|
Figure 1. Change in gene expression of the macrophage marker M-CSFR and the granulocyte marker G-CSFR following injection of heat-killed bacteria.
At different time points (6, 24, 48, 72 hrs and 6 days) following injection of heat killed E. coli, peritoneal phagocytes were isolated and assessed by qRT-PCR for genes expression of M-CFSR and G-CSFR. Gene expression was normalized relative to the GAPDH control. Results are means ± SEM; (*) over bars indicates significant differences between untreated control and experimental animals (3 individual per group).
doi:10.1371/journal.pone.0112904.g001 |
|
Figure 2. Bacterial stimulation-mediated reappearance of FV3 DNA in PLs of adult frogs after viral clearance.
(A) Experimental outline. (B) PCR assay on total DNA purified from PLs harvested from 15 different outbred frogs (Experiment 3 in Table 2) at 30 dpi, and (C) PCR assay on DNA purified from PLs collected from the same animals 3 days after bacterial stimulation (35 dpi). Presence of viral DNA was assed by PCR on 50 ng of total DNA using FV3 specific primers for MCP and vDNA poly II as well as X. laevis Ef-1α as a loading control.
doi:10.1371/journal.pone.0112904.g002 |
|
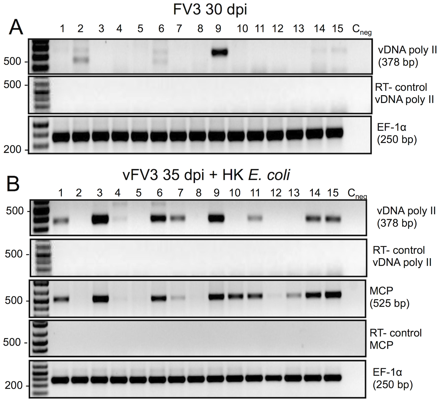
Figure 3. Detection of viral gene expression in PLs of frogs following bacterial stimulation.
RT-PCR assay of DNase-treated RNA purified from PLs harvested from the same 15 different frogs used in Fig. 2 ((Experiment 3 in Table 2) at 30 dpi (A), and 3 days later after bacterial stimulation at 35 dpi (B) using FV3 specific primers for vDNA pol and MCP as well as X. laevis Ef-1α as a loading control. RT minus controls were included to rule out contamination by genomic DNA.
doi:10.1371/journal.pone.0112904.g003 |
|
Figure 4. Survival of asymptomatic FV3 infected adult frogs following bacterial stimulation.
Kaplan-Meier curves represent outbred individual animals from three different experiments (35 total animals) that were infected with 1×106 PFU of FV3, subjected to a peritoneal lavage at 30 dpi, injected with heat-killed bacteria and subjected to another peritoneal lavage at 35 dpi, then monitored daily for signs of FV3 infection and death for 60 days (FV3+HK E. coli). Control animals included a group of 18 uninfected animals injected with saline vehicle (APBS), a group of 33 animals shame-infected with APBS that underwent peritoneal lavages and bacterial stimulation (HK E. coli), and a group of 40 animals infected with 1×106 FV3 (FV3). Statistical analysis was performed using the log-rank test (Mantel Cox) of a GraphPad Prism version 6.00 for Windows, La Jolla California USA, (URL: www.graphpad.com). The result are as follows: APBS vs HK E. coli, P<0.1; APBS vs FV3, P<0.1; APBS vs FV3+HK E coli, P<0.001; HK E. coli P vs FV3+HK E. coli, P<0.001.
doi:10.1371/journal.pone.0112904.g004 |
|
Figure 5. PCR diagnostic of asymptomatic FV3 infected adult frogs that died following bacterial stimulation.
PCR was performed on DNA extracted from spleen (Spl), liver (Liv) and kidneys (Kid) of a representative of frogs that died 15, 18 or 29 days after bacterial stimulation (45, 48 or 59 dpi, respectively) using primers specific for FV3 MCP, vDNA poly II and EF-1α as control.
doi:10.1371/journal.pone.0112904.g005 |
|
Figure 6. Visualization by immunofluorescence of infected peritoneal monocytic leukocytes from asymptomatic FV3 infected adult frogs following bacterial stimulation.
PLs were harvested from uninfected controls (A, E) or asymptomatic FV3 infected outbred animals 3 days after bacterial stimulation (B, C D). Cells were cytocentrifuged on microscope slides, fixed with formaldehyde, permeabilized with ethanol, then stained with a rabbit anti-53R and Dylight 488-conjugated donkey anti-rabbit Abs (green) followed by anti-HAM56 mAb and Dylight 594-conjugated anti mouse Ab (red). Cells were then stained with the DNA dye Hoechst-33258 (Blue) mounted in anti-fade medium and visualized with a Leica DMIRB inverted fluorescence microscope. Bar represents 10 µm in each panel. (A) PLs from a bacterially stimulated, non-FV3 infected frog stained with anti-HAM mAb; (B) PLs with low level of 53 specific signal from reactivated asymptomatic FV3 infected animals; (C, D) PLs with high levels of 53 specific signal from reactivated asymptomatic FV3 infected animals; (E) PLs from a bacterially stimulated, non-FV3 infected frog stained with anti-53R Ab.
doi:10.1371/journal.pone.0112904.g006 |
|
Figure 7. Comparison of viral gene expression and infectious virus produced by PLS and A6 kidney cell line infected in vitro with FV3.
PLs from uninfected outbred animals and Xenopus A6 kidney cells were seeded at 1×106 cells/well and infected with a MOI of 1 for (A) 24 and 48 hrs or (B) 2, 4, 9, 24 hrs. (A) The PLs and A6 cultures infected for 24 and 48 hrs were assessed for FV3 vDNA Pol II gene expression by the delta∧deltaCT method qRT-PCR, using GAPDH as an endogenous control. (B) The FV3 infectious burdens were enumerated by performing plaque assays on FV3-infected PLs and A6 culture lysates. Results are means ± SEM, N = 3.
doi:10.1371/journal.pone.0112904.g007 |
|
Figure 8. Detection of infectious virus in kidneys but not PLs of reactivated asymptomatic infection.
(A) PCR assay on total DNA purified from PLs harvested from 10 different outbred frogs at 30 dpi and 35 dpi, (3 days after bacterial stimulation). Presence of viral DNA was assed by PCR on 50 ng of total DNA using FV3 specific primers for MCP as well as X. laevis Ef-1α as a loading control. (B) Number of infectious FV3 (PFU/ml/whole kidney) detected in kidney by plaque assay for frogs number (#) 3, 5, 6, 7, 10 from A sacrificed at 35 dpi. (C) Number of infectious FV3 detected by plaque assay from PLs and kidneys of FV3 infected frogs at 3, 6 and 33 dpi (3 individual for each time point).
doi:10.1371/journal.pone.0112904.g008 |