XB-ART-51051
Int J Dev Biol
2014 Jan 01;5810-12:841-9. doi: 10.1387/ijdb.140270sk.
Show Gene links
Show Anatomy links
Comparative expression analysis of cysteine-rich intestinal protein family members crip1, 2 and 3 during Xenopus laevis embryogenesis.
Hempel A, Kühl SJ.
???displayArticle.abstract???
Members of the cysteine-rich intestinal protein (Crip) family belong to the group 2 LIM proteins. Crip proteins are widely expressed in adult mammals but their expression profile and function during embryonic development are still mostly unknown. In this study, we have described for the first time the spatio-temporal expression pattern of the three family members crip1, crip2 and crip3 during Xenopus laevis embryogenesis by RT-PCR and whole mount in situ hybridization approaches. We observed that all three genes are expressed in the pronephros, branchial arches and the eye. Furthermore, crip1 transcripts could be visualized in the developing cranial ganglia and neural tube. In contrast, crip2 could be detected in the cardiovascular system, the brain and the neural tube while crip3 was expressed in the cranial ganglions and the heart. Based on these findings, we suggest that each crip family member may play an important role during embryonic development.
???displayArticle.pubmedLink??? 26154325
???displayArticle.link??? Int J Dev Biol
Species referenced: Xenopus laevis
Genes referenced: abcc1 abcc10 asxl2 brf1 cftr crip1 crip2 crip3 cul9 dlk2 igh lhx1 mapt mta1 pacs2 pex2 plin1 ptgr2 rnf8 rtf1 slc22a7 slc25a21 tmem121 tmem229b tmem62 ttbk1 zfp36l1 znf318
???attribute.lit??? ???displayArticles.show???
|
|
Fig. 1. Crip1, Crip2 and Crip3 in Xenopus. (A) Schematic representation of X. tropicalis Crip1, Crip2 and Crip3 protein domains. Crip1 contains one LIM domain, while Crip2 and Crip3 have two (LIM-1 and -2) each. (B-D) Homology of the amino acid sequences of the full length (overall) and individual LIM domains of the Crip proteins among different species. Numbers represent similarities of the indicated species in percentage compared to Homo sapiens. (E) Phylogenetic tree for the Crip sequences whose primary amino acid sequence alignment is shown in (A). aa, amino acid length in numbers; CRIP, cysteine-rich intestinal protein; LIM, Lin11, Isl-1 and Mec-3. |
|
|
Fig. 2. Synteny analyses of the crip family members in Homo sapiens, Mus musculus, Rattus norvegicus, Xenopus tropicalis and Danio rerio. (A) The schematic overview shows the comparison of the crip1 and crip2 genes and their neighbouring gene loci in H. sapiens (chromosome 14), M. musculus (chromosome 12), R. norvegicus (chromosome 6) and X. tropicalis (unplaced scaffold). (B) The schematic overview shows the comparison of the crip3 gene and its neighbouring gene loci in H. sapiens (chromosome 6), M. musculus (chromosome 17), R. norvegicus (chromosome 9) and X. tropicalis (unplaced scaffold). The gene length and distances between them are not drawn to scale. Conserved genes are indicated by the same color code and non-conserved genes by white boxes. The orientation of the genes open reading frames are depicted by black arrows. Abcc10 ATP-binding cassette sub-family C (CFTR/MRP) member 10, asxl2 additional sex combs like 2 (Drosophila), ATP5G1P1 ATP synthase, H+ transporting, mitochondrial Fo complex, subunit C1 (subunit 9) pseudogene 1, BRF1 BRF1 RNA polymerase III transcription initiation factor 90 kDa subunit, CUL9 cullin 9, DLK2 delta-like 2 homolog (Drosophila), DNPH1 2â-deoxynucleoside 5â-phosphate N-hydrolase 1, dtnbb dystrobrevin beta b, ELK2BP ELK2B member of ETS oncogene family pseudogene, hadhab hydroxyacyl-CoA dehydrogenase/3-ketoacyl-CoA thiolase/enoyl-CoA hydratase (trifunctional protein) alpha subunit b, IGH immunoglobulin heavy locus/immunoglobulin heavy chain complex, Igha immunoglobulin heavy chain alpha, Ighe immunoglobulin heavy chain (epsilon polypeptide), Ighg immunoglobulin heavy chain (gamma polypeptide), kif3cb kinesin family member 3Cb, mta1 metastasis associated 1, pacs2 phosphofurin acidic cluster sorting protein 2, ptgr2 prostaglandin reductase 2, rnf8 ring finger protein 8, E3 ubiquitin protein ligase, rtf1 Rtf1 Paf1/RNA polymerase II complex component homolog, SLC22A7 solute carrier family 22 (organic anion transporter) member 7, slc25a21 solute carrier family 25 (mitochondrial oxodicarboxylate carrier) member 21, slc30a1b solute carrier family 30 (zinc transporter) member 1b, TEX22 testis expressed 22, tmem121 transmembrane protein 121, tmem229b transmembrane protein 229B, tmem62 transmembrane protein 62, TTBK1 tau tubulin kinase 1, zfp36l1a zinc finger protein 36 C3H type-like 1a, ZNF318/Zfp318 zinc finger protein 318. |
|
|
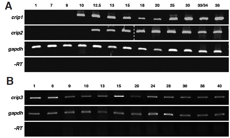
Fig. 3. Temporal expression patterns of crip1-3 during Xenopus laevis embryogenesis analysed by semi-quantitative RT-PCR approaches with cDNA templates of the indicated stages. As loading control gapdh (glycerinaldehyde-3-phosphate dehydrogenase) and as negative controls âRT (reverse transcriptase) reactions lacking the enzyme reverse transcriptase were used. (A) Crip1 and crip2 expression were first detected during gastrulation at stage 10 and 12.5 respectively and continuously expressed till stage 38. (B) In contrast crip3 transcripts were maternally supplied and continuously expressed till stage 40. |
|
|
Fig. 4. Crip1 spatial expression pattern during X. laevis embryogenesis. Embryonic stages are indicated in each panel. The white dashed circles depict the cement gland. (A) At stage 3, embryos were negative for crip1 expression (lateral view). (B) Anterior view of a stage 13 embryo. Crip1 was expressed in the anterior neural plate (black arrowhead). (C) The anterior view of a stage 20 embryo shows crip1 expression of in the anterior neural tissue (white arrowhead). (D-H) Lateral views with anterior to the left. (I-K) Ventral views with anterior to the top. (D) At stage 25 crip1 transcripts were detected in the migrating cranial neural crest cells (orange arrowhead) and at the dorsal side of the embryo (green arrowhead). (E-F, I) Crip1 was expressed in the hyoid arch (ha), in the dorsal aorta (da) with a stronger expression in the posterior part (green arrowhead) and in the ventral blood islands (violet arrowhead). (G-H) In later stages crip1 transcripts were strongly detected in the head mesenchyme, namely the quadrate cartilage (QC), ceratobranchial cartilage (CBC), and ceratohyal cartilage (CHC) as well as. Crip1 transcripts were in the dorsal aorta (da) detected. Furthermore, crip1 was expressed in the pronephric tubule convolute (black arrow) and in the posterior cardinal vein (pcv). The stomadeum including the region where the cloaca will form (blue arrowhead) as well as the tip of the tail (yellow arrowhead) showed a strong crip1 expression, too. (J-K) Also the second heart field (red arrowhead) and ventral aorta (va) were positive for crip1. |
|
|
Fig. 5. Tissue specific expression of crip1 in Xenopus embryos stage 33, 38 and 41. (A,C,E) Lateral views with anterior to the left. (B,D,E) Ventral views with anterior to the top. Black lines indicate level of sections shown in G-V. (G,I-K,M-V) Transversal sections with the dorsal side to the top. (H, L) Horizontal sections with anterior to the top. The notochord (nc) and pronephric tubules (pt) are depicted by dashed circles, respectively (M,O,T,U). (G-H )At stage 33 crip1 transcripts were detected in the neural crest derived part of the second and third branchial arches namely the hyoid arch (ha) and the anterior branchial arch (aba) but not in the posterior third branchial arch (pba) (black arrowheads). (I-L) Furthermore, crip1 was strongly expressed in the blood islands (I-J) and neural roof plate (nrp) and a specific ventral region of the neural tube (green arrowhead) (K-L). (M-O) Later, crip1 was strongly expressed in the ventral aorta (va), in the sensory layer of the epidermis (sle) and the cranial cartilage structures as indicated: quadrate cartilages (QC), Meckelâs cartilages (MC), ceratohyal cartilages (CHC) as well as in the branchial arches (ba). (N,S) Additionally crip1 was found in the ganglion cell layer (GCL) of the eye. (O,T) Similar to stage 33, at stage 38 crip1 was expressed ventral part of the neural tube (green arrowhead), the neural roof plate (nrp) and in the neural floor plate (nfp). (T) Furthermore, crip1 transcripts were detected in the surrounding layer of the dorsal aorta (da). (P-R) Sections through the heart region revealed crip1 expression in the arteries (a), at stage 38 weakly in the endocardium (white arrowhead) and at stage 41 in the second heart field (red arrowheads). (U-V) At stage 41 crip1 was expressed in the pronephric tubules (pt) and in the lung tubes (lt). le, lens; INL and ONL, inner and outer nuclear layer; RPE, retinal pigmented epithelium. |
|
|
Fig. 6 (Left). Spatial expression pattern of crip2 during X. laevis embryonic development. Embryonic stages are indicated in each panel. The cement gland is depicted as white dashed circles. (A) Animal view of a stage 13 embryo. Crip2 expression was detected in the anterior neural plate (black arrowhead). (B) The anterior view of a stage 23 embryo showed a crip2 expression in the anterior neural tissue (an) and the neural tube (white arrowhead). (C-D,F,H) Lateral views with anterior to the left. (E,G,I) Ventral views with anterior to the top. (C) At stage 25 crip2 transcripts were detected in the migrating cranial neural crest cells (orange arrowhead) and the dorsal side of the embryo (yellow arrow). (D-I) Crip2 was expressed in the cardiac tissue especially of the first heart field (red arrowheads), the endocardium (ec) and the cardiac vascular nerves (yellow arrowhead). (D) At stage 29 crip2 transcripts were strongly detected at the dorsal side (yellow arrow), the posterior cardinal vein (green arrowhead) and at the tip of the tail (blue arrowhead). Furthermore, crip2 was expressed in the fore-, mid- and hindbrain (fb, mb, hb) as well as in the profundal placode (pPr) and the trigeminal placode (pV). (F,H) Later during organogenesis crip2 transcripts were additionally detected in the anterior part of pronephros (black arrow) and the connecting tubule of the pronephros (ctp). (F) At stage 34 the profundal ganglion (gPr), the trigeminal ganglion (gV), the facial epibranchial ganglia egVII, egIX and egXI and the cells that contribute to the vagal and posterior lateral line ganglion (gVPL) were positive for crip2. (H) At stage 37/38 crip2 was also expressed the quadrate cartilages (QC), branchial arches (ba) and dorsal aorta (da). |
|
|
Fig. 7 (Bottom). Crip2 tissue specific expression in Xenopus embryos stage 34, 37/38 and 41. (A,C,E) Lateral views with anterior to the left. (B,D) Ventral views with anterior to the top. Black lines show level of sections demonstrated in F-U. (F-I,K,M-U) Transversal sections with the dorsal side to the top. (J, L) Horizontal sections with anterior to the top. The notochord (nc) and pronephric tubules (pt) are depicted by dashed circles, respectively (L,R-U). (F-H) During Xenopus embryogenesis crip2 was expressed in the developing eye, more precisely the ganglion cell layer (GCL). In contrast, no expression was detected in the lens (le), the inner and outer nuclear layer (INL, ONL) or the retinal pigmented epithelium (RPE). (I,J) At stage 34 crip2 was found in the neural tube except at the most dorsal and ventral parts (orange arrowheads). (K,L) Furthermore, crip2 expression was detected in the glomerulus (g) and the specific pronephric tubules (pt). (M-P) Cardiac sections at stage 34 and 37/38 revealed crip2 expression in the outflow tract (oft), the pericardial roof (r) as well as the myo- and endocardium (m, e) of the developing heart, but not the pericardium (p). (Q-U) Crip2 was expressed in various tissue of the brain, predominantly in the mid- and hindbrain (mb, hb). The ganglia and placodes of the profundal (gPr, pPr) and trigeminus (gV, pV) show distinct crip2 expression as well as the cornea epithelium (CE) (Q). (R-I) Consecutive transversal sections at the level of the otic vesicle (otv) showed crip2 transcripts in the sensory layer of epidermis (sle), neural crest cells (ncc), the fused ganglia of the glossopharyngeal and middle lateral line nerves (glX/M) and the branchial arches (ba). |
|
|
Fig. 8. Spatial expression of crip3 during X. laevis embryogenesis. Embryonic stages are indicated in each panel. The white dashed circles depict the cement gland. (A) Animal view. Crip3 expression was detected at the animal half at 4-cell stage (black arrowhead). (B) Crip3 is expressed in the anterior neural plate. (C) The anterior view of a stage 20 embryo showed crip3 expression in the anterior neural tissue (an). (D-H) Lateral views with anterior to the left. (I-K) Ventral views with anterior to the top. (D-H) At stage 25 and 29 crip3 was expressed in the migrating neural crest cells (orange arrowhead in (D,E) and at later stages in the branchial arches (ba, G,H). (F,G) During organogenesis a very weak crip3 signal was seen in the dorsal side of the embryo (green arrowheads). (E-K) Furthermore, during Xenopus embryogenesis crip3 was detected in the developing eye (green arrow) and cardiac tissue (red arrowheads). |
|
|
ATTTGCCTFig. 9. Tissue specific expression of crip3 in Xenopus embryos stage 33/34, 38 and 41. (A,C,E) Lateral views with anterior to the left. (D,F) Ventral views with anterior to the top. White dotted circles depict the cement gland. (B, G-N) Transversal vibratome sections through different regions of the embryos with the dorsal to the top as indicated by the lines shown in A,C-F. The pronephric tubules (pt) and notochord (nc) are depicted by dashed circles, respectively (G,N). (B,G) Crip3 transcripts were weakly expressed in the differentiated neurons (dn, B) and in the pronephric tubules (pt, G). (H-I,M-N) The strongest expression of crip3 was found in the developing heart, namely the outflow tract (oft), the peri- and myocardium (p, m) as well as in the pericardial roof (r) and endocardium (e). (B,J-L) Sections through the eye showed a weak crip3 expression in the cornea epithelium (CE) at stage 33/34 (B) and in the ganglion cell layer (GCL) and lens (le) at stage 37/38 and 41, while the inner and outer nuclear layers (INL, ONL) and the retinal pigmented epithelium (RPE) were negative for crip3 (J-L). (M-N) At stage 41 crip3 was expressed in the ceratohyal cartilage (CHC) and the branchial arches (ba). cg cement gland, hb hindbrain. |
|
|
Suppl. Fig. S1 (Left). (A) Schematic overview of Xenopus laevis crip1 published by others (Acc. No. NM_001093834.1). cDNA fragment of crip1 cloned in this study (Acc. No. KP036486), which was used as template for an antisense probe is highlighted in blue and localization of RT-PCR primers used in Figure 3 in pink. (B) Nucleotide sequence of Xenopus laevis crip1 cDNA and RT-PCR primer pairs (underlined in pink). Note that crip1 primers were designed using the previously published Xenopus laevis sequence (Acc. No. NM_001093834.1) and therefore do not completely match with the sequence shown here. The ATG start codon is highlighted in green, the stop codon in red. |
|
|
Suppl. Fig. S2 (Right). (A) Schematic overview of Xenopus tropicalis crip2 published by others (Acc. No. NM_001079267.1). Xenopus laevis cDNA fragment of crip2 cloned in this study (Acc. No. KP036487), which was used as template for an antisense probe is highlighted in blue and localization of RT-PCR primers used in Figure 3 in pink. (B) Nucleotide sequence of Xenopus laevis crip2 cDNA and RT-PCR primer pairs (underlined in pink). The ATG start codon is highlighted in green. |
|
|
Suppl. Fig. 3 (Left). (A) Schematic overview of Xenopus tropicalis crip3 published by others (Acc. No. NM_001015811.1). Xenopus laevis cDNA fragment of crip3 cloned in this study (Acc. No. KP036488), which was used as template for an antisense probe is highlighted in blue and localization of RT-PCR primers used in Figure 3 in pink. (B) Nucleotide sequence of Xenopus laevis crip3 cDNA and RT-PCR primer pairs (underlined in pink). |
|
|
Suppl. Fig. 4 (Right). Dot blot analysis using Xenopus laevis crip1-3 plasmids (blue) shows the specificity of crip1-3 RNA probes (red). |
|
|
crip1 (cysteine-rich protein 1 (intestinal)) gene expression in Xenopus laevis embryo, assayed via in situ hybridization, NF stage 13, anterior view, dorsal up. |
|
|
crip1 (cysteine-rich protein 1 (intestinal)) gene expression in Xenopus laevis embryo, assayed via in situ hybridization, NF stage 25, lateral view, anterior left, dorsal up. |
|
|
crip1 (cysteine-rich protein 1 (intestinal)) gene expression in Xenopus laevis embryo, assayed via in situ hybridization, NF stage 33, lateral view, anterior left, dorsal up. |
|
|
crip1 (cysteine-rich protein 1 (intestinal)) gene expression in Xenopus laevis embryo, assayed via in situ hybridization, NF stage 38, lateral view, anterior left, dorsal up. |
|
|
crip2 (cysteine-rich protein 2) gene expression in Xenopus laevis embryo, assayed via in situ hybridization, NF stage 25, lateral view, anterior left, dorsal up. |
|
|
crip2 (cysteine-rich protein 2) gene expression in Xenopus laevis embryo, assayed via in situ hybridization, NF stage 29, lateral view, anterior left, dorsal up. |
|
|
crip2 (cysteine-rich protein 2) gene expression in Xenopus laevis embryo, assayed via in situ hybridization, NF stage 34, lateral view, anterior left, dorsal up. |
|
|
crip3 (cysteine-rich protein 3) gene expression in Xenopus laevis embryo, assayed via in situ hybridization, NF stage 3, animal view. |
|
|
crip3 (cysteine-rich protein 3) gene expression in Xenopus laevis embryo, assayed via in situ hybridization, NF stage 3, anterior view, dorsal up. |
|
|
crip3 (cysteine-rich protein 3) gene expression in Xenopus laevis embryo, assayed via in situ hybridization, NF stage 28, lateral view, anterior left, dorsal up. |
