|
Extended Figure 2. Expression cloning of AxMLP as a myotube cell cycle inducera, The results of the second round screen of superpool 9 (see Fig. 1b and ExFig 1) and its sub-pooling diagram (right side). Sub-pool D and sub-pool 2 showed higher BrdU incorporation activity than the others, identifying pool #212 as positive (n=12: 4 biological, 3 technical replicates each; mean±s.d.). b, The result of the third round screen of pool #212 from superpool 9 and its sub-pooling diagram (right side). Sub-pool A1 showed activity (n=6: 2 biological, 3 technical replicates each; mean±s.d.). c, Fourth round screen of SP9 identified a single active clone (c1), AxMLP. (n=12: 4 biological, 3 technical replicates each; mean±s.d.). The pooling diagram is shown on the right side. d, AxMLP supernatant induces an S-phase response in a dose dependent manner in the newt myotube assay. Different amounts of AxMLP-containing supernatant (30 μl, 20 μl, 10 μl and 5.0 μl respectively) were provided to the myotube cell culture medium. The myotube BrdU incorporation correlated with the amount of supernatant provided, whereas pCMV-SPORT6 supernatant did not provoke cell cycle entry at any dose (n=6: 2 biological, 3 technical replicates each; mean±s.d.). e,f, Newt myotubes treated with purified AxMLP (e) or Flow-through (f) were immunostained for BrdU and MHC. More BrdU incorporated nuclei (red) in myotubes (green) were observed in culture supplied with purified AxMLP compared to Flow-Through-treated cultures. Bar in e, 1 mm |
|
Extended Figure 3. AxMLP is classified as a member of the MARCKS family and characterization of its extracellular release in HEK293 cellsa, Amino-acid sequence alignment of AxMLP with sequences from other vertebrates, human, mouse, rat, chick, newt, Xenopus and zebrafish. AxMLP contains three conserved domains, i) Myristoylated N-terminus domain, ii) MARCKS homology domain, iii) Effector domain. b, A phylogenetic tree of vertebrate MARCKS family proteins. The tree was constructed by the neighbor joining method with the ClustalW program. The percentage beside the nodes shows that a node was supported in 1000 bootstrap pseudo replications. The scale bar indicates evolutionary distance. c, Schematic illustration of His tagged AxMLP (left) and EGFP fused AxMLP (right). 3C protease PreScission site was inserted between AxMLP and the tag for both constructs. d, e, AxMLP does not induce significant cell death. The percentage of GFP-expressing HEK293 cells (d) and absolute number of the cells (e) (d,e: n=16: 4 biological, 4 technical replicates each; mean±s.d.; center values as median; whiskers as maximum and minimum, respectively) at the indicated time points of culture. There was no significant difference with Student’s t-test between AxMLP transfected cells and the control in any time points. f, Characterization of anti-AxMLP antibodies by Western Blot. Cell lysates from HEK293 cells transfected with the indicated plasmids were tested for the full-length AxMLP polyclonal antibody (left) and C-terminal AxMLP polyclonal antibody (right). g, Silver Staining of the fractions from AxMLP-His purification. BSA was added to purified fraction as a carrier protein. h, AxMLP-His purification analyzed by anti-His-tag Western Blotting. |
|
Extended Figure 4. AxMLP is sufficient to induce cell cycle entry in axolotl tail and limba-d, Sections from AxMLP-injected tails immunostained for BrdU / PAX7 (a,b) and BrdU / MEF2C (c,d) (refers to data in Fig. 2). e, Schematic illustration of the protein injection into axolotl limb. f, Quantification of BrdU+ cells in the limbs injected with PBS, Flow-through or purified AxMLP (n=4: biological replicates; center values as median; points represent each sample). Transverse sections from purified AxMLP injected (g-j) or Flow-through injected limbs (k-n). Sections were immunostained for BrdU (g,k), BrdU/MBP-Myelin Basic Protein (h,l), BrdU/PAX7 (i,m) and BrdU/GFP (j,n). GFP+ cells represent connective tissues in LPM (Lateral Plate Mesoderm)-GFP transplanted axolotls. All molecular markers used except MBP had nuclear expression, and therefore allowed one-to-one colocalization of nuclear BrdU with nuclear staining of the marker. Therefore, we refer to the MBP data as “MBP-associated.” White boxes, highlight the magnified images. Yellow circles, indicating two bones in the lower limb. NS, not significant; *P<0.05, **P<0.005, ***P<0.0005, ****P<0.00005 with Student’s t-test. Bars in a-d: 100 μm, Bars in g-n: lower magnisfication images, 200μm; in higher magnification images, 50μm. White arrowheads, indicating marker+/BrdU+ cells. |
|
Extended Figure 5. Upregulation of AxMLP transcript during early regeneration and alteration of AxMLP protein localization in wound epidermis cellsMeasurement of AxMLP expression by qPCR at the indicated time points during tail (a) and limb (e) regeneration (n=3: biological replicates; mean±s.d.). To obtain the values of fold-change for each time point, the relative concentration of the PCR products were calculated by the standard curve method. The concentration of AxMLP was normalized with that of Rpl4 (large ribosomal protein 4). b-h, Immunostaining with anti-AxMLP antibody (white) on tails (b-d) and limbs (f-h), of intact (b,f: transverse sections), 1day post amputation (dpa) (c: sagittal; g: horizontal) and 6 dpa (d: sagittal; h:horizontal) samples. By 6 dpa, the epithelial organization and AxMLP expression appeared to be returning to a less tightly adherent, less membrane associated appearance (d-d”,h,h’). Bars in b, c, d, f, g, h, 200 μm; in b’ b” c’ c” d’ d” f’ g’ h’, 50 μm. Red arrowheads in c’d’, indicating spinal cord; Green arrowheads in c’, c”, g’ indicating wound epidermis; Yellow arrowheads in c”, g’ indicating normal epidermis. Yellow circles in f, indicating two bones in the lower limb. |
|
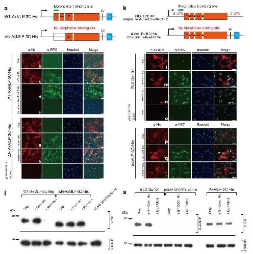
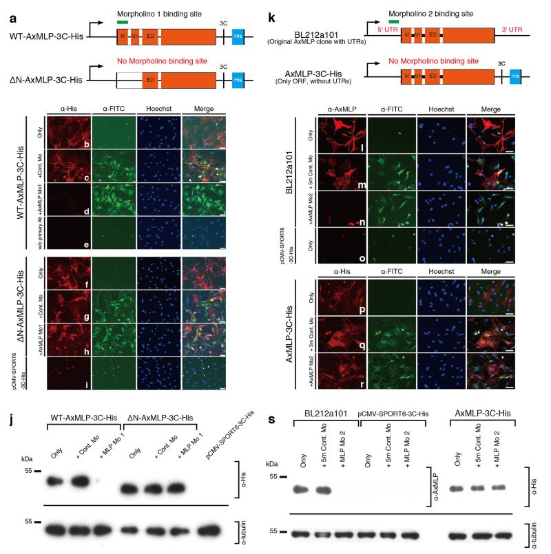
Extended Figure 6. AxMLP morpholinos specifically and efficiently reduce AxMLP translation in cultured cellsa, Schematic illustration of wild type (WT) AxMLP (top) and N-terminal deletion AxMLP (bottom) constructs used to characterize AxMLP Morpholino 1. The N-terminally deleted AxMLP lacks the morpholino binding site. Both constructs have a His-tag on their C-terminus (a). M, Myristoylated N-terminus domain; MH, MARCKS homology domain; ED, Effector domain. b-i, Electroporated A1 myoblasts were stained with indicated markers. b-e, WT-AxMLP plasmid was co-electroporated with the control morpholino (c) or the AxMLP-specific morpholino (d), whereas WT-AxMLP plasmid only (b) or WT-AxMLP only without any primary antibody staining was used as negative controls (e). f-h, ΔN-AxMLP plasmid was co-electroporated with the control morpholino (g) or the AxMLP-specific morpholino (h), whereas ΔN-AxMLP plasmid only (f) or pCMV-SPORT6-3C-His (empty vector) plasmid only served as negative controls (i). j, Western Blotting for the cell lysates from the experiment above. AxMLP morpholino specifically reduced AxMLP protein expression. k, Schematic illustration of the constructs used to characterize AxMLP Morpholino 2. The original AxMLP expression clone from the cDNA library (BL212a101: top) was used as it included the 5’UTR target site for AxMLP Morpholino 2. The sub-cloned AxMLP-His construct lacks the binding site for AxMLP Morpholino 2 and was used as the control construct. l-r, Electroporated A1 myoblasts were stained with indicated markers. l-n, BL212a101 plasmid was co-electroporated with the five-mismatch control morpholino (m) or the AxMLP-specific morpholino 2 (n), or BL212a101 plasmid only (l) or pCMV-SPORT6-3C-His (empty vector) plasmid only served as negative controls (o). AxMLP was detected using an anti-AxMLP antibody (Red), and morpholinos detected via FITC conjugation (Green). p-r, AxMLP-3C-His plasmid was co-electroporated with the five-mismatch control morpholino (q) or the AxMLP-specific morpholino 2 (r) or AxMLP-3C-His plasmid only (p). AxMLP was detected using an anti-His-tag antibody (Red), and Morpholinos detected via FITC conjugation (Green). s, Western Blotting for the cell lysates from the experiment above. AxMLP morpholino 2 specifically reduced AxMLP protein expression. Bars, 100 μm. |
|
Extended Figure 7. AxMLP morpholinos knockdown endogenous AxMLP in vivoThe morpholinos shown in a-j” were used in Fig. 4 and ExFig. 6a-j,8a-f and the morpholinos shown in k-t” were used in ExFig. 6k-s,8g-j. Transverse sections from AxMLP-specific morpholino 1 (a-e) or control morpholino (f-j) electroporated tail. b, the spinal cord (SC) boxed in a. c-c”, the higher magnification images of the SC boxed in b. AxMLP expression was detected in morpholino negative cells (red asterisks), whereas it was reduced in morpholino positive cells (yellow asterisks). d, the epidermis boxed in a. e-e”, AxMLP expression was unaffected in morpholino negative cells (red asterisks), whereas it was reduced in morpholino positive cells (yellow allowheads). In the control morpholino electroporated tail (f), there was no morpholino specific knockdown phenotype in either SC (g-h”) or epidermis (i-j”). The same experiments were performed with AxMLP specific morpholino 2 (k-o) and the corresponding five-mismatch control morpholino (p-t). The data sets were the same as a-j above. Bars, in a,f,k,p 200μm; in b-e, g,-j, l-o, q-t 50μm. |
|
Extended Figure 8. AxMLP is necessary for initial cell proliferation during tail regenerationa-d, Representative transverse sections of the morpholino electroporated/protein injected blastemas that were used for quantification of BrdU incorporation in Fig. 4d. Rhodamine was co-injected with the protein samples. e, Quantification of BrdU+ cells in blastema sections of morpholino electroporated/protein injected tails at 3 dpa (n=4: biological replicates; center values as median; points represent each sample). f, The length of the blastema during tail regeneration. The data at 6 dpa was plotted in Fig. 4c. By 14 days the difference in total regenerate length among the samples was not statistically significant. g-j, The same experimental scheme (shown in Fig. 4a) as was used for AxMLP morpholino 1 was implemented for a second specific morpholino (AxMLP-specific morpholino 2). g, Brightfield images of the morpholino 2 electroporated/protein injected tails at 6 dpa. h, Blastema length at 6 dpa (n=4: biological replicates; center values as median; points represent each sample). i, The length of the blastema during tail regeneration. The data at 6 dpa was plotted in h. j, Transverse sections immunostained for BrdU from morpholino electroporated/protein injected tails at 3 dpa. AxMLP specific morpholino 2 combined with flow-through (FT) injection shows reduction of BrdU incorporation, whereas AxMLP protein injection rescues the phenotype. The corresponding five-mismatch control morpholino does not affect BrdU incorporation. NS, not significant, **P<0.005, ***P<0.0005, ****P<0.00005 with Student’s t-test. Bars in a-d,j, 200 μm; in g, 500 μm. Red bars in g, indicating amputation planes. Dashed lines in g, delineate the shape of the mesenchymal blastema. Yellow circles in j, indicating spinal cord (top) and notochord/cartilage (bottom), respectively. |
|
Extended Figure 9. Anti-AxMLP antibody significantly blocks BrdU incorporation during tail regenerationa, Schematic illustration of antibody injection into axolotl tail. b, Quantification of BrdU+ cells in blastema sections of antibody injected tails at 3 dpa (n=4: biological replicates; center values as median; points represent each sample). NS, not significant; **P<0.005, ***P<0.0005, ****P<0.00005 with Student’s t-test. |
|
Extended Figure 10. Exogenous AxMLP accelerates normal tail regenerationa, Schematic illustration of the protein injection into axolotl tail and blastema. b, Bright field images of the protein injected tails at 4 dpa. c, Blastema length at 4 dpa. (n=6: PBS, FT; n=8: AxMLP, biological replicates; center values as median; points represent each sample). The blastema from purified AxMLP injected tails significantly increased the regenerate length. NS, not significant; ***P<0.0005 with Student’s t-test. Bar in b, 500 μm. Red bars in b, indicating amputation planes. Dashed lines in b, delineate the shape of the mesenchymal blastema. |
|
Figure 1. Extracellular AxMLP identified by expression cloning is necessary and sufficient for cell cycle re-entry in vitroa, Supernatants from Xenopus oocytes injected with total mRNA from tail and limb blastema induced robust BrdU incorporation in cultured new myotubes (“Myotube assay”). (n=6: 2 biological, 3 technical replicates each; mean±s.d.). b, A screen for the cell cycle inducing clone. Culture media from HEK293 cells transfected with 6-day tail blastema cDNA library pools and assayed on myotubes for cell cycle induction (see ExFig. 1 for scheme) identified four positive superpools (n=12: 4 biological, 3 technical replicates each; mean±s.d.). Superpool 9 was sib-selected to a single clone, see ExFig. 2. c, AxMLP-GFP fusion protein detection in culture media of transfected HEK293 cells by fluorescence luminometry. (n=3: biological replicates; mean±s.d.). d, MLP orthologs show differing levels of extracellular protein. AxMLP was readily detectable by Western Blotting in cell culture supernatant (S). Human, Zebrafish, Xenopus and Newt MLPs (HMLP, ZMLP, XMLP and NMLP) were only detectable in 40-fold concentrated supernatants (C.S). C.S.*: 5-fold concentrated supernatant. Loading control: anti-tubulin. e. AxMLP and NMLP supernatants both induce myotube cell cycle with response corresponding to protein levels in supernatant (n=6: 2 biological, 3 technical replicates each; mean±s.d.). f. Induction of myotube cell cycle re-entry by AxMLP is specifically blocked by addition of polyclonal anti-AxMLP antibodies to culture supernatant. (n=6: 2 biological, 3 technical replicates each; mean±s.d.). g, Purified AxMLP induces myotube cell cycle re-entry (n=6: 2 biological, 3 technical replicates each; mean±s.d.). SP, superpool; WL, whole library; HS, high serum; LS, low serum. L, cell lysate; S, supernatant. C.S, concentrated supernatant. NS, not significant; ****P<0.0001 with Student’s t-test. |
|
Figure 2. AxMLP is sufficient to induce cell cycle entry in vivoa, Schematic illustration of in vivo protein injection experiment. b,c,Transverse sections of tails injected with purified AxMLP (b) or Flow-through (fraction depleted of AxMLP) (c) immunostained for BrdU. d, Quantification of BrdU+ cells in injected tails. Quantification of BrdU+/PAX7+ cells and BrdU+/MEF2C+ shows that AxMLP induces cell cycle entry in PAX7+ cells (d). NS, not significant; ****P<0.0001 with Student’s t-test, (n=15: 5 biological, 3 technical replicates each; mean±s.d.). Bar in c, 200 μm. White brackets in b, c, indicate injection site. Yellow circles in b, c, indicate spinal cord (top) and notochord (bottom), respectively. |
|
Figure 3. AxMLP induces cell cycle re-entry of muscle-derived cells in newt limba-c top panels, Schematic representation of the experimental paradigm testing the effect of AxMLP on PAX7+ satellite cell proliferation in uninjured limb (a), on PAX7+ satellite cell activation in injured limb (b) or myofiber dedifferentiation after injury (c). a-lower panels: Transverse section of uninjured limb injected with purified AxMLP shows no induction of EdU incorporation. Graph showing no difference in either purified AxMLP or Flow-through (FT) injected uninjured limbs (right side; n=4: biological replicates). b-lower panels: Transverse section of the regenerating limb injected with AxMLP shows increased EdU incorporation of PAX7+ cells. Graph showing more EdU+/PAX7+ satellite cells in AxMLP-injected limbs (right side; n=5: biological replicates; mean±sem). c-lower panels: Transverse section from myofiber-labeled, regenerating limb injected with AxMLP. Graph showing more EdU+/YFP+ myofiber progeny in AxMLP injected blastemas (right side; n=5: biological replicates; mean±sem). NS, not significant; *P<0.05 with Student’s t-test. Bars in lower magnification images, 200 μm; in higher magnification images, 20 μm. Arrowheads indicate marker+/EdU− cells. Arrows indicate marker+/EdU+ cells. |
|
Figure 4. AxMLP is necessary for cell proliferation during early tail regenerationa, Schematic diagram of the morpholino electroporation experiment. b, Brightfield images of the morpholino electroporated/protein injected tails at 6 dpa showing inhibition of regeneration by anti-AxMLP morpholino and rescue by protein injection. c, Blastema length at 6 dpa. The sample order on the X-axis is the same as in (d) (n=4: biological replicates; center values as median; points represent each sample). d, Quantification of BrdU+ cells in tail blastema sections at 3 dpa (n=4: biological replicates; center values as median; points represent each sample). e-g, Injection of anti-AxMLP antibody inhibits proliferation after tail amputation. Transverse sections of 3 day regenerating tails that had been injected with PBS (e), anti-GFP antibody (f) or anti-AxMLP antibody (g) (For details see ExFig. 9). Sections immunostained for BrdU. *P<0.05, ***P<0.0005 with Student’s t-test. Bars in b, 500 μm; in e, 200 μm. Red bars in b, indicating amputation planes. Dashed lines in b, delineate shape of the blastema. Yellow circles in e-g, delineate the spinal cord (top) and notochord/cartilage (bottom), respectively. |