XB-ART-48096
J Cell Biol
2013 Jul 08;2021:81-95. doi: 10.1083/jcb.201302122.
Show Gene links
Show Anatomy links
The centriolar satellite protein SSX2IP promotes centrosome maturation.
Bärenz F, Inoue D, Yokoyama H, Tegha-Dunghu J, Freiss S, Draeger S, Mayilo D, Cado I, Merker S, Klinger M, Hoeckendorf B, Pilz S, Hupfeld K, Steinbeisser H, Lorenz H, Ruppert T, Wittbrodt J, Gruss OJ.
???displayArticle.abstract???
Meiotic maturation in vertebrate oocytes is an excellent model system for microtubule reorganization during M-phase spindle assembly. Here, we surveyed changes in the pattern of microtubule-interacting proteins upon Xenopus laevis oocyte maturation by quantitative proteomics. We identified the synovial sarcoma X breakpoint protein (SSX2IP) as a novel spindle protein. Using X. laevis egg extracts, we show that SSX2IP accumulated at spindle poles in a Dynein-dependent manner and interacted with the γ-tubulin ring complex (γ-TuRC) and the centriolar satellite protein PCM-1. Immunodepletion of SSX2IP impeded γ-TuRC loading onto centrosomes. This led to reduced microtubule nucleation and spindle assembly failure. In rapidly dividing blastomeres of medaka (Oryzias latipes) and in somatic cells, SSX2IP knockdown caused fragmentation of pericentriolar material and chromosome segregation errors. We characterize SSX2IP as a novel centrosome maturation and maintenance factor that is expressed at the onset of vertebrate development. It preserves centrosome integrity and faithful mitosis during the rapid cleavage division of blastomeres and in somatic cells.
???displayArticle.pubmedLink??? 23816619
???displayArticle.pmcLink??? PMC3704989
???displayArticle.link??? J Cell Biol
Species referenced: Xenopus laevis
Genes referenced: ctrl h2bc21 pcm1 rcc1 ssx2ip tbx2 tpx2 tubgcp3 tubgcp6
???attribute.lit??? ???displayArticles.show???
|
|
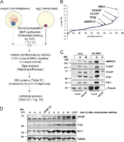
Figure 1. Identification and validation of SSX2IP as a MAP. (A) Workflow for the comparison of the MT interactome in interphase (stage VI X. laevis oocytes) and metaphase (unfertilized X. laevis eggs) by differential proteomics. (B) Protein abundance ratios (log2 of egg/oocyte ratio) of the 163 proteins found in five of five independent experiments. Median values of the five experiments are shown (see Table S1 for details). Note that most proteins are expressed more highly in metaphase. (C) Validation of the predicted metaphase MT association of identified proteins by immunoblotting. MAPs were purified from oocyte (interphase, I) or egg (metaphase, M) lysates by cosedimentation of taxol-stabilized MTs; nocodazole was used as a negative control. Total lysates were compared with MAP sediments, and tubulin served as a loading control. (D) Progesterone-treated, synchronously maturing X. laevis oocytes were analyzed for expression of SSX2IP, RCC1, and TPX2 (positive controls); tubulin was used as a loading control. Times are indicated with respect to nuclear (i.e., germinal vesicle) breakdown (GVBD). *, note the cross-reacting band at 55 kD in the SSX2IP blot. |
|
|
Figure 2. SSX2IP depletion does not interfere with centrosome-free spindle formation. (A) Expression of SSX2IP during in vitro maturation was specifically suppressed by MO oligonucleotides but did not alter meiotic spindle morphology; immunoblotting and indirect immunofluorescence detect SSX2IP and tubulin. (B and D) Chromatin-induced spindle assembly was monitored in X. laevis egg extracts that were mock-depleted (control, ct), immunodepleted of SSX2IP (ΔSSX2IP) or TPX2 (ΔTPX2), or supplemented with control (ctrl.) or anti (α)-SSX2IP antibodies (B). In D, control (ctrl.) antibodies or antibodies against Dynein intermediate chain were used. The blot in B shows depletion efficiencies; images display chromatin bead spindles (red, tubulin; green, SSX2IP; blue, DAPI). Please note that SSX2IP antibody addition efficiently inhibits pole localization of SSX2IP. (C) Quantification of assembled chromatin bead spindles in depleted extracts as indicated (left graph; this experiment was completed once, n = 100), or after addition of specific anti-SSX2IP or anti-TPX2 antibodies (right graph shows mean values ± SD of three independent experiments). The significance was calculated by a Student’s t test (two-tailed) and scored as follows: *, P < 0.05; **, P < 0.01. The magnified panels (magn.) show enlarged views of the boxed regions. Bars: (main panels) 20 µm; (magnified panels) 2 µm. |
|
|
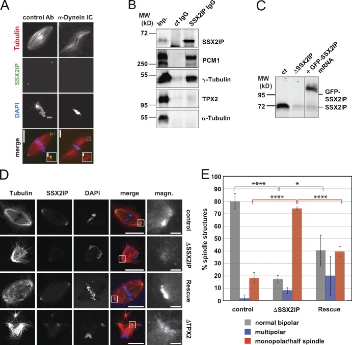
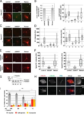
Figure 3. Immunodepletion of SSX2IP interferes with bipolar spindle assembly in centriole-containing spindles. (A) Localization of endogenous SSX2IP in spindles assembled around sperm nuclei in X. laevis egg extracts after addition of control antibodies, or antibodies against Dynein intermediate chain (Dynein IC). Red, tubulin; blue, chromatin; green, α-SSX2IP. Insets show spindle poles (enlarged views from the boxed regions). (B) Proteins identified as SSX2IP interaction partners (PCM-1, γ-tubulin) in X. laevis egg extracts were validated by immunoblotting; TPX2 served as a negative control. Free tubulin does not interact with SSX2IP. (C) Immunodepletion (Δ) of SSX2IP from X. laevis egg extracts was monitored by immunoblotting. A GFP-SSX2IP–encoding mRNA was translated in egg extracts for complementation/rescue. (D and E) Spindles from sperm nuclei were analyzed in control extracts, after depletion (Δ) of TPX2 (only in D) or SSX2IP, or rescue by GFP-SSX2IP. In D: red, Cy3-tubulin; green, SSX2IP; blue, DAPI/chromatin. Magnified panels (magn.) show enlarged views of the boxed regions. (E) Quantification of spindle morphology defects from three independent experiments. The significance was calculated by a Student’s t test (two-tailed) and scored as follows: *, P < 0.05; **, P < 0.01; ****, P < 0.0001. Error bars indicate SD. Bars: (main panels) 20 µm; (insets in A and magnified panels in D) 2 µm. |
|
|
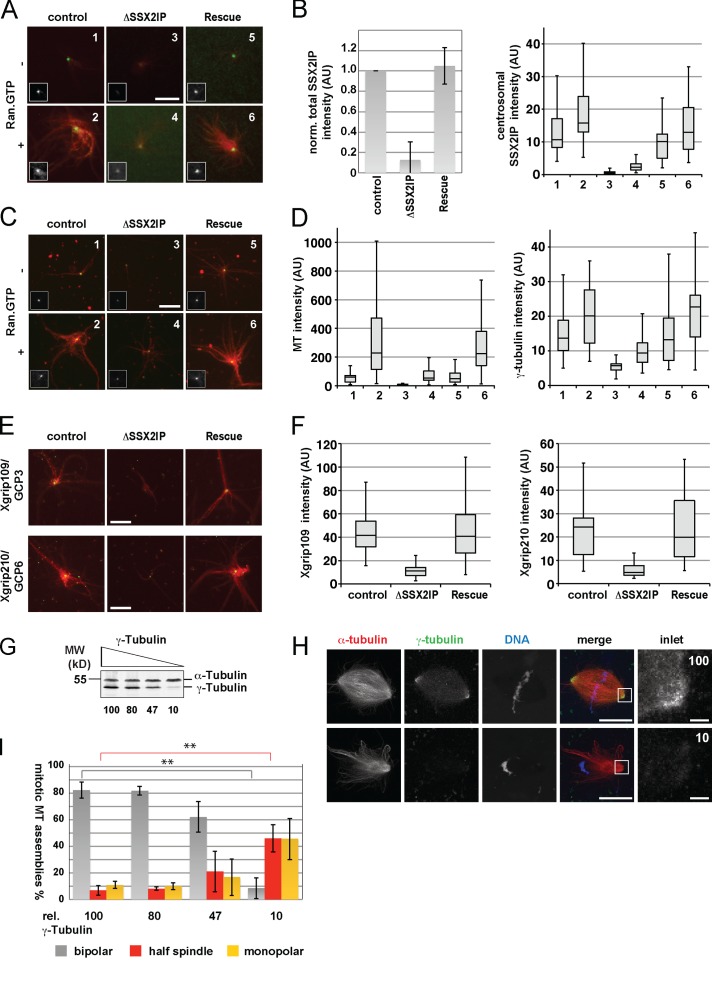
Figure 4. SSX2IP is required for mitotic centrosome maturation. (A) Localization of SSX2IP on centrosomes. Extracts were incubated with centrosomes and labeled tubulin (red) in the presence or absence of RanGTP. A labeled SSX2IP antibody (green) was added 5 min before squash fixation on coverslips. Note that the RanGTP-dependent centrosome maturation assay was done in TPX2-depleted extracts that do not nucleate self-organized MTs but leave MT nucleation exclusively to centrosomal asters. Insets of the same scale as the images highlight SSX2IP on centrosomes. (B, left) SSX2IP total levels in control, depleted, and reconstituted extracts were quantified by immunoblotting from three independent experiments. (B, right) SSX2IP levels on centrosomes were assayed and quantified as described previously (Yokoyama et al., 2008). (C and E) Samples as in A were fixed after aster assembly, spun down on coverslips, and stained with γ-tubulin antibodies (C, green) or Xgrip109/GCP3 or Xgrip210/GCP6 antibodies (E, green). Insets in C of the same scale as the images highlight γ-tubulin on centrosomes. (D and F) MT intensity and γ-tubulin (D) or Xgrip109 and Xgrip210 (F) levels in centrosomal asters were quantified as described previously (Yokoyama et al., 2008). (G) γ-TuRC levels were reduced in X. laevis egg extracts by immunodepletion using an antibody against γ-tubulin (Zheng et al., 1995); numbers indicate relative γ-tubulin levels. (H) Representative images from bipolar spindles in control (100% γ-TuRC levels) and half-spindles after removing 90% γ-TuRC (10% residual levels). Red, α-tubulin; green, γ-tubulin; blue, DAPI/DNA. Insets show γ-tubulin signals. (I) Mitotic MT assemblies after removing γ-TuRC were analyzed. n > 80 structures counted in all samples; graph shows mean ± SD from three independent experiments. The significance (100 vs. 10% γ-tubulin) was calculated by a Student’s t test (two-tailed) and scored as **, P < 0.01. Bars: (main panels) 20 µm; (magnified regions indicated by white boxes) 2 µm. |
|
|
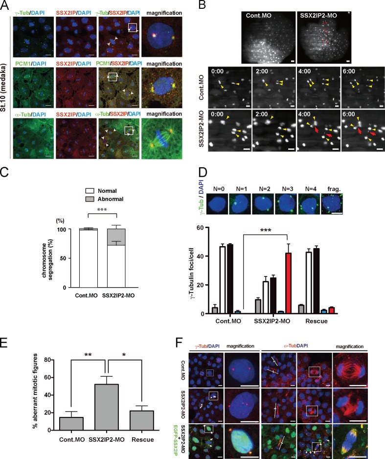
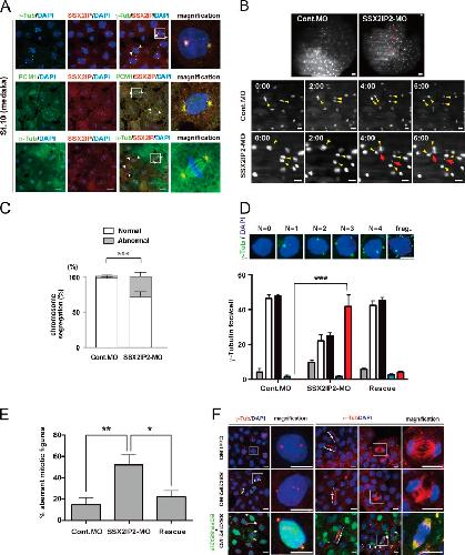
Figure 5. Chromosome segregation defects in SSX2IP2 MO–treated eggs. (A) Low concentrations of SSX2IP antibodies (100 ng/µl, injected at one-cell stage eggs of medaka) were used to localize SSX2IP in embryos developed to stage 10–11. Colors of labels indicate colors of respective proteins. Magnified panels (magn.) show enlarged views of the boxed regions. (B) Medaka eggs were coinjected with either control MO (Cont. MO) or SSX2IP2-MO, and Histone H2B-GFP (H2B-GFP) mRNA. Developing embryos were analyzed around stage 8 with DSLM. (top) Representative global images of MO-treated embryos. Red arrowheads in SSX2IP-MO show abnormal cell divisions. (bottom) Still images of dividing blastomeres in Cont.MO and SSX2IP-MO injected eggs. Yellow arrowheads indicate dividing cells; red arrows indicate lagging chromosomes. Each image was taken with an interval of 1 min. (C) Quantification of abnormal chromosomes/lagging chromosomes in control and MO-injected eggs. The significance was calculated by a Student’s t test (two-tailed) and scored ***, P < 0.001. Error bars indicate SD. (D–F) Rescue of SSX2IP-knockdown eggs by EGFP-OlSSX2IP2 (EGFP-SSX2IP) expression. Eggs were coinjected with SSX2IP2-MO and EGFP-SSX2IP. (D) Quantification of γ-tubulin foci in MO-treated and rescued eggs. Numbers of γ-tubulin foci were categorized as shown in representative images of γ-tubulin staining (top panels). The significance was calculated using six or seven independent experiments, in which at least 100 structures were counted. Significance was scored by a Student’s t test (two-tailed) as follows: ***, P < 0.001; ****, P < 0.0001. Error bars indicate SD. (E) Quantification of abnormal spindles in MO-treated and rescued eggs. The significance was calculated by a Student’s t test (two-tailed) and scored as follows: *, P < 0.05; **, P < 0.01. Error bars indicate SD. (F) γ-tubulin and α-tubulin, in MO-treated and rescued eggs at stage 10, was visualized as indicated by the colored legends. Dashed lines crossed by a bar indicate telophase spindles. Magnified panels (magn.) show enlarged views of the boxed regions. Arrowheads indicate abnormal numbers of centrosomes. Arrows indicate localization of EGFP-SSX2IP at the centrosome. Bars: (A) 10 µm; (B, top) 40 µm; (B, bottom) 20 µm; (D) 20 µm; (F) 10 µm. |
|
|
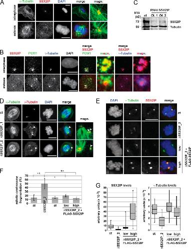
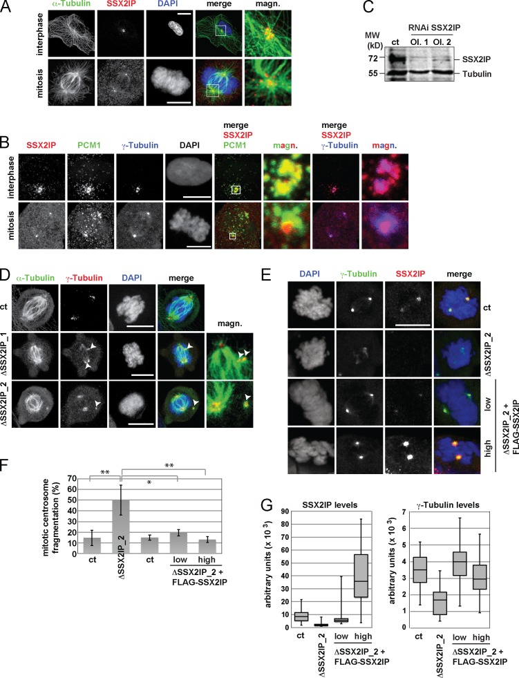
Figure 6. SSX2IP is required for centrosome stability in human somatic cells. (A) Localization of endogenous SSX2IP in human retinal pigment epithelium (RPE) cells in interphase and metaphase as indicated. Green, α-tubulin; blue, chromatin; red, SSX2IP; magnified merges do not display chromatin. Magnified panels (magn.) show enlarged views of the boxed regions. (B) Colocalization of SSX2IP (red), PCM-1 (green), and γ-tubulin (blue) in RPE-1 cells in interphase and mitosis; merges display colocalization between SSX2IP and PCM-1, or SSX2IP and γ-tubulin as indicated. Merges do not display chromatin. Magnified panels (magn.) show enlarged views of the boxed regions. (C) Immunoblots to document siRNA-mediated down-regulation of SSX2IP with two different siRNA oligos (Ol. 1 and 2). α-Tubulin served as a loading control. (D) Mitotic figures after knockdown of SSX2IP in RPE-1 cells. Green, α-tubulin; red, γ-tubulin; blue, DAPI/chromatin. Arrowheads indicate fragmentation of the γ-tubulin signals. (EâG) Analysis of mitotic figures in HEK293T wt cells and cells constitutively expressing low levels (âlowâ) of an siRNA-resistant, FLAG-tagged version of human SSX2IP and high levels after addition of doxycycline (âhighâ). (E) Green, γ-tubulin; red, SSX2IP; blue, DAPI/chromatin. (F) Quantification of mitotic fragmentation of γ-tubulin. The graph shows mean ± SD from five (wt) or three (stable expression of FLAG-SSX2IP) independent experiments; the significance was calculated by a Studentâs t test (two-tailed) and scored as *, P < 0.05; **, P < 0.01. (G) SSX2IP (left) and γ-tubulin (right) levels at mitotic centrosomes after knockdown of SSX2IP in wt cells or cell lines stably expressing SSX2IP. The data distribution from one representative experiment out of four repetitions is shown; n > 35. Bars, 10 µm. |
|
|
Figure 7. Knockdown of SSX2IP compromises mitotic MT nucleation and dynamics, and delays mitotic progression. Mitotic progression of HeLa cells stably expressing Histone 2B was analyzed by time-lapse recording. (A) Experimental setup. (B) Analysis using the CellCognition (Held et al., 2010) image recognition software. An early mitotic index (prometaphase, metaphase) was determined via automatic annotation; one representative analysis (out of at least four analyses) for the indicated situations is shown. (C) Histone 2B still images (20-min intervals) in cells progressing through mitosis in control situations, or after knockdown of SSX2IP. Arrowheads indicate nonaligned chromosomes; see also Videos 4 and 5. Bar, 10 µm. (D and E) Quantification of mitotic timing (D: overall duration; E: single mitotic phases; PRO, prophase; PM, prometaphase; M, metaphase; A, early anaphase; TELO, late anaphase and telophase) in control and SSX2IP knockdown cells that were analyzed by manual tracking for all conditions (n ≥ 34, in 4/5 independent experiments). The graphs represent mean values ± SD. The significance was scored by a two-tailed Student’s t test and scored as **, P < 0.01; ***, P < 0.001. |
References [+] :
Andersen,
Proteomic characterization of the human centrosome by protein correlation profiling.
2003, Pubmed
Andersen, Proteomic characterization of the human centrosome by protein correlation profiling. 2003, Pubmed
Archinti, SPICE--a previously uncharacterized protein required for centriole duplication and mitotic chromosome congression. 2010, Pubmed
Asada, ADIP, a novel Afadin- and alpha-actinin-binding protein localized at cell-cell adherens junctions. 2003, Pubmed
Bärenz, Centriolar satellites: busy orbits around the centrosome. 2011, Pubmed
Bohnsack, A selective block of nuclear actin export stabilizes the giant nuclei of Xenopus oocytes. 2006, Pubmed , Xenbase
Carazo-Salas, Ran-GTP coordinates regulation of microtubule nucleation and dynamics during mitotic-spindle assembly. 2001, Pubmed , Xenbase
Carazo-Salas, Generation of GTP-bound Ran by RCC1 is required for chromatin-induced mitotic spindle formation. 1999, Pubmed , Xenbase
Catrein, Experimental proof for a signal peptidase I like activity in Mycoplasma pneumoniae, but absence of a gene encoding a conserved bacterial type I SPase. 2005, Pubmed
Cox, Andromeda: a peptide search engine integrated into the MaxQuant environment. 2011, Pubmed
Cox, MaxQuant enables high peptide identification rates, individualized p.p.b.-range mass accuracies and proteome-wide protein quantification. 2008, Pubmed
Dammermann, Assembly of centrosomal proteins and microtubule organization depends on PCM-1. 2002, Pubmed , Xenbase
de Bruijn, The cancer-related protein SSX2 interacts with the human homologue of a Ras-like GTPase interactor, RAB3IP, and a novel nuclear protein, SSX2IP. 2002, Pubmed
DeLuca, Spindle microtubules: getting attached at both ends. 2007, Pubmed
Dumont, A centriole- and RanGTP-independent spindle assembly pathway in meiosis I of vertebrate oocytes. 2007, Pubmed , Xenbase
Eckerdt, Identification of a polo-like kinase 4-dependent pathway for de novo centriole formation. 2011, Pubmed , Xenbase
Eliscovich, Spindle-localized CPE-mediated translation controls meiotic chromosome segregation. 2008, Pubmed , Xenbase
Greenwood, Responses to DNA damage in Xenopus: cell death or cell cycle arrest. 2001, Pubmed , Xenbase
Gruss, Chromosome-induced microtubule assembly mediated by TPX2 is required for spindle formation in HeLa cells. 2002, Pubmed , Xenbase
Gruss, Ran induces spindle assembly by reversing the inhibitory effect of importin alpha on TPX2 activity. 2001, Pubmed , Xenbase
Gurdon, Changes in somatic cell nuclei inserted into growing and maturing amphibian oocytes. 1968, Pubmed , Xenbase
Hatori, Lcg is a light-inducible and clock-controlled gene expressed in the chicken pineal gland. 2006, Pubmed
Heald, Self-organization of microtubules into bipolar spindles around artificial chromosomes in Xenopus egg extracts. 1996, Pubmed , Xenbase
Held, CellCognition: time-resolved phenotype annotation in high-throughput live cell imaging. 2010, Pubmed
Inoue, One for all--a highly efficient and versatile method for fluorescent immunostaining in fish embryos. 2011, Pubmed
Iwamatsu, Stages of normal development in the medaka Oryzias latipes. 2004, Pubmed
Jakobsen, Novel asymmetrically localizing components of human centrosomes identified by complementary proteomics methods. 2011, Pubmed
Keller, Fast, high-contrast imaging of animal development with scanned light sheet-based structured-illumination microscopy. 2010, Pubmed
Kim, The pericentriolar satellite protein CEP90 is crucial for integrity of the mitotic spindle pole. 2011, Pubmed
Klebe, Interaction of the nuclear GTP-binding protein Ran with its regulatory proteins RCC1 and RanGAP1. 1995, Pubmed , Xenbase
Kubo, Non-membranous granular organelle consisting of PCM-1: subcellular distribution and cell-cycle-dependent assembly/disassembly. 2003, Pubmed
Kuge, Cytoplasmic 3' poly(A) addition induces 5' cap ribose methylation: implications for translational control of maternal mRNA. 1995, Pubmed , Xenbase
Lopes, Centriolar satellites are assembly points for proteins implicated in human ciliopathies, including oral-facial-digital syndrome 1. 2011, Pubmed
Mahjoub, Cep120 is asymmetrically localized to the daughter centriole and is essential for centriole assembly. 2010, Pubmed
Manning, Structural and regulatory roles of nonmotor spindle proteins. 2008, Pubmed
Manning, SnapShot: Nonmotor proteins in spindle assembly. 2008, Pubmed
Maresca, Spindle assembly in the absence of a RanGTP gradient requires localized CPC activity. 2009, Pubmed , Xenbase
Müller-Reichert, The elegans of spindle assembly. 2010, Pubmed
Nousiainen, Phosphoproteome analysis of the human mitotic spindle. 2006, Pubmed
Ohta, Building mitotic chromosomes. 2011, Pubmed
Oshimori, The Plk1 target Kizuna stabilizes mitotic centrosomes to ensure spindle bipolarity. 2006, Pubmed
Oshimori, Cep72 regulates the localization of key centrosomal proteins and proper bipolar spindle formation. 2009, Pubmed
Peng, DNA damage signaling in early Xenopus embryos. 2008, Pubmed , Xenbase
Petri, Dephosphorylation of survival motor neurons (SMN) by PPM1G/PP2Cgamma governs Cajal body localization and stability of the SMN complex. 2007, Pubmed
Piqué, A combinatorial code for CPE-mediated translational control. 2008, Pubmed , Xenbase
Sauer, Proteome analysis of the human mitotic spindle. 2005, Pubmed
Sawin, Mitotic spindle assembly by two different pathways in vitro. 1991, Pubmed , Xenbase
Schindelin, Fiji: an open-source platform for biological-image analysis. 2012, Pubmed
Schmidt, A novel strategy for quantitative proteomics using isotope-coded protein labels. 2005, Pubmed
Schmitz, Live-cell imaging RNAi screen identifies PP2A-B55alpha and importin-beta1 as key mitotic exit regulators in human cells. 2010, Pubmed
Sluder, Centriole duplication: analogue control in a digital age. 2010, Pubmed
Stearns, Gamma-tubulin is a highly conserved component of the centrosome. 1991, Pubmed , Xenbase
Toya, Gamma-tubulin complex-mediated anchoring of spindle microtubules to spindle-pole bodies requires Msd1 in fission yeast. 2007, Pubmed
Varmark, Functional role of centrosomes in spindle assembly and organization. 2004, Pubmed
Walczak, Mechanisms of mitotic spindle assembly and function. 2008, Pubmed , Xenbase
Wittmann, Localization of the kinesin-like protein Xklp2 to spindle poles requires a leucine zipper, a microtubule-associated protein, and dynein. 1998, Pubmed , Xenbase
Yokoyama, Cdk11 is a RanGTP-dependent microtubule stabilization factor that regulates spindle assembly rate. 2008, Pubmed , Xenbase
Zhang, Ran-GTP stabilises microtubule asters and inhibits nuclear assembly in Xenopus egg extracts. 1999, Pubmed , Xenbase
Zheng, Nucleation of microtubule assembly by a gamma-tubulin-containing ring complex. 1995, Pubmed , Xenbase
