Click here to close
Hello! We notice that you are using Internet Explorer, which is not supported by Xenbase and may cause the site to display incorrectly.
We suggest using a current version of Chrome,
FireFox, or Safari.
???displayArticle.abstract???
Inositol requiring enzyme-1 (IRE1) is highly conserved from yeasts to humans. Upon endoplasmic reticulum (ER) stress, IRE1 activates X-box-binding protein 1 (XBP1) by unconventional splicing of XBP1 mRNA, which activates unfolded protein response (UPR) to restore ER homeostasis. In mice, IRE1α plays an essential role in extraembryonic tissues. However, its precise action during the early stage of development is unknown. In this study, the gain and loss-of-function analyses were used to investigate the function of Xenopus IRE1α (xIRE1α). The effects of xIRE1α during embryo development were detected with RT-PCR and whole mount in situ hybridization. ER stress was induced by tunicamycin. The apoptotic cells were measured by TUNNEL assays. Although both gain and loss of xIRE1α function had no significant effect on Xenopus embryogenesis, knockdown of xIRE1α could rescue tunicamycin-induced developmental defects and apoptosis. The finding indicates that xIRE1α is not required for embryogenesis but is required for tunicamycin-induced developmental defects and apoptosis in Xenopus laevis.
Fig. 1. xIRE1α does not affect mesoderm and endoderm formation.A: control MO injected embryo at tailbud stage. B and C: embryo injected with 50 ng xIRE1α MO or 1.5 ng xIRE1α mRNA. Overexpression or knockdown of xIRE1α did not change the expression of Xbra (DâF) and Xsox17a (GâI) at stage 10.5.
Fig. 2. Developmental defects caused by tunicamycin (TM) were rescued with the injection of IRE1αMO and xXBP1(C) MO.A: control MO injected embryos at stage 18. B: embryos treated with 2â μg/mL TM at stage 18. C: embryos treated with 2â μg/mL TM and injected with 50 ng IRE1αMO at stage 18. D: embryos treated with 2â μg/mL TM and injected with 50 ng IRE1βMO at stage 18. E: rescue effect on XBP1 splicing. TM treatment led to an increase of xXBP1(C) while TM treatment together with xIRE1α MO injection rescued the change in embryos at stage 11. F: control MO injected embryos at stage 32. G: embryos treated with 2â μg/mL TM at stage 32. H: embryos treated with 2â μg/mL TM and injected with 50â ng IRE1αMO at stage 32. I: embryos treated with 2â μg/mL TM and injected with 50 ng XBP1(C) MO at stage 32. RT-: no-reverse transcriptase control.
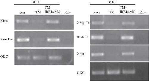
Fig. 3. Rescue effects of xIRE1α knockdown on gene expression.Control, TM treated and rescued embryos were collected at stage 11 or 18 and subjected to RT-PCR. Expression of mesodermal, endodermal, and neuroectodermal genes were inhibited in TM-treated embryos and rescued by xIRE1α knockdown. RT-: no-reverse transcriptase control.
Fig. 4. xIRE1α knockdown rescued the apoptosis in embryos of stage 18 with TM treatment by TUNNEL.A: The control embryos without TM treatment showed few staining indicating apoptosis (arrow). B: The TM-treated embryos showed significant signal for apoptosis (arrows). C: The embryos were injected with 50 ng of IRE1αMO at 4 cell stage, then treated with TM, and the apoptotic signal was decreased (arrows). D: A quantitative presentation is given. E: Expression of CHOP is inhibited in TM-treated embryos and rescued by xIRE1α knockdown. *P < 0.05 compared with control embryos.
Acosta-Alvear,
XBP1 controls diverse cell type- and condition-specific transcriptional regulatory networks.
2007, Pubmed
Acosta-Alvear,
XBP1 controls diverse cell type- and condition-specific transcriptional regulatory networks.
2007,
Pubmed Anelli,
Protein quality control in the early secretory pathway.
2008,
Pubmed Bertolotti,
Increased sensitivity to dextran sodium sulfate colitis in IRE1beta-deficient mice.
2001,
Pubmed Calfon,
IRE1 couples endoplasmic reticulum load to secretory capacity by processing the XBP-1 mRNA.
2002,
Pubmed Cao,
XBP1 forms a regulatory loop with BMP-4 and suppresses mesodermal and neural differentiation in Xenopus embryos.
2006,
Pubmed
,
Xenbase Harding,
Diabetes mellitus and exocrine pancreatic dysfunction in perk-/- mice reveals a role for translational control in secretory cell survival.
2001,
Pubmed Harland,
In situ hybridization: an improved whole-mount method for Xenopus embryos.
1991,
Pubmed
,
Xenbase Hensey,
Programmed cell death during Xenopus development: a spatio-temporal analysis.
1998,
Pubmed
,
Xenbase Hetz,
Fine-tuning of the unfolded protein response: Assembling the IRE1alpha interactome.
2009,
Pubmed Iqbal,
IRE1beta inhibits chylomicron production by selectively degrading MTP mRNA.
2008,
Pubmed Iwawaki,
Function of IRE1 alpha in the placenta is essential for placental development and embryonic viability.
2009,
Pubmed Iwawaki,
Translational control by the ER transmembrane kinase/ribonuclease IRE1 under ER stress.
2001,
Pubmed Iwawaki,
IRE1α disruption causes histological abnormality of exocrine tissues, increase of blood glucose level, and decrease of serum immunoglobulin level.
2010,
Pubmed Lee,
XBP-1 is required for biogenesis of cellular secretory machinery of exocrine glands.
2005,
Pubmed Lipson,
Endoplasmic reticulum stress-induced apoptosis and auto-immunity in diabetes.
2006,
Pubmed Marciniak,
CHOP induces death by promoting protein synthesis and oxidation in the stressed endoplasmic reticulum.
2004,
Pubmed Matus,
The stress rheostat: an interplay between the unfolded protein response (UPR) and autophagy in neurodegeneration.
2008,
Pubmed Moenner,
Integrated endoplasmic reticulum stress responses in cancer.
2007,
Pubmed Ron,
Signal integration in the endoplasmic reticulum unfolded protein response.
2007,
Pubmed Schröder,
The mammalian unfolded protein response.
2005,
Pubmed Schröder,
Endoplasmic reticulum stress responses.
2008,
Pubmed Tirasophon,
A stress response pathway from the endoplasmic reticulum to the nucleus requires a novel bifunctional protein kinase/endoribonuclease (Ire1p) in mammalian cells.
1998,
Pubmed Todd,
The endoplasmic reticulum stress response in immunity and autoimmunity.
2008,
Pubmed Wang,
Cloning of mammalian Ire1 reveals diversity in the ER stress responses.
1998,
Pubmed Wu,
ATF6alpha optimizes long-term endoplasmic reticulum function to protect cells from chronic stress.
2007,
Pubmed Yamamoto,
Transcriptional induction of mammalian ER quality control proteins is mediated by single or combined action of ATF6alpha and XBP1.
2007,
Pubmed Yoshida,
XBP1 mRNA is induced by ATF6 and spliced by IRE1 in response to ER stress to produce a highly active transcription factor.
2001,
Pubmed Yuan,
Endoplasmic reticulum stress induced by tunicamycin disables germ layer formation in Xenopus laevis embryos.
2007,
Pubmed
,
Xenbase Yuan,
IRE1α is essential for Xenopus pancreas development.
2014,
Pubmed
,
Xenbase Yuan,
IRE1beta is required for mesoderm formation in Xenopus embryos.
2008,
Pubmed
,
Xenbase Zhang,
The unfolded protein response sensor IRE1alpha is required at 2 distinct steps in B cell lymphopoiesis.
2005,
Pubmed