|
Figure 1. Nup153 Interacts via Its N Terminus Directly with Membranes(A) 3 μM of the N-terminal domain (aa 1â149) of Xenopus Nup153 and the corresponding V50E mutant fragment, as well as a membrane-interacting fragment of Nup133 and SUMO as positive and negative controls, respectively, were incubated with 2.5 mg/ml fluorescently labeled 70 nm NE liposomes and floated through a sucrose gradient. The top gradient fractions and the starting materials were analyzed by SDS-PAGE and silver staining.(B) Binding of the Nup153 N terminus, the V50E mutant, SUMO, and the Nup133 fragment to DOPC or NE liposomes of different diameters were analyzed by flotation experiments and quantified by western blotting (columns are the average bound quantities of three or four independent experiments; individual data points are indicated).(C) Sequence alignment of the N-terminal region of vertebrate Nup153.(D) Amino acid sequence of Xenopus Nup153 with the predicted amphipathic helix in a helical wheel representation (generated with HeliQuest ( Gautier et al., 2008)). Valine (V) was exchanged to glutamate (E) in the membrane binding mutant, indicated in red. The length of the arrow within the helix is proportional to the mean hydrophobic moment (< μH >), which is also indicated as well as the hydrophobicity (< H >) as calculated by HeliQuest.(E) NE lipid GUVs were incubated with 500 nM EGFP-tagged Nup153 N terminus, the corresponding V50E mutant, or EGFP alone.(F) HeLa cells transfected with EGFP-tagged Nup153 N terminus, the V50E mutant, or EGFP. Chromatin is stained with DAPI (blue in overlay).(G) NE lipid GUVs were incubated with Oregon-green-labeled full-length human Nup153 and the corresponding V47E mutant.Bars, 10 μm. See also Figure S1 and Movie S1. |
|
Figure 2. Nup153 Membrane Binding Is Not Required for Its NPC Targeting and NPC Assembly at the End of Mitosis(A) HeLa cells were co-transfected with triple-EGFP human Nup153 or the corresponding V47E mutant and mCherry-Nup62 or mCherry-lamin B and analyzed by live cell imaging. Insets show the nuclear surface at a 1.5-fold higher magnification.(B) HEK293 cells were mock transfected, transfected with triple-EGFP human Nup153 or the V47E mutant. Inputs and immunoprecipitates from cell lysates were analyzed by western blotting.(C) Western blot of mock-depleted, Nup153-depleted (δNup153), and Nup153-depleted Xenopus egg extracts supplemented with recombinant wild-type Nup153 or the membrane-binding mutant (Nup153 V47E).(D) Nuclei assembled for 120 min in extracts generated as in (C) were analyzed by immunofluorescence for Nup153 (green) and mAB414 (red). DNA was stained with DAPI (blue) and membranes with DiIC18 (fourth row, red). The fifth row shows the surface rendering of confocal stacks of mAB414-labeled nuclei.(E) Quantification of chromatin substrates with closed NEs. Columns are the average of six independent experiments with individual data points (each 100 randomly chosen chromatin substrates) indicated.(F) Quantification of nuclei with NPC clustering identified by mAB414 staining (mean of six independent experiments with individual data points [100 chromatin substrates each] indicated).(G) Immunofluorescence on nuclei assembled as in (D). Chromatin is stained with DAPI (blue).Bars, 10 μm. See also Figure S2. |
|
Figure 3. Nup153 Membrane Interaction Is Not Important for Nuclear Import Efficiency, but Rather for Interphasic NPC Assembly(A) Nuclei were assembled in mock, Nup153-depleted extracts, or Nup153-depleted extracts supplemented with Nup153 or the V47E mutant. After closed NE formation, import rates for soluble M9 and cNLS cargos as well as for a transmembrane (TM) cargo were determined (average of two independent experiments, individual data points are indicated).(B) Nuclei assembled as in (A) were fixed after 120 min, and NPCs per nucleus were counted based on mAB414 staining. Where indicated, interphasic NPC assembly was blocked by importin β addition after 50 min (average from a total of 50 nuclei in five independent experiments, normalized to the mock control; error bars are SEM).(C) Nuclei assembled as in (A) for 50 min were supplemented with cytosol depleted of FG nucleoporins in addition to being either mock depleted or Nup153 depleted. After a further 60-min incubation, fluorescein isothiocyanate (FITC)-labeled 70 kDa dextran and Hoechst were added, and the percentage of nuclei with nuclear dextran, i.e., those in which interphasic NPC assembly occurred, was determined (average of three independent experiments, each comprising 100 nuclei; individual data points are indicated).(D) Nuclei were assembled as in (A) and re-isolated after 30, 50, and 120 min. Nucleoporin levels were determined by quantitative western blotting. Plotted are the averages from three independent experiments, individual data points are indicated. In the lower panel, importin β was added after 30 min to block interphasic NPC assembly. |
|
Figure 4. Membrane Recruitment of the Y-Complex Is Important for Interphasic NPC Assembly(A) Schematic representation of the Nup153 fusion constructs. The Nup153 membrane binding domain (MBD) and the corresponding V50E mutant were fused to the Y-complex (ycBD) and the Ran-interacting region (RanBD).(B) Nuclei were assembled in mock-depleted, Nup153-depleted, and Nup153-depleted extracts supplemented with the different MBD-fusions. Samples were fixed after 120 min and visualized using mAB414 (red), and Nup153 immunofluorescence. DNA was stained with DAPI (blue in overlay). Please note that the MBD-fusions are detected as the Nup153 antibody is directed against the Nup153 N terminus. Bar, 10 μm.(C) NPC numbers in nuclei assembled as in (B) were determined using mAB414 staining as in Figure 3B (average from 30 nuclei from three independent experiments).(D) Nuclei were assembled as in (B) and interphasic NPC assembly was analyzed by dextran influx as in Figure 3C.(E) Nuclei were assembled as in (B). Chromatin was re-isolated at indicated time points, and nucleoporin levels were determined as in Figure 3D.(F) Nuclei were assembled in mock-depleted, Nup153-depleted, and Nup153-depleted extracts supplemented with wild-type Nup153, the membrane-binding mutant (Nup153 V47E) or the different MBD fusions. Purified Alexa-488-labeled Y-complex (green) was added after 50 min and after another 60 min Alexa-594-WGA (red) for 10 min. Samples were fixed and the NE analyzed for WGA-positive structures, i.e., NPCs. Where indicated, interphasic NPC assembly was blocked by addition of importin β together with the Y-complex. Bars, 1 μm.See also Figure S3. |
|
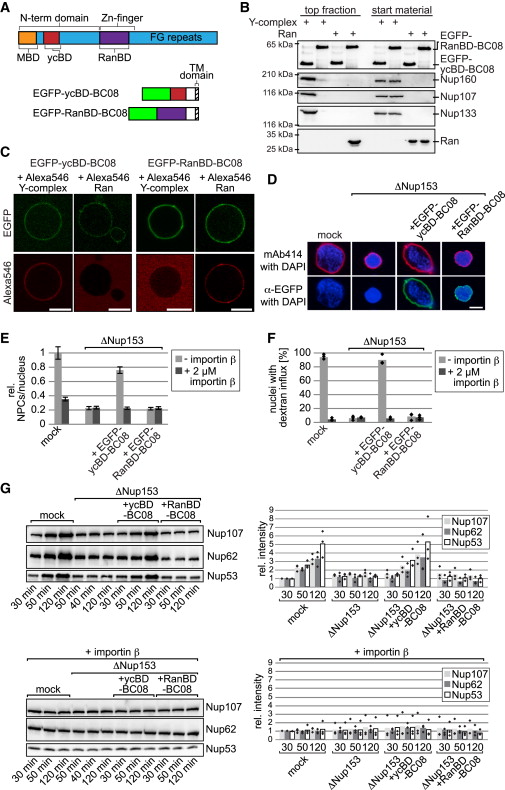
Figure 5. Inner Nuclear Membrane Tethering of the Y-Complex Bypasses the Nup153 Necessity for Interphasic NPC Assembly(A) Schematic representation of the Nup153 fusion constructs. The Y-complex and the Ran-interacting region, flanked by EGFP (green) and the inner nuclear membrane protein BC08, yield EGFP-ycBD-BC08 or EGFP-RanBD-BC08, respectively.(B) EGFP-ycBD-BC08 or EGFP-RanBD-BC08 was reconstituted into NE liposomes and incubated with Y-complex or Ran. Start material (50% for the EGFP-ycBD-BC08 or EGFP-RanBD-BC08, 30% for the Y-complex and Ran) and top fractions were analyzed using EGFP, Nup160, Nup133, Nup107, and Ran antibodies.(C) EGFP-ycBD-BC08 or EGFP-RanBD-BC08 were reconstituted into NE lipid GUVs and membrane recruitment of Alexa-546-labeled Y-complex or Ran was analyzed.(D) Nuclei were assembled in mock or Nup153-depleted extracts supplemented with empty, EGFP-ycBD-BC08, or EGFP-RanBD-BC08-containing liposomes. Samples were fixed after 120 min and visualized using EGFP (green) and immunofluorescence for mAB414 (red). DNA was stained with DAPI (blue).(E) NPC numbers in nuclei assembled as in (D) were determined using mAB414 staining as in Figure 3B (average from 30 nuclei from three independent experiments).(F) Nuclei were assembled as in (D) and interphasic NPC assembly analyzed by dextran influx as in Figure 3C.(G) Nuclei were assembled as in (D). Chromatin was re-isolated at indicated time points, and nucleoporin levels were determined as in Figure 3D.Bars, 10 μm. See also Figure S4. |
|
Figure 6. Nup153 Membrane Interaction Is Required for AL Formation(A) Mock, Nup153-depleted cytosol, or Nup153-depleted cytosol supplemented with Nup153 or the V47E mutant were incubated for 4 hr with membranes and where indicated with RanQ69L. 10% of the start material and the re-isolated membranes were analyzed. Reticulon 4 (RTN4) serves as an ER marker.(B) Quantification of Nup62 re-isolated with membranes (average intensity value from three independent experiments performed as in A), normalized to mock control in the absence of RanQ69L).(C) Transmission electron microscopy of re-isolated membranes as in (A) in the presence of 10 μM RanQ69L. Insets show a 3-fold higher magnification. Bar, 500 nm. |
|
Figure 7. Transportin Regulates Nup153 Membrane Interaction and Might by that Function in Interphasic NPC Assembly(A) 3 μM of the Xenopus Nup153 N terminus was, where indicated, pre-incubated with 5 μM transportin, 5 μM importin β, or 5 μM transportin along with 15 μM RanQ69L. Proteins were incubated with fluorescently labeled NE liposomes and floated through a sucrose gradient. Top gradient fractions and input materials were analyzed by western blot. For quantification from two independent experiments, liposome binding was normalized to the untreated Nup153 N terminus.(B) Model for transportin and Nup153 function in interphasic NPC assembly (left panel). Transportin binding to Nup153 in the cytoplasm prevents its membrane interaction and mediates its nuclear import. In the nucleus, RanGTP releases transportin from Nup153, which becomes free to interact with the inner nuclear membrane and to recruit the Y-complex for interphasic NPC assembly. In contrast, at the end of mitosis (right panel), MEL28/ELYS recruits the Y-complex to chromatin and NPC assembly sites without an essential contribution from Nup153.See also Figure S5. |