XB-ART-47685
Mol Brain
2013 Dec 01;6:51. doi: 10.1186/1756-6606-6-51.
Show Gene links
Show Anatomy links
A critical role for STIM1 in filopodial calcium entry and axon guidance.
Shim S, Zheng JQ, Ming GL.
???displayArticle.abstract???
BACKGROUND: Stromal interaction molecule 1 (STIM1), a Ca2+ sensor in the endoplasmic reticulum, regulates store-operated Ca2+ entry (SOCE) that is essential for Ca2+ homeostasis in many types of cells. However, if and how STIM1 and SOCE function in nerve growth cones during axon guidance remains to be elucidated. RESULTS: We report that STIM1 and transient receptor potential channel 1 (TRPC1)-dependent SOCE operates in Xenopus spinal growth cones to regulate Ca2+ signaling and guidance responses. We found that STIM1 works together with TRPC1 to mediate SOCE within growth cones and filopodia. In particular, STIM1/TRPC1-dependent SOCE was found to mediate oscillatory filopodial Ca2+ transients in the growth cone. Disruption of STIM1 function abolished filopodial Ca2+ transients and impaired Ca2+-dependent attractive responses of Xenopus growth cones to netrin-1. Finally, interference with STIM1 function was found to disrupt midline axon guidance of commissural interneurons in the developing Xenopus spinal cord in vivo. CONCLUSIONS: Our data demonstrate that STIM1/TRPC1-dependent SOCE plays an essential role in generating spatiotemporal Ca2+ signals that mediate guidance responses of nerve growth cones.
???displayArticle.pubmedLink??? 24289807
???displayArticle.pmcLink??? PMC3907062
???displayArticle.link??? Mol Brain
???displayArticle.grants??? [+]
GM083889 NIGMS NIH HHS , GM084363 NIGMS NIH HHS , HD069184 NICHD NIH HHS , NS048271 NINDS NIH HHS , R01 GM083889 NIGMS NIH HHS
Species referenced: Xenopus
Genes referenced: actl6a camp cpa1 lck stim1 trpc1
???displayArticle.antibodies??? Neuronal Ab4
???displayArticle.morpholinos??? trpc1 MO1
???attribute.lit??? ???displayArticles.show???
|
|
Figure 1. Xenopus STIM1 is expressed in developing neural tissues and neuronal growth cones. (A) Sample images of whole-mount (top) and cross-section (bottom) in situ hybridization analysis of the mRNA expression of XSTIM1 in developing Xenopus embryos. Left, antisense; right, sense probe. Dotted lines delineate the boundaries of neural tube and notochord. (B) RT-PCR detection of XSTIM1 mRNA from RNA samples extracted from state 25-26 Xenopus neural tube and notochord tissues. âRT lane is the negative control of the RT-PCR on neural tube tissue RNA in the absence of a reverese transcriptase. (C) Representative immunofluorescence images of cultured Xenopus spinal neurons labeled for STIM1 (red) and F-actin (phalloidin: green). Scale bar: 20 μm. (D) Representative immunofluorescence images of growth cones labeled for STIM1 (red) and F-actin (green). Negative control processed without STIM1 antibody (without STIM1, bottom) shows absence of immunolabeling. Scale bar: 10 μm. |
|
|
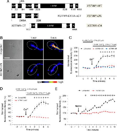
Figure 2. STIM1-dependent SOCE operates and mediates netrin-1-induced Ca2+ elevation in Xenopus neuronal growth cones. (A) A schematic diagram of full-length wild-type (WT) and mutant constructs of XSTIM1. (B) Bright field and pseudocolor images of fluo-4 fluorescence of growth cones of Xenopus spinal neurons from the uninjected or mcherry-XSTIM1-DN injected embryos in the presence of CPA in Ca2+-free media, before and after the re-addition of 1.5 mM Ca2+ bath solution. Pseudocolors indicate Ca2+ levels, with white as the highest and black as the lowest. Scale bar: 10 μm. (C) Summary of internal Ca2+ store depletion-induced Ca2+ entry in growth cones at different time points before and after re-addition of 1.5 mM Ca2+. The fluorescence intensity was normalized to the average fluorescence intensity of 2 min baseline levels prior to Ca2+ re-addition. Values represent meanâ±âs.e.m. (nâ=â25 for control, nâ=â10 for XSTIM1-DN and nâ=â19 for hSTIM1-DN; * indicates Pâ<â0.01; Bootstrap-test). (D) XTRPC1 is required for store depletion-evoked Ca2+ entry in neuronal growth cones. Summary of internal Ca2+ store depletion-induced Ca2+ entry in growth cones from the control-MO or XTRPC1-MO injected embryos at different time points before and after the re-addition of 1.5 mM Ca2+. Values represent meanâ±âs.e.m. (nâ=â12 for control, and nâ=â13 for XTRPC1-MO; * indicates Pâ<â0.01; Bootstrap-test). (E) XSTIM1 is required for netrin-1-induced Ca2+ elevation in growth cone. Summary of time course of Ca2+ changes in neuronal growth cones from uninjected or mCherry-XSTIM1-DN mRNA injected embryos. The fluorescence intensity was normalized to the average fluorescence intensity of 2 min baseline levels prior to the netrin-1 application (10 ng/ml). Values represent meanâ±âs.e.m. (nâ=â6 for control and nâ=â9 for XSTIM1-DN; * indicates Pâ<â0.05; Bootstrap-test). |
|
|
Figure 3. STIM1-dependent SOCE generates filopodial Ca2+ entries in Xenopus neuronal growth cones. (A) A pseudocolored Lck-GCaMP3 fluorescent Ca2+ image of growth cone showing rectangular ROIs (region of interest) used to measure fluorescent intensities over time. Pseudocolors indicate Ca2+ levels, with white as the highest and black as the lowest. Scale bar, 10 μm. (B) Representative traces of Lck-GCaMP3 fluorescent Ca2+ signals profile measured in two filopodia (F1, F2) and a growth center (F3) over 7 min period of store-depletion and re-addition of extracellular Ca2+. Images were captured at 200 milliseconds intervals. #, indicates filopodial and global Ca2+ transients that are shown in (C). Right images are kymographs generated from a segmented line along the filopodia from the tip to the base using NIH ImageJ. The arrowheads denote tip and base of filopodia. (C) Representative pseudocolored Lck-GCaMP3 fluorescent Ca2+ images at the time point as indicated by # in B. The arrows show the initiation of filopodial Ca2+ transients. (D-E) The incidence (D) and frequency (E) of filopodial Ca2+ transients were determined in control (nâ=â21), XSTIM1-DN (nâ=â12), XTRPC1-MO (nâ=â10) expressing filopodia. *Pâ<â0.005 and **pâ<â0.05 compared with control condition using t-test. Values represent meanâ±âs.e.m. |
|
|
Figure 4. STIM1/TRPC1-dependent SOCE mediates the spontaneous and netrin-1-potentiated filopodial Ca2+ entries. (A) Left panel; a Lck-GCaMP3 fluorescent Ca2+ image of a Xenopus spinal growth cone showing three ROIs (F1, F2 and F3) encompassing the filopodia used to measure fluorescent intensities over time (right panels). Scale bar, 10 μm. The incidence (B) and the frequency (C) of the spontaneous filopodial Ca2+ transients were significantly attenuated by XSTIM1-DN (n = 30) or XTRPC1-MO (n = 30), when compared to the control (n=34; *P < 0.001 and **p < 0.005, Studentâs t-test). Values represent mean ± s.e.m. (D) A Lck-GCaMP3 fluorescent Ca2+ image of a growth cone showing three ROIs (left panel) and their representative traces of Ca2+ signals in three filopodia (F1, F2, F3) before and after bath application of netrin-1 (10 ng/ml) (right panel) in the presence of Sp-cAMP (25 μM). Scale bar, 10 μm. (E-F) Netrin-1 potentiated the incidence (E) and the frequency (F) of filopodial Ca2+ transients in spinal growth cones (control; n = 14) and this potentiation was abolished by XSTIM1-DN (n = 8) and XTRPC1-MO (n = 10). **P < 0.005 and ***p < 0.05 (Studentâs t-test). Values represent mean ± s.e.m. (G) Filopodia tips are the major site of initiation of filopodial Ca2+ entry as revealed by kymographs of Ca2+ signals in filopodia using Lck-GCaMP3 in modified Ringers saline (MR; n = 67), netrin-1 exposure (n = 27) and Ca2+ re-addition after depletion (SOCE; n = 43). The y axis represents the path distance along the filopodia divided into 10 portions and the x axis represents time. The arrows denote the tip and base of filopodia. |
|
|
Figure 5. Dynamic translocation of STIM1 into neuronal filopodia in response to store-depletion. Representative time-lapse fluorescent images of growth cone expressing YFP-XSTIM1 before (1 mM Ca2+) and after store Ca2+ depletion (0 mM Ca2+/CPA). mCherry was co-expressed to mark filopodia and growth cone. Images were pseudocolored to enhance the observation of intensity changes. The arrows indicate newly translocated XSTIM1 proteins into neuronal filopodia. Scale bars: 10 μm. |
|
|
Figure 6. XSTIM1 is required for attractive turning responses of neuronal growth cones to a netrin-1 gradient. (A) Sample images of growth cone turning responses in a gradient of netrin-1 of a control Xenopus spinal neuron, and neurons derived from embryos injected with mRNA encoding wild-type (YFP-XSTIM1-WT), or dominant negative mutant (YFP-XSTIM1-DN). The left two columns of images show neuronal growth cones at the start (0 min) and the end of exposure (30 min) to a netrin-1 gradient (5 μg/ml in the pipette). The right column shows superimposed trajectories of neurite extension during the 30' period for a sample population of 12 neurons under the each condition. The origin is the center of the growth cone and the original direction of growth is vertical. Arrows indicate the direction of the gradient. Scale bars: 10 μm. (B) Summary of mean turning angles of growth cones in responses to a gradient of netrin-1 under different conditions. The number associated with the bar graph indicates the number of growth cones analyzed. Values represent meanâ±âs.e.m. (* indicates Pâ<â0.01; Bootstrap-test). (C) Summary of net neurite growth during the 30 minutes turning assay under different conditions. Values represent meanâ±âs.e.m. (* indicates Pâ<â0.05; Bootstrap-test). |
|
|
Figure 7. XSTIM1 is required for midline axon guidance of commissural interneurons in the developing Xenopus spinal cord. (A-E) Sample images of the sagittal view of commissural interneurons and their axonal projections in the Xenopus spinal cord from stage 25-26 embryos. Shown are schematic diagrams and confocal z-stack projection images of 3A10 staining of commissural interneuron axons from uninjected embryos, or embryos injected with mRNAs for GFP (B), YFP-XSTIM1-DN (C), YFP-XSTIM1-CA (D), or YFP-XSTIM1-WT (E), at the two to four cell-stage to manipulate a sub-population of neurons. Dotted line represents ventral midline; arrows point to mis-targeted axons. Scale bars: 20 μm. (F) Quantification of the percentage of 3A10+ commissural interneurons with normal midline crossing under different experimental conditions. The number associated with the bar graph indicates the number of embryos examined under each condition. Values represent meanâ±âs.e.m. (* indicates Pâ<â0.01; Bootstrap-test). (G) Summary of the density of 3A10+ commissural neurons under each condition. The same embryos as in (F) were examined. Values represent meanâ±âs.e.m. (# indicates Pâ>â0.1; Bootstrap-test). |
|
|
|
|
|
References [+] :
Akiyama,
Control of neuronal growth cone navigation by asymmetric inositol 1,4,5-trisphosphate signals.
2009, Pubmed
Akiyama, Control of neuronal growth cone navigation by asymmetric inositol 1,4,5-trisphosphate signals. 2009, Pubmed
Baba, Activity-evoked capacitative Ca2+ entry: implications in synaptic plasticity. 2003, Pubmed
Bird, STIM1 is a calcium sensor specialized for digital signaling. 2009, Pubmed
Cahalan, STIMulating store-operated Ca(2+) entry. 2009, Pubmed
Cheng, Local Ca²+ entry via Orai1 regulates plasma membrane recruitment of TRPC1 and controls cytosolic Ca²+ signals required for specific cell functions. 2011, Pubmed
Davenport, A sensory role for neuronal growth cone filopodia. 1993, Pubmed
Dent, The growth cone cytoskeleton in axon outgrowth and guidance. 2011, Pubmed
Di Capite, Decoding of cytoplasmic Ca(2+) oscillations through the spatial signature drives gene expression. 2009, Pubmed
Gemes, Store-operated Ca2+ entry in sensory neurons: functional role and the effect of painful nerve injury. 2011, Pubmed
Geraldo, Cytoskeletal dynamics in growth-cone steering. 2009, Pubmed
Gomez, In vivo regulation of axon extension and pathfinding by growth-cone calcium transients. 1999, Pubmed , Xenbase
Gomez, Characterization of spontaneous calcium transients in nerve growth cones and their effect on growth cone migration. 1995, Pubmed
Gomez, Filopodial calcium transients promote substrate-dependent growth cone turning. 2001, Pubmed , Xenbase
Grigoriev, STIM1 is a MT-plus-end-tracking protein involved in remodeling of the ER. 2008, Pubmed
Han, Spatial targeting of type II protein kinase A to filopodia mediates the regulation of growth cone guidance by cAMP. 2007, Pubmed , Xenbase
Harland, In situ hybridization: an improved whole-mount method for Xenopus embryos. 1991, Pubmed , Xenbase
Hogan, Molecular basis of calcium signaling in lymphocytes: STIM and ORAI. 2010, Pubmed
Hong, Calcium signalling in the guidance of nerve growth by netrin-1. 2000, Pubmed , Xenbase
Höpker, Growth-cone attraction to netrin-1 is converted to repulsion by laminin-1. 1999, Pubmed , Xenbase
Huang, STIM1 carboxyl-terminus activates native SOC, I(crac) and TRPC1 channels. 2006, Pubmed
Kachoei, A store-operated Ca(2+) influx pathway in the bag cell neurons of Aplysia. 2006, Pubmed
Kennedy, Netrins are diffusible chemotropic factors for commissural axons in the embryonic spinal cord. 1994, Pubmed
Kerstein, Mechanosensitive TRPC1 channels promote calpain proteolysis of talin to regulate spinal axon outgrowth. 2013, Pubmed , Xenbase
Kim, Native Store-operated Ca2+ Influx Requires the Channel Function of Orai1 and TRPC1. 2009, Pubmed
Lefkimmiatis, Store-operated cyclic AMP signalling mediated by STIM1. 2009, Pubmed
Lewis, Store-operated calcium channels: new perspectives on mechanism and function. 2011, Pubmed
Li, Essential role of TRPC channels in the guidance of nerve growth cones by brain-derived neurotrophic factor. 2005, Pubmed , Xenbase
Li, FM dyes enter via a store-operated calcium channel and modify calcium signaling of cultured astrocytes. 2009, Pubmed
Liu, Attenuation of store-operated Ca2+ current impairs salivary gland fluid secretion in TRPC1(-/-) mice. 2007, Pubmed
Lohof, Asymmetric modulation of cytosolic cAMP activity induces growth cone turning. 1992, Pubmed , Xenbase
Mattila, Filopodia: molecular architecture and cellular functions. 2008, Pubmed
Ming, Phospholipase C-gamma and phosphoinositide 3-kinase mediate cytoplasmic signaling in nerve growth cone guidance. 1999, Pubmed , Xenbase
Ming, cAMP-dependent growth cone guidance by netrin-1. 1997, Pubmed , Xenbase
Ming, Adaptation in the chemotactic guidance of nerve growth cones. 2002, Pubmed , Xenbase
Mitchell, STIM1 is necessary for store-operated calcium entry in turning growth cones. 2012, Pubmed
Nicol, Spatial and temporal second messenger codes for growth cone turning. 2011, Pubmed , Xenbase
Ong, Dynamic assembly of TRPC1-STIM1-Orai1 ternary complex is involved in store-operated calcium influx. Evidence for similarities in store-operated and calcium release-activated calcium channel components. 2007, Pubmed
Phelps, Ventrally located commissural neurons express the GABAergic phenotype in developing rat spinal cord. 1999, Pubmed
Rivas, Rapid effects of laminin on the growth cone. 1992, Pubmed
Robles, Src-dependent tyrosine phosphorylation at the tips of growth cone filopodia promotes extension. 2005, Pubmed , Xenbase
Serafini, Netrin-1 is required for commissural axon guidance in the developing vertebrate nervous system. 1996, Pubmed
Shekarabi, The netrin-1 receptor DCC promotes filopodia formation and cell spreading by activating Cdc42 and Rac1. 2002, Pubmed
Shigetomi, TRPA1 channels regulate astrocyte resting calcium and inhibitory synapse efficacy through GAT-3. 2011, Pubmed
Shigetomi, Monitoring astrocyte calcium microdomains with improved membrane targeted GCaMP reporters. 2010, Pubmed
Shim, Peptidyl-prolyl isomerase FKBP52 controls chemotropic guidance of neuronal growth cones via regulation of TRPC1 channel opening. 2009, Pubmed , Xenbase
Shim, XTRPC1-dependent chemotropic guidance of neuronal growth cones. 2005, Pubmed , Xenbase
Soboloff, STIM proteins: dynamic calcium signal transducers. 2012, Pubmed
Song, Conversion of neuronal growth cone responses from repulsion to attraction by cyclic nucleotides. 1998, Pubmed , Xenbase
Steinbeck, Store-operated calcium entry modulates neuronal network activity in a model of chronic epilepsy. 2011, Pubmed
Takei, Regulation of nerve growth mediated by inositol 1,4,5-trisphosphate receptors in growth cones. 1998, Pubmed
Tang, Netrin-1 induces axon branching in developing cortical neurons by frequency-dependent calcium signaling pathways. 2005, Pubmed
Tojima, Intracellular signaling and membrane trafficking control bidirectional growth cone guidance. 2012, Pubmed
Tojima, Second messengers and membrane trafficking direct and organize growth cone steering. 2011, Pubmed
Venkiteswaran, Intracellular Ca2+ signaling and store-operated Ca2+ entry are required in Drosophila neurons for flight. 2009, Pubmed
Wang, Requirement of TRPC channels in netrin-1-induced chemotropic turning of nerve growth cones. 2005, Pubmed , Xenbase
Wedel, Role of the store-operated calcium entry proteins Stim1 and Orai1 in muscarinic cholinergic receptor-stimulated calcium oscillations in human embryonic kidney cells. 2007, Pubmed
Xie, DCC-dependent phospholipase C signaling in netrin-1-induced neurite elongation. 2006, Pubmed
Xie, Phosphatidylinositol transfer protein-alpha in netrin-1-induced PLC signalling and neurite outgrowth. 2005, Pubmed
Yuan, STIM1 heteromultimerizes TRPC channels to determine their function as store-operated channels. 2007, Pubmed
Yuan, TRPC channels as STIM1-regulated SOCs. 2009, Pubmed
Zheng, Essential role of filopodia in chemotropic turning of nerve growth cone induced by a glutamate gradient. 1996, Pubmed , Xenbase
Zheng, Turning of nerve growth cones induced by neurotransmitters. 1994, Pubmed , Xenbase
Zheng, Calcium signaling in neuronal motility. 2007, Pubmed
