Click here to close
Hello! We notice that you are using Internet Explorer, which is not supported by Xenbase and may cause the site to display incorrectly.
We suggest using a current version of Chrome,
FireFox, or Safari.
???displayArticle.abstract???
Protein kinase ALK3/BMPR1A mediates bone morphogenetic protein (BMP) signalling through phosphorylation and activation of SMADs 1/5/8. SMAD6, a transcriptional target of BMP, negatively regulates the BMP pathway by recruiting E3 ubiquitin ligases and targeting ALK3 for ubiquitin-mediated degradation. Here, we identify a deubiquitylating enzyme USP15 as an interactor of SMAD6 and ALK3. We show that USP15 enhances BMP-induced phosphorylation of SMAD1 by interacting with and deubiquitylating ALK3. RNAi-mediated depletion of USP15 increases ALK3 K48-linked polyubiquitylation, and reduces both BMP-induced SMAD1 phosphorylation and transcription of BMP target genes. We also show that loss of USP15 expression from mouse myoblast cells inhibits BMP-induced osteoblast differentiation. Furthermore, USP15 modulates BMP-induced phosphorylation of SMAD1 and transcription during Xenopus embryogenesis.
Figure 1. Identification and characterization of USP15 as an interactor of SMAD6. (a) Coomassie stained gel image showing anti-GFP-IPs from HEK293 extracts expressing GFP-SMAD6. The interacting proteins were excised as 2 mm gel pieces, digested with trypsin and identified by mass spectrometry. The location where USP11 and USP15 were identified is indicated. All protein interactors of GFP-SMAD6 identified by mass spectrometry are indicated in the right panel. Protein interactors of GFP control were removed from the list of GFP-SMAD6 interactors. (b) HEK293 cells were transfected transiently with FLAG-SMADs. Extract inputs were resolved by SDS-PAGE and subjected to immunoblotting (IB) with anti-USP11, anti-USP15 and anti-FLAG antibodies as indicated. (c) FLAG-IPs were subjected to immunoblotting with anti-USP11 and anti-FLAG antibodies. (d) Endogenous pre-immune IgG or anti-USP15 IPs were subjected to immunoblotting with anti-FLAG and anti-USP15 antibodies as indicated.
Figure 2. Depletion of USP15 inhibits BMP signalling. (a) HEK293 cells were transiently transfected with three individual siRNAs targeting USP15, serum-starved overnight and stimulated with 6.25 ng ml−1 BMP for 1 h prior to lysis. Extracts were resolved by SDS-PAGE and subjected to immunoblotting with antibodies against endogenous USP15, pSMAD1, SMAD1 and GAPDH. (b) As in (a), except that siUSP15-3 was used to knockdown endogenous USP15 expression in HeLa cells. (c) As in (b) except that U2OS cells were used. (d) HEK293 cells were transiently transfected with siUSP15-3. Cells were serum-starved overnight and stimulated with 6.25 ng ml−1 BMP for 1 h. Cells were then washed and harvested 2 h later. The expression of USP15 and the BMP-target gene ID1 were assessed by qRT-PCR. Results are average of six biological replicates. The error bars indicate s.d. (e) As in (d), except that HEK293 cells were transfected with siUSP11. The expression of USP11 and ID1 were assessed by qRT-PCR. Results are average of three biological replicates. The error bars indicate s.d.
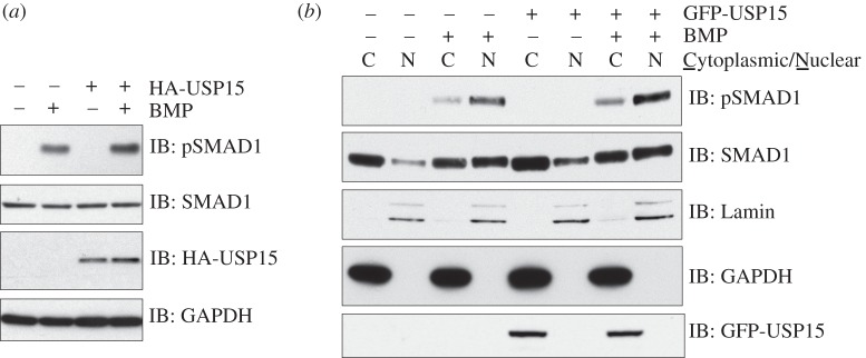
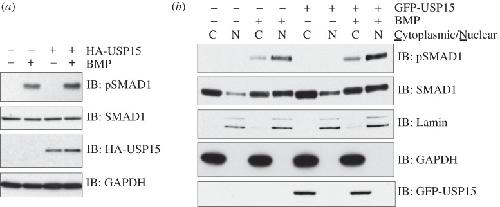
Figure 3. USP15 augments BMP signalling. (a) HEK293 cells transiently expressing control HA-vector or HA-USP15 were serum-starved overnight and stimulated with 6.25 ng ml−1 BMP-2 for 1 h prior to lysis. Extracts were resolved by SDS-PAGE and subjected to immunoblotting with antibodies against HA, endogenous pSMAD1, total SMAD1 and GAPDH. (b) HEK293 cells stably expressing GFP or GFP-USP15 were serum-starved overnight and stimulated with 6.25 ng ml−1 BMP for 1 h prior to separation into cytoplasmic and nuclear fractions. The fractions were resolved by SDS-PAGE and subjected to immunoblotting with antibodies against GFP, Lamin A/C, GAPDH, endogenous pSMAD1 and total SMAD1.
Figure 4. USP15 interacts and co-localizes with SMAD6 and ALK3. (a) HEK293 cells were transfected with GFP-USP15 with control vector or mammalian expression vectors encoding N-terminal FLAG-tagged ALK5, ALK3, ALK2 or ALK6. Cells were lysed and extracts (1 mg) subjected to GFP-IPs. GFP-IPs (40%) or extract inputs were resolved by SDS-PAGE and subjected to immunoblotting with the indicated antibodies. (b) HEK293 cells expressing GFP control or GFP-USP15 were transfected with FLAG-ALK3, HA-SMAD6 or both as indicated. Cells were lysed and extracts (1 mg) subjected to GFP-IPs. GFP-IPs (40%) or extract inputs were resolved by SDS-PAGE and subjected to immunoblotting with the indicated antibodies. (c) Fixed cell immunofluorescence was performed on U2OS cells transfected with FLAG-ALK3, HA-SMAD6 and GFP-USP15. Individual and merged pictures are shown, indicating localization of FLAG-ALK3 mainly in the cytosol, HA-SMAD6 in the nucleus and GFP-USP15 in both compartments. GFP-USP15 mainly co-localizes with FLAG-ALK3. Pictures were taken using a 60× lens, scale bar represents 30 μm.
Figure 5. USP15 deubiquitylates ALK3. (a) Human recombinant GST-USP15 expressed in Escherichia coli was employed in an in vitro deubiquitylation assay using K48-, K63- and K11-linked and linear di-ubiquitin (Ub) molecules as substrates. The reactions were quenched by adding SDS sample buffer and boiling for 5 min. The samples were resolved by SDS-PAGE, Coomassie stained and then imaged. (b) HEK293 cell transfected with FLAG control or FLAG-ALK3 vectors were treated with bortezomib (10 μM) for 3 h prior to lysis. FLAG-IPs from extracts (1 mg protein) were used as substrates for GST-USP15 in an in vitro deubiquitylation assay. The reactions were stopped by adding SDS sample buffer and boiling for 5 min. The samples were resolved by SDS-PAGE and subjected to immunoblotting analysis using the indicated antibodies. (c) HEK293 cells were transiently transfected with FLAG control or FLAG-ALK3 vectors with or without HA-USP15. Prior to lysis, cells were treated with 10 μM bortezomib for 3 h. FLAG-IPs and extract inputs were resolved by SDS-PAGE and subjected to immunoblotting analysis using the indicated antibodies. (d) HEK293 cells transiently expressing FLAG-ALK3, HA-USP15 and USP15 C269S DUB dead mutant (DD) were serum-starved overnight, pretreated with 10 μM bortezomib for 3 h then stimulated with 6.25 ng ml–1 BMP for 1 h prior to lysis. FLAG-IPs and extract inputs were resolved by SDS-PAGE and subjected to immunoblotting with the indicated antibodies. (e) HEK293 cells transiently expressing siUSP15-3, FLAG-ALK3 and siUSP15-3 resistant silent mutant of HA-USP15 (HA-USP15R) were serum-starved overnight, pretreated with 10 μM bortezomib for 3 h then stimulated with 6.25 ng ml−1 BMP for 1 h prior to lysis. FLAG-IPs and extract inputs were resolved by SDS-PAGE and subjected to immunoblotting with the indicated antibodies.
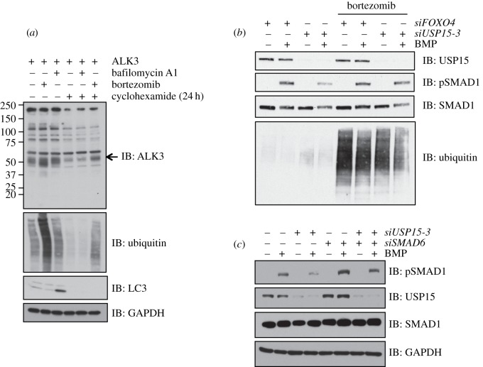
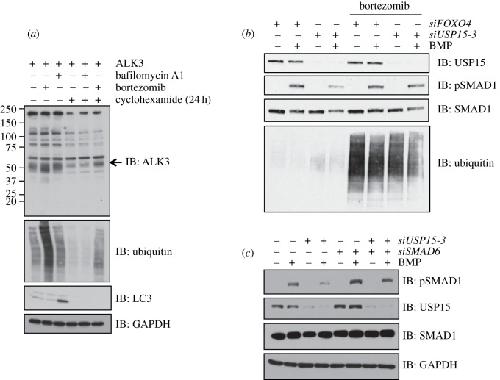
Figure 6. ALK3 undergoes proteasomal degradation. (a) HEK293 cells transfected with untagged ALK3 were treated with or without 20 μM cycloheximide for 24 h prior to lysis. Cells were treated with DMSO control, 100 nM bafilomycin A1 (to inhibit vacuolar-type H+ ATPase) or 10 μM bortezomib (to inhibit the proteasome) for 3 h prior to lysis. Extracts were resolved by SDS-PAGE and subjected to immunoblotting with the indicated antibodies. (b) HEK293 cells were transiently transfected with siFoxO4 or siUSP15-3. Cells were serum-starved overnight, treated with or without 10 μM bortezomib for 3 h and then stimulated with or without 6.25 ng ml−1 BMP for 1 h prior to lysis. Extracts were resolved by SDS-PAGE and subjected to immunoblotting with antibodies against endogenous USP15, pSMAD1 and total SMAD1. (c) HEK293 cells were transiently transfected with siFoxO4 (–), siUSP15-3 or siSMAD6 as indicated. Twenty-four hours post siRNA transfection, cells were serum-starved overnight and stimulated with or without 6.25 ng ml−1 BMP for 1 h prior to lysis. Extracts were resolved by SDS-PAGE and subjected to immunoblotting with antibodies against pSMAD1, total SMAD1, USP15 and GAPDH. The SMAD6 knockdown was confirmed by qRT-PCR (electronic supplementary material, figure S7).
Figure 7. USP15 impacts osteoblastic differentiation in C2C12 myoblasts and modulates BMP signalling in Xenopus embryogenesis. (a) Mouse myoblast cell line C2C12 were transfected with siRNAs targeting mouse FoxO4 or USP15. Cells were serum-starved overnight and treated with or without BMP for 1 h prior to lysis. Extracts were resolved by SDS-PAGE and immunoblotted with antibodies against USP15, pSMAD1, total SMAD1 and GAPDH. (b) C2C12 cells transfected with mouse siFoxO4 or mouse siUSP15 were grown for up to 4 days in the presence of BMP. Cells were lysed and the alkaline phosphatase activity measured using a fluorescence plate reader. Data are represented as mean of three biological replicates and error bars indicate s.d. Representative extracts were resolved by SDS-PAGE and subjected to immunoblotting with antibodies against USP15 and GAPDH. (c) Xenopus embryos were injected with 80 ng of either xUSP15- (xUSP15-MO) or control-MO morpholinos at the one-cell stage and then collected at the indicated stages. Lysates were resolved by SDS-PAGE and immunoblotted with antibodies against pSMAD1 and α-tubulin. (d) qRT-PCR analysis of xVENT1 mRNA expression. Embryos were injected with 80 ng of either USP15-MO or control-MO at the one-cell stage and then animal caps were cut at stage 8.5. The animal caps were collected at the equivalent embryo stage of 10.5 and processed for qRT-PCR.
Allen,
Loss of iron triggers PINK1/Parkin-independent mitophagy.
2013, Pubmed
Allen,
Loss of iron triggers PINK1/Parkin-independent mitophagy.
2013,
Pubmed Al-Salihi,
Regulation of the transforming growth factor β pathway by reversible ubiquitylation.
2012,
Pubmed Al-Salihi,
USP11 augments TGFβ signalling by deubiquitylating ALK5.
2012,
Pubmed Bonifacino,
Ubiquitin and the control of protein fate in the secretory and endocytic pathways.
1998,
Pubmed Bruce,
Phosphatases in SMAD regulation.
2012,
Pubmed Bruce,
Protein phosphatase 5 modulates SMAD3 function in the transforming growth factor-β pathway.
2012,
Pubmed Cai,
BMP signaling in vascular diseases.
2012,
Pubmed Caja,
Context-dependent action of transforming growth factor β family members on normal and cancer stem cells.
2012,
Pubmed Chen,
Bone morphogenetic proteins.
2004,
Pubmed Chen,
Smad6 inhibits the transcriptional activity of Tbx6 by mediating its degradation.
2009,
Pubmed De Robertis,
Dorsal-ventral patterning and neural induction in Xenopus embryos.
2004,
Pubmed
,
Xenbase Eichhorn,
USP15 stabilizes TGF-β receptor I and promotes oncogenesis through the activation of TGF-β signaling in glioblastoma.
2012,
Pubmed Ganley,
Distinct autophagosomal-lysosomal fusion mechanism revealed by thapsigargin-induced autophagy arrest.
2011,
Pubmed Goto,
Selective inhibitory effects of Smad6 on bone morphogenetic protein type I receptors.
2007,
Pubmed Graff,
Studies with a Xenopus BMP receptor suggest that ventral mesoderm-inducing signals override dorsal signals in vivo.
1994,
Pubmed
,
Xenbase Harland,
Neural induction.
2000,
Pubmed
,
Xenbase Harper,
Structure of the USP15 N-terminal domains: a β-hairpin mediates close association between the DUSP and UBL domains.
2011,
Pubmed Harradine,
Mutations of TGFbeta signaling molecules in human disease.
2006,
Pubmed Heldin,
TGF-beta signalling from cell membrane to nucleus through SMAD proteins.
1997,
Pubmed Herhaus,
OTUB1 enhances TGFβ signalling by inhibiting the ubiquitylation and degradation of active SMAD2/3.
2013,
Pubmed Hoodless,
MADR1, a MAD-related protein that functions in BMP2 signaling pathways.
1996,
Pubmed Ikushima,
TGF-β signal transduction spreading to a wider field: a broad variety of mechanisms for context-dependent effects of TGF-β.
2012,
Pubmed Inui,
USP15 is a deubiquitylating enzyme for receptor-activated SMADs.
2011,
Pubmed
,
Xenbase Isumi,
Transgenic overexpression of USP15 in the heart induces cardiac remodeling in mice.
2011,
Pubmed Jung,
Comparison of 10 serum bone turnover markers in prostate carcinoma patients with bone metastatic spread: diagnostic and prognostic implications.
2004,
Pubmed Katagiri,
Bone morphogenetic protein-2 converts the differentiation pathway of C2C12 myoblasts into the osteoblast lineage.
1994,
Pubmed Kretzschmar,
The TGF-beta family mediator Smad1 is phosphorylated directly and activated functionally by the BMP receptor kinase.
1997,
Pubmed Massagué,
TGFβ signalling in context.
2012,
Pubmed Massagué,
The logic of TGFbeta signaling.
2006,
Pubmed Murakami,
Cooperative inhibition of bone morphogenetic protein signaling by Smurf1 and inhibitory Smads.
2003,
Pubmed
,
Xenbase Sapkota,
Balancing BMP signaling through integrated inputs into the Smad1 linker.
2007,
Pubmed
,
Xenbase Schier,
Molecular genetics of axis formation in zebrafish.
2005,
Pubmed Shi,
Overactive bone morphogenetic protein signaling in heterotopic ossification and Duchenne muscular dystrophy.
2013,
Pubmed Shi,
Mechanisms of TGF-beta signaling from cell membrane to the nucleus.
2003,
Pubmed Slack,
Regional biosynthetic markers in the early amphibian embryo.
1984,
Pubmed Tse,
Zebrafish transforming growth factor-β-stimulated clone 22 domain 3 (TSC22D3) plays critical roles in Bmp-dependent dorsoventral patterning via two deubiquitylating enzymes Usp15 and Otud4.
2013,
Pubmed Varga,
The disparate role of BMP in stem cell biology.
2005,
Pubmed Villeneuve,
USP15 negatively regulates Nrf2 through deubiquitination of Keap1.
2013,
Pubmed Vogt,
Protein associated with SMAD1 (PAWS1/FAM83G) is a substrate for type I bone morphogenetic protein receptors and modulates bone morphogenetic protein signalling.
2014,
Pubmed Vos,
The ubiquitin-specific peptidase USP15 regulates human papillomavirus type 16 E6 protein stability.
2009,
Pubmed Xu,
USP15 plays an essential role for caspase-3 activation during Paclitaxel-induced apoptosis.
2009,
Pubmed Yamamoto,
Bafilomycin A1 prevents maturation of autophagic vacuoles by inhibiting fusion between autophagosomes and lysosomes in rat hepatoma cell line, H-4-II-E cells.
1998,
Pubmed Yan,
Regulation of TGF-beta signaling by Smad7.
2009,
Pubmed Yoshimori,
Bafilomycin A1, a specific inhibitor of vacuolar-type H(+)-ATPase, inhibits acidification and protein degradation in lysosomes of cultured cells.
1991,
Pubmed Zhang,
Fine-tuning BMP7 signalling in adipogenesis by UBE2O/E2-230K-mediated monoubiquitination of SMAD6.
2013,
Pubmed Zhang,
USP4 is regulated by AKT phosphorylation and directly deubiquitylates TGF-β type I receptor.
2012,
Pubmed Zhao,
PICK1 promotes caveolin-dependent degradation of TGF-β type I receptor.
2012,
Pubmed