|
Fig. 1. Dkk1 acts at the top of the program for the myeloid cell differentiation at the ventral blood island (aVBI). (aâl) Whole-mount in situ
hybridization analysis was performed to show the expression of c/ebpa (a, b), spib (câg) and mpo (hâl) in ventral marginal zone (VMZ) explants
that had been injected with designated mRNAs or in VMZ explants without injection. RNA was injected into the prospective VMZ
at the 4-cell stage, and VMZ tissues excised from the embryo were cultured until st. 18, st. 25 or st. 30. Injection of dkk1 mRNA (50 pg)
induced the expression of c/ebpa, spib and mpo (b, d, i). Overexpression of c/ebpa also induced a certain level of spib expression (e, f,
g) and mpo (j, k, l), but intensity of expression was lower than that in the explants injected with dkk1 mRNA. (m) Reverse transcriptionpolymerase
chain reaction (RT-PCR) analysis was done to show the expression of mpo in whole embryos (WE) at st. 25 (lane 1), WE
without RT reaction (lane 2), in VMZ explants without injection (lane 3), in VMZ explants injected with dkk1 (lane 4), in VMZ explants
injected with increasing doses of c/ebpa (lanes 5â7). |
|
Fig. 2. Nkx2.5 is necessary for differentiation of heart and myeloid
cells at the ventral blood island (aVBI). Embryos were
injected with Control morpholino oligos (MO) (18.4 pmol/embryo)
(b, e, h, k) or with Nkx2.5 MO (18.4 pmol/embryo) (c, f, i, l) into
the dorsal marginal zone (DMZ) region at the 4-cell stage. Intact
embryos served as a control experiment (a, d, g, j). These
embryos were allowed to develop to appropriate stages and
were processed for whole-mount in situ hybridization to examine
the expression of c/ebpa (a, b, c), spib (d, e, f), mpo (g, h, i) and
MHCa (j, k, l). Expression of myeloid cell and heart markers was
suppressed by Nkx2.5 MO injection (c, f, i, l). In contrast,
expression of these markers was not affected by Control MO (b,
e, h, k). The number in each panel indicates the total number of
samples from three independent experiments. Stained areas of
Nkx2.5 MO-injected embryos were compared to those of control
embryos and the results were classified into three categories:
âNormalâ (positive staining with unreduced area), âReducedâ
(positive staining with reduced area) and âUndetectedâ
(no staining). Percentages of embryos with undetected, reduced
and normal expression of myeloid cell markers are shown
(m, see the details in Results). |
|
Fig. 3. Nkx2.5 is necessary for differentiation of heart and myeloid cells in dorsal marginal zone (DMZ) explants. Embryos were injected
with Control morpholino oligos (MO) (18.4 pmol/embryo) (b, e, h) and with Nkx2.5 MO (18.4 pmol/embryo) (c, f, i) into the DMZ region
at the 4-cell stage. Intact embryos served as controls (a, d, g). DMZ explants excised from these embryos were cultured until st. 18 and
processed for whole-mount in situ hybridization to examine the expression of c/ebpa (a, b, c), spib (d, e, f), and mpo (g, h, i). The number
in each panel indicates total number of samples from three independent experiments. As was observed in the experiment using
whole embryos, expression of myeloid cell markers was suppressed by injection of Nkx2.5 MO (c, f, i). In contrast, expression of myeloid
cell markers was not affected by injection of Control MO (d, e, f). |
|
Fig. 4. Effect of Nkx2.5 morpholino oligos (MO) in the myeloid cell lineage is partially recovered by simultaneous injection of c/ebpa
mRNA. (aâk) Designated mRNAs (dkk1, 50 pg; c/ebpa, 1 ng; spib, 300 pg) and Nkx2.5 MO (18.4 pmol) were injected into the ventral
marginal zone (VMZ) at the 4-cell stage. The VMZ explants were cultured until the appropriate stages and processed for whole-mount in
situ hybridization analysis to examine the expression of c/ebpa (aâc), spib (dâg), and mpo (hâk). Expression of myeloid markers was
induced by dkk1 mRNA injection (b, e, i), and expression of spib and mpo was suppressed by injection of Nkx2.5 MO (f, j). The expression
of spib and mpo was then restored by injection of c/ebpa mRNA (g, k). The number in each panel indicates total number of samples
from three independent experiments. (l) RT-PCR analysis was done to show the expression of c/ebpa, spib, mpo and ef1a in whole
embryos (WE) at st. 25 (lane 1), in WE without RT reaction (lane 2), in VMZ explants without injection (lane 3), in VMZ explants injected
with 50 pg dkk1 (lane 4), with 50 pg dkk1 and 18.4 pmol Nkx2.5 MO (lane 5), and with 50 pg dkk1, 18.4 pmol Nkx2.5 MO, and 1 ng
c/ebpa (lane 6). |
|
Fig. 5. Transcription factors expressed in the ventral blood islands (aVBI) cooperate for myeloid cell differentiation in the ventral marginal
zone (VMZ) explant. (a) RT-PCR analysis was performed in whole embryo (WE) at st. 25. (b) Designated mRNAs (c/ebpa, 1 ng; nkx2.5,
100 pg; gata4gr, 50 pg) were injected into the VMZ at the 4-cell stage. The VMZ tissues were excised at st. 10.5, and some embryos
injected with gata4gr were treated with DEX. The explants were cultured until st. 25 and RT-PCR analysis was performed to detect the
expression of mpo and ef1a in VMZ explants injected with designated mRNAs. Expression of mpo was induced by coinjection of c/ebpa
and nkx2.5 or by coinjection of c/ebpa and gata4gr. Overexpression of c/ebpa, nkx2.5 and gata4gr induced a maximum expression of mpo. |
|
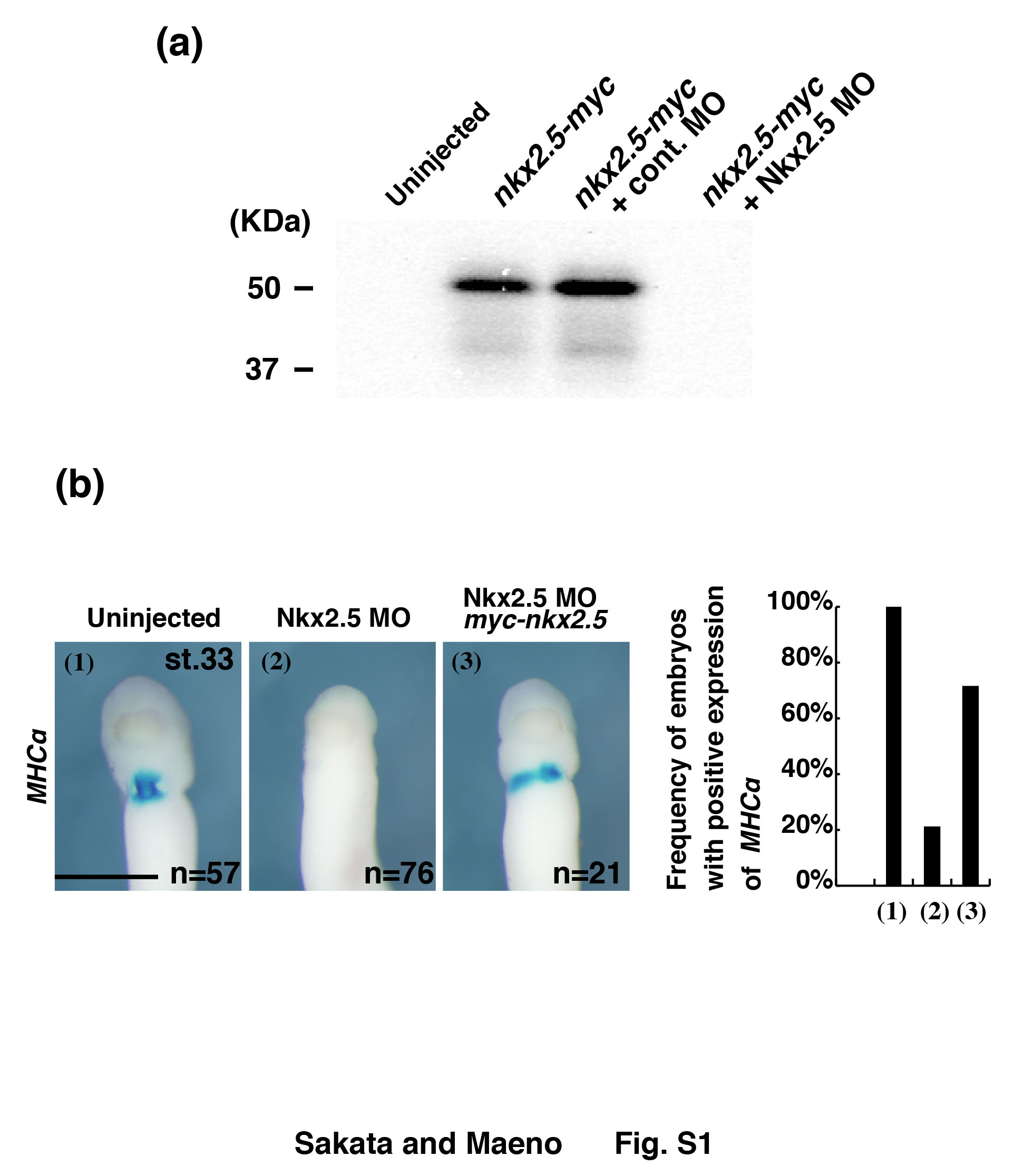
Fig. S1. Generation of Nkx2.5 Morpholino (MO) and its specificity.
ãã(a) Nkx2.5 MO was synthesized according to a previous study (Nagao et al., 2008). Western blot analysis was performed to examine the effect of Nkx2.5 MO on the translation of Nkx2.5 in oocytes. nkx2.5-myc mRNA (9.2 ng) alone or nkx2.5-myc mRNA together with Control MO (9.2 pmol) or with Nkx2.5 MO (9.2 pmol) was injected into defolliculated Xenopus oocytes. Intact oocytes served as controls. Oocytes were then cultured for 24 hours and were homogenized by pipetting in a lysis buffer (100 mM KCl, 2 mM MgCl2, 1 mM PMSF, 10 mM HEPES-KOH, pH 7.4) (4 μl/oocyte). The soluble protein fraction (20 ïg/lane) was electrophoresed in 12.5% SDS-polyacrylamide gel under a denatured condition. After blotting the proteins onto an ECL membrane, anti-myc (QE10) monoclonal antibody and peroxidase-conjugated goat anti-mouse IgG were sequentially reacted. After washing, the membrane was reacted with ECL Western Blotting Reagent Substrate for Peroxidase (Amersham) and the signal was detected with Light Capture 2 (Ato). (b) A restoration experiment was performed to show the specific effect of Nkx2.5 MO on nkx2.5 mRNA. For this purpose, Nkx2.5 MO (18.4 pmol/embryo) was injected into the DMZ at the 4-cell stage with (3) or without (2) myc-nkx2.5 mRNA. Intact embryos served as controls (1). These embryos were then fixed at st. 33 and processed for in situ hybridization to analyze the expression of MHCï¡. Expression of MHCï¡ï was clearly suppressed by Nkx2.5 MO injection (2), and its expression was rescued by coinjection of myc-nkx2.5 mRNA (100 pg) (3). Percentage of embryos with positive expression of MHCï¡ï is shown in a bar graph.
|
|
Fig. S2. Effect of Nkx2.5 MO in the myeloid cell lineage is partially recovered by simultaneous injection of myc-nkx2.5 mRNA.
ããDesignated mRNAs (dkk1, 50 pg; myc-nkx2.5, 100 pg) and Nkx2.5 MO (18.4 pmol/embryo) were injected into the VMZ at the 4-cell stage. VMZ explants were cultured until appropriate stages and processed for whole-mount in situ hybridization analysis to examine the expression of c/ebpï¡ (a-d), spib (e-h), and mpo (i-l). Expression of myeloid markers was induced by dkk1 mRNA injection (b, f, j), and expression of spib and mpo was suppressed by injection of Nkx2.5 MO (g, k). The expression of spib and mpo was then restored by injection of myc-nkx2.5 mRNA (h, l).ãThe number in each panel indicates total number of samples from one experiment. |