XB-ART-49833
Cytoskeleton (Hoboken)
2014 Mar 01;713:195-209. doi: 10.1002/cm.21164.
Show Gene links
Show Anatomy links
Abelson phosphorylation of CLASP2 modulates its association with microtubules and actin.
Engel U, Zhan Y, Long JB, Boyle SN, Ballif BA, Dorey K, Gygi SP, Koleske AJ, Vanvactor D.
???displayArticle.abstract???
The Abelson (Abl) non-receptor tyrosine kinase regulates the cytoskeleton during multiple stages of neural development, from neurulation, to the articulation of axons and dendrites, to synapse formation and maintenance. We previously showed that Abl is genetically linked to the microtubule (MT) plus end tracking protein (+TIP) CLASP in Drosophila. Here we show in vertebrate cells that Abl binds to CLASP and phosphorylates it in response to serum or PDGF stimulation. In vitro, Abl phosphorylates CLASP with a Km of 1.89 µM, indicating that CLASP is a bona fide substrate. Abl-phosphorylated tyrosine residues that we detect in CLASP by mass spectrometry lie within previously mapped F-actin and MT plus end interaction domains. Using purified proteins, we find that Abl phosphorylation modulates direct binding between purified CLASP2 with both MTs and actin. Consistent with these observations, Abl-induced phosphorylation of CLASP2 modulates its localization as well as the distribution of F-actin structures in spinal cord growth cones. Our data suggest that the functional relationship between Abl and CLASP2 is conserved and provides a means to control the CLASP2 association with the cytoskeleton.
???displayArticle.pubmedLink??? 24520051
???displayArticle.pmcLink??? PMC4054870
???displayArticle.link??? Cytoskeleton (Hoboken)
???displayArticle.grants??? [+]
R01 NS035909 NINDS NIH HHS , R01-NS35909 NINDS NIH HHS , T32 CA009361 NCI NIH HHS , T32-CA009361-30 NCI NIH HHS , BB/J005983/1 Biotechnology and Biological Sciences Research Council
Species referenced: Xenopus
Genes referenced: abl1 actb actl6a herpud1 myc pdgfa tbx2 tff3.7 tub
???attribute.lit??? ???displayArticles.show???
|
|
Fig. 1. CLASP2 is tyrosine-phosphorylated by Abl kinase. GFP-CLASP2α was immunoprecipitated from transfected HEK293T cells following starvation and serum treatment for 30 min in the presence or absence of STI-571 (1 µM), a specific Abl inhibitor. Abl-PP is a constitutively active Abl kinase and was co-transfected with GFP-CLASP2α as indicated. Tyrosine phosphorylation of CLASP2α was identified by anti-phosphotyrosine antibody 4G10. The lower band visible in the 4G10 blot is the IgG heavy chain. Re-blotting for GFP shows an equal amount of GFP-CLASP2α immunoprecipitated in each lane. |
|
|
Fig. 2. CLASP2 phosphorylation and interaction with Abl are enhanced by PDGF treatment. A: CLASP2α is associated with endogenous Abl. Lysates from HEK293T cells transfected with either GFP-CLASP2α or GFP (as indicated above lanes) were immunoprecipitated with anti-GFP antibody, probed with anti-CLASP2 (a gift from Anna Akhmanova left panel), stripped and reprobed with anti-Abl antibody (right panel). 1/20th of lysates from cells transfected with GFP-CLASP2α were loaded as controls. B: Increased phosphorylation of Abl after PDGF stimulation. Abl was immunoprecipitated from GFP-CLASP2α transfected 293T cells, which were serum starved and subsequently treated with PDGF for 5 min. A similar level of Abl was immunoprecipitated with and without stimulation (upper panel anti-Abl) while its phosphorylation was increased significantly after PDGF treatment as revealed by anti-phosphotyrosine antibody 4G10 (lower panel). C: PDGF increases association between Abl and CLASP2. Upper panel shows CLASP2 immunoprecipitated by Abl antibody. Lower panel shows phosphorylated CLASP2 by 4G10. GFP transfection alone does not change 4G10 signal (data not shown). |
|
|
Fig. 3. Phosphorylation of CLASP2γ by Abl in cells and in vitro. A: CLASP2γ is phosphorylated by Abl-PP in Cos-7 cells. Co-expression of the constitutive active Abl-PP reduces the mobility of CLASP2γ-myc in SDS-electrophoresis. This mobility is slightly enhanced by treatment of cells with STI-571. Treatment of cell lysates with CIP enhances the mobility in SDS-gels even further, suggesting CIP further de-phosphorylate CLASP2γ. B: In vitro phosphorylation of CLASP (25 nM) by purified Abl (10 nM) was assayed by 4G10 signal. Both recombinant proteins were produced and purified using a baculoviral expression system. C: Increasing concentrations of purified His-CLASP2γ were incubated with 10 nM recombinant Abl in the presence of γ-p32ATP. D: Quantification of concentration dependence by normalized pixel intensity shows a sigmoidal relationship between substrate concentration and phosphorylation. Data from six independent experiments are shown. Data were fit to the Hill equation with R2 = 0.96. |
|
|
Fig. 4. Identification of CLASP2 tyrosine phosphorylation sites. A: Schematic representation of human CLASP2 constructs and levels of tyrosine phosphorylation. Several N-terminal and C-terminal truncations of CLASP2γ fused to EGFP were tested for in vitro phosphorylation in Cos-7 cells (see B) and the region between the SacI and BamHI restriction sites was identified to be necessary for efficient phosphorylation. This contains the domain necessary for plus end binding (CLASP2-M, [Mimori-Kiyosue et al., 2005]) which was also shown to bind actin [Tsvetkov et al., 2007]. Within this domain the phospho-tyrosines identified by mass spec analysis of full length CLASPα, after serum induction Y800 and Y807, are highlighted in red. Significant phosphorylation of serine 790 or threonine 791 (shown in green) was also observed. The tyrosines identified in mass spec are downstream of two cassettes of GSK-phosphorylation sites (here shown in blue [Kumar et al., 2009]). B: GFP-CLASP fusions were expressed in Cos-7 cells together with Abl-PP and analyzed after IP for tyrosine phosphorylation levels by 4G10 antibody. The results for several truncations of CLASP2 are summarized in A. C: The region containing phosphotyrosines Y800 and Y807 is conserved across many mammalian CLASP2 isoforms and the individual sequences are shown here. Also shown is the predicted region for mouse CLASP2β. Total RNA was harvested from a variety of embryonic mouse tissues, reverse transcribed, and PCR performed for CLASP2. In all neuronal tissues tested (brain, spinal cord, dorsal root ganglion), sequencing of the amplified region identified both a short and long isoform that differed in this phosphotyrosine containing region (data not shown). |
|
|
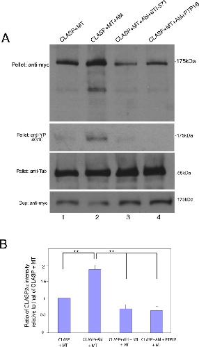
Fig. 5. Modulation of CLASP2α binding to MTs by Abl kinase. Purified CLASP2α-myc-His was incubated with taxol-stabilized MT bundles (see Materials and Methods) for 30 min with the components indicated above the lanes. The mixture was centrifuged and the pellet was collected and analyzed by Western blot using an antibody directed against myc to detect CLASP2α. Blots were re-probed with the anti-phosphotyrosine antibody 4G10 and anti-tubulin (anti-tub). Increased amounts of CLASP2α were pelleted with stabilized MTs in the presence of Abl (Lane 2) compared to the absence of Abl (Lane 1), STI-571 treatment (Lane 3), or protein tyrosine phosphatase 1B (PTP1B) (1 µg/µl) treatment (Lane 4). In Lanes 3 and 4 more stabilized MTs were present in the reaction than in Lanes 1 and 2. Additional stabilized MTs were added to the reaction and pelleted in Lanes 3 and 4. Sup: supernatants. B: Quantification of blots shown in (A). Error bars represent standard error of the mean, **P < 0.01. [Color figure can be viewed in the online issue, which is available at http://wileyonlinelibrary.com.] |
|
|
Fig. 6. Abl regulates CLASP2 binding to microfilaments. A: F-actin filaments were incubated with purified CLASP-myc-His with or without Abl and other reagents as indicated above lanes. After centrifugation, equal amounts of pellet (top panel) and the input (lower panel) were analyzed for each treatment with antibodies to actin, anti-myc for detection of CLASP2α-myc-His, and anti-tubulin. B: Purified CLASP2α-myc-His was incubated with taxol-stabilized MT bundles (see Materials and Methods) for 30 min with the components indicated above lanes. Monomeric (G) actin was added to the reaction instead of filamentous (F) actin. The mixture was centrifuged and the pellet was collected and analyzed by Western blot using antibodies directed against actin, tubulin, and myc (to detect CLASP2α). G-actin pellets with MTs in the presence of CLASP2α (Lane 1), but not in the absence of CLASP2 (Lane 2). Abl enhances the association of G-actin with MTs (Lane 3) and this association is abolished with STI-571 (Lane 4). Bottom panels show the input (1/10 of the total reaction volume) of both CLASP and G-actin. |
|
|
Fig. 7. High Abl-activity relocalizes CLASP to Abl induced growth cone adhesive plaques. CLASP2 localization in neuronal growth cones depends on Abl activity. Live growth cones expressing indicated constructs were subjected to fast optical sectioning by spinning disk confocal microscopy followed by deconvolution for better localization accuracy. The resulting image stacks are displayed as single optical slices (z distance to substrate in µm is indicated) and as maximum projection through the stack (max. proj.); the result of a 3D thresholding is overlaid in red (iso-data). A: GFP-CLASP2γ (GFP-CLASP) co-expression with constitutive active Abl (Abl-PP) results in accumulation of GFP-CLASP2γ in the middle of the growth cone (red arrows) close to the substrate (z = 0.2 and z = 0.7), only weak residual MT plus end tracking is detected (white arrows, see also Supporting Information Movie S2). B: Enlarged insert of A (plane z = 0.7) indicates GFP-CLASP2γ accumulation in adhesive plaques (red arrow) and localization to plus ends (white arrows). C: Quantification of GFP-CLASP2γ-positive comets per volume in wild type (wt) versus Abl-PP expressing neurons. Error bars represent standard error of the mean. (P < 0.05). D: Dynamic localization of GFP-CLASP2γ in the same growth cone as shown in A. Arrow follows CLASP2γ-positive growing MT end (see also Supporting Information Movie S1). E: GFP-CLASP2γ expressing wild-type growth cone shows typical MT plus end tracking in the periphery (white arrows in insert, see also Supporting Information Movie S2). F: GFP-CLASP2γ localization of Abl-PP expressing growth cones treated with 10 µM STI571 is indistinguishable from the localization of GFP-CLASP2γ in the control growth cone in E. Inserts show plus end tracking (see also Supporting Information Movie S3). Scale bars in A, E, and F: 10 µm; in B and D: 2 µm. Magnified inserts in E and F are 10 µm × 5 µm and 9 µm × 5 µm in size, respectively. |
|
|
Fig. 8. Actin accumulates in Abl-induced adhesion plaques. A–D: Differential interference contrast (left side) and wide field fluorescence of GFP-actin of live growth cones which express GFP-actin only (A), GFP-actin co-expressed with constitutive active Abl (Abl-PP; B) or GFP-actin with Xenopus Abl (Xabl; C and D). The presence of Abl-induced adhesive plaques is indicated in bright field images (black arrows) and accumulation of GFP-actin (B, D) with white arrows. E: Quantification of growth cone advance in ctl, and Xabl growth cones which show adhesive plaques (as in D; Xabl strong), or weak actin accumulation (as in C; Xabl weak). Error bars represent standard error of the mean (*P < 0.025, **P < 0.01.) F–G: Immunolocalization of Abl (red) in growth cones expressing GFP-CLASP2γ (green) and Abl-PP with corresponding bright field images. Abl induced structures (white arrows) appear as round adhesive plaques (F) or as half circular fronts of Abl and CLASP2 accumulation (G, insert in I). H,I: Fluorescence intensity distribution of Abl and CLASP2 evaluated by intensity profiles (10 pixel integration). H: Intensity profiles shown in F as p1, p2. I: Profile across the ridge of the circular structure in G (region and direction of profile shown as arrow in insert). Scale bars are 10 μm. |
References [+] :
Akhmanova,
Clasps are CLIP-115 and -170 associating proteins involved in the regional regulation of microtubule dynamics in motile fibroblasts.
2001, Pubmed
Akhmanova, Clasps are CLIP-115 and -170 associating proteins involved in the regional regulation of microtubule dynamics in motile fibroblasts. 2001, Pubmed
Barilá, An intramolecular SH3-domain interaction regulates c-Abl activity. 1998, Pubmed
Bashaw, Repulsive axon guidance: Abelson and Enabled play opposing roles downstream of the roundabout receptor. 2000, Pubmed
Baum, Spatial control of the actin cytoskeleton in Drosophila epithelial cells. 2001, Pubmed
Bear, Negative regulation of fibroblast motility by Ena/VASP proteins. 2000, Pubmed
Boyle, A critical role for cortactin phosphorylation by Abl-family kinases in PDGF-induced dorsal-wave formation. 2007, Pubmed
Colicelli, ABL tyrosine kinases: evolution of function, regulation, and specificity. 2010, Pubmed
Comer, Phosphorylation of Enabled by the Drosophila Abelson tyrosine kinase regulates the in vivo function and protein-protein interactions of Enabled. 1998, Pubmed
Drabek, Role of CLASP2 in microtubule stabilization and the regulation of persistent motility. 2006, Pubmed
Druker, Effects of a selective inhibitor of the Abl tyrosine kinase on the growth of Bcr-Abl positive cells. 1996, Pubmed
Efimov, Asymmetric CLASP-dependent nucleation of noncentrosomal microtubules at the trans-Golgi network. 2007, Pubmed
Elkins, Genetic analysis of a Drosophila neural cell adhesion molecule: interaction of fasciclin I and Abelson tyrosine kinase mutations. 1990, Pubmed
Gertler, enabled, a dosage-sensitive suppressor of mutations in the Drosophila Abl tyrosine kinase, encodes an Abl substrate with SH3 domain-binding properties. 1995, Pubmed
Gertler, Drosophila abl tyrosine kinase in embryonic CNS axons: a role in axonogenesis is revealed through dosage-sensitive interactions with disabled. 1989, Pubmed
Gundersen, Evolutionary conservation of microtubule-capture mechanisms. 2002, Pubmed
Harbott, A key role for Abl family kinases in EphA receptor-mediated growth cone collapse. 2005, Pubmed
Heng, Actin cytoskeleton dynamics and the cell division cycle. 2010, Pubmed
Hernández, How do Abl family kinases regulate cell shape and movement? 2004, Pubmed
Hur, GSK3 controls axon growth via CLASP-mediated regulation of growth cone microtubules. 2011, Pubmed
Jiang, Microtubule tip-interacting proteins: a view from both ends. 2011, Pubmed
Kodama, Coordinating cytoskeletal tracks to polarize cellular movements. 2004, Pubmed
Komarova, Cytoplasmic linker proteins promote microtubule rescue in vivo. 2002, Pubmed
Krause, Lamellipodin, an Ena/VASP ligand, is implicated in the regulation of lamellipodial dynamics. 2004, Pubmed
Kumar, GSK3beta phosphorylation modulates CLASP-microtubule association and lamella microtubule attachment. 2009, Pubmed
Lee, The microtubule plus end tracking protein Orbit/MAST/CLASP acts downstream of the tyrosine kinase Abl in mediating axon guidance. 2004, Pubmed , Xenbase
Lowery, Parallel genetic and proteomic screens identify Msps as a CLASP-Abl pathway interactor in Drosophila. 2010, Pubmed
Marx, Xenopus cytoplasmic linker-associated protein 1 (XCLASP1) promotes axon elongation and advance of pioneer microtubules. 2013, Pubmed , Xenbase
Michael, c-Abl, Lamellipodin, and Ena/VASP proteins cooperate in dorsal ruffling of fibroblasts and axonal morphogenesis. 2010, Pubmed
Miller, The Abl-related gene (Arg) requires its F-actin-microtubule cross-linking activity to regulate lamellipodial dynamics during fibroblast adhesion. 2004, Pubmed
Miller, Golgi-derived CLASP-dependent microtubules control Golgi organization and polarized trafficking in motile cells. 2009, Pubmed
Mimori-Kiyosue, CLASP1 and CLASP2 bind to EB1 and regulate microtubule plus-end dynamics at the cell cortex. 2005, Pubmed
Moresco, Abl family nonreceptor tyrosine kinases modulate short-term synaptic plasticity. 2003, Pubmed
Moresco, Integrin-mediated dendrite branch maintenance requires Abelson (Abl) family kinases. 2005, Pubmed
Patel, Multiple domains of human CLASP contribute to microtubule dynamics and organization in vitro and in Xenopus egg extracts. 2012, Pubmed , Xenbase
Plattner, c-Abl is activated by growth factors and Src family kinases and has a role in the cellular response to PDGF. 1999, Pubmed
Rodriguez, Conserved microtubule-actin interactions in cell movement and morphogenesis. 2003, Pubmed
Shimizu, ABL2/ARG tyrosine kinase mediates SEMA3F-induced RhoA inactivation and cytoskeleton collapse in human glioma cells. 2008, Pubmed
Tanis, Two distinct phosphorylation pathways have additive effects on Abl family kinase activation. 2003, Pubmed
Toyofuku, Guidance of myocardial patterning in cardiac development by Sema6D reverse signalling. 2004, Pubmed
Tsvetkov, Microtubule-binding proteins CLASP1 and CLASP2 interact with actin filaments. 2007, Pubmed , Xenbase
Wills, The tyrosine kinase Abl and its substrate enabled collaborate with the receptor phosphatase Dlar to control motor axon guidance. 1999, Pubmed
Wills, Profilin and the Abl tyrosine kinase are required for motor axon outgrowth in the Drosophila embryo. 1999, Pubmed
Wittmann, Spatial regulation of CLASP affinity for microtubules by Rac1 and GSK3beta in migrating epithelial cells. 2005, Pubmed
Yu, Multiple signaling interactions of Abl and Arg kinases with the EphB2 receptor. 2001, Pubmed
