Click here to close
Hello! We notice that you are using Internet Explorer, which is not supported by Xenbase and may cause the site to display incorrectly.
We suggest using a current version of Chrome,
FireFox, or Safari.
???displayArticle.abstract???
In fields of genetically modified, insect-resistant rice expressing Bacillus thuringiensis (Bt) proteins, frogs are exposed to Bt Cry proteins by consuming both target and non-target insects, and through their highly permeable skin. In the present study, we assessed the potential risk posed by transgenic cry1Ca rice (T1C-19) on the development of a frog species by adding purified Cry1Ca protein or T1C-19 rice straw into the rearing water of Xenopus laevis tadpoles, and by feeding X. laevis froglets diets containing rice grains of T1C-19 or its non-transformed counterpart MH63. Our results showed that there were no significant differences among groups receiving 100 μg L-1 or 10 μg L-1 Cry1Ca and the blank control in terms of time to completed metamorphosis, survival rate, body weight, body length, organ weight and liver enzyme activity after being exposed to the Cry1Ca (P > 0.05). Although some detection indices in the rice straw groups were significantly different from those of the blank control group (P < 0.05), there was no significant difference between the T1C-19 and MH63 rice straw groups. Moreover, there were no significant differences in the mortality rate, body weight, daily weight gain, liver and fat body weight of the froglets between the T1C-19 and MH63 dietary groups after 90 days, and there were no abnormal pathological changes in the stomach, intestines, livers, spleens and gonads. Thus, we conclude that the planting of transgenic cry1Ca rice will not adversely affect frog development.
???displayArticle.pubmedLink???
26695426 ???displayArticle.pmcLink???PMC4690606 ???displayArticle.link???PLoS One
Fig 1. The time to completed metamorphosis (TCM) curves of Xenopus laevis tadpoles exposed to purified Cry1Ca and transgenic cry1Ca rice (T1C-19) straw.
Control: blank control; 1C-10: 10 μg L–1 Cry1Ca protein; 1C-100: 100 μg L–1 Cry1Ca protein; MH63: MH63 rice straw;
Fig 2. The growth curves of Xenopus laevis froglets (body weight) when fed diets containing transgenic cry1Ca rice (T1C-19) or non-transformed rice isoline (MH63) grains, or a blank control diet for 90 days (n = 4).
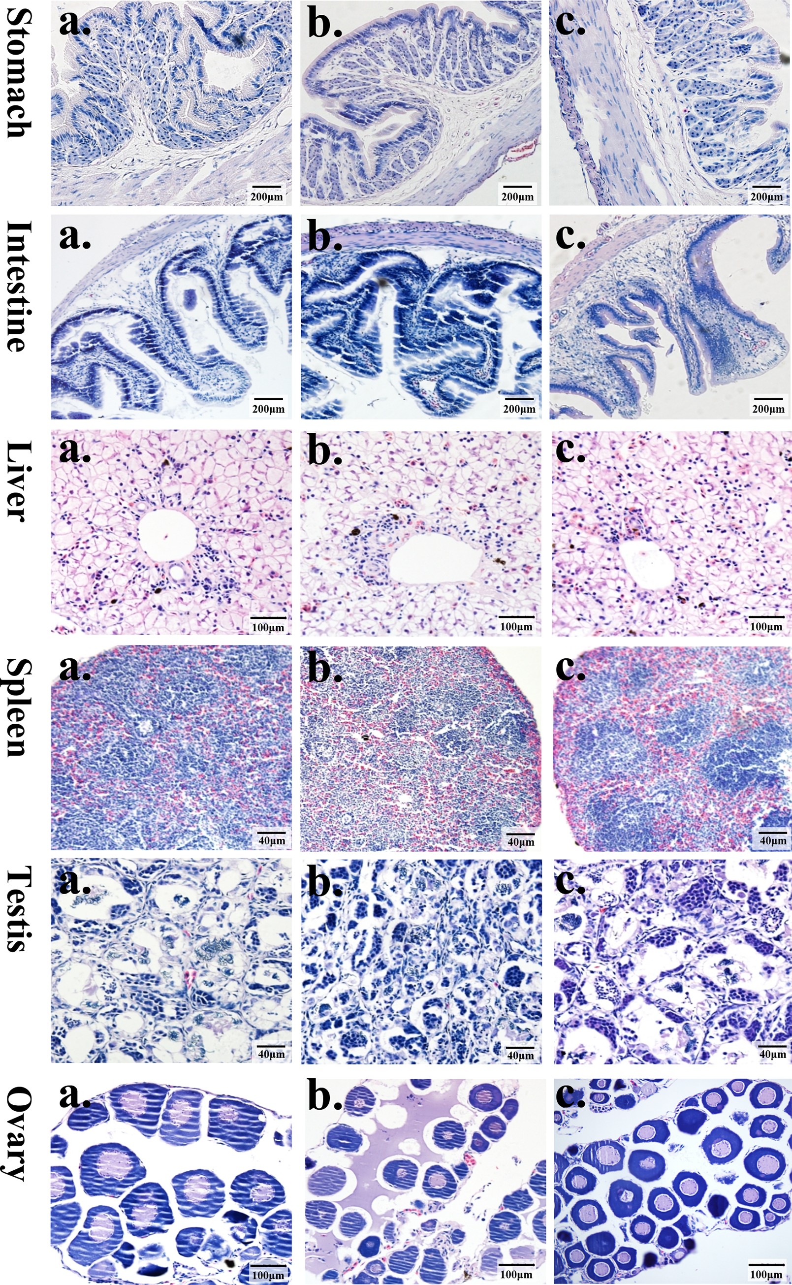
Fig 3. Histopathological staining of tissues from Xenopus laevis froglets after consuming the transgenic cry1Ca rice (T1C-19) test diet (a), the non-transformed isoline (MH63) test diet (b), or the blank control diet (c) for 90 days.
Akhtar,
Impacts of six bt rice lines on nontarget rice feeding thrips under laboratory and field conditions.
2010, Pubmed
Akhtar,
Impacts of six bt rice lines on nontarget rice feeding thrips under laboratory and field conditions.
2010,
Pubmed Blaustein,
The complexity of amphibian population declines: understanding the role of cofactors in driving amphibian losses.
2011,
Pubmed
,
Xenbase Bøhn,
Demographic responses of Daphnia magna fed transgenic Bt-maize.
2010,
Pubmed Bøhn,
Reduced fitness of Daphnia magna fed a Bt-transgenic maize variety.
2008,
Pubmed Cao,
Safety assessment of Cry1C protein from genetically modified rice according to the national standards of PR China for a new food resource.
2010,
Pubmed Carstens,
Genetically modified crops and aquatic ecosystems: considerations for environmental risk assessment and non-target organism testing.
2012,
Pubmed Chambers,
Responses of stream macroinvertebrates to Bt maize leaf detritus.
2010,
Pubmed Coady,
Effects of atrazine on metamorphosis, growth, laryngeal and gonadal development, aromatase activity, and sex steroid concentrations in Xenopus laevis.
2005,
Pubmed
,
Xenbase Dobrovoljc,
Cd, Cu, Zn, Se, and metallothioneins in two amphibians, Necturus maculosus (Amphibia, Caudata) and Bufo bufo (Amphibia, Anura).
2012,
Pubmed Douville,
Occurrence and persistence of Bacillus thuringiensis (Bt) and transgenic Bt corn cry1Ab gene from an aquatic environment.
2007,
Pubmed Douville,
Occurrence of the transgenic corn cry1Ab gene in freshwater mussels (Elliptio complanata) near corn fields: evidence of exposure by bacterial ingestion.
2009,
Pubmed Geng,
Acute toxicity of the pesticide dichlorvos and the herbicide butachlor to tadpoles of four anuran species.
2005,
Pubmed Hayes,
Pesticide mixtures, endocrine disruption, and amphibian declines: are we underestimating the impact?
2006,
Pubmed
,
Xenbase Hofmann,
Specificity of Bacillus thuringiensis delta-endotoxins is correlated with the presence of high-affinity binding sites in the brush border membrane of target insect midguts.
1988,
Pubmed Indermaur,
Spatial variation in abiotic and biotic factors in a floodplain determine anuran body size and growth rate at metamorphosis.
2010,
Pubmed Jensen,
Exposure and nontarget effects of transgenic Bt corn debris in streams.
2010,
Pubmed Jones,
Very highly toxic effects of endosulfan across nine species of tadpoles: lag effects and family-level sensitivity.
2009,
Pubmed Li,
Tier-1 assays for assessing the toxicity of insecticidal proteins produced by genetically engineered plants to non-target arthropods.
2014,
Pubmed Li,
Bt rice producing Cry1C protein does not have direct detrimental effects on the green lacewing Chrysoperla sinica (Tjeder).
2014,
Pubmed Lu,
Mirid bug outbreaks in multiple crops correlated with wide-scale adoption of Bt cotton in China.
2010,
Pubmed Lu,
The first approved transgenic rice in China.
2010,
Pubmed Mannakkara,
Zero effect of Bt rice on expression of genes coding for digestion, detoxification and immune responses and developmental performances of brown planthopper Nilaparvata lugens (Stål).
2013,
Pubmed Oka,
Effect of atrazine on metamorphosis and sexual differentiation in Xenopus laevis.
2008,
Pubmed
,
Xenbase O'Rourke,
Amphibians used in research and teaching.
2007,
Pubmed Raybould,
Non-target organism effects tests on Vip3A and their application to the ecological risk assessment for cultivation of MIR162 maize.
2011,
Pubmed Rosi-Marshall,
Toxins in transgenic crop byproducts may affect headwater stream ecosystems.
2007,
Pubmed Schrøder,
A 90-day safety study of genetically modified rice expressing Cry1Ab protein (Bacillus thuringiensis toxin) in Wistar rats.
2007,
Pubmed Sparling,
Comparative toxicity of chlorpyrifos, diazinon, malathion and their oxon derivatives to larval Rana boylii.
2007,
Pubmed Tank,
Occurrence of maize detritus and a transgenic insecticidal protein (Cry1Ab) within the stream network of an agricultural landscape.
2010,
Pubmed Tian,
Transgenic Cry1Ab rice does not impact ecological fitness and predation of a generalist spider.
2012,
Pubmed Wang,
Effect of straw leachates from Cry1Ca-expressing transgenic rice on the growth of Chlorella pyrenoidosa.
2014,
Pubmed Wang,
Comparison of three transgenic Bt rice lines for insecticidal protein expression and resistance against a target pest, Chilo suppressalis (Lepidoptera: Crambidae).
2016,
Pubmed Yang,
Consumption of Bt rice pollen containing Cry1C or Cry2A protein poses a low to negligible risk to the silkworm Bombyx mori (Lepidoptera: Bombyxidae).
2014,
Pubmed Yao,
Toxicological assessment of pollen from different bt rice lines on Bombyx mori (Lepidoptera: Bombyxidae).
2008,
Pubmed Zhang,
[Exposure degree of important non-target arthropods to Cry2Aa in Bt rice fields].
2013,
Pubmed Zheng,
Resistance performances of transgenic bt rice lines T(2A)-1 and T1c-19 against Cnaphalocrocis medinalis (Lepidoptera: Pyralidae).
2011,
Pubmed Zhou,
Bioaccumulation of Cry1Ab protein from an herbivore reduces anti-oxidant enzyme activities in two spider species.
2014,
Pubmed Zhu,
A 90 day safety assessment of genetically modified rice expressing Cry1Ab/1Ac protein using an aquatic animal model.
2015,
Pubmed
,
Xenbase