Click here to close
Hello! We notice that you are using Internet Explorer, which is not supported by Xenbase and may cause the site to display incorrectly.
We suggest using a current version of Chrome,
FireFox, or Safari.
???displayArticle.abstract???
Transcription activator-like effector nucleases (TALENs) are novel engineered DNA nucleases, and have been proven to be effective for gene specific targeting in various species. Recently we reported gene disruptions in Xenopus embryos by using TALENs. Here we summarize the protocol that is used in our studies for gene disruption. This protocol covers selection of TALEN targeting sites, TALEN assembly with a modified Golden Gate method, and injection of TALEN mRNAs into Xenopus tropicalis embryos. We also provide details for detection of somatic and germ line transmitted mutations. And finally, we briefly describe establishment of knockout Xenopus lines. This protocol will facilitate broader applications of TALENs in studies of Xenopus biology.
Figure 1. Schematic diagrams of TALEN structure and PCR-based assay for detection of mutagenesis. (A) Schematic drawing of TALEN structure. TALEN architecture was optimized for both zebrafish and Xenopus. Each TALEN monomer consists of a nuclear location signal (NLS), 152 amino acids deletion N-terminal, 63 amino acids from C-terminal, the TALE repeat domains, and modified Fok I nuclease domain ELD/KKR. Each TALE repeat unit consists of 34 amino acids, in which the amino acids at positions 12 and 13 are called ârepeat-variable di-residuesâ (RVDs). The RVD determine binding specificity to DNA bases following the code that NG, NI, HD, and NN respectively recognized thymine, adenine, cytosine and guanine. (B) Schematic diagram illustrating binding of TALENs to their targeted DNA sites. Each monomer of a TALEN pair recognizes and binds DNA via upstream or downstream EBE individually. Two Fok I nuclease domains ELD and KKR dimerize and function as endonuclease, generating DNA double strands break (DSB) at spacer between the two EBE sites. (C) PCR assay determining indel mutations induced by TALENs. The DNA fragment coving two EBE sites were amplified with Primer 1/3, the amplicons were then subcloned into pMD18-T using TA cloning. Primer 1/3 were employed to check insertion of targeted sequence after TA cloning. Primer 2 covered the joint region between upstream EBE and the spacer. When indel mutations were amplified in the spacer region, no amplicons would be generated by Primer 2/3. The corresponding plasmids were then sequenced to verify TALEN-induced mutations. Primer 1/4 may also be introduced to this PCR assay for detection of some mutations close to the downstream EBE site, which could not be captured by Primer 2/3. Not drawn to scale.
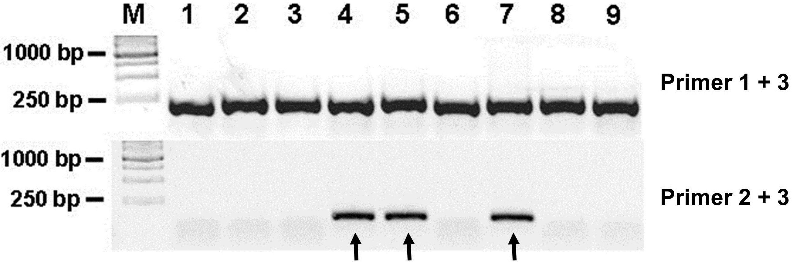
Figure 4. Colony PCR results for evaluation of gene disruption. Agarose gel showing an example of colony PCR to detect mutagenesis in ets1-TALEN injected Xenopus tropicalis embryos. The bands amplified by Primer 1/3 in upper panel (~200 bp) indicate the colonies harbor the TALEN targeted sites. PCR assay was also carried out with Primer 2/3 in lower panel. The colonies that can give upper bands but fail to give lower bands were the positive colonies carrying potential mutants. The colonies giving both upper and lower bands did not carry mutants (arrows indicated). Mutations were further confirmed by sequencing.
Figure 2. Workflow for establishing gene knockout Xenopus lines by TALENs. After selection of TALENs target site and assembly of TALEN plasmids, mRNAs encoding a pair of TALENs were microinjected into Xenopus embryos at one cell stage. The gene disruption efficiency was examined by PCR-based assay and afterwards sequencing. Some of the injected embryos were raised till sexual maturity. Individual G0 founder frog was mated with WT frog for germ line transmission to get F1 frogs. The F1 frogs were genotyped before metamorphosis by cutting tail and were raised to adulthood for intercross. Theoretically, ~25% offspring from F1 Xenopus will be homozygotes frogs carrying a specific gene mutation.
Figure 3. Agarose gel image showing PCR amplicons from different steps of Golden Gate assembly. pFUS_A vectors contain 1st-10th RVDs repeats (Lane 1) and pFUS_B5 vectors harbor 11th-15th RVDs repeats (Lane 2) in Golden Gate assembly round 1. The smeared ladder bands starting at ~300 bp with increase of approximate every 100 bp indicated successful RVD assembly and ligation to pFUS_A/B. Unsuccessful insertion led to incorrect size of amplicons (Lane 3). Lane 4 and 5 represent colony PCRs for pCS2-TALEN-ELD/KKR vectors carrying RVDs in Golden Gate assembly round 2. Correct PCR fragments amplified by primer pair of CTalF/CTalR are about 200 bp after assembly of the RVDs repeats from pFUS_A, pFUS_B5, and final half RVD repeat, into the pCS2-TALEN-ELD/KKR vectors.
Afelik,
Combined ectopic expression of Pdx1 and Ptf1a/p48 results in the stable conversion of posterior endoderm into endocrine and exocrine pancreatic tissue.
2006, Pubmed,
Xenbase
Afelik,
Combined ectopic expression of Pdx1 and Ptf1a/p48 results in the stable conversion of posterior endoderm into endocrine and exocrine pancreatic tissue.
2006,
Pubmed
,
Xenbase Bedell,
In vivo genome editing using a high-efficiency TALEN system.
2012,
Pubmed Boch,
Breaking the code of DNA binding specificity of TAL-type III effectors.
2009,
Pubmed Cade,
Highly efficient generation of heritable zebrafish gene mutations using homo- and heterodimeric TALENs.
2012,
Pubmed Carlson,
Efficient TALEN-mediated gene knockout in livestock.
2012,
Pubmed Cermak,
Efficient design and assembly of custom TALEN and other TAL effector-based constructs for DNA targeting.
2011,
Pubmed Christian,
Targeting G with TAL effectors: a comparison of activities of TALENs constructed with NN and NK repeat variable di-residues.
2012,
Pubmed Cong,
Comprehensive interrogation of natural TALE DNA-binding modules and transcriptional repressor domains.
2012,
Pubmed Dahlem,
Simple methods for generating and detecting locus-specific mutations induced with TALENs in the zebrafish genome.
2012,
Pubmed Deng,
Structural basis for sequence-specific recognition of DNA by TAL effectors.
2012,
Pubmed Doyon,
Enhancing zinc-finger-nuclease activity with improved obligate heterodimeric architectures.
2011,
Pubmed Engler,
A one pot, one step, precision cloning method with high throughput capability.
2008,
Pubmed Hellsten,
The genome of the Western clawed frog Xenopus tropicalis.
2010,
Pubmed
,
Xenbase Hockemeyer,
Genetic engineering of human pluripotent cells using TALE nucleases.
2011,
Pubmed Huang,
Heritable gene targeting in zebrafish using customized TALENs.
2011,
Pubmed Ishibashi,
Highly efficient bi-allelic mutation rates using TALENs in Xenopus tropicalis.
2012,
Pubmed
,
Xenbase Kashiwagi,
Xenopus tropicalis: an ideal experimental animal in amphibia.
2010,
Pubmed
,
Xenbase Lei,
Efficient targeted gene disruption in Xenopus embryos using engineered transcription activator-like effector nucleases (TALENs).
2012,
Pubmed
,
Xenbase Liu,
Efficient and specific modifications of the Drosophila genome by means of an easy TALEN strategy.
2012,
Pubmed Miller,
A TALE nuclease architecture for efficient genome editing.
2011,
Pubmed Moscou,
A simple cipher governs DNA recognition by TAL effectors.
2009,
Pubmed Mussolino,
A novel TALE nuclease scaffold enables high genome editing activity in combination with low toxicity.
2011,
Pubmed Reyon,
FLASH assembly of TALENs for high-throughput genome editing.
2012,
Pubmed Sakuma,
Efficient TALEN construction and evaluation methods for human cell and animal applications.
2013,
Pubmed
,
Xenbase Sander,
Targeted gene disruption in somatic zebrafish cells using engineered TALENs.
2011,
Pubmed Streubel,
TAL effector RVD specificities and efficiencies.
2012,
Pubmed Tesson,
Knockout rats generated by embryo microinjection of TALENs.
2011,
Pubmed Urnov,
Genome editing with engineered zinc finger nucleases.
2010,
Pubmed Wood,
Targeted genome editing across species using ZFNs and TALENs.
2011,
Pubmed Young,
Efficient targeted gene disruption in the soma and germ line of the frog Xenopus tropicalis using engineered zinc-finger nucleases.
2011,
Pubmed
,
Xenbase Zhang,
Efficient construction of sequence-specific TAL effectors for modulating mammalian transcription.
2011,
Pubmed Zhang,
Transcription activator-like effector nucleases enable efficient plant genome engineering.
2013,
Pubmed Zhao,
Homeoprotein hhex-induced conversion of intestinal to ventral pancreatic precursors results in the formation of giant pancreata in Xenopus embryos.
2012,
Pubmed
,
Xenbase