Click here to close
Hello! We notice that you are using Internet Explorer, which is not supported by Xenbase and may cause the site to display incorrectly.
We suggest using a current version of Chrome,
FireFox, or Safari.
???displayArticle.abstract???
Hermes is an RNA-binding protein that we have previously reported to be found in the ribonucleoprotein (RNP) particles of Xenopus germ plasm, where it is associated with various RNAs, including that encoding the germ line determinant Nanos1. To further define the composition of these RNPs, we performed a screen for Hermes-binding partners using the yeast two-hybrid system. We have identified and validated four proteins that interact with Hermes in germ plasm: two isoforms of Xvelo1 (a homologue of zebrafish Bucky ball) and Rbm24b and Rbm42b, both RNA-binding proteins containing the RRM motif. GFP-Xvelo fusion proteins and their endogenous counterparts, identified with antisera, were found to localize with Hermes in the germ plasm particles of large oocytes and eggs. Only the larger Xvelo isoform was naturally found in the Balbiani body of previtellogenic oocytes. Bimolecular fluorescence complementation (BiFC) experiments confirmed that Hermes and the Xvelo variants interact in germ plasm, as do Rbm24b and 42b. Depletion of the shorter Xvelo variant with antisense oligonucleotides caused a decrease in the size of germ plasm aggregates and loosening of associated mitochondria from these structures. This suggests that the short Xvelo variant, or less likely its RNA, has a role in organizing and maintaining the integrity of germ plasm in Xenopus oocytes. While GFP fusion proteins for Rbm24b and 42b did not localize into germ plasm as specifically as Hermes or Xvelo, BiFC analysis indicated that both interact with Hermes in germ plasm RNPs. They are very stable in the face of RNA depletion, but additive effects of combinations of antisense oligos suggest they may have a role in germ plasm structure and may influence the ability of Hermes protein to effectively enter RNP particles.
???displayArticle.pubmedLink???
24265795 ???displayArticle.pmcLink???PMC3827131 ???displayArticle.link???PLoS One ???displayArticle.grants???[+]
Figure 2. Distribution of GFP-tagged Hermes interacting candidates in the germ plasm region of stage VI oocytes.The vegetal pole of oocytes was injected with Cy5-nanos1 and mRNAs encoding GFP-tagged proteins as indicated. After culturing in OCM for 48 hours the cortex of live oocytes was examined by confocal microscopy. Overlays are shown on the right. Xvelo proteins localise strongly to germ plasm RNPs, but Rbm42b and particularly Rbm24b localise more diffusely in the general vicinity of the germ plasm. Control RNA encoding GFP protein is shown in F.
Figure 3. Demonstration of in vivo protein-protein interactions of Hermes and its partners by BiFC analysis.Candidate interacting proteins were expressed in stage VI oocytes by injecting mRNAs expressing the C-terminal (VC) and N-terminal (VN) fragments of Venus fused to the N-terminus of the two candidate proteins. Oocytes were then cultured for 48 hours in OCM, after which the vegetal cortex of live oocytes was examined by confocal microscopy. Constant gain settings were used in all instances, and with these settings non-interacting controls, such as Poc1B/Hermes (Panel G) or other negative combinations (panel F) gave no significant signal. In all cases Cy5-nanos1 was also co-injected and was coincident with the green fluorescence, but this is shown only in A.
Figure 4. Sub-cellular localisation of GFP fusion proteins and of the sites of where they interact.Stage VI oocytes were injected with mRNA encoding the constructs indicated, and cultured in OCM for 48/1% formaldehyde at -20°C overnight, rehydrated and sectioned in an animal/vegetal plane by hand. Low power fluorescent stereo microscope images are shown.
Figure 5. Confocal analysis of BiFC constructs co-injected with labelled nanos1 mRNA.Sectioned stage VI oocytes, prepared as in Figure 4, were imaged in the confocal microscope. Sections made by hand with a scalpel are quite irregular, so Z-stacks are shown. Panel (A) shows an oocyte injected with Cy5-nanos1 RNA alone.
Figure 6. Expression of endogenous Xvelo isoforms during oogenesis.Oocytes, isolated with collagenase treatment to remove follicles, were fixed and stained with affinity-purified antibodies prior to confocal microscopy. (A–B) Previtellogenic oocytes stained for XveloFL and SV respectively. (C–F) The germ plasm region of stage VI oocytes and fertilized eggs. In (C) Hermes and XveloFL were stained and we show coincidence in an overlay in the right hand panel. In (D–F) only the overlays of Hermes (green) and Xvelo proteins (red) are shown. C) and (E) show stage VI oocytes and (D) and (F) show fertilized eggs. Alexa Fluor 488 and Dylight 594 conjugates were used as secondary antibodies for Hermes and Xvelo protein-stained oocytes respectively. Pre-immune serum for both XveloFL and SV is shown in panels G–H. The data was identical when secondary antibodies alone were used (not shown).
Figure 7. Localisation of Xvelo mutant proteins.(A) Schematic diagram of GFP-tagged Xvelo mutant constructs. Hatched boxes represent amino acid residues present in both XveloFL and XveloSV proteins. Clear and grey boxes represent amino acid residues specific to XveloFL and XveloSV proteins respectively. The position of a putative Dynein light chain 8 (DLC-8) interacting motif, identified using the ELM software (elm.eu.org) database is also shown. (B) Stage VI oocytes were co-injected with Cy5-nanos1 RNA and RNA encoding the indicated mutant Xvelo protein. Oocytes were cultured for 48 hours in OCM and localisation was then assessed by confocal microscopy.
Figure 8. Depletion of endogenously expressed XveloSV protein by anti sense (AS) DNA oligos.Stage VI oocytes were co-injected with Cy5-nanos1 RNA and 11 ng of the indicated AS-oligo. Following culture in OCM for 48 hours, oocytes were fixed, and stained with purified anti XveloSV antibodies using an Alexa Fluor 488 conjugated secondary antibody. The germ plasm region was then examined by confocal microscopy. The co-injected AS-oligo is indicated in each panel.
Figure 9. Effect of RNA depletion on the size of germ plasm islands and the localisation of YFP-Hermes.Stage VI oocytes were injected with RNA encoding YFP-Hermes plus 11 ng of each antisense oligo. After culturing for 48 hours in OCM, mitochondria were stained with TMRE and the germ plasm region examined by confocal microscopy. Overlays of YFP-Hermes (green) and mitochondria (red) are shown, and the AS oligos used indicated on each panel.
Figure 10. RNA depletion by antisense oligos does not affect the distribution of microtubules in the germ plasm region.Stage VI oocytes were co-injected with Cy5-nanos1 RNA and 11 ng of each of the AS oligos indicated. Oocytes were then cultured in OCM for 48 hours, fixed and stained with a rabbit anti-α-Tubulin polyclonal antibody #2144 (Cell Signaling Technology) and a goat anti rabbit Alexa Fluor 488 conjugated secondary antibody, prior to confocal microscopy. Panels show Cy5-nanos1 (red) left, and an overlay of this with microtubules (green) right. Scale Bar, 10 µm.
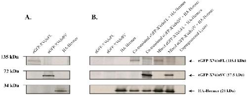
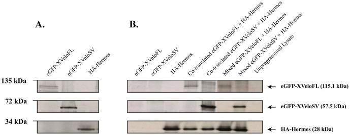
Figure 1. Interaction of in vitro-translated Xvelo1 isoforms with Hermes.(A) eGFP-XveloFL, eGFP-XveloSV and HA-Hermes fusion proteins were prepared in vitro by coupled transcriptionâtranslation in the presence of 35S-methionine. Translated proteins were resolved by SDS-PAGE and visualized by autoradiography. (B) In pull down experiments translated proteins were added as indicated and immunoprecipitated with a mouse anti-HA monoclonal antibody. Immunoprecipitated proteins were resolved by SDS-PAGE and visualized by autoradiography. The predicted molecular weight for the individual fusion proteins is indicated on the right and marker sizes on the left.
Anderson,
RNA granules.
2006,
Pubmed Anyanful,
The RNA-binding protein SUP-12 controls muscle-specific splicing of the ADF/cofilin pre-mRNA in C. elegans.
2004,
Pubmed Berekelya,
The protein encoded by the germ plasm RNA Germes associates with dynein light chains and functions in Xenopus germline development.
2007,
Pubmed
,
Xenbase Bilinski,
Sm proteins, the constituents of the spliceosome, are components of nuage and mitochondrial cement in Xenopus oocytes.
2004,
Pubmed
,
Xenbase Bontems,
Bucky ball organizes germ plasm assembly in zebrafish.
2009,
Pubmed Bowes,
Xenbase: gene expression and improved integration.
2010,
Pubmed
,
Xenbase Claussen,
Xvelo1 uses a novel 75-nucleotide signal sequence that drives vegetal localization along the late pathway in Xenopus oocytes.
2004,
Pubmed
,
Xenbase Fukuda,
hnRNP K interacts with RNA binding motif protein 42 and functions in the maintenance of cellular ATP level during stress conditions.
2009,
Pubmed Gard,
Organization, nucleation, and acetylation of microtubules in Xenopus laevis oocytes: a study by confocal immunofluorescence microscopy.
1991,
Pubmed
,
Xenbase Gerber,
The RNA-binding protein gene, hermes, is expressed at high levels in the developing heart.
1999,
Pubmed
,
Xenbase Gerber,
A role for the RNA-binding protein, hermes, in the regulation of heart development.
2002,
Pubmed
,
Xenbase Hames,
Pix1 and Pix2 are novel WD40 microtubule-associated proteins that colocalize with mitochondria in Xenopus germ plasm and centrosomes in human cells.
2008,
Pubmed
,
Xenbase Heasman,
The mitochondrial cloud of Xenopus oocytes: the source of germinal granule material.
1984,
Pubmed
,
Xenbase Hertig,
The primary human oocyte: some observations on the fine structure of Balbiani's vitelline body and the origin of the annulate lamellae.
1968,
Pubmed Hu,
Visualization of interactions among bZIP and Rel family proteins in living cells using bimolecular fluorescence complementation.
2002,
Pubmed Hudson,
Xsox17alpha and -beta mediate endoderm formation in Xenopus.
1997,
Pubmed
,
Xenbase Hulstrand,
The use of antisense oligonucleotides in Xenopus oocytes.
2010,
Pubmed
,
Xenbase Jin,
RNA-binding motif protein 24 regulates myogenin expression and promotes myogenic differentiation.
2010,
Pubmed Joung,
A bacterial two-hybrid selection system for studying protein-DNA and protein-protein interactions.
2000,
Pubmed Kerppola,
Bimolecular fluorescence complementation (BiFC) analysis as a probe of protein interactions in living cells.
2008,
Pubmed King,
Polarizing genetic information in the egg: RNA localization in the frog oocyte.
1999,
Pubmed
,
Xenbase Kloc,
Organization of cytokeratin cytoskeleton and germ plasm in the vegetal cortex of Xenopus laevis oocytes depends on coding and non-coding RNAs: three-dimensional and ultrastructural analysis.
2007,
Pubmed
,
Xenbase Kloc,
RNA localization and germ cell determination in Xenopus.
2001,
Pubmed
,
Xenbase Kosaka,
Spatiotemporal localization of germ plasm RNAs during zebrafish oogenesis.
2007,
Pubmed
,
Xenbase Lai,
Nanos1 functions as a translational repressor in the Xenopus germline.
2011,
Pubmed
,
Xenbase Lai,
Xenopus Nanos1 is required to prevent endoderm gene expression and apoptosis in primordial germ cells.
2012,
Pubmed
,
Xenbase Lewis,
Ribonucleoprotein remodeling during RNA localization.
2007,
Pubmed
,
Xenbase Li,
The RNA-binding protein Seb4/RBM24 is a direct target of MyoD and is required for myogenesis during Xenopus early development.
2010,
Pubmed
,
Xenbase Machado,
Xenopus Xpat protein is a major component of germ plasm and may function in its organisation and positioning.
2005,
Pubmed
,
Xenbase Marlow,
Bucky ball functions in Balbiani body assembly and animal-vegetal polarity in the oocyte and follicle cell layer in zebrafish.
2008,
Pubmed Mir,
How the mother can help: studying maternal Wnt signaling by anti-sense-mediated depletion of maternal mRNAs and the host transfer technique.
2008,
Pubmed
,
Xenbase Miyamoto,
RNA-binding proteins Rbm38 and Rbm24 regulate myogenic differentiation via p21-dependent and -independent regulatory pathways.
2009,
Pubmed Morgan,
RNA polymerase II in Cajal bodies of amphibian oocytes.
2000,
Pubmed
,
Xenbase Nijjar,
Localisation of RNAs into the germ plasm of vitellogenic Xenopus oocytes.
2013,
Pubmed
,
Xenbase Nizami,
Cajal bodies and histone locus bodies in Drosophila and Xenopus.
2010,
Pubmed
,
Xenbase Poon,
RNA-binding protein RBM24 is required for sarcomere assembly and heart contractility.
2012,
Pubmed Saka,
Nuclear accumulation of Smad complexes occurs only after the midblastula transition in Xenopus.
2007,
Pubmed
,
Xenbase Schneider,
NIH Image to ImageJ: 25 years of image analysis.
2012,
Pubmed Song,
Hermes RNA-binding protein targets RNAs-encoding proteins involved in meiotic maturation, early cleavage, and germline development.
2007,
Pubmed
,
Xenbase Torpey,
Distinct distribution of vimentin and cytokeratin in Xenopus oocytes and early embryos.
1992,
Pubmed
,
Xenbase Voronina,
RNA granules in germ cells.
2011,
Pubmed Yanai,
Mapping gene expression in two Xenopus species: evolutionary constraints and developmental flexibility.
2011,
Pubmed
,
Xenbase Yisraeli,
A two-step model for the localization of maternal mRNA in Xenopus oocytes: involvement of microtubules and microfilaments in the translocation and anchoring of Vg1 mRNA.
1990,
Pubmed
,
Xenbase Yost,
GBP, an inhibitor of GSK-3, is implicated in Xenopus development and oncogenesis.
1998,
Pubmed
,
Xenbase Zhou,
Sending RNAs into the future: RNA localization and germ cell fate.
2004,
Pubmed
,
Xenbase