Click here to close
Hello! We notice that you are using Internet Explorer, which is not supported by Xenbase and may cause the site to display incorrectly.
We suggest using a current version of Chrome,
FireFox, or Safari.
???displayArticle.abstract??? Tissue and organ regeneration, unlike development, involves an injury that in postembryonic animals triggers inflammation followed by resolution. How inflammation affects epimorphic regeneration is largely uninvestigated. Here we examine inflammation and its resolution in Xenopus laevis hindlimb regeneration, which declines during larval development. During the first 5 days postamputation, both regeneration-competent stage 53 and regeneration-deficient stage 57 hindlimbs showed very rapid accumulation of leukocytes and cells expressing interleukin-1β and matrix metalloproteinase 9. Expression of genes for factors mediating inflammatory resolution appeared more persistent at stages 55 and 57 than at stage 53, suggesting changes in this process during development. FoxP3, a marker for regulatory T cells, was upregulated by amputation in limbs at all three stages but only persisted at stage 57, when it was also detected before amputation. Expression of genes for cellular reprogramming, such as SALL4, was upregulated in limbs at all 3 stages, but markers of limb patterning, such as Shh, were expressed later and less actively after amputation in regeneration-deficient limbs. Topical application of specific proinflammatory agents to freshly amputated limbs increased interleukin-1β expression locally. With aqueous solutions of the proinflammatory metal beryllium sulfate, this effect persisted through 7 days postamputation and was accompanied by inhibition of regeneration. In BeSO4-treated limbs expression of markers for both inflammation and resolution, including FoxP3, was prolonged, while genes for cellular reprogramming were relatively unaffected and those for limb patterning failed to be expressed normally. These data imply that in Xenopus hindlimbs postamputation inflammation and its resolution change during development, with little effect on cellular dedifferentiation or reprogramming, but potentially interfering with the expression of genes required for blastema patterning. The results suggest that developmental changes in the larval anuran immune system may be involved in the ontogenetic loss of epimorphic regeneration in this system.
???displayArticle.pubmedLink???
24278286 ???displayArticle.pmcLink???PMC3835323 ???displayArticle.link???PLoS One
Figure 1. Whole-mounts of stage 53 and stage 57 Xenopus hindlimbs from 0 hours to 5 days post-amputation (PA) stained by enzyme histochemistry for myeloperoxidase (MPO), a marker for neutrophils and macrophages. Only background staining is visible at the time of amputation (0 hPA), but by 6 hPA in limbs of both stages the number of brown MPO+ cells increase greatly near the site of amputation. MPO staining diminished slowly through 5 dPA in limbs of both stages. The larger, very dark structures are melanocytes.
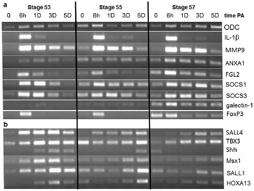
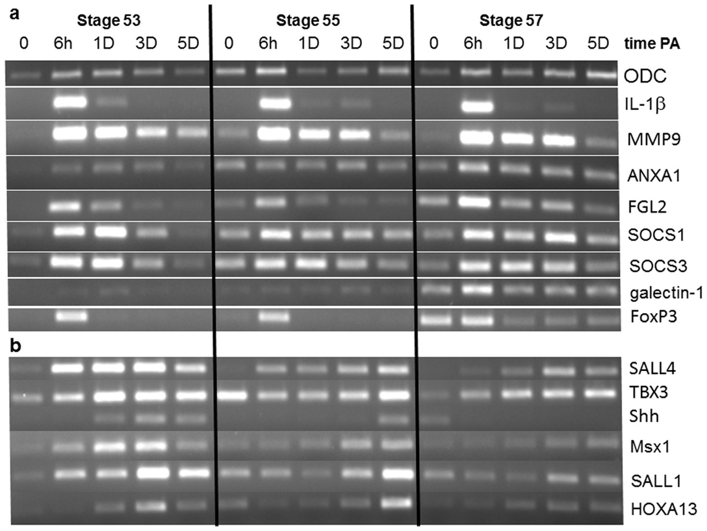
Figure 2. Expression of genes previously identified in studies of gene activity during the early phase of Xenopus limb regeneration, shown by RT-PCR at different times PA during the transition from regeneration-complete to incomplete in stages 53, 55, and 57.
Tissue from 20 limb stumps was used for each time point and expression of the loading control ornithine decarboxylase (ODC) is shown in the top row. (a) Genes with primarily inflammation-related function: Expression of interleukin-1β (IL-1β) appeared maximal by 6 hPA but then was rapidly diminished at all stages. Expression of factors involved in the resolution of inflammation, including annexin-A1 (ANXA1), fibrinogen-like protein 2 (FGL2), suppressors of cytokine signaling (SOCS) 1 and 3, galectin-1, and the key marker for regulatory T cells, FoxP3, were also all up-regulated by 6hPA and then diminished in limbs of all 3 stages, but more slowly in regeneration-incomplete limbs suggesting that inflammation-related activity persists after amputation in the more developed limbs. Low expression of many of these pro-resolution factors, including FoxP3, was seen already at the time of amputation in regeneration-deficient limbs, indicating the presence of immune cells not found in limbs at early regeneration-complete stages. (b) Genes with primarily cell reprogramming and organ patterning function: Expression of SALL4 and TBX3, both involved in cell reprogramming during early blastema formation, are up-regulated by amputation at all 3 stages, but much more slowly and at apparently lower levels in regeneration-incomplete limbs. Expression of genes required for blastema patterning, including Shh, Msx1, SALL1, and HOXA13, occurred at various times PA in stage 53 limbs, but was increasingly reduced and delayed in regeneration-deficient limbs, results consistent with the failure of the latter limbs to regenerate with normal patterns. Cycle number for ODC PCR was 25; FoxP3 required 40 cycles and all other genes 30.
Figure 5. Expression of genes in control and 104-treated stage 53 limbs in vivo and in organ culture at various times after amputation.
show more
Although ornithine decarboxylase (ODC) expression (top) is reduced uniformly by explantation, possibly due to decreased cell viability, clear differences in expression of other genes are observed between limb stumps in vivo and in vitro. (a) Expression of the inflammation-related genes IL-1β, FGL-2, MMP-9, complement C3 and C4, and of FoxP3+ regulatory T cells, all appear to be up-regulated in Be-treated limb stumps compared to untreated controls. For all these genes except C3 and C4 expression was not seen or was reduced (FoxP3) in explanted limb stumps, indicating that in vivo this gene expression occurs in immigrating leukocytes. (b) In contrast, expression of genes forSALL4 (which was not inhibited by Be treatment) and limb patterning genes was detected in explanted as well as intact limbs. *FoxP3 PCR required 40 cycles; ODC PCR was carried out for 25 cycles and all other genes were assayed with 30 cycles.
Figure 4. Quantitative PCR of gene expression through 7 days post-amputation in control and 10 mM BeSO4-treated stage 53/54 limbs.Tissue from 20 limb stumps was used for each time point. (Top) In untreated control limbs expression of inflammation-related IL-1β and FGL-2 are transient, expression of the patterning genes Shh and SALL1 begins by 3 dPA, and expression of the reprogramming gene SALL4 occurs throughout this period. In Be-treated limb stumps, IL-1β expression persists through 7 dPA, expression of the proresolution factor FGL-2 is five-fold higher than in controls and also highly persistent, while SALL4 and TBX3 expression is similar to that of control regenerates and expression of SALL1 and Shh remains very low. (Bottom) Compared individually expression of proinflammatory IL-1β and proresolution FGL-2 are both significantly elevated and persistent through 7 dPA in Be-treated limbs. In general Be had no significant effect on expression of SALL4, but inhibited expression of the patterning-related genesTBX3, SALL1 and Shh. Each time point shows the mean of triplicate PCR runs, with standard deviations. Statistical comparisons are between similar time points in the treated and untreated groups: * â=â P<0.05, ** â=â P<0.001, and no symbol indicating no statistical differences.
Ariel,
Hanging in the balance: endogenous anti-inflammatory mechanisms in tissue repair and fibrosis.
2013, Pubmed
Ariel,
Hanging in the balance: endogenous anti-inflammatory mechanisms in tissue repair and fibrosis.
2013,
Pubmed Ashby,
Studies on the genotoxicity of beryllium sulphate in vitro and in vivo.
1990,
Pubmed Barrero,
Regenerating the epigenome.
2011,
Pubmed Beck,
Molecular pathways needed for regeneration of spinal cord and muscle in a vertebrate.
2003,
Pubmed
,
Xenbase Brockes,
Regeneration as an evolutionary variable.
2001,
Pubmed Carrillo-Farga,
Langerhans-like cells in amphibian epidermis.
1990,
Pubmed Castell-Rodríguez,
ATPase and MHC class II molecules co-expression in Rana pipiens dendritic cells.
1999,
Pubmed Cedeno-Laurent,
Galectin-1 research in T cell immunity: past, present and future.
2012,
Pubmed Chan,
Soluble fibrinogen-like protein 2/fibroleukin exhibits immunosuppressive properties: suppressing T cell proliferation and inhibiting maturation of bone marrow-derived dendritic cells.
2003,
Pubmed Chen,
Antiviral immunity in amphibians.
2011,
Pubmed
,
Xenbase Christen,
Regeneration and reprogramming compared.
2010,
Pubmed Cummings,
A reconsideration of acute Beryllium disease.
2009,
Pubmed D'Acquisto,
Annexin-A1: a pivotal regulator of the innate and adaptive immune systems.
2008,
Pubmed Del Rio-Tsonis,
Expression of the third component of complement, C3, in regenerating limb blastema cells of urodeles.
1998,
Pubmed
,
Xenbase DENT,
Limb regeneration in larvae and metamorphosing individuals of the South African clawed toad.
1962,
Pubmed Du Pasquier,
The immune system of Xenopus.
1989,
Pubmed
,
Xenbase Du Pasquier,
Expression of MHC class II antigens during Xenopus development.
1990,
Pubmed
,
Xenbase Eming,
Interrelation of immunity and tissue repair or regeneration.
2009,
Pubmed Fontenot,
Chronic beryllium disease: immune-mediated destruction with implications for organ-specific autoimmunity.
2003,
Pubmed Franchini,
Tail regenerative capacity and iNOS immunolocalization in Xenopus laevis tadpoles.
2011,
Pubmed
,
Xenbase Fukazawa,
Suppression of the immune response potentiates tadpole tail regeneration during the refractory period.
2009,
Pubmed
,
Xenbase Godwin,
Macrophages are required for adult salamander limb regeneration.
2013,
Pubmed Grow,
Global analysis of gene expression in Xenopus hindlimbs during stage-dependent complete and incomplete regeneration.
2006,
Pubmed
,
Xenbase Han,
Tbx3 improves the germ-line competency of induced pluripotent stem cells.
2010,
Pubmed Jun,
Taking aim at the extracellular matrix: CCN proteins as emerging therapeutic targets.
2011,
Pubmed Kinefuchi,
Chronic transplantation immunity in newts: temperature susceptibility of an effector phase in allo-skin graft rejection.
2011,
Pubmed King,
Anterior structural defects by misexpression of Xgbx-2 in early Xenopus embryos are associated with altered expression of cell adhesion molecules.
1998,
Pubmed
,
Xenbase King,
The developing Xenopus limb as a model for studies on the balance between inflammation and regeneration.
2012,
Pubmed
,
Xenbase King,
Proteomics analysis of regenerating amphibian limbs: changes during the onset of regeneration.
2009,
Pubmed
,
Xenbase King,
Identification of genes expressed during Xenopus laevis limb regeneration by using subtractive hybridization.
2003,
Pubmed
,
Xenbase Kunzmann,
Thrown off balance: the effect of antenatal inflammation on the developing lung and immune system.
2013,
Pubmed Lee,
Activation of innate immunity is required for efficient nuclear reprogramming.
2012,
Pubmed Lévesque,
Skin wound healing in axolotls: a scarless process.
2010,
Pubmed Lin,
Imparting regenerative capacity to limbs by progenitor cell transplantation.
2013,
Pubmed
,
Xenbase Liu,
The FGL2-FcgammaRIIB pathway: a novel mechanism leading to immunosuppression.
2008,
Pubmed Love,
Genome-wide analysis of gene expression during Xenopus tropicalis tadpole tail regeneration.
2011,
Pubmed
,
Xenbase Love,
Amputation-induced reactive oxygen species are required for successful Xenopus tadpole tail regeneration.
2013,
Pubmed
,
Xenbase Mastellos,
Complement-triggered pathways orchestrate regenerative responses throughout phylogenesis.
2013,
Pubmed Mathew,
Unraveling tissue regeneration pathways using chemical genetics.
2007,
Pubmed Mescher,
Cells of cutaneous immunity in Xenopus: studies during larval development and limb regeneration.
2007,
Pubmed
,
Xenbase Mescher,
Newt forelimb regeneration blastemas in vitro: cellular response to explanation and effects of various growth-promoting substances.
1981,
Pubmed Nathan,
Points of control in inflammation.
,
Pubmed Neff,
Expression of Xenopus XlSALL4 during limb development and regeneration.
2005,
Pubmed
,
Xenbase Norling,
Endogenous galectins and the control of the host inflammatory response.
2009,
Pubmed Perretti,
Annexin A1 and glucocorticoids as effectors of the resolution of inflammation.
2009,
Pubmed Robert,
Comparative and developmental study of the immune system in Xenopus.
2009,
Pubmed
,
Xenbase Rock,
Innate and adaptive immune responses to cell death.
2011,
Pubmed Sawyer,
Chronic beryllium disease: an updated model interaction between innate and acquired immunity.
2011,
Pubmed Sawyer,
Chronic beryllium disease: a model interaction between innate and acquired immunity.
2002,
Pubmed SCHEUING,
The effects of microquantitles of beryllium ion on the regenerating forelimb of the adult newt, Triturus.
1957,
Pubmed Schroder,
The inflammasomes.
2010,
Pubmed Seifert,
Skin regeneration in adult axolotls: a blueprint for scar-free healing in vertebrates.
2012,
Pubmed
,
Xenbase Serhan,
Novel lipid mediators and resolution mechanisms in acute inflammation: to resolve or not?
2010,
Pubmed Sessions,
Evidence that regenerative ability is an intrinsic property of limb cells in Xenopus.
1988,
Pubmed
,
Xenbase Shevach,
Mechanisms of foxp3+ T regulatory cell-mediated suppression.
2009,
Pubmed Silva,
Beryllium alters lipopolysaccharide-mediated intracellular phosphorylation and cytokine release in human peripheral blood mononuclear cells.
2009,
Pubmed Stewart,
Comparative RNA-seq analysis in the unsequenced axolotl: the oncogene burst highlights early gene expression in the blastema.
2013,
Pubmed Strupp,
Beryllium metal II. a review of the available toxicity data.
2011,
Pubmed THORNTON,
Beryllium inhibition of regeneration; morphological effects of beryllium on amputated fore limbs of larval Amblystoma.
1949,
Pubmed Tournefier,
Structure of MHC class I and class II cDNAs and possible immunodeficiency linked to class II expression in the Mexican axolotl.
1998,
Pubmed
,
Xenbase Ussing,
Effect of induced metamorphosis on the immune system of the axolotl, Ambystoma mexicanum.
1995,
Pubmed Widgerow,
Cellular resolution of inflammation--catabasis.
2012,
Pubmed Wilgus,
Reduction of scar formation in full-thickness wounds with topical celecoxib treatment.
2003,
Pubmed Wolfe,
Extent of ossification at the amputation plane is correlated with the decline of blastema formation and regeneration in Xenopus laevis hindlimbs.
2000,
Pubmed
,
Xenbase Wood,
Mechanisms of rejection: current perspectives.
2012,
Pubmed Wormald,
The negative regulatory roles of suppressor of cytokine signaling proteins in myeloid signaling pathways.
2007,
Pubmed Yokoyama,
Initiation of limb regeneration: the critical steps for regenerative capacity.
2008,
Pubmed
,
Xenbase