Click here to close Hello! We notice that you are using Internet Explorer, which is not supported by Xenbase and may cause the site to display incorrectly. We suggest using a current version of Chrome, FireFox, or Safari.
XB-ART-50027
Dev Dyn 2015 Feb 01;2442:181-210. doi: 10.1002/dvdy.24229.
Show Gene links Show Anatomy links

Microarray identification of novel genes downstream of Six1, a critical factor in cranial placode, somite, and kidney development.

Yan B, Neilson KM, Ranganathan R, Maynard T, Streit A, Moody SA.


???displayArticle.abstract???
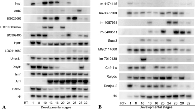
Six1 plays an important role in the development of several vertebrate organs, including cranial sensory placodes, somites, and kidney. Although Six1 mutations cause one form of branchio-otic syndrome (BOS), the responsible gene in many patients has not been identified; genes that act downstream of Six1 are potential BOS candidates. We sought to identify novel genes expressed during placode, somite and kidney development by comparing gene expression between control and Six1-expressing ectodermal explants. The expression patterns of 19 of the significantly up-regulated and 11 of the significantly down-regulated genes were assayed from cleavage to larval stages. A total of 28/30 genes are expressed in the otocyst, a structure that is functionally disrupted in BOS, and 26/30 genes are expressed in the nephric mesoderm, a structure that is functionally disrupted in the related branchio-otic-renal (BOR) syndrome. We also identified the chick homologues of five genes and show that they have conserved expression patterns. Of the 30 genes selected for expression analyses, all are expressed at many of the developmental times and appropriate tissues to be regulated by Six1. Many have the potential to play a role in the disruption of hearing and kidney function seen in BOS/BOR patients.

???displayArticle.pubmedLink??? 25403746
???displayArticle.pmcLink??? PMC4428348
???displayArticle.link??? Dev Dyn
???displayArticle.grants??? [+]

Species referenced: Xenopus laevis
Genes referenced: arnt arrb2 cdca7l cdca8 clcnkb cnfn ctrl dnaja4 dnaja4.2 dpm1 fam89a foxi1 fzd10 hoxa3 hprt1 ism1 lsm1 nfya nrp1 otx1 pbx1 rab40b ralgds rbm42 rp2 septin5 six1 snai1 socs3 tbc1d31 tent2 trhd uncx XB5850668 xxylt1 zbtb43 zic2
???displayArticle.morpholinos??? six1 MO1 six1 MO2


???attribute.lit??? ???displayArticles.show???
References [+] :
Abdelhak, A human homologue of the Drosophila eyes absent gene underlies branchio-oto-renal (BOR) syndrome and identifies a novel gene family. 1997, Pubmed