Click here to close Hello! We notice that you are using Internet Explorer, which is not supported by Xenbase and may cause the site to display incorrectly. We suggest using a current version of Chrome, FireFox, or Safari.
XB-ART-52543
PLoS One 2016 Jan 01;112:e0148773. doi: 10.1371/journal.pone.0148773.
Show Gene links Show Anatomy links

A Splice Variant of Bardet-Biedl Syndrome 5 (BBS5) Protein that Is Selectively Expressed in Retina.

Bolch SN, Dugger DR, Chong T, McDowell JH, Smith WC.


???displayArticle.abstract???
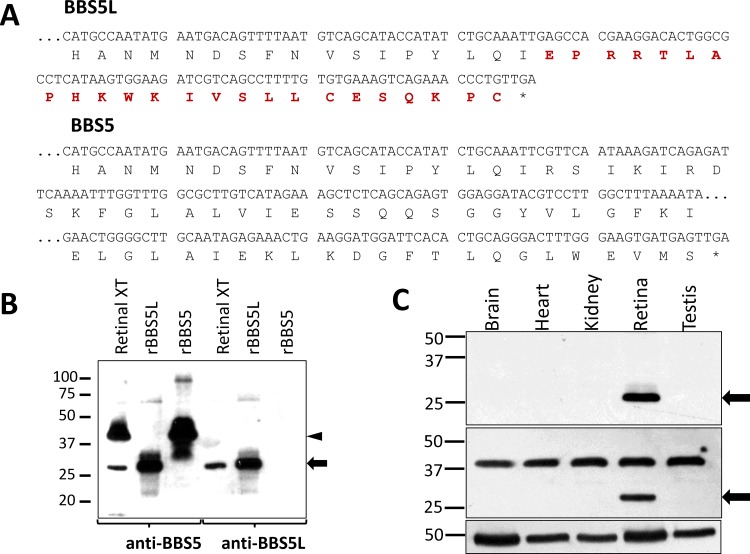
PURPOSE: Bardet-Biedl syndrome is a complex ciliopathy that usually manifests with some form of retinal degeneration, amongst other ciliary-related deficiencies. One of the genetic causes of this syndrome results from a defect in Bardet-Biedl Syndrome 5 (BBS5) protein. BBS5 is one component of the BBSome, a complex of proteins that regulates the protein composition in cilia. In this study, we identify a smaller molecular mass form of BBS5 as a variant formed by alternative splicing and show that expression of this splice variant is restricted to the retina. METHODS: Reverse transcription PCR from RNA was used to isolate and identify potential alternative transcripts of Bbs5. A peptide unique to the C-terminus of the BBS5 splice variant was synthesized and used to prepare antibodies that selectively recognized the BBS5 splice variant. These antibodies were used on immunoblots of tissue extracts to determine the extent of expression of the alternative transcript and on tissue slices to determine the localization of expressed protein. Pull-down of fluorescently labeled arrestin1 by immunoprecipitation of the BBS5 splice variant was performed to assess functional interaction between the two proteins. RESULTS: PCR from mouse retinal cDNA using Bbs5-specific primers amplified a unique cDNA that was shown to be a splice variant of BBS5 resulting from the use of cryptic splicing sites in Intron 7. The resulting transcript codes for a truncated form of the BBS5 protein with a unique 24 amino acid C-terminus, and predicted 26.5 kD molecular mass. PCR screening of RNA isolated from various ciliated tissues and immunoblots of protein extracts from these same tissues showed that this splice variant was expressed in retina, but not brain, heart, kidney, or testes. Quantitative PCR showed that the splice variant transcript is 8.9-fold (+/- 1.1-fold) less abundant than the full-length transcript. In the retina, the splice variant of BBS5 appears to be most abundant in the connecting cilium of photoreceptors, where BBS5 is also localized. Like BBS5, the binding of BBS5L to arrestin1 can be modulated by phosphorylation through protein kinase C. CONCLUSIONS: In this study we have identified a novel splice variant of BBS5 that appears to be expressed only in the retina. The BBS5 splice variant is expressed at approximately 10% of full-length BBS5 level. No unique functional or localization properties could be identified for the splice variant compared to BBS5.

???displayArticle.pubmedLink??? 26867008
???displayArticle.pmcLink??? PMC4750968
???displayArticle.link??? PLoS One
???displayArticle.grants??? [+]

Species referenced: Xenopus laevis
Genes referenced: arrb1 bbs5 rp1 whr1
GO keywords: axoneme
???displayArticle.antibodies??? Bbs5 Ab1

???displayArticle.disOnts??? Bardet-Biedl syndrome 5
???displayArticle.omims??? BARDET-BIEDL SYNDROME 5; BBS5

???attribute.lit??? ???displayArticles.show???
References [+] :
Al-Hamed, Functional modelling of a novel mutation in BBS5. 2014, Pubmed