|
Fig. 1.
ALAS2 sequence alignment and identities. Alignment of Alas2 protein sequences from Xenopus (type A Accession No. NP_001087499; type B Accession No. AAH84616), human (Accession No. NP_000023), mouse (Accession No. NP_033783), and zebrafish (Accession No. NP_571757). The yellow box indicates the heme regulatory motif (CP motif [Arg, Lys or Asn]-Cys-Pro-[Lys or hydrophobic residue]-[Lue or Met]). The blue box indicates the catalytic core domain. The green arrowhead indicates the site of precursor protein processing by mitochondrial peptidase. |
|
Fig. 2.
Xalas2 and erythrocyte-related gene expression in X. laevis embryos. (A) RT-PCR analysis of Xalas2 type a and b expression during Xenopus development. Ornithine decarboxylase (odc) served as an internal control. Whole-mount in situ hybridization analysis using Xalas2 antisense probe (BâF, Dâ²âFâ², Eâ², Fâ²), hba3 (GâJ, Iâ², Jâ²), and scl (KâN). (B) Stage 15: ventral view shows weak Xalas2 expression in the primitive hemangioblast (arrowhead). (C) Stage 18: expression in the primitive hemangioblast is extensive as viewed from the ventral side. (D, Dâ²) Stage 23, (E, Eâ²) stage 34: ventral, lateral views of the same embryo show extensive staining in the ventral blood island (VBI; arrow mark). (F, Fâ²) Stage 38: expression of alas2 is extensive in the circulatory system (ventral and lateral views). Eosin-stained sections showing Xalas2 expression in stage 34 (Eâ²) and stage 38 (Fâ²), and hba3 expression in the same stage (Iâ², Jâ²). Transverse sections in panels Eâ², Fâ², Iâ², Jâ² of embryos are from the respective positions of the red lines in panels Eâ², Fâ², I, J. DLP, dorsal lateral plate; AA, aortic arch; PCV, posterior cardinal vein. Scale bars in stages 15, 18, and 23 indicate 0.5 mm; in stages 34 and 38, the bar represents 0.1 mm. |
|
Fig. 3.
Hemoglobin staining in Xalas2-MO injected and succinylacetone-treated embryos. The control-MO injected embryo (ventral vegetal) (A, A′). Hemoglobin staining in Xalas2 MO-injected embryo (B, B′), succinylacetone (C, C′, D, D′). Embryo treated with 0.25 mM succinylacetone (C, C′) and untreated embryo (D, D′) from the 8-cell-stage to stage 42. Scale bars in (A–D) and (A′–D′) indicate 0.5 mm and 0.25 mm, respectively. Arrowheads indicate an erythrocyte stained with o-dianisidine. |
|
Fig. 4.
Erythrocyte gene expression in Xalas2-MO injected embryos. Embryos were microinjected in the dorsal-vegetal side (Dor) and ventral-vegetal side (Ven) with 40 ng Xalas2-MO. Whole-mount in situ hybridization of scl in stage 23 (A–E), and hba3 (F–K), Gata1 (L–N), and scl (O–Q) in stage 34. The arrow indicates two crossing lines (A). The number of phenotypes, which a photograph present per total number of injected embryos is indicated at the lower, left of the each figure. The experiments were performed independently at least two times. Scale bars represent 0.5 mm. |
|
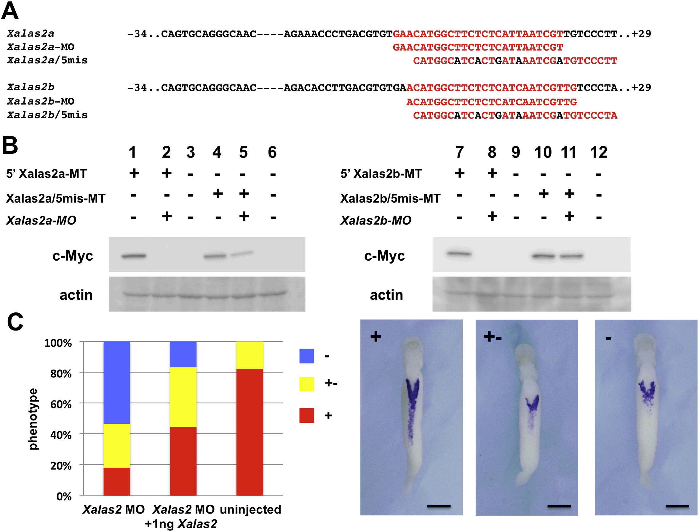
Supplementary Fig. 1.
Verification of Xalas2-MO activity and specificity. (A) Xalas2-MO was designed to target the sequence around the translational start codon of both Xalas2 alleles (Xalas2a and Xalas2b). Xalas2a-MO/5mis introduces five mutations and serves as a negative control. Xalas2a/5mis introduces five mutations into Xalas2a mRNA. Identical residues are indicated in red. (B) Western blot analysis of cMyc-tagged proteins, with actin expression as a control. Both alleles were targeted by Xalas2a, b-MO (lane 2) and not targeted by Xalas2a, b-MO/5mis (lane 11). (C) Summary of the hba3 expression rescue experiments showing the effect of Xalas2-MO injection on VBI. Knockdown of Xalas2 caused low-level hba3 expression on VBI; this effect was rescued by co-expression of 1 ng Xalas2a 5mis mRNA. hba3 expression was rescued in the posterior (+) and midline VBI (+/−); Xalas2a 5mis mRNA injection had no effect (−). Scale bars indicate 0.5 mm. |
|
Supplementary Fig. 2.
Scl expression in embryos injected with Xalas2-MO in the dorsal vegetal side. Scl expression in embryos injected with Xalas2-MO in the dorsal vegetal side at the 8-cell-stage. Expression was maintained in the aortic arch (arrow) (−/+) in control MO-injected embryos and was decreased (−) in Xalas2-MO injected embryos. “Other” was an abnormal phenotype and scl expression was not detected. The table lists the phenotypes indicated in the upper figures depicting control MO and Xalas2-MO injected embryos. Experiments were performed independently three times. Ventral views (A, B) and lateral views (A′, B′). |