XB-ART-52144
Nat Cell Biol
2016 Jul 01;187:752-764. doi: 10.1038/ncb3363.
Show Gene links
Show Anatomy links
The polycystin complex mediates Wnt/Ca(2+) signalling.
Kim S, Nie H, Nesin V, Tran U, Outeda P, Bai CX, Keeling J, Maskey D, Watnick T, Wessely O, Tsiokas L.
???displayArticle.abstract???
WNT ligands induce Ca(2+) signalling on target cells. PKD1 (polycystin 1) is considered an orphan, atypical G-protein-coupled receptor complexed with TRPP2 (polycystin 2 or PKD2), a Ca(2+)-permeable ion channel. Inactivating mutations in their genes cause autosomal dominant polycystic kidney disease (ADPKD), one of the most common genetic diseases. Here, we show that WNTs bind to the extracellular domain of PKD1 and induce whole-cell currents and Ca(2+) influx dependent on TRPP2. Pathogenic PKD1 or PKD2 mutations that abrogate complex formation, compromise cell surface expression of PKD1, or reduce TRPP2 channel activity suppress activation by WNTs. Pkd2(-/-) fibroblasts lack WNT-induced Ca(2+) currents and are unable to polarize during directed cell migration. In Xenopus embryos, pkd1, Dishevelled 2 (dvl2) and wnt9a act within the same pathway to preserve normal tubulogenesis. These data define PKD1 as a WNT (co)receptor and implicate defective WNT/Ca(2+) signalling as one of the causes of ADPKD.
???displayArticle.pubmedLink??? 27214281
???displayArticle.pmcLink??? PMC4925210
???displayArticle.link??? Nat Cell Biol
???displayArticle.grants??? [+]
P30 DK090868 NIDDK NIH HHS , R01 DK059599 NIDDK NIH HHS , R01 DK095036 NIDDK NIH HHS , R01 DK080745 NIDDK NIH HHS , R56 DK059599 NIDDK NIH HHS
Species referenced: Xenopus
Genes referenced: adm dvl2 pdgfa pkd1 pkd2 wnt3a wnt9a wnt9b znrf3
???displayArticle.morpholinos??? dvl2 MO1 pkd1 MO1 pkd1 MO2 wnt9a MO1
???attribute.lit??? ???displayArticles.show???
|
|
Figure 2. WNT9B activates PKD1/TRPP2Time course of WNT9B-induced Δ[Ca2+]i (shown as fluorescence ratio 340/380) in untransfected (a, red, n=52 cells pooled from 3 independent experiments) or PKD1/TRPP2 co-transfected CHO-K1 cells (b, red, n=30 cells pooled from 5 independent experiments) in 1.8 mM extracellular Ca2+. Ionomycin (I, 2 μM) was added at time point 35 min. (c) Time course of WNT9B-induced Δ[Ca2+]i in PKD1/TRPP2 co-transfected CHO-K1 cells (red, n=65 cells pooled from 5 independent experiments) in Ca2+ free extracellular solution (10 μM EGTA). Δ[Ca2+]i in PBS-treated cells in all three conditions is shown in black. (d-l) Time course (d-f), step currents (g-i), or I-V curves of WNT9B (500 ng/ml)-induced whole cell currents in untransfected (d,g,j), PKD1/TRPP2 co-transfected (e,h,k) or PKD1S99I/TRPP2-co-transfected CHO-K1 cells (f,i,l) in 50 nM intracellular Ca2+ concentration. La3+ (100 μM) was added at the indicated times. I-V curves were taken before (black) and 5 min after (red) the addition of WNT9B in the bath solution of untransfected (j, n=6 cells pooled from 2 independent experiments), PKD1/TRPP2- (k, n=12 cells pooled from 4 independent experiments), or PKD1S99I/TRPP2-co-transfected CHO-K1 cells (l, n=6 cells pooled from 4 independent experiments). Representative time courses (d-f) and step currents (g-i) from 6 (untransfected), 12 (PKD1+TRPP2), or 6 (PKD1S99I+TRPP2) cells. All statistical tests were performed using paired Student's t-test, **P<0.01. Data are shown as mean ± SEM. |
|
|
Figure 3. Pathogenic mutations in PKD1 or TRPP2 suppress activation by WNT9B(a-h) I-V curves taken before (black) and 5 min after the addition of WNT9B (500 ng/ml) in the bath solution (red) of untransfected (a, n=5 cells pooled from 2 independent experiments), PKD1/TRPP2- (b, n=8 cells from 3 independent experiments), or PKD1S99I/TRPP2- (c, n=7 cells from 3 independent experiments), PKD1/TRPP2D511V- (d, n=11 from 4 independent experiments), PKD1/TRPP2R872X- (e, n=7 cells from 3 independent experiments), PKD1/TRPP2Kv1.3- (f, n=12 cells from 5 independent transfections), PKD1L1/TRPP2- (g, n=9 cells from 5 independent experiments), or PKD1/TRPP2/ZNRF3- (h, n=11 cells pooled from 3 independent transfections) co-transfected CHO-K1 cells in zero intracellular Ca2+. (i) Summary data of inward (−100 mV) or outward currents (+100 mV) from all groups. Differences between current densities before and after WNT9B for any given membrane potential in I-V curves were determined using paired Student's t-test, *P<0.05, **P<0.01. Data are shown as mean ± SEM. |
|
|
Figure 4. TRPP2 mediates WNT9B-induced whole cell currents in MEFs(a-c) Time course (a), step currents (b), and I-V curves of WNT9B-induced whole cell currents in 50 nM intracellular Ca2+ (c, n=7 cells pooled from 3 independent experiments), before (Cont-Pkd2+/+) or after WNT9B (500 ng/ml, WNT9B-Pkd2+/+) in wild type Pkd2+/+ MEFs. Time course of WNT9B-induced currents in Pkd2−/− MEFs is shown as open blue circles in (a), whereas I-V curves are shown as open black (Cont-Pkd2−/−) and open blue circles (WNT9B-Pkd2−/−) in (c) (n=6 cells from 3 independent experiments). (d-l) Time course, step currents, and I-V curves of WNT9B-induced whole cell currents in zero intracellular Ca2+ in mock- transfected (just CD8α) (d-f, n=6 cells from 3 independent experiments), wild type TRPP2- transfected (g-i, n=12 cells from 5 experiments), or TRPP2Kv1.3- transfected Pkd2−/− cells (j-l, n=5 cells pooled from 3 independent experiments). Time course and I-V curves of WNT9B-induced currents in zero intracellular Ca2+ in Pkd2−/− cells is shown as open blue circles in (d) and (f, n=6 cells pooled from 3 independent experiments). (m-o) Time course, step currents, and I-V curves of WNT9B-induced whole cell currents in zero intracellular Ca2+ in ZNRF3-transfected Pkd2+/+ MEFs (n=12 cells pooled from 4 independent experiments). Step currents are shown 5 min after the addition of WNT9B (500 ng/ml) in the bath solution. I-V curves were taken before (black) and 5 min after the addition of WNT9B (red). Differences between current densities before and after WNT9B for any given membrane potential in I-V curves were determined using paired Student's t-test, *P<0.05, **P<0.01. Data are shown as mean ± SEM. Representative images of time courses (a,d,g,j,m) and step currents (b,e,h,k,n) were obtained from 7, 6, 12, 5, 12 cells, respectively. |
|
|
Figure 5. TRPP2 mediates WNT3A-induced whole cell currents in MEFsTime course, step currents, and I-V curves of WNT3A-induced whole cell currents in zero intracellular Ca2+ in mock- (a-c, n=16 cells pooled from 6 independent experiments), or ZNRF3-transfected Pkd2+/+ (d-f, n=20 cells pooled from 7 independent experiments) or Pkd2−/− MEFs (g-i, n=9 cells from 4 independent experiments) before (black) and after the addition of WNT3A (500 ng/ml) in the bath solution (red). Step currents are shown at 5 min after the addition of WNT9B in the bat solution. Statistical analysis was performed using paired Student's t-test, *P<0.05, **P<0.01. Data are shown as mean ± SEM. Representative images of time courses (a,d,g) and step currents (b,e,h) were obtained from 16, 20, 9 cells, respectively. |
|
|
Figure 6. Interaction of DVL1 and DVL2 with PKD1 in MEFs and transiently transfecte HEK293T cells(a) Wild type MEF cell lysates were incubated with mouse IgG1 control antibody or mouse monoclonal α-PKD1 (E4). Immunocomplexes were immunoblotted with rabbit polyclonal α-DVL1 (upper left panel), α-DVL2 (middle left panel), or mouse monoclonal α-PKD1 (7e12, lower left panel). Expression levels of DVL1, DVL2, or PKD1 in lysates incubated with mouse IgG1 control or α-PKD1 (E4) are shown in right panels (input). Experiments were successfully repeated 3 times. (b) Cell lysates from Pkd1−/− or Pkd2−/− MEFs were incubated with mouse IgG1 control antibody or mouse monoclonal α-PKD1 (E4) and DVL2 was detected in the immunocomplexes, as described in (a). Experiments were successfully repeated twice. (c) HEK293T cells were transiently transfected with indicated plasmids and PKD1 or TRPP2 was pulled down with α-HA. Flag-tagged wild type or mutant DVL2 was detected using α-Flag. DIX (DIshevelled and aXin), PDZ, or DEP (Dishevelled, Egl-10 and Plecstrin) domains are shown red in DVL2 diagram. Position of E499G mutation and PY motif are shown by a black arrow head. Experiments were successfully repeated 3 times. (d) Time course, step currents and I-V curves in zero intracellular Ca2+ of wild type MEFs transiently transfected with a DVL2-specific siRNA (n=18 cells pooled from 5 independent experiments) or a mixture of DVL1 and DVL2 siRNAs (n=13 cells pooled from 4 independent experiments). Statistical tests were performed using paired Student's t-test, **P<0.01. Data are shown as mean ± SEM. (e) Knockdown efficiency of DVL1 and DVL2 siRNAs. Wild type MEFs were transiently transfected with indicated siRNAs and cell lysates were immunoblotted with α-DVL1, α-DVL2, or α-β-actin. Experiment was done once. Unprocessed original scans of blots are shown in Supplementary Fig. 8). |
|
|
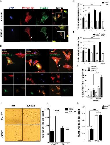
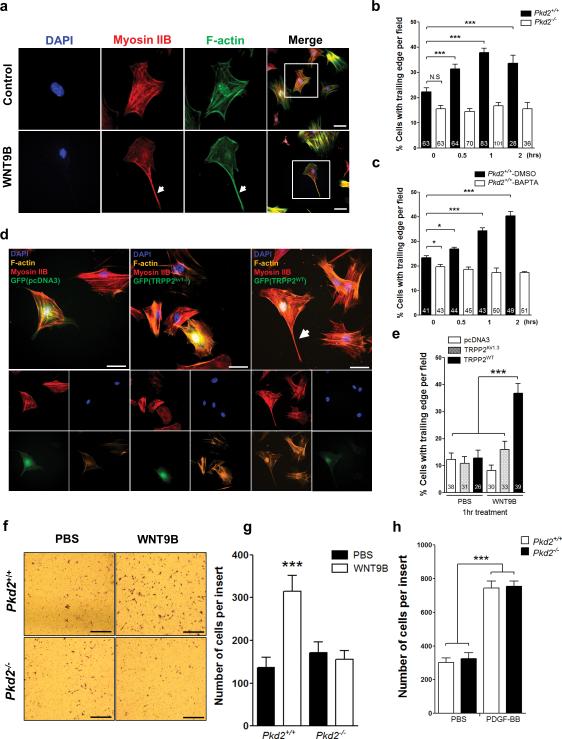
Figure 7. TRPP2 mediates WNT9B-induced cell migration(a) Pkd2+/+ cells stained with phalloidin (green, to visualize F-actin), Myosin IIB (red), or DAPI (blue) at 0 (Control) or 30 min after the addition of WNT9B (500 ng/ml). Arrow heads indicate accumulation of F-actin and Myosin IIB in the trailing edge of a migrating cell. Scale bar, 50 μm. (b) Percentage of Pkd2+/+ cells with trailing edge per field (total number of fields of cells pooled from 3 independent experiments shown in graph) incubated with WNT9B or PBS at different time points. (c) Percentage of cells with trailing edge per field (total number of fields of cells pooled from 3 independent experiments shown in graph) in Pkd2+/+ MEFs incubated with WNT9B in the presence or absence (DMSO) of 10 μM BAPTA/AM at different time points. (d) Representative images of GFP-, GFP+TRPP2WT- or GFP+TRPP2Kv1.3-transfected Pkd2â/â cells stained for F-actin (yellow) and Myosin IIB (red). Scale bar, 50 μm. (e) Percent of migrating GFP-positive cells in three groups treated for 1 h with PBS or WNT9B (500 ng/ml) from one representative out of three independent transfections (total number of fields of cells from a single experiment, that was independently repeated three times are shown in graph). Statistics source data for all three experiments are available in Suppl. Table 3. (f) Cells migrated through a trans-well filter in the presence of WNT9B (1 μg/ml) or PBS for 6 h. Scale bar, 500 μm. (g) Number of migrating Pkd2+/+ or Pkd2â/â cells through a trans-well filter in the presence of PBS or WNT9B. n= 18 fields per group pooled from 3 independent experiments scoring a total of 2462 (Pkd2+/+-PBS), 5665 (Pkd2+/+-WNT9B), 3091 (Pkd2â/â-PBS), or 2796 (Pkd2â/â-WNT9B) cells. (h) Number of migrating cells in the presence of PBS or PDGF-BB (25 ng/ml). Data were pooled from 3 independent experiments in quadruplicates (n= 12 fields per group scoring a total of 3625 (Pkd2+/+-PBS), 8927 (Pkd2+/+-PDGF-BB), 3904 (Pkd2â/â-PBS), or 9048 (Pkd2â/â-PDGF-BB) cells. N.S means non-significant, *P<0.05, ***P<0.001 in one-way ANOVA followed by Neuman-Keuls post hoc test. Data are shown as mean ± SEM. |
|
|
Figure 8. Cooperativity between PKD1 and DVL2 in Xenopus(a-l) Xenopus embryos were injected with the indicated amounts of Pkd1-sMO1, Dvl2-MO and Wnt9A-MO either alone or in combination. Embryos were analyzed at stage 43 by morphology for edema formation or at stage 40 by immunofluorescence with the proximal tubular marker 3G8 (green) and the distal tubule/nephric duct marker 4A6 (yellow). Representative images of an uninjected control (a,e) and embryos injected with suboptimal amounts of Pkd1-sMO1 (b,f), Dvl2-MO (c,g), a mixture of Pkd1-sMO1 and Dvl2-MO (d,h), as well as with a Wnt9A-sMO alone (j) or in combination with suboptimal amounts of Pkd1-sMO1 (k) are shown. Bar diagrams showing the percentage of embryos exhibiting edema or dysplastic kidneys from 4 or 3 independent experiments are shown in (i) or (l), respectively. (m) Rescue experiment of Dvl2 morphants with a unilateral injection of either 4 ng wild type human DVL2 mRNA or 4 ng mutant DVL2-E499G mRNA. Embryos were analyzed at stage 40 by 3G8/4A6 immunofluorescence comparing the mRNA injected side with the contralateral side. Bar diagram depicts the summary of 3 independent experiments. (Inset) Expression levels of Flag-tagged human DVL2 and DVL2-E499G mutant in stage 25 embryos injected with 1 ng mRNA into a single blastomere at the 4-8 cell stage. Experiment was done twice. Total number of scored embryos is shown on top of each bar. |
References [+] :
Allison,
Polycystic kidney disease: WNTs: ligands of the polycystin complex.
2017, Pubmed
Allison, Polycystic kidney disease: WNTs: ligands of the polycystin complex. 2017, Pubmed
Angers, Proximal events in Wnt signal transduction. 2009, Pubmed
Axelrod, Differential recruitment of Dishevelled provides signaling specificity in the planar cell polarity and Wingless signaling pathways. 1998, Pubmed , Xenbase
Bai, Activation of TRPP2 through mDia1-dependent voltage gating. 2008, Pubmed
Bai, Formation of a new receptor-operated channel by heteromeric assembly of TRPP2 and TRPC1 subunits. 2008, Pubmed
Bhanot, A new member of the frizzled family from Drosophila functions as a Wingless receptor. 1996, Pubmed
Bisaillon, Essential role for STIM1/Orai1-mediated calcium influx in PDGF-induced smooth muscle migration. 2010, Pubmed
Bourhis, Reconstitution of a frizzled8.Wnt3a.LRP6 signaling complex reveals multiple Wnt and Dkk1 binding sites on LRP6. 2010, Pubmed
Boutros, Dishevelled activates JNK and discriminates between JNK pathways in planar polarity and wingless signaling. 1998, Pubmed
Cantero, Calcium transport and local pool regulate polycystin-2 (TRPP2) function in human syncytiotrophoblast. 2013, Pubmed
Castelli, Polycystin-1 binds Par3/aPKC and controls convergent extension during renal tubular morphogenesis. 2013, Pubmed
Coxam, Pkd1 regulates lymphatic vascular morphogenesis during development. 2014, Pubmed
DeCaen, Direct recording and molecular identification of the calcium channel of primary cilia. 2013, Pubmed
Delmas, Gating of the polycystin ion channel signaling complex in neurons and kidney cells. 2004, Pubmed
Field, Pkd1l1 establishes left-right asymmetry and physically interacts with Pkd2. 2011, Pubmed
Giamarchi, A polycystin-2 (TRPP2) dimerization domain essential for the function of heteromeric polycystin complexes. 2010, Pubmed
Hanaoka, Co-assembly of polycystin-1 and -2 produces unique cation-permeable currents. , Pubmed
Hao, ZNRF3 promotes Wnt receptor turnover in an R-spondin-sensitive manner. 2012, Pubmed , Xenbase
Huang, A possible zebrafish model of polycystic kidney disease: knockdown of wnt5a causes cysts in zebrafish kidneys. 2014, Pubmed
Hughes, The polycystic kidney disease 1 (PKD1) gene encodes a novel protein with multiple cell recognition domains. 1995, Pubmed
Hutchins, Wnt/calcium signaling mediates axon growth and guidance in the developing corpus callosum. 2011, Pubmed
Kamura, Pkd1l1 complexes with Pkd2 on motile cilia and functions to establish the left-right axis. 2011, Pubmed
Karner, Wnt9b signaling regulates planar cell polarity and kidney tubule morphogenesis. 2009, Pubmed , Xenbase
Karumanchi, Cell surface glypicans are low-affinity endostatin receptors. 2001, Pubmed
Kim, Conditional mutation of Pkd2 causes cystogenesis and upregulates beta-catenin. 2009, Pubmed
Kim, Fibrocystin/polyductin modulates renal tubular formation by regulating polycystin-2 expression and function. 2008, Pubmed
Kolpakova-Hart, Growth of cranial synchondroses and sutures requires polycystin-1. 2008, Pubmed
Köttgen, TRPP2 and TRPV4 form a polymodal sensory channel complex. 2008, Pubmed
Kühl, The Wnt/Ca2+ pathway: a new vertebrate Wnt signaling pathway takes shape. 2000, Pubmed
Lienkamp, Vertebrate kidney tubules elongate using a planar cell polarity-dependent, rosette-based mechanism of convergent extension. 2012, Pubmed , Xenbase
Lin, Wnt5b-Ryk pathway provides directional signals to regulate gastrulation movement. 2010, Pubmed
Logan, The Wnt signaling pathway in development and disease. 2004, Pubmed
Lu, Comparison of Pkd1-targeted mutants reveals that loss of polycystin-1 causes cystogenesis and bone defects. 2001, Pubmed
Luo, Native polycystin 2 functions as a plasma membrane Ca2+-permeable cation channel in renal epithelia. 2003, Pubmed , Xenbase
Ma, PKD2 functions as an epidermal growth factor-activated plasma membrane channel. 2005, Pubmed
MacDonald, Wnt/beta-catenin signaling: components, mechanisms, and diseases. 2009, Pubmed , Xenbase
Mochizuki, PKD2, a gene for polycystic kidney disease that encodes an integral membrane protein. 1996, Pubmed
Narimatsu, Regulation of planar cell polarity by Smurf ubiquitin ligases. 2009, Pubmed
NULL, Polycystic kidney disease: the complete structure of the PKD1 gene and its protein. The International Polycystic Kidney Disease Consortium. 1995, Pubmed
Ohata, Loss of Dishevelleds disrupts planar polarity in ependymal motile cilia and results in hydrocephalus. 2014, Pubmed
Ohata, Mechanosensory Genes Pkd1 and Pkd2 Contribute to the Planar Polarization of Brain Ventricular Epithelium. 2015, Pubmed
Outeda, Polycystin signaling is required for directed endothelial cell migration and lymphatic development. 2014, Pubmed
Parnell, The polycystic kidney disease-1 protein, polycystin-1, binds and activates heterotrimeric G-proteins in vitro. 1998, Pubmed
Pennekamp, The ion channel polycystin-2 is required for left-right axis determination in mice. 2002, Pubmed
Piontek, A critical developmental switch defines the kinetics of kidney cyst formation after loss of Pkd1. 2007, Pubmed
Qian, PKD1 interacts with PKD2 through a probable coiled-coil domain. 1997, Pubmed
Schneider, Zebrafish Nkd1 promotes Dvl degradation and is required for left-right patterning. 2010, Pubmed
Sheldahl, Dishevelled activates Ca2+ flux, PKC, and CamKII in vertebrate embryos. 2003, Pubmed , Xenbase
Slusarski, Interaction of Wnt and a Frizzled homologue triggers G-protein-linked phosphatidylinositol signalling. 1997, Pubmed , Xenbase
Steigelman, Polycystin-1 is required for stereocilia structure but not for mechanotransduction in inner ear hair cells. 2011, Pubmed
Tan, Novel method for genomic analysis of PKD1 and PKD2 mutations in autosomal dominant polycystic kidney disease. 2009, Pubmed
Tran, The RNA-binding protein bicaudal C regulates polycystin 2 in the kidney by antagonizing miR-17 activity. 2010, Pubmed , Xenbase
Tran, Xenopus Bicaudal-C is required for the differentiation of the amphibian pronephros. 2007, Pubmed , Xenbase
Tsiokas, Homo- and heterodimeric interactions between the gene products of PKD1 and PKD2. 1997, Pubmed
Vize, Development of the Xenopus pronephric system. 1995, Pubmed , Xenbase
Wei, Calcium flickers steer cell migration. 2009, Pubmed
Witze, Wnt5a directs polarized calcium gradients by recruiting cortical endoplasmic reticulum to the cell trailing edge. 2013, Pubmed
Wu, Molecular genetics and mechanism of autosomal dominant polycystic kidney disease. 2000, Pubmed
Xiao, Polycystin-1 regulates skeletogenesis through stimulation of the osteoblast-specific transcription factor RUNX2-II. 2008, Pubmed
Xu, The Polycystin-1, Lipoxygenase, and α-Toxin Domain Regulates Polycystin-1 Trafficking. 2016, Pubmed
Yates, The planar cell polarity gene Vangl2 is required for mammalian kidney-branching morphogenesis and glomerular maturation. 2010, Pubmed
Zhang, TRPP2 and TRPV4 form an EGF-activated calcium permeable channel at the apical membrane of renal collecting duct cells. 2013, Pubmed
Zhang, Expression of Wnt signaling components during Xenopus pronephros development. 2011, Pubmed , Xenbase
