|
Figure 3: Expression profiles of Wnt5a, Fzd2, and Ror2 proteins in the small intestine during natural metamorphosis.
Cross sections were immunostained with anti-Wnt5a (AâC), anti-Fzd2 (DâF), or anti-Ror2 (GâI). A, D, G: Stage 57. Cells positive for Ror2 (G; arrows) are scattered only in the larval epithelium (LE). They possess the brush border (bb) on the apical surface (Inset). B, E, H: Stage 61. Cells positive for Wnt5a (B) and Fzd2 (E) are broadly distributed in every tissue except for the degenerating larval epithelium, whereas a strong immunoreactivity for Ror2 is localized in islets of the adult epithelium (AE) (H). C, F, I: Stage 66. Immunoreactivity for each protein becomes weaker. CT: connective tissue; M: muscles; Scale bars: 20 µm.
|
|
Figure 4. Ror2 expression is specific to adult epithelial stem/progenitor cells in the small intestine at stage 61. Cross sections were double-immunostained with anti-Ror2 (green) and anti-Msi1 (A; red), anti-CK19 (B; red), or anti-PCNA (C; red) antibodies, and counterstained with DAPI. Adult epithelial cells (AE) coexpress Ror2 and Msi1, CK19, or PCNA (arrows). CT: connective tissue; LE: larval epithelium. Scale bars: 20 mm. doi:10.1371/journal.pone.0107611.g004 |
|
Figure 5. Ror2 expression correlates with formation of adult epithelial stem cells in the small intestine during stages 60â62. Cross sections were immunostained with anti-Ror2 (brown) or stained with MG-PY (blue and red). AâE: Stage 60. Epithelial cells positive for Ror2 show various morphologies and are scattered in the larval epithelium (LE) (A; arrows). They include simple columnar cells possessing the brush border (bb) (B), triangular-shaped cells (C), and roundish islet-like cells close to the connective tissue (CT) (D, E), all of which are strongly stained red with MG-PY. F: Stage 61. Ror2 expression is localized in islets of the adult epithelium (AE) stained red with MG-PY. G: Stage 62. Numerous adult epithelial cells are positive for Ror2, although the immunoreactivity per each cell gradually becomes weaker. Scale bars: 20 mm. doi:10.1371/journal.pone.0107611.g005 |
|
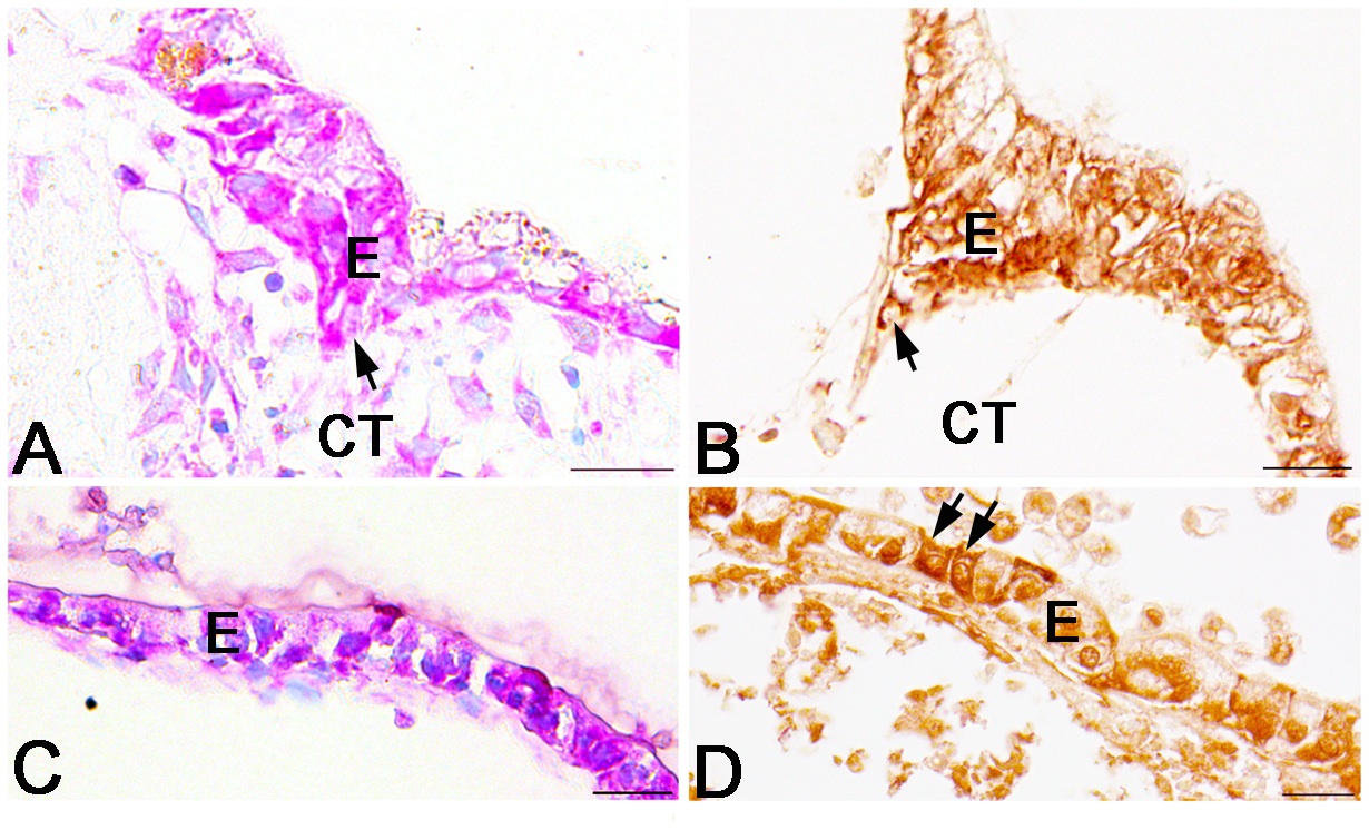
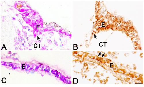
Figure 6. Effects of exogenous Wnt5a protein on tadpole intestines cultured for 5 days in the absence of T3. Cross sections were stained with MG-PY (A, C) or immunostained with anti-Ror2 (B, D). A, B: Control intestines. Cells positive for Ror2 are scattered in the simple columnar epithelium (B; arrow). C, D: Intestines cultured with the addition of Wnt5a. Epithelial cells positive for Ror2 change in morphology (arrows) and often invaginate into the connective tissue (CT). Scale bars: 20 mm.
doi:10.1371/journal.pone.0107611.g006 |
|
Figure 7. Wnt5a alone does not induce adult stem cells in tadpole intestines cultured for 5 days in the absence of T3. Cross sections were double-immunostained with anti-Ror2 (green) and anti-Msi1 (A, C; red) or anti-PCNA (B, D; red) antibodies, and counterstained with DAPI. A, B: Control intestines. The simple columnar epithelium (E) remains negative for Msi1 (A). Proliferating cells positive for PCNA are very few, if any (B). C, D: Intestines cultured with the addition of Wnt5a. Epithelial cells positive for Ror2 invaginate into the connective tissue (CT) but remain negative for Msi1 (C). Proliferating cells are more numerous than those in the control intestines and are also detectable in cells negative for Ror2 (D; arrows). Scale bars: 20 mm.
doi:10.1371/journal.pone.0107611.g007 |
|
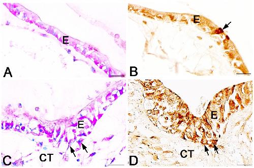
Figure 8. Effects of anti-Wnt5a antibody on T3-treated intestines cultured for 5 days. Cross sections were stained with MG-PY (A, C) or immunostained with anti-Ror2 (B, D). A, B: Intestines treated with 20 nM T3. Adult stem/progenitor cells stained strongly red with MG-PY and positive for Ror2 (A, B; arrow) invaginate into the connective tissue (CT). C, D: T3-treated intestines cultured with the addition of anti-Wnt5a antibody. The epithelium (E) remains a single layer, where cells positive for Ror2 are scattered (D; arrows). Scale bars: 20 mm.
doi:10.1371/journal.pone.0107611.g008 |
|
Figure 9. Anti-Wnt5a antibody inhibits adult stem cell formation in T3-treated intestines cultured for 5 days. Cross sections were double-immunostained with anti-Ror2 (green) and anti-Msi1 (A, C; red) or anti-PCNA (B, D; red) antibodies, and counterstained with DAPI. A, B: Intestines treated with 20 nM T3. Epithelial cells (E) invaginating into the connective tissue (CT) are double positive for Ror2 and Msi1 (A; arrow) and actively proliferate (B). C, D: T3-treated intestines cultured with the addition of anti-Wnt5a antibody. Epithelial cells positive for Ror2 remain negative for Msi1 (C). Proliferating cells are fewer than those in the T3-treated intestines in the absence of the antibody (D). Scale bars: 20 mm. doi:10.1371/journal.pone.0107611.g009 |
|
Expression profile of Wnt5a, proteins in the small intestine during natural metamorphosis. Cross sections were immunostained with anti-Wnt5a (A-C) antibody Wnt5a Ab1. Cells positive for Wnt5a (B) are broadly distributed in every tissue except for the degenerating larval epithelium at NF stage 61, becoming weaker by NF stage 66. LE: larval (foregut) epithelium; AE adult (foregut) epithelium, CT: connective tissue; M: muscles. Scale bars: 20 um. |
|
Expression profile of fzd2 proteins in the small intestine during natural metamorphosis. Cross sections were immunostained with anti-Fzd2 antibody Fzd2 Ab1. Cells positive for fzd2 are broadly distributed in every tissue except for the degenerating larval epithelium at NF stage 57 and 61 (D, E), becoming weaker by NF stage 66 (F). LE: larval (foregut) epithelium; AE adult (foregut) epithelium, CT: connective tissue; M: muscles. Scale bars: 20 um. |
|
Expression profile of ror2 proteins in the small intestine during natural metamorphosis. Cross sections were immunostained with anti-ror2 (G-H) antibody Ror2 Ab1. Cells positive for Ror2 (G; arrows) are scattered only in the larval epithelium (LE). At NF stage 57, ror2 positive cells are located in the brush border (bb) on the apical surface (see Inset in G). a strong immunoreactivity for Ror2 is localized in islets of the adult epithelium (AE) (H, NF stage 61) LE: larval (foregut) epithelium; AE adult (foregut) epithelium, CT: connective tissue; M: muscles. Scale bars: 20 um. |
|
Figure 2. Fzd2 is a direct T3 response gene.Total RNA was isolated from the intestine of premetamorphic stage 54-tadpoles treated with DMSO (Control, white bars), 50 nM T3+DMSO (T3, gray bars), cycloheximide and anisomycin (Chx, shaded bars) and 50 nM T3+Chx (T3+Chx, black bars) for 6 h following the pretreatment with DMSO or Chx for 1 h. mRNA levels of indicated genes were examined by qRT-PCR. Control vs T3 and Chx vs T3+Chx were analyzed by Student's T-test, respectively. Error bars represent the SEM (n = 4). When the both were statistically significant, the gene was determined as the direct T3 response gene [34]. *: P<0.05. |
|
Figure 10. Schematic illustration showing potential roles of Wnt5a/Ror2 signaling in adult stem cell development in the X. laevis intestine.Larval absorptive cells expressing Ror2 are scattered in the simple columnar epithelium until stage 59. At stage 60, thyroid hormone up-regulates the expression of Wnt5a, whose protein binds to Ror2 of the absorptive cells and changes their morphology from simple columnar to roundish cells close to the connective tissue. This Wnt5a/Ror2 signaling is not sufficient but essential for epithelial dedifferentiation into the stem cells. In addition, Wnt5a promotes cell proliferation via receptors other than Ror2. |
|
Figure 1. Up-regulation of Wnt5a, Fzd2, and Ror2 mRNAs in the X. laevis intestine during natural (A) and T3-induced metamorphosis (B).Total RNA was prepared from the intestine of tadpoles at indicated developmental stages (A) or stage 54-tadpoles after 10 nM T3 treatment (B), and was analyzed by qRT-PCR. The level of each mRNA is shown relative to the level of ribosomal protein L8 (rpL8) mRNA, with the values at stage 54 or day 0 of T3 treatment set to 1. Error bars represent the SEM (nâ=â4). Asterisks indicate that the transcription is significantly up- or down-regulated between the indicated stages or days after T3 treatment. *: P<0.05; **: P<0.01; ns: not significant. |
|
Figure 3. Expression profiles of Wnt5a, Fzd2, and Ror2 proteins in the small intestine during natural metamorphosis.Cross sections were immunostained with anti-Wnt5a (AâC), anti-Fzd2 (DâF), or anti-Ror2 (GâI). A, D, G: Stage 57. Cells positive for Ror2 (G; arrows) are scattered only in the larval epithelium (LE). They possess the brush border (bb) on the apical surface (Inset). B, E, H: Stage 61. Cells positive for Wnt5a (B) and Fzd2 (E) are broadly distributed in every tissue except for the degenerating larval epithelium, whereas a strong immunoreactivity for Ror2 is localized in islets of the adult epithelium (AE) (H). C, F, I: Stage 66. Immunoreactivity for each protein becomes weaker. CT: connective tissue; M: muscles; Scale bars: 20 µm. |