Click here to close
Hello! We notice that you are using Internet Explorer, which is not supported by Xenbase and may cause the site to display incorrectly.
We suggest using a current version of Chrome,
FireFox, or Safari.
Gen Comp Endocrinol
2015 Oct 01;222:11-9. doi: 10.1016/j.ygcen.2014.09.001.
Show Gene links
Show Anatomy links
Molecular and cellular characterization of urinary bladder-type aquaporin in Xenopus laevis.
Shibata Y, Katayama I, Nakakura T, Ogushi Y, Okada R, Tanaka S, Suzuki M.
???displayArticle.abstract???
In contrast to many anuran amphibians, water is not reabsorbed from the urinary bladder in aquatic Xenopus, thereby helping to prevent excessive water influx. However, little is known about the molecular mechanisms for this process. In the present study, we have identified urinary bladder-type aquaporin, AQP-x2, in Xenopus laevis by cDNA cloning. The predicted amino acid sequence contained six putative transmembrane domains and the two conserved Asn-Pro-Ala motifs, characteristic of AQPs. The sequence also contained a putative N-glycosylation site and phosphorylation motifs for protein kinase A and protein kinase C. The oocyte swelling assay showed that AQP-x2 facilitated water permeability. Reverse transcription-PCR analysis indicated that AQP-x2 mRNA was expressed in the urinary bladder and lung, and faintly in the kidney. Immunomicroscopical study further localized AQP-x2 protein to the cytoplasm of granular cells in the luminal epithelium of the urinary bladder whilst AQP3 was observed along the basolateral side of these cells. In vitro stimulation of the urinary bladder with 10(-8)M vasotocin (AVT), 10(-8)M hydrin 1, or 10(-8)M hydrin 2 had no clear effect on the subcellular distribution of AQP-x2. When the AVT concentration was increased to 10(-6)M, however, AQP-x2 was partially transferred to the apical plasma membrane. The treatment with hydrin 1 or hydrin 2 at the same concentration failed to induce the translocation to the apical membrane. On the other hand, AQP3 remained along the basolateral side even after the treatment with vasotocin or hydrins. The results suggest that the poor responsiveness of AQP-x2 to neurohypophyseal peptides may be a main cause for the little water permeability of the urinary bladder of X. laevis.
Fig. 1.
Comparison of amino acid sequences among human AQP2, Xenopus laevis AQP-x3, X. laevis AQP-x2, X. tropicalis AQP-xt2, Bufo marinus AQP-t2, and Hyla japonica AQP-h2. A pair of Asn-Pro-Ala motifs (circles) and the mercurial-inhibition site (diamond) are conserved in all the AQPs. The phenylalanine, histidine, cysteine, and arginine residues (stars) are presumed to be important for aromatic/arginine constriction, as in mammalian AQP1 ( Fu and Lu, 2007 ; Hub et al., 2009). Potential phosphorylation sites for protein kinase C (open triangles) and protein kinase A (solid triangles) in AQP-x2 are conserved in AQP-xt2, AQP-t2, AQP-h2, and AQP2. One or two N-glycosylation sites (squares) are predicted in all the AQPs. Top lines indicate the predicted membrane-spanning domains of AQP2. Gaps marked by hyphens (-) are inserted to optimize homology. The accession numbers are listed in Supplemental Table S1.
Fig. 2.
Phylogenetic relationships among AQPa2, AQP2, AQP5, and AQP6, seen in a NJ tree of AQP proteins from fish to humans. The AQPa2 cluster is divided into urinary bladder-type (AQPa2U) and ventral skin-type (AQPa2S). Xenopus laevis AQP-x2 is assigned into AQPa2U. The length of each branch is shown in the units of the number of amino acid differences per residue, and the numbers around the branches are bootstrap probabilities (percent; 10,000 replicates). The accession numbers are listed in Supplemental Table S1.
Fig. 3.
Swelling assay for AQP-x2. (A) Time course of the osmotic swelling. Oocytes were microinjected with water or AQP-x2 cRNA. The AQP-x2-injected oocytes were incubated with no additive, with 50 μM forskolin (FSK) alone, or with 50 μM FSK plus 0.3 mM HgCl2. The recovery of the HgCl2-induced inhibition was further examined by incubating the oocytes in 5 mM 2-mercaptoethanol (2ME). 5 oocytes were used in each experimental group. (B) Pf was calculated from the initial rate of oocyte swelling. The data are shown as the mean ± SEM of measurements from 5 oocytes per group. Different lower-case letters denote statistically significant differences (P < 0.05).
Fig. 4.
Tissue distribution of AQP-x2 mRNA in Xenopus laevis, determined by RT-PCR analysis. Total RNA (1 μg) from various tissues were reverse-transcribed and amplified by PCR with specific AQP-x2 primers. An amplified band for AQP-x2 mRNA was detected in the urinary bladder, kidney, and lung. The expression of β-actin mRNA, an endogenous control, was seen in all the tissues examined.
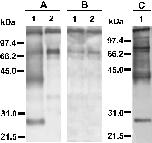
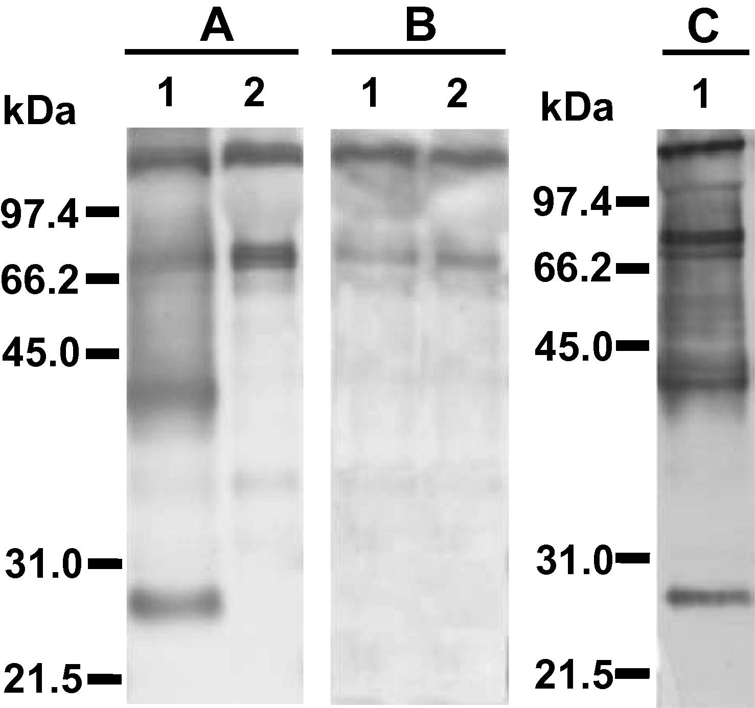
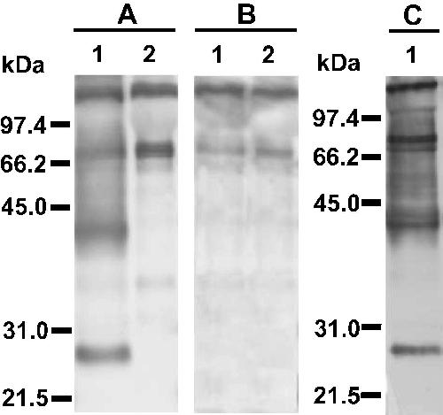
Fig. 5.
Western blot analysis of AQP-x2 protein using anti-AQP-h2 antibody. Total cell homogenate was prepared from the Xenopus laevis oocytes microinjected with AQP-x2 cRNA or MilliQ water (A and B), and X. laevis urinary bladder (C). These proteins (10 μg) were separated on 12% SDS–PAGE and immunoblotted with anti-AQP-h2 antibody. A: Immunoreactive bands were seen at 29 kDa and 41–66 kDa in the AQP-x2-injected oocytes (lane 1), but not in the water-injected oocytes (lane 2). B: The proteins from the AQP-x2-injected oocytes (lane 1) and water-injected oocytes (lane 2) were immunostained with the antiserum preabsorbed with 10 μg/ml antigen peptide. C: Immunoreactive bands of 29 kDa and 41–66 kDa were detected in the urinary bladder.
Fig. 6.
Double-immunofluorescence staining against AQP-x2 and AQP3 (A), and AQP-x2 and V-ATPase E-subunit (C) in the urinary bladder of Xenopus laevis. A: Immunolabelling for AQP-x2 (red) was visualized in the cytoplasm of granular cells in the luminal epithelium, but the subapical cytoplasm was devoid of distinct labels. Immunoreactive AQP3 (green) was located along the basolateral side of granular cells. (B) Nomarski differential interference-contrast image corresponding to A. (C) No labels for AQP-x2 (red) were seen in the mitochondrion-rich cells immunopositive for V-ATPase E-subunit (green; arrow). (D) Nomarski differential interference-contrast image corresponding to C. Arrowheads and double arrowheads indicate the apical side and basolateral side of granular cells, respectively. Nuclei are counter-stained with DAPI (blue). et, epithelium; lu, lumen; sm, submucosa. The scale bar = 10 μm.
Fig. 7.
Immunofluorescence images of the urinary bladder in the in vitro experiment. In the control, immunopositive labels for AQP-x2 (red) were located in the cytoplasm of luminal granular cells, but the subapical cytoplasm lacked distinct labels. No distinct labelling for AQP-x2 was detected in the subapical cytoplasm even after the urinary bladder was treated with 10â8 M AVT, 10â8 M hydrin 1, 10â8 M hydrin 2, 10â6 M hydrin 1 or 10â6 M hydrin 2. However, immunoreactive AQP-x2 tended to move apically after the treatment with 10â6 M hydrin 2. On the other hand, labels were observed in the apical side and cytoplasm, including the subapical region, of a number of granular cells after 10â6 M AVT stimulation. AQP3 resided along the basolateral side of granular cells and did not change its localization after any treatment with AVT or hydrins. Arrowheads indicate the apical side of granular cells. Nuclei are counter-stained with DAPI (blue). et, epithelium; lu, lumen; sm, submucosa. Insets show high magnification images. Asterisks denote non-specific labelling. The scale bar = 10 μm.
Fig. 8.
Ultrastructual localization of AQP-x2 in the epithelial granular cells of the urinary bladder by immunogold electron microscopy. (A) In the control, immunopositive particles representing AQP-x2 were located on intracellular vesicles in granular cells (arrows), but not in the subapical cytoplasm. (B) After stimulation with 10−6 M AVT, the particles were observed on the apical plasma membrane (arrowheads), including the surface of microvilli, and in the cytoplasm (arrows). lu, lumen; n, nucleus. The scale bar = 500 nm.