XB-ART-47285
Nat Genet
2013 Aug 01;458:951-6. doi: 10.1038/ng.2681.
Show Gene links
Show Anatomy links
ANKS6 is a central component of a nephronophthisis module linking NEK8 to INVS and NPHP3.
Hoff S, Halbritter J, Epting D, Frank V, Nguyen TM, van Reeuwijk J, Boehlke C, Schell C, Yasunaga T, Helmstädter M, Mergen M, Filhol E, Boldt K, Horn N, Ueffing M, Otto EA, Eisenberger T, Elting MW, van Wijk JA, Bockenhauer D, Sebire NJ, Rittig S, Vyberg M, Ring T, Pohl M, Pape L, Neuhaus TJ, Elshakhs NA, Koon SJ, Harris PC, Grahammer F, Huber TB, Kuehn EW, Kramer-Zucker A, Bolz HJ, Roepman R, Saunier S, Walz G, Hildebrandt F, Bergmann C, Lienkamp SS.
???displayArticle.abstract???
Nephronophthisis is an autosomal recessive cystic kidney disease that leads to renal failure in childhood or adolescence. Most NPHP gene products form molecular networks. Here we identify ANKS6 as a new NPHP family member that connects NEK8 (NPHP9) to INVS (NPHP2) and NPHP3. We show that ANKS6 localizes to the proximal cilium and confirm its role in renal development through knockdown experiments in zebrafish and Xenopus laevis. We also identify six families with ANKS6 mutations affected by nephronophthisis, including severe cardiovascular abnormalities, liver fibrosis and situs inversus. The oxygen sensor HIF1AN hydroxylates ANKS6 and INVS and alters the composition of the ANKS6-INVS-NPHP3 module. Knockdown of Hif1an in Xenopus results in a phenotype that resembles loss of other NPHP proteins. Network analyses uncovered additional putative NPHP proteins and placed ANKS6 at the center of this NPHP module, explaining the overlapping disease manifestation caused by mutation in ANKS6, NEK8, INVS or NPHP3.
???displayArticle.pubmedLink??? 23793029
???displayArticle.pmcLink??? PMC3786259
???displayArticle.link??? Nat Genet
???displayArticle.grants??? [+]
DK068306 NIDDK NIH HHS , DK090917 NIDDK NIH HHS , R01 DK059597 NIDDK NIH HHS , R01 DK068306 NIDDK NIH HHS , Howard Hughes Medical Institute , P30 DK090728 NIDDK NIH HHS , RC4 DK090917 NIDDK NIH HHS , HHMI_HILDEBRANDT_F Howard Hughes Medical Institute
Species referenced: Xenopus laevis
Genes referenced: ank1 ankrd6 anks6 atp1a1 atp1b1 bicc1 cd2ap dnai1 hif1an invs lhx1 nek8 nphp1 nphp3 odc1 slc12a1 slc4a4 slc5a1.2
GO keywords: kidney development
???displayArticle.morpholinos??? anks6 MO1 hif1an MO1 nek8 MO1
???displayArticle.disOnts??? nephronophthisis [+]
???displayArticle.omims??? NEPHRONOPHTHISIS 16; NPHP16
Phenotypes: Xla Wt + hif1an MO(Fig 4d)
???attribute.lit??? ???displayArticles.show???
|
|
Figure 2. anks6 deficiency affects pronephros development in Xenopus(a) Bilaterally anks6 MO injected Xenopus embryos developed edema in contrast to control embryos. Scale bars; 500μM. (b) Xenopus morphants were stained with fluorescein conjugated lectin to visualize the pronephric epithelia after unilateral anks6 MO injection. anks6 MO injected embryos showed a strong simplification of the proximal tubules in contrast to the uninjected pronephros (white arrow). Scale bars; 200 μM. The difference of the kidney length [mm] from the uninjected to the injected side could be rescued by co-injection of rat Anks6 RNA (** p= 0.002; *** p=< 0.001); t-test; error bars: SEM. (c) nek8 knockdown phenocopies the pronephric phenotype of anks6 (white arrow) and can be rescued by co-expression of Anks6 RNA (** p= 0.01; *** p=< 0.001); t-test; error bars: SEM. (d) Whole mount in situ hybridization for pronephric segment markers after unilateral injection of anks6 MO. The expression of SGLT-1K, NKCC2 and Na-K-ATPase was reduced on the anks6 MO injected side (black arrows). Scale bars; 200 μM. |
|
|
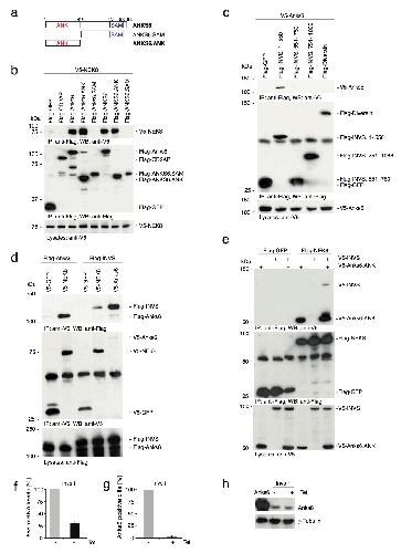
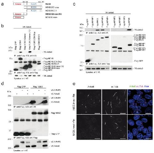
Figure 3. ANKS6 interacts with NEK8, INVS and NPHP3(a) Schematic representation of NEK8 truncations used for co-immunoprecipitation (CoIP). NEK8 contains a kinase and a regulator of chromosome condensation (RCC1) domain. (b) V5 tagged full-length rat Anks6 was co-transfected with Flag tagged NEK8 truncations. Anks6 was found in the precipitates of full-length NEK8 and the truncation containing the kinase domain up to a.a. 312 (Kinase-312) after immunoprecipitation with an anti-Flag antibody. (c) Anks6 was found in precipitates of INVS, NPHP3 and NEK8 in CoIPs of V5 tagged Anks6 and Flag tagged NPHP proteins. (d) Flag tagged NEK8 was co-expressed with V5 tagged NPHP3 and Anks6. NPHP3 was detected only in the precipitates in which Anks6 was co-expressed. (e) Confocal images of tetracyclin inducible Invs-knockdown cells (IMCD3) stained for Anks6 and acetylated tubulin (cilia, magenta). Ciliary staining for Anks6 (green) was lost in Invs depleted cells. Hoechst (Hoe) stained nuclei. Scale bars; 10 μm. |
|
|
Figure 4. ANKS6 forms a complex with NEK8, INVS, NPHP3 and HIF1AN(a) Protein-protein interaction network, visualized by Cytoscape (cytoscape.org) generated by affinity purification data from TAP tagged (dashed lines) and Flag tagged (solid lines) baits in HEK293T or IMCD3 cells. Proteins that were identified in complex with at least two bait proteins (ANKS6, INVS, NEK8) or in two different experiments (TAP tagged and Flag tagged bait protein) are shown. (b) Extracted ion chromatograms (EIC) of hydroxylated and unhydroxylated peptides. MS analysis of unmodified (blue line) and hydroxylated forms (dashed blue line) of the rat Anks6 peptide illustrate the intensity of hydroxylation of Anks6 at Asn-129 (upper EIC) and of the human INVS peptide at Asn-75 (lower EIC). (c) Co-IP of V5 tagged INVS, NEK8 and HIF1AN with rat Anks6 and Anks6 mutated at the hydroxylation sites N129 and N209. The mutated Anks6 precipitated less NEK8, but had no effect on binding to INVS.(d) Unilaterally hif1an MO injected Xenopus embryos stained with fluorescein conjugated lectin to visualize the pronephric tubules. hif1an MO injected embryos showed a strong simplification of the proximal tubules in contrast to the uninjected pronephros (arrow). Scale bars; 200 μM. |
|
|
Anks6 localizes to the cilium and knockdown results in pronephric cyst formation and laterality defects in zebrafish (a) Confocal microscopy pictures of immunostaining for Anks6 in IMCD3 cells showed localization to the proximal cilium (green). Tetracycline induced knockdown of Anks6 confirmed the specificity of the signal. Cilia are labelled by acetylated tubulin (magenta) and nuclei by Hoechst (blue). Scale bars; 10 μm. (b-d) Zebrafish embryos injected with morpholinos (MOs) targeted against nek8, anks6 and nphp3 at 48 hours post fertilization (hpf). Whereas the control embryos (b) and anks6 morphants (c) did not show any malformation, nek8 (d) and nphp3 (e) morphants showed a ventral body curvature. Scale bars; 100 μM. Depletion of anks6, nek8 and nphp3 caused pronephric cyst formation (white asterisk). Scale bars; 50 μM. Histological sections were HE-stained and the pronephric cysts indicated by black asterisk. Scale bars; 10 μM. (f) Representative pictures of normal zebrafish heart looping in control embryos and reversed heart looping in the morphants. In situ hybridization using the heart specific probe cmlc2 showed that the heart laterality in nek8 (2ng MO), anks6 (2ng MO1, 3ng MO2) and nphp3 (1ng MO) deficient zebrafish embryos was partially reversed (red arrow indicates the atrium). Scale bars; 100 μM. (g) Quantification of the percentage of embryos that showed laterality defects. |
|
|
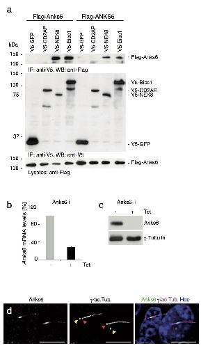
Supplementary Figure 1. Binding of NEK8 to human and rat orthologues of Anks6 (a) Flag tagged full-length rat and human Anks6 were co-transfected with V5 tagged full-length NEK8 in HEK293T cells. After immunoprecipitation with an anti-V5 antibody, NEK8 was present in the precipitates of rat and human Anks6 and mouse Bicc1 which served as a positive control. (b) Quantitative real time polymerase chain reaction (qPCR) for Anks6 mRNA of total RNA extracted from Anks6-i cells. The knockdown was inducible by tetracycline and decreased Anks6 mRNA levels; error bars: standard deviation. (c) Western blot of Anks6-i cell lysates. Anks6 protein was not detected in knockdown cells (+Tet). γ-tubulin served as loading control. (d) Immunostaining of IMCD3 cells for Anks6 (green) and γ-tubulin/acetylated tubulin (magenta) (basal bodies, red arrowheads; daughter centriole yellow arrowheads) confirmed localization of Anks6 to the proximal cilium. Hoechst (Hoe, blue) was used for nuclear staining. Scale bars; 10 μm. |
|
|
Supplementary Figure 2. Zebrafish knockdown efficiency and specificity (a) In vitro translated zebrafish Anks6 protein was detected in western blot by Anks6 antibody. Anks6 protein level decreased in the presence of 2μM of the translation blocking anks6 MO1. (b) RT-PCR of lysates from 24hpf old zebrafish control embryos and anks6 morphants. The splice blocking anks6 MO2 targeted the exon1/intron1 boundary. The RT-PCR products show the efficiency of the anks6 knockdown and sequencing of the inserted intron parts (arrows) revealed that the insertions result in a premature stop codon. The house keeping gene ef1α was amplified as a positive control. (c) Quantification of pronephric cyst formation caused by two independent anks6 MOs. Injection of anks6 splice blocking MO2 caused 23% and the translation blocking MO1 resulted in 31% cyst formation. anks6 MO1 cystic phenotype was rescued by rat Anks6 RNA (*** p<= 0.001). (d) The combined knockdown by equal concentrations of anks6 MO1 and nek8 MO exhibited an increased pronephric cyst formation in zebrafish (*** p<= 0.001); Mann Whitney rank sum test; error bars: SEM. (e) Simultaneously injection of half of the concentrations used for the single knockdown did not increase the number of cyst formation. (f) Simultaneous injection of equal concentrations of anks6 MO1 and nphp3 MO caused an increase of cyst formation (*** p<= 0.001); Mann Whitney rank sum test; error bars: SEM. |
|
|
Supplementary Figure 3. Spatial and temporal expression pattern of anks6 and nek8 in Xenopus (a-e) Lateral views of Xenopus embryos after WISH for nek8 and anks6 at indicated at stages. (a-e) Negative controls with the sense probe. (a’-e’) Specific staining by the antisense probe. nek8 and anks6 expression was first detectable at stage 30-31 (arrows). At stage 36 to 39 nek8 and anks6 was expressed in the proximal part of the renal tubules (arrows). Scale bars; 500 μm. |
|
|
Supplementary Figure 3. Spatial and temporal expression pattern of anks6 and nek8 in Xenopus [continued] (f) Lysates from embryos of indicated stages were used for RT-PCR. Primer specific for the house keeping gene ODC (control), nek8 and anks6 were used. The amplification of the isolated RNA (-RT) with ODC primers served as negative control. nek8 transcripts were constitutively present between stage 1 and stage 42 whereas anks6 was first expressed at stage 14. |
|
|
Supplementary Figure 4. Xenopus morpholino efficiency and specificity (a) In vitro translated Nek8 protein is abolished in the presence of 2μM of nek8 MO. (b) Schematic illustration of anks6 splice blocking MO targeting exon4/intron4 boundary. The positions of the primers used for RT-PCR analysis are indicated by blue arrows. Sequencing of RT-PCR products illustrated in (c) revealed that a frameshift was causing a premature stop codon. E, exon; I, intron. (d) Specificity control of nek8 MO. The renal phenotype of nek8 depleted morphants could be rescued by co-injection of nek8 mRNA (*** p<= 0.001); Mann Whitney rank sum test; error bars: SEM. (e) The difference of kidney length caused by anks6 depletion (*** p<= 0.001) could not be rescued by nek8 mRNA; Mann Whitney rank sum test; error bars: SEM. (f) Schematic illustration of unilateral targeted injection of GFP. The fluorescent signal was restricted to one side of the tadpole. (g) The gross morphology of anks6 MO injected embryos was not altered. No developmental delay was observed at any stage. Scale bars; 500 μm. (h) Staining with the pronephric specific antibodies 3G8 and 4A6 was performed on Xenopus embryos at indicated stages. Shortening of the tubules of the injected side was observed and quantified in (i) Scale bars; 200 μm. (j) Measurement of tubule diameter in lectin-stained embryos unilaterally injected with anks6 MO detected an enlargement on the injected side (n=47; *** p<= 0.001). |
|
|
Supplementary Figure 5. Characterization of the pronephric phenotype of nek8 and nphp3 knockdown in Xenopus (a) Bilaterally nek8 and nphp3 MO injected Xenopus embryos developed edema in contrast to control embryos. Scale bars; 500μM. (b) Images of a lectin stained pronephros of nphp3 morphants showed a simplified proximal tubule similar to nek8 and anks6 morphants. Quantification of the nphp3 MO rescue experiment by co-injection of NPHP3 RNA (* p= 0.011; ** p= 0.003; *** p=< 0.001); t-test; error bars: SEM. (c) Schematic illustration of the expression of segment specific pronephros markers. The sodium glucose transporter SGLT-1K is exclusively expressed in the proximal tubule and nephrostomes. The sodium bicarbonate transporter NBC1 is expressed in the proximal tubule and early distal tubule but not in the intermediate tubule. The sodium/potassium co-transporter NKCC2 is specifically expressed in the intermediate segment. The β1 subunit of the Na-K-ATPase is expressed along the entire length of the pronephros. (d) Unilateral injec- tions of nek8 and anks6 MO at the four cell stage were followed by WISH for the transcription factor lim1. No difference in the expression was observed between the injected and the uninjected side of the embryos at stage 28. Scale bars; 200 μM. (e) After unilateral injection of either nek8 (e) or nphp3 MO (f) WISH for different pronephric segment markers was performed. The expression of SGLT-1K, NKCC2 and Na-K-ATPase was reduced on the MO injected sides (arrows). Scale bars; 200 μM. |
|
|
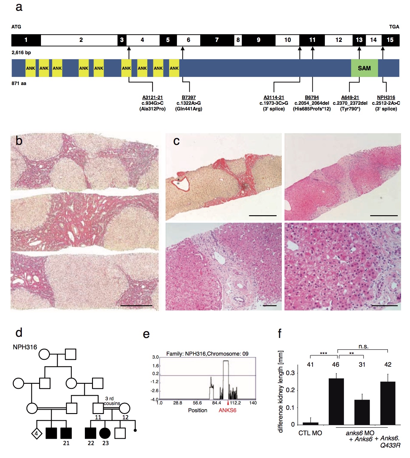
Supplementary Figure 6. Human mutations in ANKS6 (a) Identification of recessive mutations in ANKS6 in six families with nephronophthisis. Exon structure of human ANKS6 cDNA (without UTR). Positions of start codon (ATG) and of stop codon (TGA) are indicated. Domain structure of the ANKS6 protein, consisting of nine ankyrin repeat domains (ANK), and a sterile alpha motif domain (SAM) at the C-terminal end. For the mutations detected arrows indicate positions in relation to exons and protein domains. (b) Liver biopsy specimen from Patient B6794 showing macronodular cirrhosis. In the connective tissue, a severe ductular reac- tion is seen. The arteries are apparently unaccompanied by interlobular bile ducts (Picro-Sirius stain highlighting colla- gen); scale bar, 0.5 mm. (c) Needle core biopsy of liver from patient A3114-21 showing bland portal fibrosis with portal to portal bridging fibrosis. The central vein is unremarkable and there is no significant hepatitis. Van Giesen stain left (fibrosis highlighted in red) and haematoxilin/eosin (HE) stain right of upper panels; scale bars, 0.5 mm. Lower panels show higher magnification of the HE stained tissue; scale bars, 0.1 mm. (d) Pedigree of a consanguineous Turkish family (NPH316) with nephronophthisis and aortic stenosis. Linkage analysis revealed a unique homozygous region of 8Mb spanning the ANKS6 locus on chromosome 9. We subsequently identified a homozygous mutation of ANKS6 affecting the consensus acceptor splice site in intron 14 that segregates with the disease. (e) Values of non-parametric the logarithm of odds (LOD) scores across chromosome 9 of family NPH316: X-axis gives Affymetric 250k SNP positions (Mb) and Y-axis gives the (LOD) score values. The maximal LOD score of 2,407 was obtained for the homo- zygous region spanning the ANKS6 locus. (f) Quantification of Xenopus rescue experiments of anks6 MO with the Q433R mutated rat Anks6 RNA corresponding to the patient mutation Q441R (B7397). Mutant Anks6 RNA could not ameliorate the renal anks6 MO phenotype. (*** p<= 0.001; ** p= 0.006; n.s. p= 0.987); t-test; error bars: SEM. |
|
|
Supplementary Figure 7. Human ANKS6 mutations (a) Chromatograms of six different ANKS6 mutations that were found in individuals with nephronophthisis. Family number, mutations and predicted translational changes are indicated. Sequence traces are shown for mutations above normal controls or heterozygous carriers. Mutated nucleotides are indicated by arrowheads. A delta indicates a 3-bp deletion in wild type sequence of A649-21. (Hom) denotes homozygous mutations. (b) Ultrasound investigation of the kidneys in patient B6794. The right kidney has increased echogenicity compared with surrounding liver parenchyma. A macrocyst is indicated by the arrow. The left kidney exhibited several small cysts (arrows) in the cortex and the medulla. With permission of Dept. of Radiology, Aarhus University Hospital, Aarhus, Denmark. (c) Co-immunoprecipitation of V5 tagged rat Anks6 or the missense mutant Gln441Arg (Anks6Q433R) by Flag tagged INVS, NPHP3 and NEK8. The muta- tion did not influence the binding of Anks6 with NPHP proteins. (d) Overexpression of Venus tagged rat Anks6 in IMCD3 cells. Both Anks6 and Anks6Q433R (green) localized to the cilium visualized by co-staining of acetylated tubulin (magenta). Scale bars; 10 μm. |
|
|
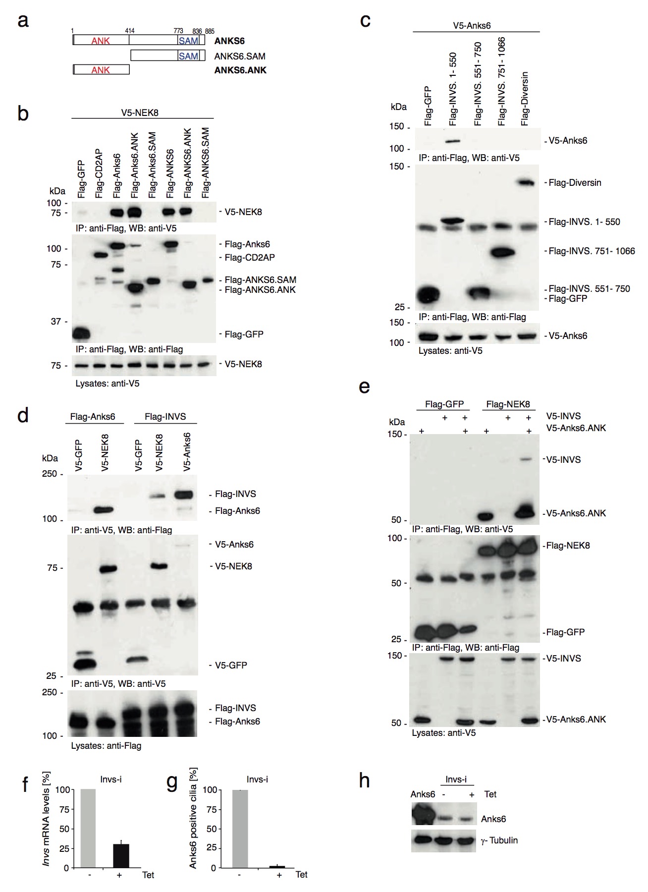
Supplementary Figure8. The ankyrin repeat domain of ANKS6 mediates the interaction with NEK8 (a) Schematic representation of ANKS6 truncations used for CoIP. (b) Flag tagged full-length and truncated forms of rat and human Anks6 were co-transfected with V5 tagged full-length NEK8 in HEK293T cells. After immunoprecipitation with an anti-Flag antibody, NEK8 was present in the precipitates of the full-length and the ankyrin repeat domain of rat and human Anks6 (ANKS6.ANK). It was not detected in the precipitates of GFP, CD2AP (negative controls) and the SAM domain of ANKS6 (ANKS6.SAM). (c) Flag tagged Diversin and Flag tagged truncations of INVS were co-expressed with V5 tagged ANKS6, but ANKS6 co-precipitated only with the ankyrin repeat domain (AA 1-550) of INVS. (d) CoIP of wheat germ lysates. Anks6 and INVS were present in NEK8 precipitates. INVS also interacted directly with Anks6. (e) Flag tagged NEK8 was co-expressed with V5 tagged INVS and the ankyrin domain truncation of Anks6. After immunoprecipitation with an anti-Flag antibody INVS was only present in the NEK8 precipitates when Anks6 was co-expressed. (f) qPCR for Invs mRNA of total RNA extracted from Invs-i cells. The knockdown is inducible by tetracycline and decreases Invs mRNA levels; error bars: standard deviation. (g) Cilia with Anks6 positive staining in Invs-i cells under tetracyclin induced conditions were reduced from 100 to 2.7%, error bars: standard deviation. (h) Western blot of overexpressed Anks6 and Invs-i cell lysates were stained for Anks6. Anks6 protein level was not altered in the Invs knockdown situation (+ Tet). γ-tubulin served as loading control. |
|
|
Supplementary Figure 9. Anks6 is not necessary for cilia formation (a) Confocal images of immunofluorescence staining of wildtype and jck kidney sections derived from p5 or 3 months old animals. Anks6 (green) localized to the proximal part of the acetulated tubulin stained cilia (red) in wiltdtype and jck (arrows). An overview of image of renal sections at 3 month including the DIC-channel (gray) is shown on the left. The asterisk indicates a cyst. Scale bars; 10μm. Panels on the right show magnification images without DIC. The position of the magnified area at 3 month is indicated by a white box in the overview image. Scale bars; 5μm. (b) Confocal images of the anterior segment of the ciliated pronephric tubules of 24hpf old CTL embryos, nek8 and anks6 morphant embryos. Scale bars; 10 μm. (c) Quantification of the ciliary length in pronephric tubules. Ciliary length was not affected by injection of 2ng nek8 MO or 2ng anks6 MO1. |
|
|
Supplementary Figure 9. Anks6 is not necessary for cilia formation [continued] (d) Anks6 knockdown does not affect cilia formation in IMCD3 cells. Cilia are visualized by acetylated tubulin (green) and nuclei with Hoechst (blue). Scale bars; 10 μm. (e) Quantification of ciliated cells. In the knockdown situation (+Tet; light grey bars) 0.85% and in the non-induced cells (-Tet) 0.74% of cells are ciliated (dark grey bars); error bars: SEM. (f) Scanning electron microscopy (SEM) pictures of ciliated epidermal cells from Xenopus embryos after MO injection into both ventral blastomeres. Knock- down of anks6 and nek8 did not affect cilia formation in comparison to controls. Scale bars; 10 μm. (g) Depletion of anks6 in the Xenopus epidermis resulted in a mild perturbation of basal body polarization, as revealed by the localization of CLAMP-GFP and Centrin-RFP, markers for rootlets and basal bodies respectively. White boxes indicate the magnified area on the right panels. (h) The polarization was quantified by angular measurements of CLAMP/Centrin pairs. Anks6 deficiency resulted in an increase of circular standard deviation as compared to controls; (*** p<= 0.001); Mann Whitney rank sum test; error bars: SEM. Scale bars; 5 μm. |
|
|
Supplementary Figure 10. The function of HIF1AN (a) CoIP of V5 tagged HIF1AN. HIF1AN was found in the precipitates of INVS, and Anks6 but not Diversin. (b) CoIP experiments of Flag tagged rat Anks6 and V5 tagged NPHP1, INVS, NPHP3 and HIF1AN. After immunoprecipitation with an anti-Flag antibody NPHP3 and INVS protein levels were increased in Anks6 precipitates when HIF1AN was co-expressed. (c) Alignment of HIF1AN consensus sequence from INVS and ANKS6 orthologues of indicated species. Grey underlayed residues represent conserved amino acids of the recognition motif with essential residues in red. The hydroxylated asparagine (N) is shown in bold. The numbers on the right indicate the position of the C-terminal amino acid depicted. (d) Bilaterally hif1an MO injected Xenopus embryos developed edema in contrast to the control embryos. Scale bars; 500μM. (e) Quantification of edema formation in percentage. (f) Quantification of hif1an MO rescue experi- ments. The difference of the kidney length [mm] from the uninjected to the injected side could be rescued by co-injection of HIF1AN RNA (* p= 0.005; ** p= 0.002; *** p=< 0.001). t-test; error bars: SEM. (g) After transient transfection HEK293T cells were treated with CoCl2 for 8 hours. The lysates were prepared and analyzed for Hif1α levels. |
References [+] :
Benzing,
Clinical spectrum and pathogenesis of nephronophthisis.
2012, Pubmed
Benzing, Clinical spectrum and pathogenesis of nephronophthisis. 2012, Pubmed
Bergmann, Loss of nephrocystin-3 function can cause embryonic lethality, Meckel-Gruber-like syndrome, situs inversus, and renal-hepatic-pancreatic dysplasia. 2008, Pubmed , Xenbase
Bernhardt, Involvement of hypoxia-inducible transcription factors in polycystic kidney disease. 2007, Pubmed
Boldt, Tandem affinity purification of ciliopathy-associated protein complexes. 2009, Pubmed
Brown, Missense mutation in sterile alpha motif of novel protein SamCystin is associated with polycystic kidney disease in (cy/+) rat. 2005, Pubmed
Chaki, Genotype-phenotype correlation in 440 patients with NPHP-related ciliopathies. 2011, Pubmed
Epting, The Rac1 regulator ELMO1 controls vascular morphogenesis in zebrafish. 2010, Pubmed
Fukui, The ciliary protein Nek8/Nphp9 acts downstream of Inv/Nphp2 during pronephros morphogenesis and left-right establishment in zebrafish. 2012, Pubmed
Ganner, Regulation of ciliary polarity by the APC/C. 2009, Pubmed , Xenbase
Gloeckner, A novel tandem affinity purification strategy for the efficient isolation and characterisation of native protein complexes. 2007, Pubmed
Halbritter, Identification of 99 novel mutations in a worldwide cohort of 1,056 patients with a nephronophthisis-related ciliopathy. 2013, Pubmed
Hildebrandt, Nephronophthisis-associated ciliopathies. 2007, Pubmed
Hildebrandt, Ciliopathies. 2011, Pubmed
Keller, Experimental protein mixture for validating tandem mass spectral analysis. 2002, Pubmed
Lienkamp, Inversin relays Frizzled-8 signals to promote proximal pronephros development. 2010, Pubmed , Xenbase
Liu, A defect in a novel Nek-family kinase causes cystic kidney disease in the mouse and in zebrafish. 2002, Pubmed
Nesvizhskii, A statistical model for identifying proteins by tandem mass spectrometry. 2003, Pubmed
O'Toole, Individuals with mutations in XPNPEP3, which encodes a mitochondrial protein, develop a nephronophthisis-like nephropathy. 2010, Pubmed
Otto, NEK8 mutations affect ciliary and centrosomal localization and may cause nephronophthisis. 2008, Pubmed
Perner, The Wilms tumor genes wt1a and wt1b control different steps during formation of the zebrafish pronephros. 2007, Pubmed
Sang, Mapping the NPHP-JBTS-MKS protein network reveals ciliopathy disease genes and pathways. 2011, Pubmed
Satow, The role of Xenopus frizzled-8 in pronephric development. 2004, Pubmed , Xenbase
Schödel, Factor inhibiting HIF limits the expression of hypoxia-inducible genes in podocytes and distal tubular cells. 2010, Pubmed
Shiba, Inv acts as a molecular anchor for Nphp3 and Nek8 in the proximal segment of primary cilia. 2010, Pubmed
Shiba, Localization of Inv in a distinctive intraciliary compartment requires the C-terminal ninein-homolog-containing region. 2009, Pubmed
Tao, VEGF receptor inhibition slows the progression of polycystic kidney disease. 2007, Pubmed
Tory, Mutations of NPHP2 and NPHP3 in infantile nephronophthisis. 2009, Pubmed
Tran, Xenopus Bicaudal-C is required for the differentiation of the amphibian pronephros. 2007, Pubmed , Xenbase
Wilkins, Factor inhibiting HIF (FIH) recognizes distinct molecular features within hypoxia-inducible factor-α (HIF-α) versus ankyrin repeat substrates. 2012, Pubmed
Williams, MKS and NPHP modules cooperate to establish basal body/transition zone membrane associations and ciliary gate function during ciliogenesis. 2011, Pubmed
Zhou, Nephrocystin-3 is required for ciliary function in zebrafish embryos. 2010, Pubmed
