Click here to close
Hello! We notice that you are using Internet Explorer, which is not supported by Xenbase and may cause the site to display incorrectly.
We suggest using a current version of Chrome,
FireFox, or Safari.
???displayArticle.abstract???
The Wnt/β-catenin signaling pathway plays critical roles in early embryonic development, stem cell biology and human diseases including cancers. Although Rap2, a member of Ras GTPase family, is essential for the Wnt/β-catenin pathway during the body axis specification in Xenopus embryo, the mechanism underlying its regulation of Wnt signaling remains poorly understood. Here, we show that Rap2 is implicated in control of the stability of Wnt receptor, low-density lipoprotein receptor-related protein 6 (LRP6). Knockdown of Rap2 resulted in the proteasome and/or lysosome-dependent degradation of LRP6 both in the presence and absence of Wnt ligand stimulation. In line with this, constitutively active LRP6 lacking its extracellular domain, which is constitutively phosphorylated and resides in intracellular vesicles, was also degraded in the Rap2-silenced cells. In addition, Rap2 and LRP6 associated physically with each other. Furthermore, we found that TRAF2/Nck-interacting kinase (TNIK), a member of the Ste20 protein family, acts as a downstream effector of Rap2 in control of LRP6 stabilization. Consistently, TNIK could rescue the inhibitory effects of Rap2 depletion on Wnt-dependent gene transcription, reporter activation and neural crest induction. Taken together, these results suggest that Rap2 acts via TNIK to regulate the stability of LRP6 receptor for Wnt/β-catenin signaling.
Fig. 1.
Rap2 is essential for the stabilization of LRP6. (A) Four-cell stage Xenopus embryos were injected in the animal pole region as indicated with XWnt8 RNA (400 pg), Rap2 MO (40 ng) and control (Co) MO (40 ng) and then animal cap explants were dissected at stage 9 and cultured to stage 11 for western blotting analysis. Rap2 MO, a mixture of Rap2A MO and Rap2B MO. Con. AC, uninjected control animal caps. β-actin serves as a loading control. (BâE) HEK293T cells were transfected with Co siRNA (10 nM) or Rap2 siRNA (10 nM, a combination of Rap2A siRNA and Rap2B siRNA). Forty-eight hours after siRNA transfection, cell were transfected with Myc-LRP6 (CâE) or Myc-LRP6ÎN (E) constructs and then treated or not as indicated with LiCl (50 mM, 3 h), mWnt3a (300 ng/ml, 3 h), MG132 (MG, 40 μM), NH4Cl (NC, 40 mM) or chloroquine (CQ, 100 mM) before harvesting for Western blotting analysis 24 h later. Bar graph in each panel shows quantification of protein levels (normalized to β-actin) from three independent experiments. Error bars indicate the standard error (SE).
Fig. 2.
Rap2 physically interacts with LRP6. HEK293T cell lysates were immunoprecipitated for endogenous LRP6 or Rap2, followed by western blotting analysis to investigate their coprecipitations. IgG, control IgG. IP, immunoprecipitation. WB, Western blotting.
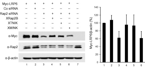
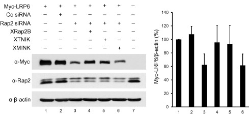
Fig. 3.
TNIK acts downstream of Rap2 in regulation of LRP6 stability. HEK293T cells were transfected with Co siRNA (10 nM) or Rap2 siRNA (10 nM) and 48 h later, re-transfected as indicated with Myc-LRP6, XRap2B, XTNIK or XMINK. After an additional 24 h, cells were harvested and subjected to Western blotting analysis. The graph shows quantification of the results from three independent analyses. Error bars denote the standard error (SE).
Fig. 4.
TNIK mediates the activity of Rap2 in the Wnt/β-catenin pathway. (A, C) Four-cell stage embryos were injected in the animal pole region with the indicated combination of XWnt8 (400 pg for A, 200 pg for C), noggin (100 pg), XRap2B (200 pg), XTNIK (400 pg), Co MO (40 ng), Rap2A MO (40 ng) and Rap2 MO (40 ng, a combination of Rap2A MO and Rap2B MO). Animal caps were excised at stage 9 and cultured to stage 10.5 (A) or 16 (C) prior to harvesting for RT-PCR analysis. ODC serves as a loading control. WE, stage 10.5 whole embryo. âRT, a control in the absence of reverse transcriptase. Con.AC, uninjected control animal caps. (B) Luciferase reporter assay in Xenopus embryos injected as indicated with β-catenin/Tcf factor-dependent reporter (S01234, 40 pg), XWnt8 (400 pg), XRap2B (200 pg), XTNIK (400 pg), Co MO (40 ng) and Rap2 MO (40 ng). Error bars denote the standard deviation (SD).