|
Fig. 6. The TSG-MO and Chd-MOs cooperate to reduce expression of dorsal-specific genes at the expense of expanded ventral-specific genes. (A-H) Embryos at early to mid-gastrula stages; uninjected control (A,C,E G) or injected with 5 ng TSG-MO into each blastomere at the four-cell stage (B,D,F,H). Expression of the dorsal markers goosecoid (gsc, A-D) and otx2 (E-H) were examined at early (A,B,E,F) or mid-(C,D,G,H) gastrula stages by whole-mount in situ hybridization. While no changes in expression of these dorsal markers were observed at early gastrula stages, by midgastrula both gsc and otx2 expression was reduced in TSG-MO embryos. A, B, E and F are viewed from the vegetal side with the dorsal region to the top. C, D, G and H are viewed from the dorsal side with the anterior to the top. (I-P) In situ hybridization with the ventral marker sizzled (szl) at early neurula (stage 15, I,J,M,N) and tailbud (K,L,O,P) stages. szl expression is expanded in TSG-MO embryos. Anterior is to the left in these embryos. (Q-Z) Neurula stage embryos injected with 5 ng TSG-MO (R,W), 5 ng Chd-MOs (S,X), 5 ng TSG-MO + 5 ng each Chd-MOs (T,Y), or 5 ng TSG-MO + 5 ng each Chd-MOs + 30 pg BM40-XTSG (a modified Xenopus TSG which is not inhibited by the TSG-MO; U,Z) into the marginal zone of each blastomere at the four-cell stage. The dorsal markers myoD (for paraxial mesoderm) and sox2 (for neural tissues) were examined. While TSG-MO and Chd-MOs alone had minor effects on the expression of these markers (R,S,W,X), the MOs cooperate to greatly reduce their expression (T,Y). BM40-XTSG partially rescued the inhibitory effect by the MO combination (U,Z). The embryos are viewed from the dorsal side with anterior to the left. (a-h) TSG-MO and Chd-MOs cooperate to reduce anterior neural markers. 5 ng TSG-MO (b,f) or 5 ng each of Chd-MOs (c,g) were microinjected into each of the four-cell stage blastomeres, alone or in combination (d,h), and the embryos were examined at tailbud stages for expression (arrowheads) of the anterior and posterior neural markers otx2 (fore- and midbrain), Krox20 (hindbrain) and HoxB9 (spinal cord) by in situ hybridization. While the TSG-MO and Chd-MOs mildly reduce the expression of otx2 and krox20 by themselves (b,c,f,g), they cooperate to further inhibit the expression of krox20 and otx2 (d,h). The embryos are shown in lateral view (a-d) or dorsal view (e-h), with the anterior towards the left. |
|
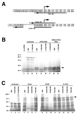
Fig. 1. Specific inhibition of twisted gastrulation and chordin translation using antisense morpholino oligonucleotides. (A) Sequences of the TSG-MO and two chordin MOs used in this study and their relative positions to translation start sites on their respective mRNAs. (B) The TSG-MO, but not chordin MOs, inhibits translation of TSG from the intact TSG mRNA, but not from a TSG mRNA that contains a modified sequence upstream of the TSG translation start site (BM40-XTSG1: see Materials and methods). (C) Both ChdA-MO and ChdB-MO completely block the translation of chordin RNA that contains their respective complementary starting sequences, and they also mutually reduce the translation of chordin from the other allelic RNA. Chordin MOs neither inhibit the translation of a chordin mRNA that lacks the 5â²-UTR (δ5â²-Chd), nor do they interfere with the translation of TSG. Arrows in B,C indicate the XTSG1 and chordin proteins, respectively. |
|
Fig. 2. Antisense TSG and chordin MOs block the in vivo activity of TSG and chordin respectively. (A) A stage matched uninjected control embryo. (B,C) Microinjection of 1 ng of Xenopus TSG mRNA per blastomere at the four-cell stage induces head and tail defects in early tailbud stage frog embryos (B), and this phenotype is inhibited by coinjecting 5 ng TSG-MO per blastomere together with the XTSG mRNA (C). (D,E) Similarly, 2.5 pg ChdA mRNA microinjected into the marginal zone of each ventral blastomere at the four-cell stage efficiently induces secondary axes (D) and these are completely blocked by ventral coinjection together with 5 ng/blastomere of ChdA-MO (E). Identical results were obtained for coinjections of ChdB-MO together with ChdB mRNA (data not shown). Coinjection of either XTSG or chordin mRNAs together with a control MO has no effect on the ability of these mRNAs to elicit these phenotypes. In all panels anterior is to the right and dorsal is to the top. 1and 2indicate primary and secondary axes. |
|
Fig. 3. Inhibition of endogenous TSG expression in early Xenopus embryos results in head and tail defects. (A) Control stage matched tadpole. (B) When 5 ng TSG-MO was injected into the marginal zone of each blastomere at the four-cell stage, the resulting tadpoles showed reduced head structures including defective eye formation together with mild tail defects and body curvature. (D,E) When the two dorsal (the region with low BMP signaling) or the two ventral (the region with high BMP signaling) blastomeres were injected with 10 ng TSG-MO per cell at the four-cell stage, the resulting embryos displayed head malformations and a bent body axis (dorsal injection, D) or reduction and ventralward bending of the tails (ventral injection, E) in the tadpoles. The control embryos for this experiment are shown in panel C. In all panels anterior is to the right and dorsal is up. |
|
Fig. 4. Dose-dependent rescue of the TSG-MO phenotype by human TSG, chordin or noggin. (A) Rescue of TSG-MO phenotypes induced by dorsal MO injection, by coinjection with human TSG mRNA. 10 ng TSG-MO was injected into each dorsal blastomere of four-cell stage embryos, alone or with increasing doses (0.2-1 ng) of human TSG mRNA. While the TSG-MO induced a reduced head and bent body axis in frog tadpoles, these defects were rescued with human TSG, or Xenopus BM40-XTSG (data not shown). (B) Rescue of TSG-MO phenotypes induced by ventral MO injection, by coinjection with human TSG mRNA. TSG-MO and increasing doses of human TSG mRNA were injected as above, except ventral instead of dorsal blastomeres were injected. Human TSG rescued the tail defects induced by ventral expression of TSG-MO. (C) Rescue of dorsal defects by high doses of chordin. TSG-MO was injected with a range of between 0.2 ng and 1 ng of chordin RNA into the dorsal blastomeres of four-cell stage embryos. At high doses, chordin rescued the dorsal defects associated with the TSG-MO. (D) Rescue of the TSG-MO dorsal defects by noggin. TSG-MO was injected with between 2 pg and 10 pg noggin into the dorsal blastomeres of four-cell stage embryos. The head defect induced by TSG-MO was rescued by noggin overexpression. In all panels anterior is to the right and dorsal is up. |
|
Fig. 5. (A-D) Frog tadpoles were injected [or not; (A) control] with 10 ng chordin-MOs (B), 10 ng TSG-MO (C) or both sets of MOs (D) into the two dorsal blastomeres at the four-cell stage. Dorsal injection of Chd-MOs or the TSG-MO leads to reduced heads in frog tadpoles (B and C), and the two sets of MOs cooperate to further reduce, and even eliminate, head structures in the resulting tadpoles (D). The length of the anterior-posterior body axis is also foreshortened. (E-H) Early tailbud stage embryos injected with 5 ng TSG-MO (F), or 5 ng of each chordin MO (G), or 5 ng TSG-MO + 5 ng of each chordin MO (H) into each blastomere at the four-cell stage. Inhibition of expression of TSG resulted in a mild head reduction (F) compared with control (E), whereas the Chd-MOs had a weaker effect (G). However, the TSG-MO and Chd-MOs strongly cooperate to produce significant head defects in conjunction with a shortening of the anterior-posterior body axis and apparent expansion of the ventroposterior region (H). In all panels anterior is to the right and dorsal is to the top. |
|
Fig. 7. TSG is required for efficient inhibition of BMP signaling by chordin. (A-H) The TSG-MO blocks secondary axis induction by chordin, but not by wnt8 or noggin. 0.6-6 pg of δ5â²-Chd mRNA, 0.5-1.5 pg of Xenopus wnt8 mRNA, or 5-10 pg of Xenopus noggin mRNA was microinjected into the ventral marginal zone of four-cell stage embryos, without or with 10 ng TSG-MO. While the TSG-MO had no effect on the secondary axis induction by wnt8 (D,E) or noggin (G,H), it inhibited secondary axis induction by chordin (B,C). Control embryos were uninjected embryos from each experiment. Coinjection with 10 ng control MO per embryo has no effect on secondary axis induction by any of these RNAs (data not shown). `2 designates the induced secondary axis. All embryos are oriented with their 1axes to the right. (I) The TSG-MO blocks chordin function in explanted animal caps. Increasing doses (lanes 6-8, and 9-11, are derived from embryos injected with 0.6, 2 and 6 pg, respectively) of δ5â²-Chd mRNA, with or without 20 ng TSG-MO, were injected into the animal poles of four-cell stage embryos. The ectodermal explants (animal caps) were removed at blastula stages and incubated until the sibling control embryos reached the midgastrula stages (stage 11). Total RNA was then extracted from the caps and RT-PCR was performed to assay for gene expression. While chordin induced the anterior neural marker otx2 and repressed the direct BMP target genes vent2 and msx1 in a dose-dependent fashion (lanes 6-8), chordin lost its activity in the presence of the TSG-MO (lanes 9-11). (J) The TSG-MO significantly shifts the response to ectopically expressed chordin in animal caps. Increasing doses of chordin RNA (2, 5, 10, 20, 50, 100, 500 and 1000 pg in lanes 2-9 and 11-18) were injected, without or with 20 ng TSG-MO, into animal poles of two-cell stage embryos. Animal caps were obtained and processed as described above and assayed for gene expression by radioactive RT-PCR. While 10 pg chordin was sufficient to induce otx2 and repress msx1 (lane 4), a 10- to 50-fold higher dose of chordin (lanes 16 and 17) was required to achieve comparable levels of induction/repression in the presence of TSG-MO. (K) The TSG-MO has a minor effect on the activity of noggin in gastrula animal caps. Increasing doses of noggin (0.2, 0.5, 1, 2, 5 and 10 pg in lanes 2-7 and 9-14) were injected, without or with 20 ng TSG-MO, into animal poles of two-cell stage embryos. Animal caps were obtained and processed as above and gene expression was assayed by RT-PCR. TSG-MO has a minor influence on repression of msx1 and vent2 and shifts the induction of otx2 by noggin slightly. |