XB-ART-47990
Nucleic Acids Res
2013 Nov 01;4120:9325-38. doi: 10.1093/nar/gkt672.
Show Gene links
Show Anatomy links
PCNA promotes processive DNA end resection by Exo1.
Chen X, Paudyal SC, Chin RI, You Z.
???displayArticle.abstract???
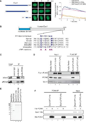
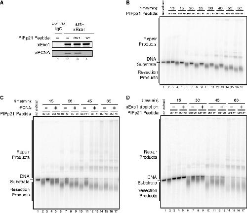
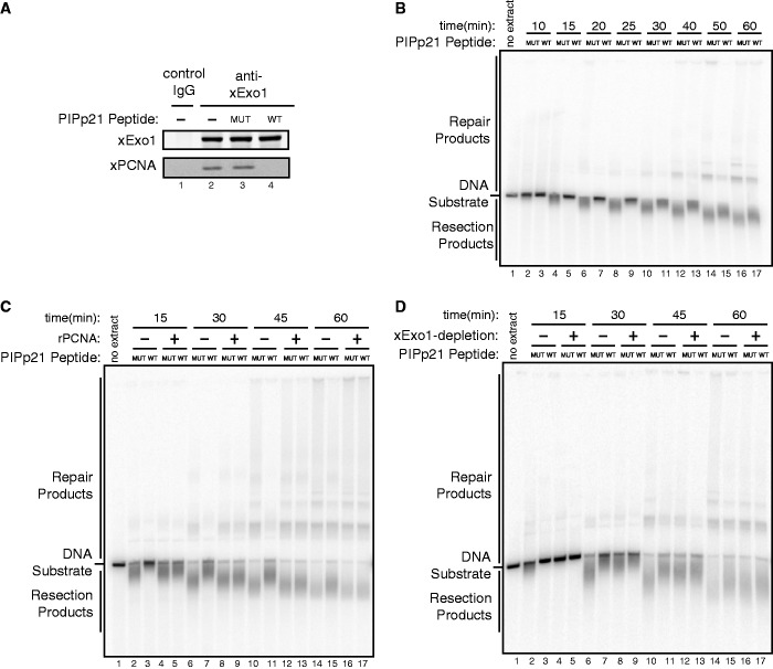
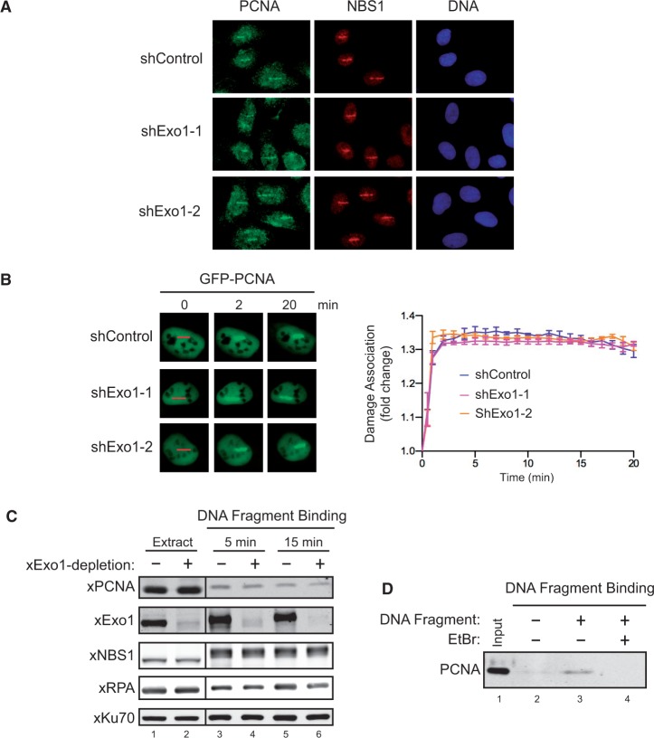
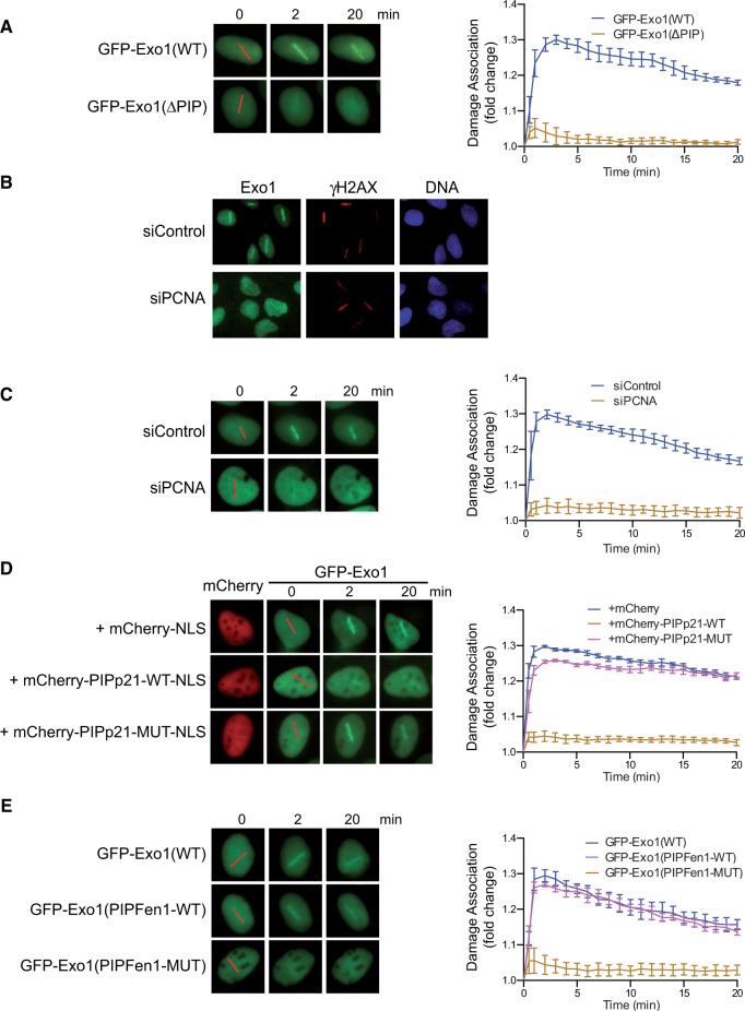
Exo1-mediated resection of DNA double-strand break ends generates 3' single-stranded DNA overhangs required for homology-based DNA repair and activation of the ATR-dependent checkpoint. Despite its critical importance in inducing the overall DNA damage response, the mechanisms and regulation of the Exo1 resection pathway remain incompletely understood. Here, we identify the ring-shaped DNA clamp PCNA as a new factor in the Exo1 resection pathway. Using mammalian cells, Xenopus nuclear extracts and purified proteins, we show that after DNA damage, PCNA loads onto double-strand breaks and promotes Exo1 damage association through direct interaction with Exo1. By tethering Exo1 to the DNA substrate, PCNA confers processivity to Exo1 in resection. This role of PCNA in DNA resection is analogous to its function in DNA replication where PCNA serves as a processivity co-factor for DNA polymerases.
???displayArticle.pubmedLink??? 23939618
???displayArticle.pmcLink??? PMC3814391
???displayArticle.link??? Nucleic Acids Res
???displayArticle.grants??? [+]
Species referenced: Xenopus
Genes referenced: atr blm cdkn1a dna2 exo1 fen1 mlh1 mmut nbn nsg1 pcna rad51 rbbp8 rpa1
???attribute.lit??? ???displayArticles.show???
References [+] :
Abraham,
Cell cycle checkpoint signaling through the ATM and ATR kinases.
2001, Pubmed
Abraham, Cell cycle checkpoint signaling through the ATM and ATR kinases. 2001, Pubmed
Amin, exo1-Dependent mutator mutations: model system for studying functional interactions in mismatch repair. 2001, Pubmed
Andersen, 14-3-3 checkpoint regulatory proteins interact specifically with DNA repair protein human exonuclease 1 (hEXO1) via a semi-conserved motif. 2012, Pubmed
Bakkenist, Initiating cellular stress responses. 2004, Pubmed
Balajee, Chromatin-bound PCNA complex formation triggered by DNA damage occurs independent of the ATM gene product in human cells. 2001, Pubmed
Bassing, The cellular response to general and programmed DNA double strand breaks. 2004, Pubmed
Bernstein, At loose ends: resecting a double-strand break. 2009, Pubmed
Bolderson, Phosphorylation of Exo1 modulates homologous recombination repair of DNA double-strand breaks. 2010, Pubmed
Bowman, Structural analysis of a eukaryotic sliding DNA clamp-clamp loader complex. 2004, Pubmed
Budd, Interplay of Mre11 nuclease with Dna2 plus Sgs1 in Rad51-dependent recombinational repair. 2009, Pubmed
Burgers, ATP-independent loading of the proliferating cell nuclear antigen requires DNA ends. 1993, Pubmed
Cannavo, Relationship of DNA degradation by Saccharomyces cerevisiae exonuclease 1 and its stimulation by RPA and Mre11-Rad50-Xrs2 to DNA end resection. 2013, Pubmed
Ciccia, The DNA damage response: making it safe to play with knives. 2010, Pubmed
Cimprich, ATR: an essential regulator of genome integrity. 2008, Pubmed
Cotta-Ramusino, Exo1 processes stalled replication forks and counteracts fork reversal in checkpoint-defective cells. 2005, Pubmed
Dionne, On the mechanism of loading the PCNA sliding clamp by RFC. 2008, Pubmed
Duxin, Okazaki fragment processing-independent role for human Dna2 enzyme during DNA replication. 2012, Pubmed
Dzantiev, A defined human system that supports bidirectional mismatch-provoked excision. 2004, Pubmed
Eid, DNA end resection by CtIP and exonuclease 1 prevents genomic instability. 2010, Pubmed
El-Shemerly, ATR-dependent pathways control hEXO1 stability in response to stalled forks. 2008, Pubmed
Engels, 14-3-3 Proteins regulate exonuclease 1-dependent processing of stalled replication forks. 2011, Pubmed
Fiorentini, Exonuclease I of Saccharomyces cerevisiae functions in mitotic recombination in vivo and in vitro. 1997, Pubmed
Garinis, DNA damage and ageing: new-age ideas for an age-old problem. 2008, Pubmed
Genschel, Mechanism of 5'-directed excision in human mismatch repair. 2003, Pubmed
Gravel, DNA helicases Sgs1 and BLM promote DNA double-strand break resection. 2008, Pubmed
Harper, The DNA damage response: ten years after. 2007, Pubmed
Havens, Mechanism of CRL4(Cdt2), a PCNA-dependent E3 ubiquitin ligase. 2011, Pubmed , Xenbase
Huertas, DNA resection in eukaryotes: deciding how to fix the break. 2010, Pubmed
Huh, CRL4(CDT2) targets CHK1 for PCNA-independent destruction. 2013, Pubmed
Kastan, Cell-cycle checkpoints and cancer. 2004, Pubmed
Kim, Activation of ATM depends on chromatin interactions occurring before induction of DNA damage. 2009, Pubmed
Langerak, Release of Ku and MRN from DNA ends by Mre11 nuclease activity and Ctp1 is required for homologous recombination repair of double-strand breaks. 2011, Pubmed
Li, PCNA is required for initiation of recombination-associated DNA synthesis by DNA polymerase delta. 2009, Pubmed
Liao, Analysis of MRE11's function in the 5'-->3' processing of DNA double-strand breaks. 2012, Pubmed , Xenbase
Liao, Mechanistic analysis of Xenopus EXO1's function in 5'-strand resection at DNA double-strand breaks. 2011, Pubmed , Xenbase
Liao, Identification of the Xenopus DNA2 protein as a major nuclease for the 5'->3' strand-specific processing of DNA ends. 2008, Pubmed , Xenbase
Liberti, Bi-directional routing of DNA mismatch repair protein human exonuclease 1 to replication foci and DNA double strand breaks. 2011, Pubmed
Lord, The DNA damage response and cancer therapy. 2012, Pubmed
Majka, The PCNA-RFC families of DNA clamps and clamp loaders. 2004, Pubmed
Mattock, Inhibition of cell proliferation by the PCNA-binding region of p21 expressed as a GFP miniprotein. 2001, Pubmed
McKinnon, DNA strand break repair and human genetic disease. 2007, Pubmed
Meister, Nuclear factories for signalling and repairing DNA double strand breaks in living fission yeast. 2003, Pubmed
Mimitou, DNA end resection: many nucleases make light work. 2009, Pubmed
Mimitou, Sae2, Exo1 and Sgs1 collaborate in DNA double-strand break processing. 2008, Pubmed
Mimitou, Ku prevents Exo1 and Sgs1-dependent resection of DNA ends in the absence of a functional MRX complex or Sae2. 2010, Pubmed
Modrich, Mechanisms in eukaryotic mismatch repair. 2006, Pubmed
Moldovan, PCNA, the maestro of the replication fork. 2007, Pubmed
Morin, Checkpoint-dependent phosphorylation of Exo1 modulates the DNA damage response. 2008, Pubmed
Nicolette, Mre11-Rad50-Xrs2 and Sae2 promote 5' strand resection of DNA double-strand breaks. 2010, Pubmed
Nimonkar, BLM-DNA2-RPA-MRN and EXO1-BLM-RPA-MRN constitute two DNA end resection machineries for human DNA break repair. 2011, Pubmed
Nimonkar, Human exonuclease 1 and BLM helicase interact to resect DNA and initiate DNA repair. 2008, Pubmed
Orans, Structures of human exonuclease 1 DNA complexes suggest a unified mechanism for nuclease family. 2011, Pubmed
Pei, MMSET regulates histone H4K20 methylation and 53BP1 accumulation at DNA damage sites. 2011, Pubmed
Sartori, Human CtIP promotes DNA end resection. 2007, Pubmed
Schaetzlein, Mammalian Exo1 encodes both structural and catalytic functions that play distinct roles in essential biological processes. 2013, Pubmed
Schmutte, The interaction of DNA mismatch repair proteins with human exonuclease I. 2001, Pubmed
Segurado, Separate roles for the DNA damage checkpoint protein kinases in stabilizing DNA replication forks. 2008, Pubmed
Shim, Saccharomyces cerevisiae Mre11/Rad50/Xrs2 and Ku proteins regulate association of Exo1 and Dna2 with DNA breaks. 2010, Pubmed
Shiotani, Single-stranded DNA orchestrates an ATM-to-ATR switch at DNA breaks. 2009, Pubmed
Sun, Human Ku70/80 protein blocks exonuclease 1-mediated DNA resection in the presence of human Mre11 or Mre11/Rad50 protein complex. 2012, Pubmed
Sung, Mechanism of homologous recombination: mediators and helicases take on regulatory functions. 2006, Pubmed
Symington, Double-strand break end resection and repair pathway choice. 2011, Pubmed
Szankasi, A DNA exonuclease induced during meiosis of Schizosaccharomyces pombe. 1992, Pubmed
Tomimatsu, Exo1 plays a major role in DNA end resection in humans and influences double-strand break repair and damage signaling decisions. 2012, Pubmed
Tran, EXO1-A multi-tasking eukaryotic nuclease. 2004, Pubmed
Walter, Regulated chromosomal DNA replication in the absence of a nucleus. 1998, Pubmed , Xenbase
Yang, The SOSS1 single-stranded DNA binding complex promotes DNA end resection in concert with Exo1. 2013, Pubmed
You, CtIP links DNA double-strand break sensing to resection. 2009, Pubmed , Xenbase
You, ATM activation and its recruitment to damaged DNA require binding to the C terminus of Nbs1. 2005, Pubmed , Xenbase
You, Rapid activation of ATM on DNA flanking double-strand breaks. 2007, Pubmed , Xenbase
You, DNA damage and decisions: CtIP coordinates DNA repair and cell cycle checkpoints. 2010, Pubmed
Zhu, Sgs1 helicase and two nucleases Dna2 and Exo1 resect DNA double-strand break ends. 2008, Pubmed
Zou, Sensing DNA damage through ATRIP recognition of RPA-ssDNA complexes. 2003, Pubmed
