Click here to close
Hello! We notice that you are using Internet Explorer, which is not supported by Xenbase and may cause the site to display incorrectly.
We suggest using a current version of Chrome,
FireFox, or Safari.
???displayArticle.abstract???
Whether the myogenic regulatory factors (MRFs) of the MyoD family can discriminate among the muscle gene targets for the proper and reproducible formation of skeletal muscle is a recurrent question. We have previously shown that, in Xenopus laevis, myogenin specifically transactivated muscle structural genes in vivo. In the present study, we used the Xenopus model to examine the role of XMyoD, XMyf5, and XMRF4 for the transactivation of the (nicotinic acetylcholine receptor) nAChR genes in vivo. During early Xenopus development, the expression patterns of nAChR subunit genes proved to be correlated with the expression patterns of the MRFs. We show that XMyf5 specifically induced the expression of the delta-subunit gene in cap animal assays and in endoderm cells of Xenopus embryos but was unable to activate the expression of the gamma-subunit gene. In embryos, overexpression of a dominant-negative XMyf5 variant led to the repression of delta-but not gamma-subunit gene expression. Conversely, XMyoD and XMRF4 activated gamma-subunit gene expression but were unable to activate delta-subunit gene expression. Finally, all MRFs induced expression of the alpha-subunit gene. These findings strengthen the concept that one MRF can specifically control a subset of muscle genes that cannot be activated by the other MRFs.
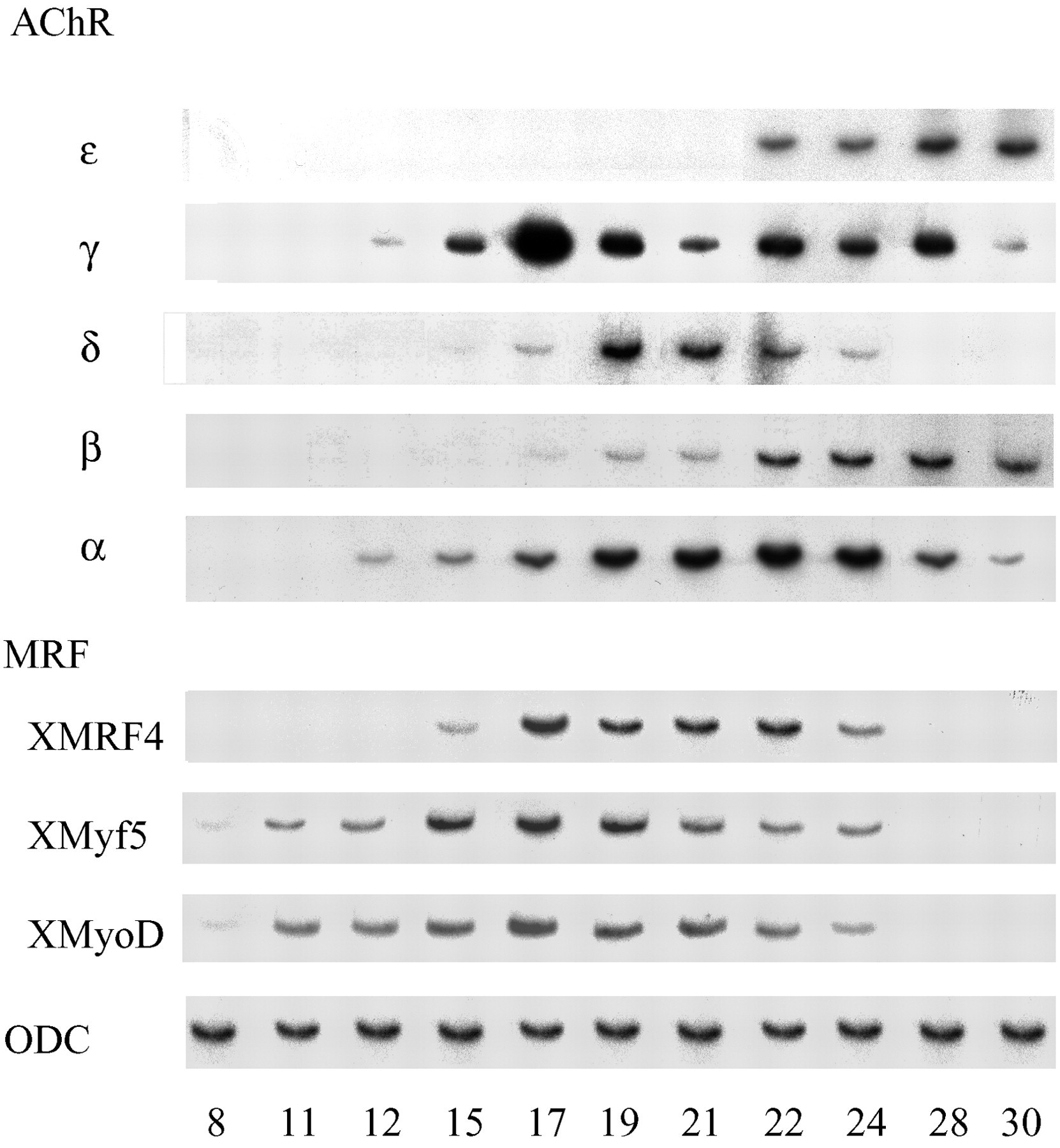
Fig. 1.
Developmental time course analysis of mRNA expression for the MRF and the nAChR subunit genes by RT-PCR. The expression patterns of the MRF and nAChR subunit genes were analyzed by semiquantitative RT-PCR of total RNA (cDNA) isolated from the indicated embryonic stages. Expression of the nAChR subunit genes followed the expression of the MRF genes, but with individual differences. Each set of PCRs was made on the same sample. ODC was used as a loading control.
Fig. 2.
nAChR transactivation specificities of the Xenopus MRFs in animal cap assays. Synthetic Xenopus MyoD (XMyoD), Myf5 (XMyf5), MRF4 (XMRF4), or elongation factor-1 (XEF1α) mRNA was bilaterally injected into the animal pole of two-cell stage embryos using 2 ng of mRNA (A) or 6 ng of mRNA (B). PCR conditions for each animal cap cDNA were optimized to avoid PCR saturation and enable a semiquantitative determination. PCR was first performed with ODC-specific primers to standardize the reaction. Radiolabeled RT-PCR results for Xenopus nAChR α, β, δ, and γ-subunits are shown. No signal could be detected with nAChR ϵ subunit (data not shown). As shown in C, Western blot analysis of equal amounts of extracts from Xenopus embryos injected with 2 (lane 1) or 6 ng (lane 2) of MRF mRNA were probed using an anti-FLAG monoclonal antibody. Immunoreactive bands detected showed a good correlation between the amount of MRF RNA injected and the amount of MRF protein synthesized. Comparable amounts of each MRF were detected in each series, permitting a direct comparison of their transactivation potential.
Fig. 3.
In vivo δ-subunit gene activation by XMyf5. Overexpression of XMyf5 in the D1 blastomere of a 32-cell stage embryo induced some cells of the D1 lineage to express RNA for the nAChR δ-subunit (A) but not the nAChR γ-subunit (C). Overexpression of XMyoD in the D1 blastomere failed to induce expression of the nAChR γ-subunit gene (D). A cross-section through the ventral region of stage 35 embryos injected with 2.5 ng of nβ-galactosidase RNA and either 2 ng of XMyf5 RNA (A) or 2 ng of XMyoD RNA (D) was then hybridized with antisense probes for nAChR δ-(A) or γ-(C and D) subunit mRNA. No hybridization signal was detected with a control nAChR δ-subunit sense probe (B). The localized β-galactosidase activity (blue staining) represented the distribution of cells derived from the D1 blastomere. Scale bar, 5 μm.
Fig. 4.
Inhibition of XMyf5 causes defects in the AChR-δ gene expression. As shown in A, evidence for no delay in embryonic development was noted in the embryo unilaterally injected with 2 ng of dominant-negative XMyf5 RNAs. The reduction of δ-subunit gene expression (C) was spatially correlated with fluorescence due to co-injected green fluorescent protein mRNA as a lineage tracer (B), whereas the level of γ-subunit mRNA was unaffected (D). Cross-sections at stage 25 were hybridized with nAChR δ-(C) and γ-(D) subunit antisense probes. No hybridization signal was detected with control sense probes (data not shown). Scale bar, 40 μm. The silver grain density/mm2 (E) was determined for each somite in the embryo sections hybridized with δ- and γ-subunit antisense probes using the Biocom analysis system (Visiolab).
Fig. 5.
Defects in the developmental pattern of δ-subunit mRNA expression induced by inhibition of XMyf5. The expression patterns of the δ- and γ-subunit genes were analyzed by semiquantitative RT-PCR of total RNA (cDNA) isolated from embryos bilaterally injected with XMyf5-DN or with XEF1α. The embryonic stages are indicated. The level of δ-subunit gene expression was significantly reduced in XMyf5-DN embryos, whereas γ-subunit gene expression remained unaffected. All PCRs were made on the same samples. ODC was used as a loading control.