Click here to close
Hello! We notice that you are using Internet Explorer, which is not supported by Xenbase and may cause the site to display incorrectly.
We suggest using a current version of Chrome,
FireFox, or Safari.
Front Genet
2013 Apr 16;4:54. doi: 10.3389/fgene.2013.00054.
Show Gene links
Show Anatomy links
Dysfunction of the Heteromeric KV7.3/KV7.5 Potassium Channel is Associated with Autism Spectrum Disorders.
Gilling M, Rasmussen HB, Calloe K, Sequeira AF, Baretto M, Oliveira G, Almeida J, Lauritsen MB, Ullmann R, Boonen SE, Brondum-Nielsen K, Kalscheuer VM, Tümer Z, Vicente AM, Schmitt N, Tommerup N.
???displayArticle.abstract???
Heterozygous mutations in the KCNQ3 gene on chromosome 8q24 encoding the voltage-gated potassium channel KV7.3 subunit have previously been associated with rolandic epilepsy and idiopathic generalized epilepsy (IGE) including benign neonatal convulsions. We identified a de novo t(3;8) (q21;q24) translocation truncating KCNQ3 in a boy with childhood autism. In addition, we identified a c.1720C > T [p.P574S] nucleotide change in three unrelated individuals with childhood autism and no history of convulsions. This nucleotide change was previously reported in patients with rolandic epilepsy or IGE and has now been annotated as a very rare SNP (rs74582884) in dbSNP. The p.P574S KV7.3 variant significantly reduced potassium current amplitude in Xenopus laevis oocytes when co-expressed with KV7.5 but not with KV7.2 or KV7.4. The nucleotide change did not affect trafficking of heteromeric mutant KV7.3/2, KV7.3/4, or KV7.3/5 channels in HEK 293 cells or primary rat hippocampal neurons. Our results suggest that dysfunction of the heteromeric KV7.3/5 channel is implicated in the pathogenesis of some forms of autism spectrum disorders, epilepsy, and possibly other psychiatric disorders and therefore, KCNQ3 and KCNQ5 are suggested as candidate genes for these disorders.
Figure 1. FISH mapping of translocation breakpoints reveals truncated KCNQ3 gene in patient A. (A) Schematic depiction of the 26 kb breakpoint region within chromosomal region 3q21.3 of patient A. The breakpoint region is located 10.5 kb downstream of the TRH gene and contains no genes. (B) Picture showing metaphase chromosomes from patient A (blue) hybridized with the chromosome 3 specific probe RP11-93K22 (green) that spans the breakpoint. The normal chromosome 3 as well as both derivative chromosomes are marked with white arrows and enlarged in the boxes to the right. (C) The 25 kb breakpoint region on chromosome 8 lies within intron 1 of the KCNQ3 gene. (D) The chromosome 8 specific probe RP11-213I2 (green) spans the breakpoint. The normal chromosome 8 as well as the two derivative chromosomes are marked with white arrows and enlarged.
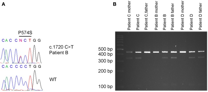
Figure 2. c.1720C > T [p.P574S] variant detected in patient B, C and D. (A) The c.1720 C > T mutation in patient B was identified by Sanger sequencing. (B) The same mutation was identified in patient C and his mother, in patient D and his father and confirmed in patient B and his father by restriction enzyme cleavage of a PCR product encompassing the mutation.
Figure 3. Effect of KV7.3_P574S on KV7.2 and KV7.4 in X. laevis oocytes. Currents were activated by voltage-steps from −80 mV to +40 mV in 10 mV increments. Representative currents are shown as well as steady-state current plotted as a function of voltage. (A) KV7.2 was co-expressed with either KV7.3 WT (n = 6) or P574S (n = 5). (B) Effect of KV7.3_P574S on KV7.4. KV7.4 was co-expressed with either KV7.3 WT (n = 10) or P574S (n = 13) in X. laevis oocytes.
Figure 4. Effect of KV7.3_P574S on KV7.5. KV7.5 was expressed alone (n = 8) or co-expressed with either KV7.3 WT (n = 7), P547S (n = 6), or KV7.5 mixed with KV7.3 WT or KV7.3_P574S (in a 1:1 molar ratio, Hetero, n = 6) in X. laevis oocytes. Currents were activated by voltage-steps from −80 to +40 mV in 10 mV increments. (A) Representative currents are shown. (B) Steady-state current plotted as a function of voltage. Asterisks indicate statistical difference between Hetero and KV7.3/KV7.5. Comparison of the other points were left out for clarity and for voltages higher than 0 mV, all points were statistically different.
Figure 5. No effect of KV7.3_P574S on localization of the KV7.2/KV7.3 complex in HEK 293 cells. KV7.2 was transiently expressed in HEK 293 cells together with KV7.3 WT or KV7.3_P574S, and the localization of the complex was analyzed by immunocytochemistry and confocal microscopy. As illustrated, the P574S mutation is without effect on the localization of the complex that displays a primarily intracellular localization pattern. Scale bar 20 μm.
Figure 6. KV7.2/KV7.3_P574 complexes still target to the AIS of cultured hippocampal neurons. Confocal images of cultured rat hippocampal neurons (10 DIV) expressing KV7.3 WT or KV7.3_P574S (A) and co-transfected with KV7.2 (B). (A) KV7.3 is primarily intracellularly expressed when expressed on its own. No significant KV7.3 expression is observed at the AIS. (B) When co-expressing KV7.3 with KV7.2, both channel subunits are observed at the AIS. KV7.3_P574S displays the same localization characteristics. White arrowhead points to the location of the AIS. Ankyrin-G: marker of the axon initial segment, MAP2: marker of the somatodendritic region of neurons. Scale bars 50 and 20 μm, respectively.
Figure 7. CD4-KV7.3Cterm_P574 can target to the AIS. Confocal images of cultured rat hippocampal neurons (10âDIV) transfected with CD4 (two upper panels), CD4-KV7.3 C-term (two middle panels) and CD4-KV7.3_P574S C-term (two lower panels). The panels to the left illustrate the structure of the chimeric constructs analyzed. CD4-total reflects total CD4 staining in permeabilized cells. CD4-surface is a surface staining of the same cells where the CD4 antibody was applied before permeabilization. The somatodendritic marker MAP2 was included to indicate the location of the AIS (neurite which is MAP2 negative). As expected, CD4 distributes in a non-polarized manner on the surface of axon, soma and dendrites. When the C-terminal of KV7.3 is attached to CD4, the reporter redistributes to the axon initial segment, which illustrates that the KV7.3 C-terminal contains information for AIS localization. The C-terminus of KV7.3_P574S still has the ability to direct CD4 to the AIS. White arrowhead points to the location of the AIS. Scale bars 50 and 20âμm, respectively.
Figure 8. No effect of KV7.3_P574S on the localization of KV7.4 and KV7.5 containing complexes in HEK 293 cells. KV7.4 and KV7.5 were transiently expressed in HEK 293 cells together with KV7.3 or KV7.3_P574S and the localization of the expressed subunits analyzed by immunocytochemistry and confocal microscopy. As illustrated, the P574S mutation is without effect on the localization pattern of the complexes that displays a mixed surface and intracellular staining pattern. Scale bar 20 μm.
Figure 9. Localization and conservation of the SNP c.1720C > T [p.P574S] in KCNQ3. (A) The KV7 subunits consist of six transmembrane domains and a long intracellular carboxy-terminal that contains the subunit interaction domain (sid) (within the square). The P574 amino acid is located in the linker region between two coiled-coil regions. Adapted from (Wehling et al., 2007). (B) The c.1720C nucleotide is conserved between species. Adapted from the UCSC genome browser hg18. (C) Amino acid alignment of the si domains from all KV7 channels. The two coiled-coil domains are depicted as gray boxes and conserved amino acids are marked with an asterisk. The P574 amino acid is located in the linker region between two coiled-coil regions and is not conserved between KV7 members. Adapted from Wehling et al. (2007).
Abdallah,
Psychiatric comorbidities in autism spectrum disorders: findings from a Danish Historic Birth Cohort.
2011, Pubmed
Abdallah,
Psychiatric comorbidities in autism spectrum disorders: findings from a Danish Historic Birth Cohort.
2011,
Pubmed Adolphs,
What does the amygdala contribute to social cognition?
2010,
Pubmed Akanuma,
Psychiatric comorbidity in adult patients with idiopathic generalized epilepsy.
2008,
Pubmed Autism and Developmental Disabilities Monitoring Network Surveillance Year 2006 Principal Investigators,
Prevalence of autism spectrum disorders - Autism and Developmental Disabilities Monitoring Network, United States, 2006.
2009,
Pubmed Avramopoulos,
Linkage of bipolar affective disorder on chromosome 8q24: follow-up and parametric analysis.
2004,
Pubmed Bailey,
Autism as a strongly genetic disorder: evidence from a British twin study.
1995,
Pubmed Baron-Cohen,
Prevalence of autism-spectrum conditions: UK school-based population study.
2009,
Pubmed Bentzen,
The acrylamide (S)-1 differentially affects Kv7 (KCNQ) potassium channels.
2006,
Pubmed
,
Xenbase Berkel,
Mutations in the SHANK2 synaptic scaffolding gene in autism spectrum disorder and mental retardation.
2010,
Pubmed Biervert,
A potassium channel mutation in neonatal human epilepsy.
1998,
Pubmed
,
Xenbase Borgatti,
A novel mutation in KCNQ2 associated with BFNC, drug resistant epilepsy, and mental retardation.
2004,
Pubmed Brown,
Neural KCNQ (Kv7) channels.
2009,
Pubmed Charlier,
A pore mutation in a novel KQT-like potassium channel gene in an idiopathic epilepsy family.
1998,
Pubmed Chung,
Polarized axonal surface expression of neuronal KCNQ channels is mediated by multiple signals in the KCNQ2 and KCNQ3 C-terminal domains.
2006,
Pubmed Cooper,
M-channels: neurological diseases, neuromodulation, and drug development.
2003,
Pubmed de Kovel,
Recurrent microdeletions at 15q11.2 and 16p13.11 predispose to idiopathic generalized epilepsies.
2010,
Pubmed Devaux,
KCNQ2 is a nodal K+ channel.
2004,
Pubmed Duong,
Mutations in NRXN1 in a family multiply affected with brain disorders: NRXN1 mutations and brain disorders.
2012,
Pubmed Erdogan,
Impact of low copy repeats on the generation of balanced and unbalanced chromosomal aberrations in mental retardation.
2006,
Pubmed Feng,
High frequency of neurexin 1beta signal peptide structural variants in patients with autism.
2006,
Pubmed Folstein,
Infantile autism: a genetic study of 21 twin pairs.
1977,
Pubmed Folstein,
Genetics of autism: complex aetiology for a heterogeneous disorder.
2001,
Pubmed Gregor,
Expanding the clinical spectrum associated with defects in CNTNAP2 and NRXN1.
2011,
Pubmed Gu,
A conserved domain in axonal targeting of Kv1 (Shaker) voltage-gated potassium channels.
2003,
Pubmed Hu,
Two forms of electrical resonance at theta frequencies, generated by M-current, h-current and persistent Na+ current in rat hippocampal pyramidal cells.
2002,
Pubmed Iossifov,
De novo gene disruptions in children on the autistic spectrum.
2012,
Pubmed Jamain,
Mutations of the X-linked genes encoding neuroligins NLGN3 and NLGN4 are associated with autism.
2003,
Pubmed Kohane,
The co-morbidity burden of children and young adults with autism spectrum disorders.
2012,
Pubmed Kubisch,
KCNQ4, a novel potassium channel expressed in sensory outer hair cells, is mutated in dominant deafness.
1999,
Pubmed
,
Xenbase Lerche,
Molecular cloning and functional expression of KCNQ5, a potassium channel subunit that may contribute to neuronal M-current diversity.
2000,
Pubmed
,
Xenbase Levy,
Rare de novo and transmitted copy-number variation in autistic spectrum disorders.
2011,
Pubmed Leyfer,
Comorbid psychiatric disorders in children with autism: interview development and rates of disorders.
2006,
Pubmed Lord,
Autism Diagnostic Interview-Revised: a revised version of a diagnostic interview for caregivers of individuals with possible pervasive developmental disorders.
1994,
Pubmed Miceli,
Neutralization of a unique, negatively-charged residue in the voltage sensor of K V 7.2 subunits in a sporadic case of benign familial neonatal seizures.
2009,
Pubmed Moreno-De-Luca,
Deletion 17q12 is a recurrent copy number variant that confers high risk of autism and schizophrenia.
2010,
Pubmed Morgado-Bernal,
Learning and memory consolidation: linking molecular and behavioral data.
2011,
Pubmed Neale,
Patterns and rates of exonic de novo mutations in autism spectrum disorders.
2012,
Pubmed Neubauer,
KCNQ2 and KCNQ3 mutations contribute to different idiopathic epilepsy syndromes.
2008,
Pubmed
,
Xenbase O'Roak,
Sporadic autism exomes reveal a highly interconnected protein network of de novo mutations.
2012,
Pubmed Peters,
Conditional transgenic suppression of M channels in mouse brain reveals functions in neuronal excitability, resonance and behavior.
2005,
Pubmed
,
Xenbase Rasmussen,
Requirement of subunit co-assembly and ankyrin-G for M-channel localization at the axon initial segment.
2007,
Pubmed Schroeder,
Moderate loss of function of cyclic-AMP-modulated KCNQ2/KCNQ3 K+ channels causes epilepsy.
1998,
Pubmed
,
Xenbase Schroeder,
KCNQ5, a novel potassium channel broadly expressed in brain, mediates M-type currents.
2000,
Pubmed Schwake,
Surface expression and single channel properties of KCNQ2/KCNQ3, M-type K+ channels involved in epilepsy.
2000,
Pubmed
,
Xenbase Schwake,
Structural determinants of M-type KCNQ (Kv7) K+ channel assembly.
2006,
Pubmed
,
Xenbase Sebat,
Major changes in our DNA lead to major changes in our thinking.
2007,
Pubmed Stahlberg,
Bipolar disorder, schizophrenia, and other psychotic disorders in adults with childhood onset AD/HD and/or autism spectrum disorders.
2004,
Pubmed State,
The genetics of child psychiatric disorders: focus on autism and Tourette syndrome.
2010,
Pubmed Steinlein,
Benign familial neonatal convulsions: always benign?
2007,
Pubmed Tovia,
The prevalence of atypical presentations and comorbidities of benign childhood epilepsy with centrotemporal spikes.
2011,
Pubmed Tuchman,
Autism and epilepsy: historical perspective.
2010,
Pubmed Ullmann,
Array CGH identifies reciprocal 16p13.1 duplications and deletions that predispose to autism and/or mental retardation.
2007,
Pubmed Verheij,
An 8.35 Mb overlapping interstitial deletion of 8q24 in two patients with coloboma, congenital heart defect, limb abnormalities, psychomotor retardation and convulsions.
2009,
Pubmed Wang,
KCNQ2 and KCNQ3 potassium channel subunits: molecular correlates of the M-channel.
1998,
Pubmed
,
Xenbase Wang,
Neurophysiological and computational principles of cortical rhythms in cognition.
2010,
Pubmed Wehling,
Self-assembly of the isolated KCNQ2 subunit interaction domain.
2007,
Pubmed Zandi,
Family-based SNP association study on 8q24 in bipolar disorder.
2008,
Pubmed Zhang,
Family-based association analysis to finemap bipolar linkage peak on chromosome 8q24 using 2,500 genotyped SNPs and 15,000 imputed SNPs.
2010,
Pubmed