Click here to close Hello! We notice that you are using Internet Explorer, which is not supported by Xenbase and may cause the site to display incorrectly. We suggest using a current version of Chrome, FireFox, or Safari.
XB-ART-51903
Development 2016 Apr 01;1437:1134-48. doi: 10.1242/dev.131060.
Show Gene links Show Anatomy links

Tumor protein Tctp regulates axon development in the embryonic visual system.

Roque CG, Wong HH, Lin JQ, Holt CE.


???displayArticle.abstract???
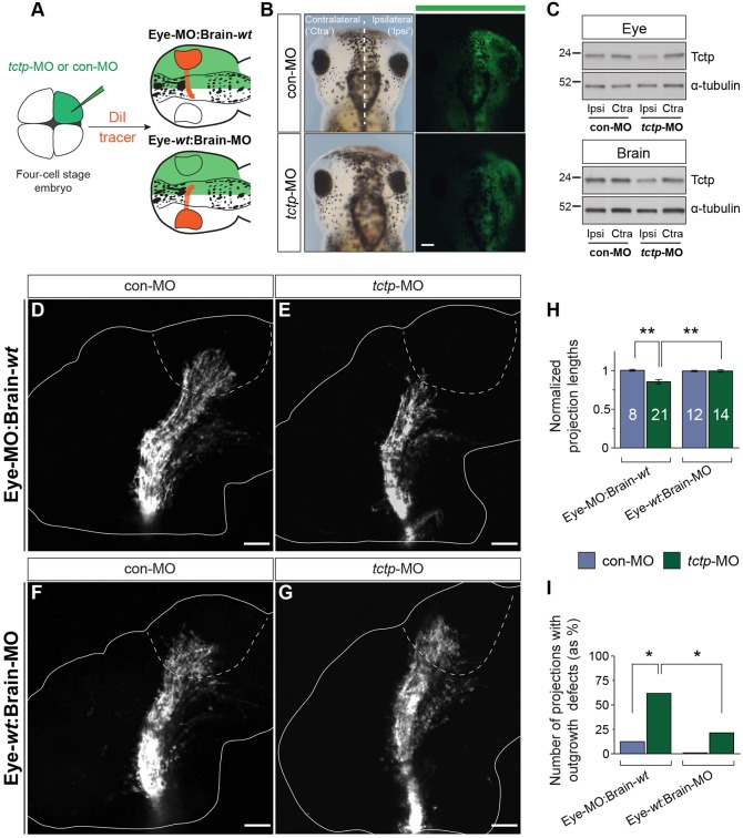
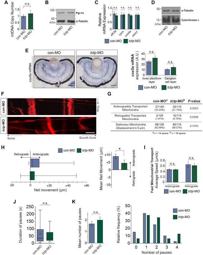
The transcript encoding translationally controlled tumor protein (Tctp), a molecule associated with aggressive breast cancers, was identified among the most abundant in genome-wide screens of axons, suggesting that Tctp is important in neurons. Here, we tested the role of Tctp in retinal axon development in Xenopus laevis We report that Tctp deficiency results in stunted and splayed retinotectal projections that fail to innervate the optic tectum at the normal developmental time owing to impaired axon extension. Tctp-deficient axons exhibit defects associated with mitochondrial dysfunction and we show that Tctp interacts in the axonal compartment with myeloid cell leukemia 1 (Mcl1), a pro-survival member of the Bcl2 family. Mcl1 knockdown gives rise to similar axon misprojection phenotypes, and we provide evidence that the anti-apoptotic activity of Tctp is necessary for the normal development of the retinotectal projection. These findings suggest that Tctp supports the development of the retinotectal projection via its regulation of pro-survival signalling and axonal mitochondrial homeostasis, and establish a novel and fundamental role for Tctp in vertebrate neural circuitry assembly.

???displayArticle.pubmedLink??? 26903505
???displayArticle.pmcLink??? PMC4852495
???displayArticle.link??? Development
???displayArticle.grants??? [+]

Species referenced: Xenopus laevis
Genes referenced: actb b2m bcl2 cox5a cycs cyp26a1 gcg h4c1 hprt1 idh3a map2 mcl1 pax6 rho rhot1 rps13 tbp tpt1
???displayArticle.morpholinos??? mcl1 MO1 tpt1 MO2


???attribute.lit??? ???displayArticles.show???
References [+] :
Agathocleous, Metabolic differentiation in the embryonic retina. 2012, Pubmed, Xenbase