Click here to close
Hello! We notice that you are using Internet Explorer, which is not supported by Xenbase and may cause the site to display incorrectly.
We suggest using a current version of Chrome,
FireFox, or Safari.
Development
2003 Oct 01;13020:4919-29. doi: 10.1242/dev.00706.
Show Gene links
Show Anatomy links
Glypican 4 modulates FGF signalling and regulates dorsoventral forebrain patterning in Xenopus embryos.
Galli A, Roure A, Zeller R, Dono R.
???displayArticle.abstract???
Heparan sulphate proteoglycans such as glypicans are essential modulators of intercellular communication during embryogenesis. In Xenopus laevis embryos, the temporal and spatial distribution of Glypican 4 (Gpc4) transcripts during gastrulation and neurulation suggests functions in early development of the central nervous system. We have functionally analysed the role of Xenopus Gpc4 by using antisense morpholino oligonucleotides and show that Gpc4 is part of the signalling network that patterns the forebrain. Depletion of GPC4 protein results in a pleiotropic phenotype affecting both primary axis formation and early patterning of the anteriorcentral nervous system. Molecular analysis shows that posterior axis elongation during gastrulation is affected in GPC4-depleted embryos, whereas head and neural induction are apparently normal. During neurulation, loss of GPC4 disrupts expression of dorsal forebrain genes, such as Emx2, whereas genes marking the ventralforebrain and posteriorcentral nervous system continue to be expressed. This loss of GPC4 activity also causes apoptosis of forebrain progenitors during neural tube closure. Biochemical studies establish that GPC4 binds FGF2 and modulates FGF signal transduction. Inhibition of FGF signal transduction, by adding the chemical SU5402 to embryos from neural plate stages onwards, phenocopies the loss of gene expression and apoptosis in the forebrain. We propose that GPC4 regulates dorsoventral forebrain patterning by positive modulation of FGF signalling.
Fig. 1. Gpc4 expression during early development of Xenopus embryos. Arrowheads (B-F) point to the dorsal blastopore lip. (A) Blastula (stage 7) showing localization of Gpc4 transcripts in the animal hemisphere. AP, animal pole; VP, vegetal pole. (B) Expression of Gpc4 at the onset of gastrulation (stage 10). (C) Dorso-vegetal view of an early gastrula stage embryo (stage 10.5). The broken line indicates the plane of the hemi-sections shown in panels D-F and I. (D-F) Hemi-sections of embryos cut along the dorsoventral axis (stage 10.5). (D) Gpc4 transcripts in prechordal endomesoderm and chordamesoderm (asterisk) and in the neuroectodermal cell layer (arrow). (E) Distribution of Noggin transcripts in the prechordal endomesoderm and chordamesoderm (asterisk). (F) Sox2 in the neuroectodermal cell layer (arrow). (G) Frontal view of an early neural plate embryo (stage 14). Note Gpc4 transcripts in the anterior neural plate (black arrow) and presumptive spinal cord (white arrow). (H) Frontal view of a stage 14 embryo showing Bf1 expression in the anteriorforebrain. (I) Expression of Gpc4 in a hemi-sectioned embryo (stage 14). Anterior is to the left. The white arrowhead points to decreasing expression in the prechordal plate. (J) Frontal view of a mid-neurula (stage 17). Asterisks point to Gpc4 transcripts in the presumptive dorsal forebrain. (K) Emx2 expression in the presumptive dorsal forebrain (stage 17; asterisks). (L) Expression of Gpc4 following closure of the anterior neural tube (stage 20). Arrow points to transcripts in the forebrain.
Fig. 3. Changes in gene expression become apparent during gastrulation of GPC4-depleted embryos. Dorso-vegetal view of embryos injected with CoMo (A,C,E,G,I) and Gpc4Mo (B,D,F,H,J). Arrowheads in panels A-D and G-J indicate the blastopore lip. Anterior is to the top. (A-D) Gsc expression during gastrulation (stage 10 to 10.5). (E,F) Xbra expression during late gastrulation (stage 12). (E) Expression in the developing notochord (No) in control embryos. Arrow in F indicates reduced length of notochord expression in GPC4-depleted embryos. (G,H) Noggin transcripts at stage 12. Asterisk indicates anterior-most expression. Bar indicates length of expression domain in the presumptive notochord. Noggin transcripts are normal in the anteriormesendoderm (asterisk), but the length of the presumptive notochord is reduced in GPC4-depleted embryos (compare G with H). (I,J) Sox2 expression in neuroectoderm (Ne) at stage 12. Sox2 is not expressed in the posterior midline of control embryos (asterisk in I), and Sox2 expression is not excluded from posterior midline in Gpc4Mo-injected embryos (asterisk in J). (K,L) Frontal view of Et expression (stage 21) to show that two retina fields form in CoMo-(K) and Gpc4Mo-injected embryos (L).
Fig. 5. GPC4 regulates expression of dorsal forebrain markers. Molecular analysis of neural markers in CoMo- and Gpc4Mo-injected embryos. (A-D,G-N) Frontal views; (E,F) dorsal views; (O-R) side view. Anterior is to the left. (A,B) Otx2 expression (stage 21). Arrowhead indicates forebrain expression; asterisk indicates midbrain expression. (C,D) Bf1 expression (stage 21). Arrows indicate expression in the developing telencephalon; arrowhead indicates expression in the olfactory placodes. (E,F) Expression of the posterior neural markers Krox20 (bracket) and Hoxb9 (arrowhead) in stage 21 embryos. (G,H) Fgf8 expression (stage 17). Asterisk indicates anterior neural ridge; arrowhead indicates isthmus. (I,J) Nkx2.1 expression in the ventralforebrain (stage 21); note that Nkx2.1 expression persists in GPC4-depleted embryos (J). (K,L) Emx2 expression in the dorsal forebrain of developing embryos (stage 21); note that Emx2 expression is drastically reduced in GPC4-depleted embryos (L). (M) Emx2 expression in embryos co-injected with CoMo and mouse Gpc4 (mGpc4) mRNA; note that overexpression of mouse Gpc4 does not affect Emx2 expression (compare with K). (N) Rescue of Emx2 expression in embryos co-injected with Gpc4Mo and mouse Gpc4 mRNA (compare with L). (O) Emx2 expression in a tailbudembryo injected with CoMo. (P) Emx2 expression in a tailbudembryo co-injected with CoMo and mouse Gpc4 mRNA. (Q) Loss of Emx2 expression in a tailbudembryo injected with Gpc4Mo. (R) Rescue of Emx2 expression and forehead morphology in a tailbudembryo co-injected with Gpc4Mo and mouse Gpc4 mRNA.
Fig. 6. GPC4 is required for establishment of Emx2 expression and survival of anteriorCNS cells. (A,B) Emx2 transcript distribution during neurulation (stage 17) in CoMo-(A) and Gpc4Mo-injected (B) embryos; frontal views are shown. Emx2 expression in GPC4-depleted embryos is either very low (arrow) or absent. (C-I) TUNEL assays to detect apoptotic cells in neurulating embryos. (C,E,G) CoMo-injected embryos. (D,F,H) Gpc4Mo-injected embryos. Anterior is to the left. (C,D) Fluorescence analysis of cell death on sagittal sections of a stage 17 embryo. Fluorescence was used as it is more sensitive for detection of low numbers of apoptotic cells. Arrows in C and D point to the presumptive forebrain. (E-I) Detection of apoptotic cells by whole-mount analysis of hemi-sectioned embryos (stage 20). Massive cell death is apparent in the brain of Gpc4Mo-injected embryos (F) in contrast to CoMo-injected embryos (E). Boxed areas in panels E and F indicate the enlargements shown in panels G and H. (I) Cell death is rescued in embryos co-injected with Gpc4Mo and mouse Gpc4 mRNA. A, anterior; P, posterior; D, dorsal; V, ventral.
Fig. 7. GPC4 modulates FGF signalling during neurulation. (A) Immunoblot analysis of GPC4/FGF2 complexes, as detected by anti-Myc antibodies. The `Input' lane contains NIH3T3 cells transfected with the Myc epitope-tagged mouse Gpc4 cDNA. The HS-GAG modified mouse GPC4 proteins have an apparent Mr of around 200 kDa (arrow), whereas the unmodified proteins run at 60 kDa (asterisk). In the `GST-FGF-2' lane only the modified 200 kDa GPC4 protein (arrow) binds to FGF2. Mouse GPC4 does not bind to GST (control; `GST' lane). (B) Immunoblot analysis of phosphorylated ERK (pERK) and SMAD1 (pSMAD1) proteins in Xenopus embryos (stage 15). Levels of phosphorylated proteins were determined in embryos that were: cultured in the presence of the FGF inhibitor SU5402 (0.1 mg/ml; lane `SU5402'); cultured with DMSO as a control (lane `DMSO'); injected with CoMo (lane `CoMo'); injected with Gpc4Mo (lane `Gpc4Mo'); or co-injected with Gpc4Mo and mouse Gpc4 mRNA (lane `Gpc4Mo + mGpc4'). TUB, α-Tubulin levels in the extracts were determined to normalize samples. (C-H) Molecular analysis of embryos cultured with DMSO (panels C,E,G) and with SU5402 (0.1 mg/ml; panels D,F,H). Arrows in panels C-F indicate Emx2 expression. (C) Emx2 expression in control embryos cultured with DMSO (stage 17). (D) Downregulation of Emx2 in embryos cultured with SU5402 (stage 17). (E) Emx2 and Krox20 (bracket) expression in control embryos cultured with DMSO (stage 22). (F) Downregulation of Emx2, but not Krox20 (bracket), in embryos cultured with SU5402 (stage 22). (G) Nkx2.1 expression in embryos cultured with DMSO (stage 22). (H) Nkx2.1 expression in embryos cultured with SU5402 (stage 22). (I) Lack of cell death in the forebrain region of an embryo cultured with DMSO (stage 20). (J) Apoptotic cells detected in the forebrain region of an embryo cultured with SU5402 (stage 20).
Fig 2. GPC4 is required for early embryonic development. (A) The Gpc4Mo inhibits translation of Gpc4 mRNA in vitro. Capped mRNA was in vitro translated in the presence of increasing amounts (indicated in μg) of Gpc4Mo (top panel) or CoMo (bottom panel). (B-D) Gpc4Mo specifically inhibits translation of Gpc4 transcripts in vivo. (B) Embryos injected with chimeric Gpc4GFP transcripts and CoMo. (C,D) Embryos injected with Gpc4GFP mRNA and Gpc4Mo in one blastomere (arrow in C) or both blastomeres (D). Injection of Gpc4Mo inhibits Gpc4GFP mRNA translation as evidenced by lack of GFP activity. (E-J) Two-cell embryos were injected with CoMo (E,G,I) or Gpc4Mo (F,H,J) and analysed at different developmental stages. (E,F) GPC4 functions during gastrulation. Dorso-vegetal view of stage 12 embryos. (E) Blastopore has closed in embryos injected with CoMo (stage 12). (F) Blastopore remains open in embryos injected with Gpc4Mo (stage 12). (G,H) GPC4 is required for anterior CNS development. Frontal view of stage 21 embryos. Embryos injected with Gpc4Mo (H) retain an open anterior neural tube (arrow) but develop a cement gland (arrowhead). (I,J) Side view of tailbud stage embryos. In contrast to control embryos (I), embryos injected with Gpc4Mo (J) are shorter, lack the dorsal fin and have small heads. Arrowhead in J points to the missing dorsal fin; the arrow indicates microcephaly. The developing eyes are encircled. CG, cement gland; Br, brain; DF, dorsal fin.
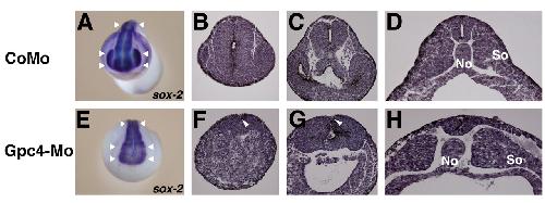
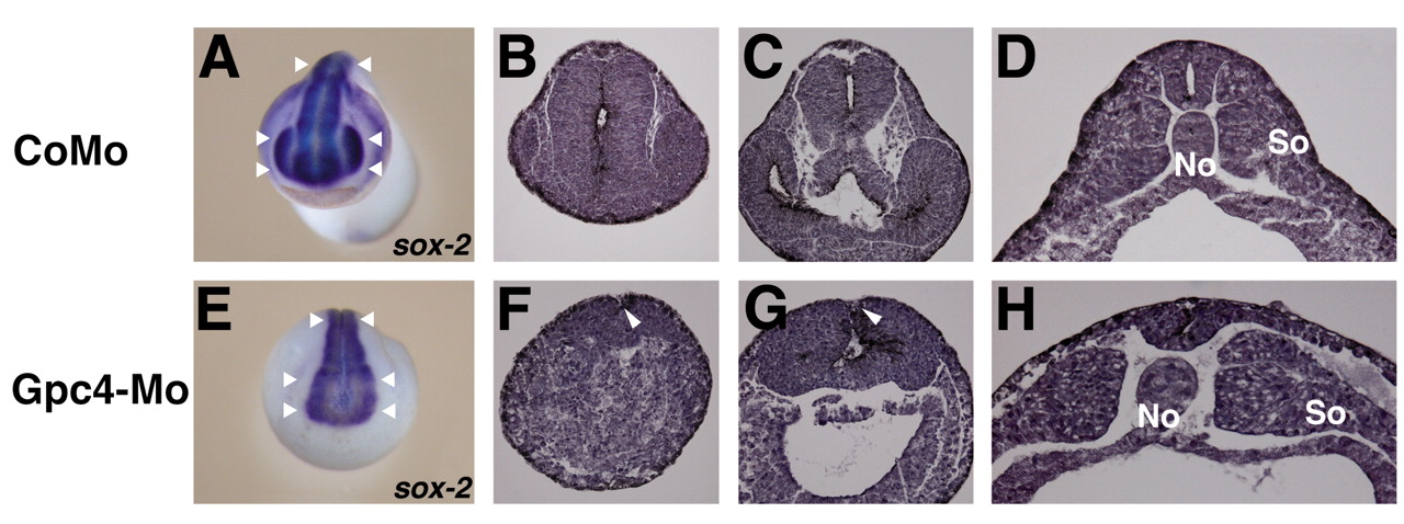
Fig. 4.. Forebrain defects in GPC4-depleted embryos. (A-D) Embryos injected with CoMo. (E-H) Embryos injected with Gpc4Mo. (A,E) Frontal view of Sox2 distribution at stage 21. White arrowheads indicate the level of the transverse sections shown in panels B-D and F-H. (B-D,F-H) Histological sections are at the level of the forebrain in panels B and F, the midbrain in panels C and G, and the spinal cord in panels D and H. Arrowhead in panels F and G points to defects in dorsal neural tube closure. No, notochord; So, somites.