Click here to close
Hello! We notice that you are using Internet Explorer, which is not supported by Xenbase and may cause the site to display incorrectly.
We suggest using a current version of Chrome,
FireFox, or Safari.
???displayArticle.abstract???
Chemical reagent Ex-527 is widely used as a major inhibitor of Sirtuin enzymes, which are a family of highly conserved protein deacetylases and have been linked with caloric restriction and aging by modulating energy metabolism, genomic stability, and stress resistance. However, the extent to which Ex-527 controls early developmental events of vertebrate embryos remains to be understood. Here, we report an examination of Ex-527 effects during Xenopus early development, followed by a confirmation of expressions of xSirt1 and xSirt2 in embryonic stages and enhancement of acetylation by Ex-527. First, we found that reductions in size of neural plate at neurula stages were induced by Ex-527 treatment. Second, tadpoles with short body length and large edematous swellings in the ventral side were frequently observed. Moreover, Ex-527-treated embryos showed severe gastrointestinal malformations in late tadpole stages. Taken together with these results, we conclude that the Sirtuin family start functioning at early embryonic stages and is required for various developmental events.
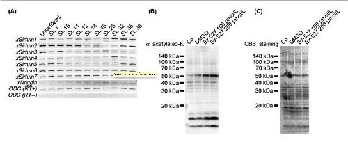
Figure 1. Expression of xSirtuins and inhibition of xSirtuin1 activity by Ex-527 treatment. (A) Reverse transcriptionâpolymerase chain reaction (RTâPCR)analyses for xSirtuin1 to 7 mRNA expressions from unfertilized egg to tadpole stage. All xSirtuins are consecutively expressed in Xenopus embryos. (B) Western blot analysis of acetylated-lysine in Ex-527-treated embryos. Embryos were treated at the 2-cell stage with 100 and 200 μmol/L of Ex-527, and extracts were collected 12 h later. Predictable band size of p53 is 53 kDa. (C) CBB staining for SDS-PAGE gel. Total amounts of proteins were not changed by any treatments.
Figure 2. Ex-527 treatments reduced the size of neural plate region. (A) Control embryo at stage 17. (B) 0.25% of dimethylsulfoxide (DMSO)-treated embryo. In both cases, the pigmented midlines of neural plate were observed from the ventral side (15/15), and no edema formation was observed. (C) Embryo treated with 100 μmol/L of Ex-527. The pigmented midlines were located at the dorsal side (15/15). No obvious edema formation was detected. (D) Embryo treated with 200 μmol/L of Ex-527. The pigmented midlines were restricted at the dorsal side (15/15). Ventral edema formations were detected (12/15). White arrowhead shows the anterior end of the pigmented midline of neural plate and black arrowhead shows the posterior end of the side. (E) Dorsal lip explants cut from control embryos were cultured in 1ÃSS. Elongations were detected in 18/20 of explants. (F) Dorsal lip explants cut from control embryos were treated with 0.25% of DMSO. Elongations were detected in 17/20 of explants. (G) Dorsal lip explants cut from control embryos were treated with 100 μmol/L of Ex-527. Elongations were detected in 17/20 of explants. (H) reverse transcriptionâpolymerase chain reaction (RTâPCR) analyses for the expression of pan-neural marker six3 and endodermal marker sox17 in dorsal lip explants. Six3 expression was reduced by treatment of Ex-527, while sox17 expression was not.
Figure 4. Ex-527 treatment induced severe gastrointestinal malformations. (A) Control embryo at stage 45. (B) Dimethylsulfoxide (DMSO)-treated embryo. (C) Embryo treated with 50 μmol/L of Ex-527. Ventral edema formations (11/12) and eye (11/12) and gastrointestinal malformation (12/12) were detected. (D) Embryo treated with 100 μmol/L of Ex-527. Ventral edema formations (11/11) and eye (11/11) and gastrointestinal malformation (11/11) were detected. (EâH) Surgically resected guts from embryos shown in AâD. The diagram of gut structure was shown on the left. These panels respectively indicate ventral and lateral views. Secondary coiled structure of gut was not detected in Ex-527-treated embryos. Scale bars of A to D represent 2 mm, and E to H 0.5 mm.
Figure 3. Ex-527 treatment induced edematous swelling, short body axis, and small head. (A,F) Control embryos at stage 38 and 41. (B,G) Dimethylsulfoxide (DMSO)-treated embryos. (C,H) Embryos treated with 50 μmol/L of Ex-527. Ventral edema formations (11/15) and eye malformations (12/15) were detected at stage 38 and 41. (D,I) Embryos treated with 100 μmol/L of Ex-527. Ventral edema formations (12/12) and eye malformations (12/12) were detected at stage 38 and 41. (E) Embryos treated with 20 mmol/L of nicotinamide. Ventral edema formations (16/18) and eye malformations (18/18) were detected at stage 38. Average lengths of embryos were decreased in dose-dependent manner. Scale bars of A to E represent 1 mm.