XB-ART-47133
Mol Cell Proteomics
2013 Sep 01;129:2587-603. doi: 10.1074/mcp.O112.021022.
Show Gene links
Show Anatomy links
The human PDZome: a gateway to PSD95-Disc large-zonula occludens (PDZ)-mediated functions.
Belotti E, Polanowska J, Daulat AM, Audebert S, Thomé V, Lissitzky JC, Lembo F, Blibek K, Omi S, Lenfant N, Gangar A, Montcouquiol M, Santoni MJ, Sebbagh M, Aurrand-Lions M, Angers S, Kodjabachian L, Reboul J, Borg JP.
???displayArticle.abstract???
Protein-protein interactions organize the localization, clustering, signal transduction, and degradation of cellular proteins and are therefore implicated in numerous biological functions. These interactions are mediated by specialized domains able to bind to modified or unmodified peptides present in binding partners. Among the most broadly distributed protein interaction domains, PSD95-disc large-zonula occludens (PDZ) domains are usually able to bind carboxy-terminal sequences of their partners. In an effort to accelerate the discovery of PDZ domain interactions, we have constructed an array displaying 96% of the human PDZ domains that is amenable to rapid two-hybrid screens in yeast. We have demonstrated that this array can efficiently identify interactions using carboxy-terminal sequences of PDZ domain binders such as the E6 oncoviral protein and protein kinases (PDGFRβ, BRSK2, PCTK1, ACVR2B, and HER4); this has been validated via mass spectrometry analysis. Taking advantage of this array, we show that PDZ domains of Scrib and SNX27 bind to the carboxy-terminal region of the planar cell polarity receptor Vangl2. We also have demonstrated the requirement of Scrib for the promigratory function of Vangl2 and described the morphogenetic function of SNX27 in the early Xenopus embryo. The resource presented here is thus adapted for the screen of PDZ interactors and, furthermore, should facilitate the understanding of PDZ-mediated functions.
???displayArticle.pubmedLink??? 23722234
???displayArticle.pmcLink??? PMC3769332
???displayArticle.link??? Mol Cell Proteomics
Species referenced: Xenopus
Genes referenced: actl6a acvr2b brsk2 cdk16 dlg4 fn1 hrg myc scrib snx27 sox2 vangl2
???displayArticle.morpholinos??? snx27 MO1 vangl2 MO1
???attribute.lit??? ???displayArticles.show???
|
|
Fig. 1. Human PDZome array to detect direct PDZ domain interactors. A, schematic representation of the identification of interactions between the collection of PDZ domains and a protein of interest (POI) using a yeast two-hybrid assay. The PDZ domain collection cloned in the pAD vector is hosted by the yeast Y187 strain. This arrayed collection is probed with the desired POI cloned in the pDB vector and hosted by an AH109 strain. B, Coomassie-stained protein gel after pull-down assay on Caco2 and HEK 293T cell extracts using E6 or E6δTQL peptides as affinity reagents. C, graphic representation of Y2H (blue) and mass spectrometry (yellow) screens. Common identified E6 binders are in the green intersection of those two ensembles. In red, binders considered as indirect interactors as explained in the text. |
|
|
Fig. 2. Interaction between E6 and selected PDZ domains measured by HTRF and ELISA. A, shown in the table are the PDZ name, the molarity of the GST-PDZ fusion protein in purification eluates, Delta F (FRET intensity obtained with GST-PDZs, equal to 1E-8 M, determined as shown in B), IC50 (the apparent affinity determined via homologous competition assay as shown in C for representative PDZ domains (ND: not done)), and the binding intensity (A450) of the GST proteins (1E-7M) to solid phase E6 measured via ELISA, as shown in D (note the logarithmic scale of the y-axis). Green: high interaction; orange: low interaction; red: no interaction. |
|
|
Fig. 4. Identification of PDZ partners of the Vangl2 carboxy-terminal region. A, schematic representation of Vangl2 receptor. B, Coomassie-stained protein gel after pull-down assay on Caco-2 cell extracts using Vangl2 or Vangl2δTSV peptides as affinity reagents. Each star corresponds to PDZ interactors of the Vangl2 carboxy-terminal peptide found via mass spectrometry. In the right panel, an immunoblot from the same experiment using anti-Scrib antibody confirms the Vangl2âScrib interaction. C, Scrib interacts with Vangl2 through its PDZ binding motif (PDZBM) sequence. HEK 293T cells were transfected with epitope-tagged Vangl2 or Vangl2 mutated at its PDZBM (last three amino acids mutated in alanine). Vangl2 proteins were purified using streptavidin beads, and the presence of Scrib was assessed by means of co-affinity purification and Western blotting. 15 μg of lysate were loaded in total lysate, and 400 μg were used for affinity purification. D, graphic representation of Y2H (blue) and mass spectrometry (yellow) screens. Common identified Vangl2 binders are in the green intersection of those two ensembles. In red are the binders considered as indirect interactors (see text). |
|
|
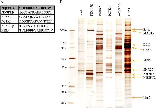
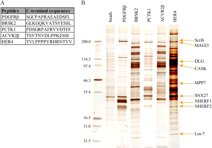
Fig. 3. Screening of the PDZome with the PDZ binding site of protein kinases. A, carboxy-terminal sequences of selected protein kinases. B, silver-stained protein gel after pull-down assay on HEK 293T cell extracts using peptides from A as affinity reagents. |
|
|
Fig. 5. Involvement of Scrib in Vangl2 promigratory function. A, Western blot analysis of protein extracts of T47D cells stably transfected with GFP, GFP-Vangl2, or GFP-Vangl2Lp and GFP-Vangl2δTSV mutants. Degradation products of GFP-Vangl2Lp are marked by black points. B, each T47D cell population was submitted to transmigration assays in Boyden chambers without stimulation (blue bars) or with 1 nm HRG (red bars). Data are represented as fold changes and are the sum of three independent experiments. C, GFP-Vangl2 T47D cells either unstimulated or stimulated for 5 min with HRG treatment were fixed and labeled with anti-Scrib and Actin staining by TRITC-label and phalloidin, respectively. Confocal acquisition shows the localization of GFP-Vangl2 and Scrib at the leading edge under HRG stimulation. D, wild-type (Wt) MEF cells or circletail homozygous cells (Crc/Crc) were transiently transfected with GFP or GFP-Vangl2. The expression of proteins was evaluated with the mentioned antibodies. E, Wt and Crc/Crc MEF cells transiently transfected with GFP or GFP-Vangl2 were submitted to Boyden chamber assays using serum (FCS) as a chemoattractant. Filters were coated with fibronectin. Asterisks represent significant differences relative to the control (* p < 0.05 by MannâWhitney U test). Data are represented as fold changes. |
|
|
Fig. 6. SNX27 interacts with Vangl2 through its PDZ domain. A, Western blot analysis of protein extracts of HEK 293T cells expressing STREP-HA-Vangl2 and either Myc-SNX27 or Myc-SNX27 deleted of its PDZ domain. Vangl2 proteins were purified using streptavidin beads, and the presence of SNX27 was assessed by means of co-affinity purification and Western blotting using anti-Myc antibody. 15 μg of lysate were loaded in total lysate, and 400 μg were used for affinity purification in A and B. B, SNX27 interacts with Vangl2 through its PDZBM sequence. HEK 293T cells were transfected with Vangl2 or Vangl2 mutated at its PDZBM (last three amino acids mutated in alanine). Vangl2 proteins were purified using streptavidin beads, and the presence of SNX27 (as indicated by an asterisk on the blot) was assessed by means of co-affinity purification and Western blotting. C, co-localization of Vangl2 with Myc-SNX27 but not Myc-SNX27δPDZ in transfected HEK 293T cells. |
|
|
Fig. 7. SNX27 knockdown impairs morphogenetic movements in Xenopus embryos. A, in situ hybridization with SNX27 antisense digoxygenin-labeled riboprobe revealed expression in early gastrula mesoderm (st. 10.5) and neural plate (st. 18). The st. 10.5 embryo on the right was bisected following staining to reveal expression in the internal mesodermal mantle (arrow). The st. 18 embryo is shown in front view (left) and dorsal view (right). Sense probe did not produce any signal. B, embryos were injected in dorsal blastomeres at 4- to 8-cell stage with SNX27 or Vangl2 morpholino-oligonucleotides (MOs) and stained for the neural marker Sox2 at the tailbud stage. Embryos representative of the three classes observed are shown. Class 1 embryos are wild-type, class 2 embryos display anterior neural tube opening (arrow), and class 3 embryos exhibit severe neural tube opening and a kinked body typical of deficient convergent extension. C, graph showing the phenotypic distribution of embryos injected with increasing amounts of SNX27 MOs. D, graph showing the synergistic effect of Vangl2 and SNX27 MOs. |
|
|
snx27 (sorting nexin family member 27) gene expression in X. laevis embryo, NF stage 10.5, lateral view (image on left) and in bisected embryo (midsagittal section). |
|
|
snx27 (sorting nexin family member 27) gene expression in X. laevis embryo, NF stage 18, anterior view, dorsal up ( image on left), and dorsal view, anterior left (image on right). |
References [+] :
Anastas,
A protein complex of SCRIB, NOS1AP and VANGL1 regulates cell polarity and migration, and is associated with breast cancer progression.
2012, Pubmed
Anastas, A protein complex of SCRIB, NOS1AP and VANGL1 regulates cell polarity and migration, and is associated with breast cancer progression. 2012, Pubmed
Angers, The KLHL12-Cullin-3 ubiquitin ligase negatively regulates the Wnt-beta-catenin pathway by targeting Dishevelled for degradation. 2006, Pubmed , Xenbase
Audebert, Mammalian Scribble forms a tight complex with the betaPIX exchange factor. 2004, Pubmed
Babayeva, Planar cell polarity pathway regulates actin rearrangement, cell shape, motility, and nephrin distribution in podocytes. 2011, Pubmed
Belotti, Molecular characterisation of endogenous Vangl2/Vangl1 heteromeric protein complexes. 2012, Pubmed
Bezprozvanny, Classification of PDZ domains. 2001, Pubmed
Bilder, PDZ proteins and polarity: functions from the fly. 2001, Pubmed
Bilder, Localization of apical epithelial determinants by the basolateral PDZ protein Scribble. 2000, Pubmed
Blake, Different dystrophin-like complexes are expressed in neurons and glia. 1999, Pubmed
Cai, Deficiency of sorting nexin 27 (SNX27) leads to growth retardation and elevated levels of N-methyl-D-aspartate receptor 2C (NR2C). 2011, Pubmed
Caruana, Genetic studies define MAGUK proteins as regulators of epithelial cell polarity. 2002, Pubmed
Chen, Genome-wide functional annotation of dual-specificity protein- and lipid-binding modules that regulate protein interactions. 2012, Pubmed
Daulat, Purification and identification of G protein-coupled receptor protein complexes under native conditions. 2007, Pubmed
Dow, The tumour-suppressor Scribble dictates cell polarity during directed epithelial migration: regulation of Rho GTPase recruitment to the leading edge. 2007, Pubmed
Doyle, Crystal structures of a complexed and peptide-free membrane protein-binding domain: molecular basis of peptide recognition by PDZ. 1996, Pubmed
Etienne-Manneville, Cdc42--the centre of polarity. 2004, Pubmed
Favre-Bonvin, Human papillomavirus type 18 E6 protein binds the cellular PDZ protein TIP-2/GIPC, which is involved in transforming growth factor beta signaling and triggers its degradation by the proteasome. 2005, Pubmed
Garcia, The neuregulin receptor ErbB-4 interacts with PDZ-containing proteins at neuronal synapses. 2000, Pubmed
Giallourakis, A molecular-properties-based approach to understanding PDZ domain proteins and PDZ ligands. 2006, Pubmed
Giese, Gipc1 has a dual role in Vangl2 trafficking and hair bundle integrity in the inner ear. 2012, Pubmed
Grootjans, Syntenin-syndecan binding requires syndecan-synteny and the co-operation of both PDZ domains of syntenin. 2000, Pubmed
Harris, Mechanism and role of PDZ domains in signaling complex assembly. 2001, Pubmed
Hartley, DNA cloning using in vitro site-specific recombination. 2000, Pubmed
Heasman, Beta-catenin signaling activity dissected in the early Xenopus embryo: a novel antisense approach. 2000, Pubmed , Xenbase
Hillier, OSP: a computer program for choosing PCR and DNA sequencing primers. 1991, Pubmed
Ivarsson, Prevalence, specificity and determinants of lipid-interacting PDZ domains from an in-cell screen and in vitro binding experiments. 2013, Pubmed
Javier, Cell polarity proteins: common targets for tumorigenic human viruses. 2008, Pubmed
Javier, Emerging theme: cellular PDZ proteins as common targets of pathogenic viruses. 2011, Pubmed
Jeong, Human papillomavirus type 16 E6 protein interacts with cystic fibrosis transmembrane regulator-associated ligand and promotes E6-associated protein-mediated ubiquitination and proteasomal degradation. 2007, Pubmed
Joubert, New sorting nexin (SNX27) and NHERF specifically interact with the 5-HT4a receptor splice variant: roles in receptor targeting. 2004, Pubmed
Kallay, Scribble associates with two polarity proteins, Lgl2 and Vangl2, via distinct molecular domains. 2006, Pubmed
Kim, Clustering of Shaker-type K+ channels by interaction with a family of membrane-associated guanylate kinases. 1995, Pubmed
Kingston, Inhibition of retromer activity by herpesvirus saimiri tip leads to CD4 downregulation and efficient T cell transformation. 2011, Pubmed
Lauffer, SNX27 mediates PDZ-directed sorting from endosomes to the plasma membrane. 2010, Pubmed
Lee, Multi-PDZ domain protein MUPP1 is a cellular target for both adenovirus E4-ORF1 and high-risk papillomavirus type 18 E6 oncoproteins. 2000, Pubmed
Lenfant, A genome-wide study of PDZ-domain interactions in C. elegans reveals a high frequency of non-canonical binding. 2010, Pubmed
Li, A map of the interactome network of the metazoan C. elegans. 2004, Pubmed
Luga, Exosomes mediate stromal mobilization of autocrine Wnt-PCP signaling in breast cancer cell migration. 2012, Pubmed
Marchal, BMP inhibition initiates neural induction via FGF signaling and Zic genes. 2009, Pubmed , Xenbase
Maudsley, Platelet-derived growth factor receptor association with Na(+)/H(+) exchanger regulatory factor potentiates receptor activity. 2000, Pubmed
McCaffrey, Epithelial organization, cell polarity and tumorigenesis. 2011, Pubmed
Mitchell, The PCP pathway instructs the planar orientation of ciliated cells in the Xenopus larval skin. 2009, Pubmed , Xenbase
Montcouquiol, Identification of Vangl2 and Scrb1 as planar polarity genes in mammals. 2003, Pubmed
Montcouquiol, Asymmetric localization of Vangl2 and Fz3 indicate novel mechanisms for planar cell polarity in mammals. 2006, Pubmed
Morais Cabral, Crystal structure of a PDZ domain. 1996, Pubmed
Mukherjee, CASK Functions as a Mg2+-independent neurexin kinase. 2008, Pubmed
Nakagawa, Human scribble (Vartul) is targeted for ubiquitin-mediated degradation by the high-risk papillomavirus E6 proteins and the E6AP ubiquitin-protein ligase. 2000, Pubmed
Nola, Scrib regulates PAK activity during the cell migration process. 2008, Pubmed
Nourry, PDZ domain proteins: plug and play! 2003, Pubmed
Ohno, Intercellular junctions and cellular polarity: the PAR-aPKC complex, a conserved core cassette playing fundamental roles in cell polarity. 2001, Pubmed
Pangon, The PDZ-binding motif of MCC is phosphorylated at position -1 and controls lamellipodia formation in colon epithelial cells. 2012, Pubmed
Park, The planar cell-polarity gene stbm regulates cell behaviour and cell fate in vertebrate embryos. 2002, Pubmed , Xenbase
Pawson, SH2 domains, interaction modules and cellular wiring. 2001, Pubmed
Pawson, Dynamic control of signaling by modular adaptor proteins. 2007, Pubmed
Pearson, SCRIB expression is deregulated in human prostate cancer, and its deficiency in mice promotes prostate neoplasia. 2011, Pubmed
Penkert, Internal recognition through PDZ domain plasticity in the Par-6-Pals1 complex. 2004, Pubmed
Roh, Composition and function of PDZ protein complexes during cell polarization. 2003, Pubmed
Schultz, SMART: a web-based tool for the study of genetically mobile domains. 2000, Pubmed
Scott, Cell signaling in space and time: where proteins come together and when they're apart. 2009, Pubmed
Scott, GOLPH3 modulates mTOR signalling and rapamycin sensitivity in cancer. 2009, Pubmed
Songyang, Recognition of unique carboxyl-terminal motifs by distinct PDZ domains. 1997, Pubmed
Spanos, The PDZ binding motif of human papillomavirus type 16 E6 induces PTPN13 loss, which allows anchorage-independent growth and synergizes with ras for invasive growth. 2008, Pubmed
Stiffler, PDZ domain binding selectivity is optimized across the mouse proteome. 2007, Pubmed
Storrs, PATJ, a tight junction-associated PDZ protein, is a novel degradation target of high-risk human papillomavirus E6 and the alternatively spliced isoform 18 E6. 2007, Pubmed
Sugihara-Mizuno, Molecular characterization of angiomotin/JEAP family proteins: interaction with MUPP1/Patj and their endogenous properties. 2007, Pubmed
Temkin, SNX27 mediates retromer tubule entry and endosome-to-plasma membrane trafficking of signalling receptors. 2011, Pubmed
te Velthuis, Genome-wide analysis of PDZ domain binding reveals inherent functional overlap within the PDZ interaction network. 2011, Pubmed
Thomas, Human papillomaviruses, cervical cancer and cell polarity. 2008, Pubmed
Thomas, The hScrib/Dlg apico-basal control complex is differentially targeted by HPV-16 and HPV-18 E6 proteins. 2005, Pubmed
Tonikian, A specificity map for the PDZ domain family. 2008, Pubmed
Torban, Independent mutations in mouse Vangl2 that cause neural tube defects in looptail mice impair interaction with members of the Dishevelled family. 2004, Pubmed
Torban, Van Gogh-like2 (Strabismus) and its role in planar cell polarity and convergent extension in vertebrates. 2004, Pubmed , Xenbase
Valdembri, Neuropilin-1/GIPC1 signaling regulates alpha5beta1 integrin traffic and function in endothelial cells. 2009, Pubmed
van den Berk, An allosteric intramolecular PDZ-PDZ interaction modulates PTP-BL PDZ2 binding specificity. 2007, Pubmed
Venkatesan, An empirical framework for binary interactome mapping. 2009, Pubmed
Walhout, GATEWAY recombinational cloning: application to the cloning of large numbers of open reading frames or ORFeomes. 2000, Pubmed
Wallingford, Neural tube closure requires Dishevelled-dependent convergent extension of the midline. 2002, Pubmed , Xenbase
Wallingford, Strange as it may seem: the many links between Wnt signaling, planar cell polarity, and cilia. 2011, Pubmed , Xenbase
Wallingford, The continuing challenge of understanding, preventing, and treating neural tube defects. 2013, Pubmed
Wansleeben, Planar cell polarity defects and defective Vangl2 trafficking in mutants for the COPII gene Sec24b. 2010, Pubmed
Williams, VANGL2 regulates membrane trafficking of MMP14 to control cell polarity and migration. 2012, Pubmed
Wolff, Strabismus, a novel gene that regulates tissue polarity and cell fate decisions in Drosophila. 1998, Pubmed
Zhan, Deregulation of scribble promotes mammary tumorigenesis and reveals a role for cell polarity in carcinoma. 2008, Pubmed
Zhang, Inhibition of Wnt signaling by Dishevelled PDZ peptides. 2009, Pubmed
Zhang, Structural and functional analysis of the ligand specificity of the HtrA2/Omi PDZ domain. 2007, Pubmed
Zimmermann, PIP(2)-PDZ domain binding controls the association of syntenin with the plasma membrane. 2002, Pubmed
