XB-ART-50236
Dev Cell
2015 Mar 23;326:719-30. doi: 10.1016/j.devcel.2015.02.014.
Show Gene links
Show Anatomy links
Notum is required for neural and head induction via Wnt deacylation, oxidation, and inactivation.
???displayArticle.abstract???
Secreted Wnt morphogens are essential for embryogenesis and homeostasis and require a lipid/palmitoleoylate modification for receptor binding and activity. Notum is a secreted Wnt antagonist that belongs to the α/β hydrolase superfamily, but its mechanism of action and roles in vertebrate embryogenesis are not fully understood. Here, we report that Notum hydrolyzes the Wnt palmitoleoylate adduct extracellularly, resulting in inactivated Wnt proteins that form oxidized oligomers incapable of receptor binding. Thus, Notum is a Wnt deacylase, and palmitoleoylation is obligatory for the Wnt structure that maintains its active monomeric conformation. Notum is expressed in naive ectoderm and neural plate in Xenopus and is required for neural and head induction. These findings suggest that Notum is a prerequisite for the "default" neural fate and that distinct mechanisms of Wnt inactivation by the Tiki protease in the Organizer and the Notum deacylase in presumptive neuroectoderm orchestrate vertebrate brain development.
???displayArticle.pubmedLink??? 25771893
???displayArticle.pmcLink??? PMC4375027
???displayArticle.link??? Dev Cell
???displayArticle.grants??? [+]
R01 GM057603 NIGMS NIH HHS , P30 HD018655 NICHD NIH HHS , 090532/Z/09/Z Wellcome Trust , P30 HD-18655 NICHD NIH HHS , R01-GM057603 NIGMS NIH HHS , A10976 Cancer Research UK, 17721 Cancer Research UK, Wellcome Trust
Species referenced: Xenopus laevis
Genes referenced: actl6a ag1 bmp4 chrd ctnnb1 dkk1 dvl2 eef1a1 egr2 fgf2 foxg1 gnpda1 gpc3 gpc4 gsc hoxb9 krt12.4 lrp6 msx1 nodal3.2 nog not notum odc1 otx2 pax6 sox2 tbxt trabd2a trabd2b tubb2b ventx2.2 wnt3a wnt5a wnt8a
???displayArticle.antibodies??? Dvl2 Ab3 Lrp6 Ab1 Notum Ab1 Wnt3a Ab1 Wnt5a Ab2
???displayArticle.morpholinos??? Notum MO1 Notum MO2
???attribute.lit??? ???displayArticles.show???
|
|
Figure 1. Notum Antagonizes Wnt Signaling in Mammalian Cells and Xenopus Embryos (A) Notum inhibited TOPFLASH induced by Wnt3a in HEK293T cells. Increasing doses of a Notum expression vector were co-transfected with an expression vector for Wnt3a. (B) Notum inhibited TOPFLASH induced by the recombinant WNT3A protein. HEK293T cells transfected with increasing doses of the Notum expression vector were incubated with the WNT3A protein. (C) Notum(S239A) lacked the ability to inhibit TOPFLASH induced by the WNT3A protein. (D) Notum inhibited axis duplication induced by Xenopus Wnt8, but not β-catenin, while Notum(S239A) did not inhibit axis duplication induced by either Wnt8 or β-catenin. n, embryos examined. (EâI) Notum in animal pole explants inhibited expression of Xnr3 induced by Wnt8 (E), but not by β-catenin (F), nor did it inhibit Xbra expression induced by Nodal/Xnr1 (G), or bFGF (H), or Vent2 expression induced by BMP4 (I). EF1α, a loading control; uninjected embryos, uninj.; whole embryos, WE; whole embryos without the reverse transcriptase, -RT. There were two doses of Notum mRNA that were injected. Error bars (AâC) represent SD of triplicated experiments. See also Figure S1. |
|
|
Figure 2. Notum Causes Wnt Deacylation and Inactivation (A) The Wnt3a protein modified by Notum became hydrophilic in the Triton X-114 detergent-aqueous phase separation assay. Wnt3a from mock or Notum(S239A)-expressing cells was hydrophobic and partitioned in the detergent (De) phase, but Wnt3a from Notum- or Notum-TM-expressing cells partitioned in the aqueous (Aq) phase; total input, T. (B) Wnt3a CM from Notum- or Notum-TM-expressing cells was inactive and induced minimal phosphorylation of LRP6 and Dvl2 in mouse embryonic fibroblast cells, whereas Wnt3a CM from mock, Notum(S239A)-, or Notum(S239A)-TM-expressing cells induced phosphorylation of LRP6 and Dvl2. Note that Wnt3a from Notum- or Notum-TM-expressing cells exhibited slightly faster migration. WCL, whole cell lysates. (C) Wnt3a CM from Notum or Notum-TM-expressing cells induced minimal TOPFLASH in HEK293T cells, whereas Wnt3a CM from mock, Notum(S239A)-, or Notum(S239A)-TM-expressing cells induced TOPFLASH. Error bars represent SD of triplicated experiments. (D) Wnt3a secreted from Notum-expressing cells exhibited minimal binding to mFz8CRD-IgG, whereas Wnt3a secreted from mock or Notum(S239A)-expressing cells exhibited binding. (E) Notum, but not Notum(S239A), reduced Wnt3a acylation when they were co-expressed in HEK293T cells. See also Figure S2. |
|
|
Figure 3. Notum Is Likely a Wnt Deacylase Acting Extracellularly and Causes Wnt3a and Wnt5a to Form Oxidized Oligomers (A) Notum had minimal effects on hydrophobicity of Wnt3a from WCL in the detergent-aqueous phase separation assay. (B) Recombinant WNT3A proteins lost hydrophobicity after incubation with Notum-expressing cells. (C) Notum reduced Wnt3a acylation in vitro. Purified metabolically labeled Wnt3a protein was incubated with mock, purified Notum, or Notum(S239A) proteins. (D) Wnt3a secreted from Notum-, but not Notum(S239A)-, expressing cells formed oxidized oligomer. Wnt3a CM from mock, Notum-, or Notum(S239A)-expressing cells was analyzed by non-reducing or reducing SDS-PAGE. Wnt3a monomers and oxidized oligomers were labeled by an arrow and asterisk, respectively. (E) Recombinant WNT3A proteins formed oxidized oligomers upon incubation with Notum-, but not mock or Notum(S239A)-,expressing cells. (F) Wnt5a proteins secreted from Notum-expressing cells formed oxidized oligomers. See also Figure S2. |
|
|
Figure 4. Notum Expression Patterns during Xenopus Embryogenesis (A and B) RT-PCR revealed that Notum is maternally and zygotically expressed throughout Xenopus embryogenesis (A), and is enriched animally and dorsally at stage 10.5; animal caps, AC; dorsal marginal zone, DMZ; ventral marginal zone, VMZ; vegetal caps, VC; a pan-mesodermal marker, Xbra; a dorsal marker, Chordin; an animal and ventral marker, Msx1. (CâT) Whole mount in situ hybridization for Notum/Notumâ expression, showing lateral view at 4-cell and stage 6.5 (C and D); lateral and bisected view at stage 8.5 (E and F); bisected view at stage 9.5 (G); lateral and bisected view at stage 10.5, with dorsal on right (H and I); dorsal and bisected view at the stage 11 (J and K); with an enlarged anterior view showing stronger expression anteriorly (L); dorso-anterior (M); dorsal (N, anterior on top); and cross-section (O, dorsal on top; and P, an enlarged view) at stage 15; lateral view at the tail bud stage (Q); with an enlarged anterior view indicating expression in the cement gland (R, arrow); lateral view at the early tadpole stage (S); and with an enlarged view indicating expression in the pronephros region (T, arrowhead). The blue color at the blastocoel surface in bisections was non-specific. See also Figure S3. |
|
|
notum (notum, palmitoleoyl-protein carboxylesterase) gene expression in Xenopus laevis embryo, assayed via in situ hybridization, NF stage 3 (4-cell), lateral view, animal pole up. |
|
|
notum (notum, palmitoleoyl-protein carboxylesterase) gene expression in bisected Xenopus laevis/ tropicalis embryo, mid-sagittal section, assayed via in situ hybridization, NF stage 10.5, dorsal left, animal pole up. note: The light blue staining of the blastocoel surface in is non- specific. |
|
|
notum (notum, palmitoleoyl-protein carboxylesterase) gene expression in Xenopus laevis embryo, assayed via in situ hybridization, NF stage 15, dorsal view, anterior up. |
|
|
notum (notum, palmitoleoyl-protein carboxylesterase) gene expression in Xenopus laevis embryo, assayed via in situ hybridization, NF stage 15, transverse section, mid trunk region, dorsal up. |
|
|
notum (notum, palmitoleoyl-protein carboxylesterase) gene expression in Xenopus laevis embryo, assayed via in situ hybridization, NF stage 22, lateral view, anterior left, dorsal up. |
|
|
|
|
|
Figure 5. Notum Is Required for Anterior Development in Xenopus Embryos (A and B) Dorsal injection of Notum mRNA, but not Notum(S239A), induced an enlarged head similar to that induced by Tiki1 mRNA, and resulting phenotypes were tabulated. (C) The Notum MO and the Notum’ MO inhibited protein synthesis from Xenopus Notum (xNotum) or Notum’ (xNotum’), but not mouse Notum (mNotum) mRNA. Co, MO, and MO’ indicate control MO and MOs against xNotum and xNotum’, respectively. (D and E) Dorso-animal injection of the two Notum MOs together caused anterior defects that were rescued by mNotum mRNA, and resulting phenotypes were tabulated. (F) The Notum MOs suppressed expression of forebrain markers Otx2 and Bf1 and a hindbrain marker Krox20 at stage 17. See also Table S1. (G) Illustration of the MO-injected A1 and B1 blastomeres at 32-cell stage and their descendent tissues at stage 10.5. (H) The Notum MOs injected into the A1 blastomeres caused anterior defects in more embryos (69%) than those injected into the B1 blastomeres (22%). See also Figures S4 and S5; Tables S2 and S3. |
|
|
Figure 6. Notum Is Required for Neural Induction in Embryos and Animal Explants (A) The Notum MOs reduced the expression domain of Sox2, a pan-neural marker, and expanded the expression domain of cytokeratin, an epidermal marker, and the reciprocal changes were rescued by mNotum, but not mNutum(S239A), mRNA. See also Table S4. (B) The Notum MOs suppressed expression of neural markers induced by injection of the Chordin mRNA and restored cytokeratin expression that were inhibited by Chordin. The effect of Notum MOs was rescued by mNotum, but not mNotum(S239A), mRNA; a cement gland marker, XAG; anterior neural markers, Bf1 and Pax6; a pan-neural marker, Sox2; a neuronal marker, N-tubulin; an epidermal marker, Keratin; a mesodermal marker, M-Actin; and a loading control, ODC. (C) Chordin induced Bf1 and Sox2 expression when the Notum MOs and a β-catenin MO were co-injected. (D) Injection of Notum mRNA, like that of Chordin mRNA, induced expression of neural markers Sox2 and Pax6 and suppressed that of an epidermal marker, cytokeratin, in animal cap explants. See also Figure S6. |
|
|
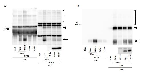
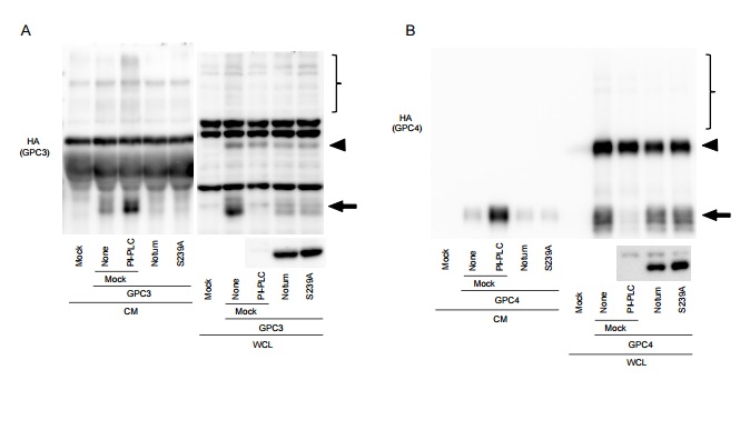
Figure S1. Notum has minimal effects on the GPI anchor of GPC3 or GPC4. Related to Figure 1. This figure provides additional data to support Figure 1. Appears after Figure 1. |
|
|
Figure S2. Characterization of Notum-TM, comparison of Notum and Tiki2, and the effect of Notum on Wnt5a. Related to Figures 2 and 3. This figure provides additional data to support Figure 2 and 3. Appears after Figure 2. (A) Expression of either Notum-TM or Notum inhibited Wnt3a-induced TOPFLASH. Error bars represent SD of triplicated experiments. Notum-TM was more potent than Notum in this assay, while the converse was observed in Figure 2C. These differences were reproducible, and might be explained by differences of the two experimental conditions. Under the condition of this figure Notum-TM was tethered to and concentrated on the cell surface, possibly making it more effective in inactivating Wnt3a near the plasma membrane (where signaling occurs) than Notum, which was diffusible in the CM. On the other hand, under the condition of Figure 2C, Wnt3a CM taken from Notum-expressing cells contained Notum, which likely continued to exert its action after the Wnt3a CM was harvested and applied to responding cells for the duration of the TOPFLASH assay. However Wnt3a CM taken from Notum-TM-expressing cells did not contain Notum (i.e.,Notum-TM), and inactivation of Wnt3a ceased when the CM was harvested, potentially explaining the difference. (B) Notum did not cleave the amino terminal HA tag of HA-Wnt3a, while TIKI2 did. Note that Wnt3a mobility alteration by Notum was much more subtle than that by Tiki2. (C) Coexpression of Wnt5a and Notum resulted in loss of hydrophobicity of the secreted Wnt5a protein, as shown by the Triton X-114 detergent-aqueous phase separation assay, suggesting that Wnt5a is a Notum substrate. |
|
|
Figure S4. Characterization of Xenopus laevis Notum and Notumâ. Related to Figure 5. This figure provides additional data demonstrating that Xenopus laevis Notum and Notumâ behave like mouse Notum and inhibit Wnt signaling through Wnt deacylation. Appears before Figure 5. (A) Xenopus laevis Notum (xNotum) and Notumâ (xNotumâ), like mouse Notumm(mNotum), inhibited Wnt3a-induced TOPFLASH. Error bars represent SD of triplicated experiments. (B) xNotum inhibited Xnr3 induction by Wnt8 in animal pole explants. Two doses of xNotum mRNA (100 and 200pg) were used. (C) The Wnt3a protein modified by mouse Notum or xNotum or xNotumâ became hydrophilic in the Triton X-114 detergent-aqueous phase separation assay. (D) xNotum and xNotumâ, like mNotum, diminished Wnt3a acylation when each was coexpressed with Wnt3a in HEK293T cells |
|
|
Figure S5. Notum depletion reduces head development and anterior neural marker expression but does not affect Organizer marker expression. Related to Figure 5. This figure provides additional data supporting that Notum is required for anterior development without affecting Organizer formation. Appears after Figure 5. (A) Anterior deficiency caused by the Notum MOs was rescued (over-rescued) by coexpression of Dkk1 mRNA. (B and C) Anterior deficiency caused by the Notum MOs was rescued (over-rescued) by co-injection of a Beta-catenin MO. The Notum MOs and/or the Beta-catenin MO were/was injected into the two A1 blastomeres at the 32-cell stage. Note that depletion of beta-catenin at this stage caused enlarged head as reported (Heasman et al., 2000; Kim et al., 2013). (D) The Notum MOs caused decreased expression of Sox2 and XAG at stage 23, and expression of these markers was rescued by coexpression of mNotum, but not Notum(S239A), mRNA. Anterior and ventro-anterior views were shown for Sox2 and XAG, respectively. See also Table S2. (E) RT-PCR revealed that expression of anterior neural and pan neural markers was decreased in Notum-depleted embryos, and was rescued by co-injection of mNotum, but not Notum(S239A), mRNA. Expression of Hoxb9, a posterior neural marker, was unaffected by Notum depletion. XAG, a cement gland marker; Bf1 and Pax6, anterior neural markers; Krox20, a hindbrain marker; Hoxb9, a posterior neural marker; Sox2, a pan-neural marker; ODC, a loading control. (F) The Notum MOs did not affect expression of head organizer markers, Chordin and Gsc, or dorsal markers, Xnot and Xnr3, examined at the stage 10.5. See also Table S3. Dorsal mesoderm is regulated by Wnt signaling, but why it is unaffected by Notum depletion? We think that any of following possibilities may account, in full or a part, for this observation: i) Notum action in dorsal mesoderm may be redundant with other Wnt antagonists expressed there, such as Tiki1 and Dkk1; ii) Notum produced in ectoderm may have limited diffusion ranges; iii) Notum may have Wnt-specificity that is yet to be understood, i.e., it may not inactivate some of the Wnts involved in dorsal mesoderm development; and iv) there may exist unknown negative regulators of Notum in dorsal mesoderm. |
|
|
Figure S6. Notum is required for neural induction by Noggin, but is not required for Noggin or Chordin to antagonize BMP signaling. Related to Figure 6. This figure provides additional data supporting that Notum is required for neural induction. Appears after Figure 6. (A) Neural marker induction by the Noggin protein was suppressed by the Notum MOs in the animal pole explants, and was rescued by co-injection of mNotum, but not Notum(S239A), mRNA. XAG, a cement gland marker; Bf1 and Pax6, anterior neural markers; Sox2, a pan-neural marker; N-tubulin, a neuronal marker; M-Actin, a mesodermal marker; ODC, a loading control. (B) The Notum MOs did not affect Chordin or Noggin activity in antagonizing BMP4 induction of Vent2 expression in animal pole explants. |
References [+] :
Alexandre,
Patterning and growth control by membrane-tethered Wingless.
2014, Pubmed
Alexandre, Patterning and growth control by membrane-tethered Wingless. 2014, Pubmed
Barrott, Deletion of mouse Porcn blocks Wnt ligand secretion and reveals an ectodermal etiology of human focal dermal hypoplasia/Goltz syndrome. 2011, Pubmed
Beckett, Glypican-mediated endocytosis of Hedgehog has opposite effects in flies and mice. 2008, Pubmed
Biechele, Porcupine homolog is required for canonical Wnt signaling and gastrulation in mouse embryos. 2011, Pubmed
Cantu, Notum homolog plays a novel role in primary motor innervation. 2013, Pubmed
Capurro, Glypican-3 binds to Frizzled and plays a direct role in the stimulation of canonical Wnt signaling. 2014, Pubmed
Clevers, Wnt/β-catenin signaling and disease. 2012, Pubmed
Coombs, WLS-dependent secretion of WNT3A requires Ser209 acylation and vacuolar acidification. 2010, Pubmed , Xenbase
Cormier, Secretory phospholipase Pla2g2a confers resistance to intestinal tumorigenesis. 1997, Pubmed
Cruciat, Secreted and transmembrane wnt inhibitors and activators. 2013, Pubmed , Xenbase
Dale, Fate map for the 32-cell stage of Xenopus laevis. 1987, Pubmed , Xenbase
Delaune, Neural induction in Xenopus requires early FGF signalling in addition to BMP inhibition. 2005, Pubmed , Xenbase
De Robertis, Dorsal-ventral patterning and neural induction in Xenopus embryos. 2004, Pubmed , Xenbase
Filmus, Glypicans. 2008, Pubmed
Flowers, A zebrafish Notum homolog specifically blocks the Wnt/β-catenin signaling pathway. 2012, Pubmed
Fuentealba, Integrating patterning signals: Wnt/GSK3 regulates the duration of the BMP/Smad1 signal. 2007, Pubmed , Xenbase
Gerlitz, Wingful, an extracellular feedback inhibitor of Wingless. 2002, Pubmed
Giráldez, HSPG modification by the secreted enzyme Notum shapes the Wingless morphogen gradient. 2002, Pubmed
Glinka, Dickkopf-1 is a member of a new family of secreted proteins and functions in head induction. 1998, Pubmed , Xenbase
Han, Drosophila glypicans Dally and Dally-like shape the extracellular Wingless morphogen gradient in the wing disc. 2005, Pubmed
Hannoush, Profiling cellular myristoylation and palmitoylation using ω-alkynyl fatty acids. 2012, Pubmed
Harland, Formation and function of Spemann's organizer. 1997, Pubmed
Hausmann, Helping Wingless take flight: how WNT proteins are secreted. 2007, Pubmed
Heasman, Beta-catenin signaling activity dissected in the early Xenopus embryo: a novel antisense approach. 2000, Pubmed , Xenbase
Heeg-Truesdell, Neural induction in Xenopus requires inhibition of Wnt-beta-catenin signaling. 2006, Pubmed , Xenbase
Herr, Porcupine-mediated lipidation is required for Wnt recognition by Wls. 2012, Pubmed
Hikasa, Wnt signaling in vertebrate axis specification. 2013, Pubmed , Xenbase
Janda, Structural basis of Wnt recognition by Frizzled. 2012, Pubmed , Xenbase
Kakugawa, Notum deacylates Wnt proteins to suppress signalling activity. 2015, Pubmed
Kengaku, bFGF as a possible morphogen for the anteroposterior axis of the central nervous system in Xenopus. 1995, Pubmed , Xenbase
Kiecker, A morphogen gradient of Wnt/beta-catenin signalling regulates anteroposterior neural patterning in Xenopus. 2001, Pubmed , Xenbase
Komekado, Glycosylation and palmitoylation of Wnt-3a are coupled to produce an active form of Wnt-3a. 2007, Pubmed
Kreuger, Opposing activities of Dally-like glypican at high and low levels of Wingless morphogen activity. 2004, Pubmed
Kuroda, Neural induction in Xenopus: requirement for ectodermal and endomesodermal signals via Chordin, Noggin, beta-Catenin, and Cerberus. 2004, Pubmed , Xenbase
Lamb, Fibroblast growth factor is a direct neural inducer, which combined with noggin generates anterior-posterior neural pattern. 1995, Pubmed , Xenbase
Litsiou, A balance of FGF, BMP and WNT signalling positions the future placode territory in the head. 2005, Pubmed
MacDonald, Frizzled and LRP5/6 receptors for Wnt/β-catenin signaling. 2012, Pubmed
MacDonald, Wnt/beta-catenin signaling: components, mechanisms, and diseases. 2009, Pubmed , Xenbase
Marchal, BMP inhibition initiates neural induction via FGF signaling and Zic genes. 2009, Pubmed , Xenbase
Moody, Fates of the blastomeres of the 32-cell-stage Xenopus embryo. 1987, Pubmed , Xenbase
Nardini, Alpha/beta hydrolase fold enzymes: the family keeps growing. 1999, Pubmed
Ozair, Neural induction and early patterning in vertebrates. 2013, Pubmed
Pera, Integration of IGF, FGF, and anti-BMP signals via Smad1 phosphorylation in neural induction. 2003, Pubmed , Xenbase
Petersen, Polarized notum activation at wounds inhibits Wnt function to promote planarian head regeneration. 2011, Pubmed
Proffitt, Precise regulation of porcupine activity is required for physiological Wnt signaling. 2012, Pubmed , Xenbase
Rios-Esteves, Stearoyl CoA desaturase is required to produce active, lipid-modified Wnt proteins. 2013, Pubmed
Rios-Esteves, Identification of key residues and regions important for porcupine-mediated Wnt acylation. 2014, Pubmed
Sakane, Localization of glypican-4 in different membrane microdomains is involved in the regulation of Wnt signaling. 2012, Pubmed
Stern, Neural induction: old problem, new findings, yet more questions. 2005, Pubmed , Xenbase
Streit, Initiation of neural induction by FGF signalling before gastrulation. 2000, Pubmed
Streit, Chordin regulates primitive streak development and the stability of induced neural cells, but is not sufficient for neural induction in the chick embryo. 1998, Pubmed
Strigini, Wingless gradient formation in the Drosophila wing. 2000, Pubmed
Takada, Monounsaturated fatty acid modification of Wnt protein: its role in Wnt secretion. 2006, Pubmed , Xenbase
Tang, Roles of N-glycosylation and lipidation in Wg secretion and signaling. 2012, Pubmed
Willert, Wnt proteins are lipid-modified and can act as stem cell growth factors. 2003, Pubmed , Xenbase
Wilson, An early requirement for FGF signalling in the acquisition of neural cell fate in the chick embryo. 2000, Pubmed , Xenbase
Wilson, The status of Wnt signalling regulates neural and epidermal fates in the chick embryo. 2001, Pubmed , Xenbase
Yan, Shaping morphogen gradients by proteoglycans. 2009, Pubmed
Zecca, Direct and long-range action of a wingless morphogen gradient. 1996, Pubmed
Zeidman, Protein acyl thioesterases (Review). 2009, Pubmed
Zhang, Tiki1 is required for head formation via Wnt cleavage-oxidation and inactivation. 2012, Pubmed , Xenbase
