in the voltage sensor of a sodium channel. 2012, Pubmed
Zagotta, Shaker potassium channel gating. II: Transitions in the activation pathway. 1994, Pubmed , Xenbase
Zhang, Crystal structure of an orthologue of the NaChBac voltage-gated sodium channel. 2012, Pubmed
