XB-ART-49734
Gen Comp Endocrinol
2015 Apr 01;214:103-13. doi: 10.1016/j.ygcen.2014.06.009.
Show Gene links
Show Anatomy links
Global gene expression during early differentiation of Xenopus (Silurana) tropicalis gonad tissues.
???displayArticle.abstract???
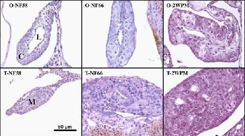
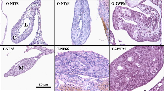
African clawed frog Xenopus sp. is used extensively for developmental biology and toxicology research. Amid concerns of environmental pollutants disrupting endocrine systems and causing altered reproductive development in wildlife, eco-toxicology research has led to a focus on linking molecular initiating events to population-level effects. As such, efforts to better understand reproductive development at the molecular level in these model species are warranted. To that end, transcriptomes were characterized in differentiating Xenopus tropicalis gonad tissues at Nieuwkoop and Faber (NF) stage 58 (pro-metamorphosis), NF66 (completion of metamorphosis), 1week post-metamorphosis (1WPM), and 2weeks post-metamorphosis (2WPM). Differential expression analysis between tissue types at each developmental stage revealed a substantial divergence of ovary and testis transcriptomes starting between NF58 and NF66; transcriptomes continued to diverge through 2WPM. Generally, testis-enriched transcripts were expressed at relatively constant levels, while ovary-enriched transcripts were up-regulated within this developmental period. Functional analyses of differentially expressed transcripts allowed linkages to be made between their putative human orthologues and specific cellular processes associated with differentiating gonad tissues. In ovary tissue, genetic programs direct germ cells through meiosis to the diplotene stage when maternal mRNAs are transcribed and trafficked to oocytes for translation following fertilization. In the testis, gene expression is consistent with connective tissue development, tubule formation, and germ cell support (Leydig and Sertoli cells). This dataset exhibited remarkable consistency with transcript profiles previously described in gonad tissues across species, and emphasizes the universal importance of certain transcripts for germ cell development and preparation of these tissues for reproduction.
???displayArticle.pubmedLink??? 24960269
???displayArticle.link??? Gen Comp Endocrinol
???displayArticle.gses??? GSE58612: NCBI
???attribute.lit??? ???displayArticles.show???
